JavaScript is disabled in your browser. Please enable JavaScript to view this website.
AB226481

Astrocyte Marker (ALDH1L1, EAAT1, EAAT2, GFAP) Antibody Sampler Panel

Be the first to review this product! Submit a review

|

(2 Publications)

Astrocyte Marker (ALDH1L1, EAAT1, EAAT2, GFAP) Antibody Sampler Panel (ab226481) is part of the multiplex kits range. Abcam offers high-quality biological reagents and tools including antibodies, proteins, assays, cell lines and lysates.

View Alternative Names

FTHFD, ALDH1L1, Cytosolic 10-formyltetrahydrofolate dehydrogenase, 10-FTHFDH, FDH, Aldehyde dehydrogenase family 1 member L1

4 Images
Immunohistochemistry (Formalin/PFA-fixed paraffin-embedded sections) - Astrocyte Marker (ALDH1L1, EAAT1, EAAT2, GFAP) Antibody Sampler Panel (AB226481)
  • IHC-P

Supplier Data

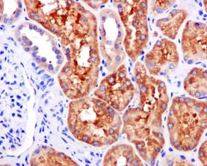
Immunohistochemistry (Formalin/PFA-fixed paraffin-embedded sections) - Astrocyte Marker (ALDH1L1, EAAT1, EAAT2, GFAP) Antibody Sampler Panel (AB226481)

Immunohistochemical analysis of paraffin-embedded Human kidney tissue labeling ALDH1L1 with ab177463 at 1/50 dilution.

Immunohistochemistry (Frozen sections) - Astrocyte Marker (ALDH1L1, EAAT1, EAAT2, GFAP) Antibody Sampler Panel (AB226481)
  • IHC-Fr

Supplier Data

Immunohistochemistry (Frozen sections) - Astrocyte Marker (ALDH1L1, EAAT1, EAAT2, GFAP) Antibody Sampler Panel (AB226481)

Immunohistochemical analysis of 4% paraformaldehyde-fixed 0.2% Triton X-100 permeabilized frozen Mouse striatum tissue labeling EAAT2 with ab205248 at 1/500 dilution followed by Goat Anti-Rabbit IgG (Alexa Fluor® 488) (ab150077) secondary antibody at 1/1000 dilution (green). Membrane staining on mouse striatum is observed [PMID : 25391854]. The nuclear counterstain is DAPI (blue).

Secondary antibody only control : Used PBS instead of primary antibody secondary antibody is ab150077 at 1/1000 dilution.

Immunohistochemistry (Formalin/PFA-fixed paraffin-embedded sections) - Astrocyte Marker (ALDH1L1, EAAT1, EAAT2, GFAP) Antibody Sampler Panel (AB226481)
  • IHC-P

Lab

Immunohistochemistry (Formalin/PFA-fixed paraffin-embedded sections) - Astrocyte Marker (ALDH1L1, EAAT1, EAAT2, GFAP) Antibody Sampler Panel (AB226481)

ab181036 staining EAAT1 in rat cerebral cortex tissue sections by Immunohistochemistry (IHC-P - paraformaldehyde-fixed, paraffin-embedded sections). Tissue was fixed with paraformaldehyde and antigen retrieval was by heat mediation in a EDTA buffer. Samples were incubated with primary antibody at a dilution of 1/1000. A goat anti-rabbit IgG H&L (HRP) ab97051 was used as the secondary antibody at 1/500.

Immunocytochemistry/ Immunofluorescence - Astrocyte Marker (ALDH1L1, EAAT1, EAAT2, GFAP) Antibody Sampler Panel (AB226481)
  • ICC/IF

Unknown

Immunocytochemistry/ Immunofluorescence - Astrocyte Marker (ALDH1L1, EAAT1, EAAT2, GFAP) Antibody Sampler Panel (AB226481)

Immunocytochemistry/Immunofluorescence analysis of mouse cerebellum tissue lysate labelling GFAP with ab68428 at 1/100. The sample was fixed with 4% Paraformaldehyde and permeabilized with 0.2% Triton X-100. ab150077, Alexa Fluor® 488-conjugated goat anti-rabbit IgG (1/1000) was used as the secondary antibody. Antigen retrieval was performed by heated citrate solution (10mM citrate PH 6.0 + 0.05% Tween-20). Nuclei were counterstained with DAPI (blue). PBS was used instead of the primary antibody as negative control.

Key facts

Target

ALDH1L1

target

Product details

Astrocyte Marker (ALDH1L1, EAAT1, EAAT2, GFAP) Antibody Sampler Panel (ab226481) is an astrocyte marker panel containing 4 recombinant rabbit monoclonal antibodies and 1 Anti-Rabbit IgG (HRP) secondary antibody: Anti-GFAP antibody, Anti-ALDH1L1 antibody, Anti-EAAT1 antibody, Anti-EEAT2 antibody, and Goat Anti-Rabbit IgG (H&L) (HRP).

Astrocytes are star-shaped glial cells and serve a wide variety of functions in the central nervous system, which are vital for brain development, physiology and pathology.

The antibodies in this panel were selected for their exceptional performance in IHC, alongside other applications. Please see the individual datasheets for additional information.

Explore our range of antibody sample panels designed to provide you with a variety of trial-size antibodies in a convenient and cost-effective format.

Carrier-free formulations of our recombinant antibodies are also available for easy conjugation to labels of your choice and for multiplex applications. Use our intuitive search and select carrier-free or your label of choice. For bespoke conjugations or large volumes email bespoke@abcam.com.

What's included?

{ "values": { "1Pack": { "sellingSize": "1 Pack", "publicAssetCode":"ab226481-1Pack", "assetComponentDetails": [ { "size":"1 x 10 µL", "name":"Anti-GFAP antibody [EPR1034Y]", "number":"AB226481-CMP02", "productcode":"AB68428" }, { "size":"1 x 10 µL", "name":"Anti-ALDH1L1 antibody [EPR12743(B)]", "number":"AB226481-CMP03", "productcode":"AB177463" }, { "size":"1 x 10 µL", "name":"Anti-EAAT2 antibody [EPR19798]", "number":"AB226481-CMP05", "productcode":"AB205248" }, { "size":"1 x 10 µL", "name":"Anti-EAAT1 antibody [EPR12686]", "number":"AB226481-CMP04", "productcode":"AB181036" }, { "size":"1 x 100 µg", "name":"Goat Anti-Rabbit IgG H&L (HRP)", "number":"AB226481-CMP01", "productcode":"AB205718" } ] } } }

Properties and storage information

Shipped at conditions
Blue Ice
Appropriate short-term storage conditions
+4°C
Appropriate long-term storage conditions
+4°C
Storage information
+4°C

Product protocols

Target data

Cytosolic 10-formyltetrahydrofolate dehydrogenase that catalyzes the NADP(+)-dependent conversion of 10-formyltetrahydrofolate to tetrahydrofolate and carbon dioxide (PubMed : 19933275, PubMed : 21238436). May also have an NADP(+)-dependent aldehyde dehydrogenase activity towards formaldehyde, acetaldehyde, propionaldehyde, and benzaldehyde (By similarity).
See full target information ALDH1L1

Additional targets

SLC1A3,Slc1a2,GFAP

Publications (2)

Recent publications for all applications. Explore the full list and refine your search

Glia 73:1068-1076 PubMed39780483

2025

Astrocyte Loss Augments Body Weight Through Reduction in Adipose Sympathetic Outflows.

Applications

Unspecified application

Species

Unspecified reactive species

Dan Chen,Yale Y Yang,Yunlei Yang

The European journal of neuroscience 58:2194-2214 PubMed37161649

2023

BACH1 encourages ferroptosis by activating KDM4C-mediated COX2 demethylation after cerebral ischemia-reperfusion injury.

Applications

Unspecified application

Species

Unspecified reactive species

Tianqi Zhang,Meimei Yang,Chi Ma,Xinya Wei,Zhuobo Zhang
View all publications

Product promise

We are committed to supporting your work with high-quality reagents, and we're here for you every step of the way. In the unlikely event that one of our products does not perform as expected, you're protected by our Product Promise.
For full details, please see our Terms & Conditions

Please note: All products are 'FOR RESEARCH USE ONLY. NOT FOR USE IN DIAGNOSTIC OR THERAPEUTIC PROCEDURES'.

For licensing inquiries, please contact partnerships@abcam.com