JavaScript is disabled in your browser. Please enable JavaScript to view this website.
AB252205

c-Met Antibody Panel (EP1454Y, EPR19067, SP44, CAL12)

Be the first to review this product! Submit a review

|

(1 Publication)

c-Met Antibody Panel (EP1454Y, EPR19067, SP44, CAL12) (ab252205) is part of the multiplex kits range. Abcam offers high-quality biological reagents and tools including antibodies, proteins, assays, cell lines and lysates.
4 Images
Immunohistochemistry (Formalin/PFA-fixed paraffin-embedded sections) - c-Met Antibody Panel (EP1454Y, EPR19067, SP44, CAL12) (AB252205)
  • IHC-P

Supplier Data

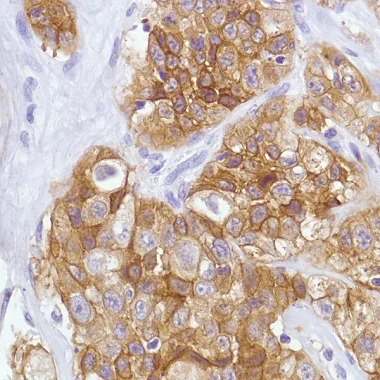
Immunohistochemistry (Formalin/PFA-fixed paraffin-embedded sections) - c-Met Antibody Panel (EP1454Y, EPR19067, SP44, CAL12) (AB252205)

Formalin-fixed, paraffin-embedded human non-small cell lung carcinoma tissue stained for Met (c-Met) using ab237711 at 1 μg/ml in immunohistochemical analysis.

Incubate with primary antibody for 75 minutes at room temperature.

Immunohistochemistry (Formalin/PFA-fixed paraffin-embedded sections) - c-Met Antibody Panel (EP1454Y, EPR19067, SP44, CAL12) (AB252205)
  • IHC-P

AbReview60220****

Immunohistochemistry (Formalin/PFA-fixed paraffin-embedded sections) - c-Met Antibody Panel (EP1454Y, EPR19067, SP44, CAL12) (AB252205)

ab51067 staining Met (c-Met) in human breast tissue sections by Immunohistochemistry (IHC-P - paraformaldehyde-fixed, paraffin-embedded sections).

Tissue was fixed with formaldehyde, permeabilized with 0.05% Tween-20 and blocked for 30 minutes at 22°C; antigen retrieval was by heat mediation in antigen retrieval buffer (100X citrate buffer pH 6.0) (ab94674). Samples were incubated with the primary antibody (1/100) for 14 hours at 4°C. An Alexa Fluor® 488-conjugated goat anti-rabbit IgG polyclonal (1/300) was used as the secondary antibody.

This image is courtesy of an Abreview submitted by David Ivancic.

Immunohistochemistry (Formalin/PFA-fixed paraffin-embedded sections) - c-Met Antibody Panel (EP1454Y, EPR19067, SP44, CAL12) (AB252205)
  • IHC-P

Supplier Data

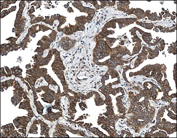
Immunohistochemistry (Formalin/PFA-fixed paraffin-embedded sections) - c-Met Antibody Panel (EP1454Y, EPR19067, SP44, CAL12) (AB252205)

Formalin-fixed, paraffin-embedded human colon adenocarcinoma tissue stained for Met (c-Met) using ab227637 at 1/50 dilution in immunohistochemical analysis.

Immunohistochemistry (Formalin/PFA-fixed paraffin-embedded sections) - c-Met Antibody Panel (EP1454Y, EPR19067, SP44, CAL12) (AB252205)
  • IHC-P

Supplier Data

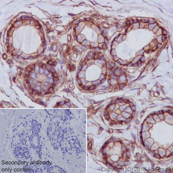
Immunohistochemistry (Formalin/PFA-fixed paraffin-embedded sections) - c-Met Antibody Panel (EP1454Y, EPR19067, SP44, CAL12) (AB252205)

Immunohistochemical analysis of paraffin-embedded human breast tissue labeling Met (c-Met) with ab216574 at 1/2000 dilution followed by Goat Anti-Rabbit IgG H&L (HRP) ready to use.

Membranous staining on human breast is observed.

Counter stained with Hematoxylin.

Secondary antibody only control : Used PBS instead of primary antibody secondary antibody is Goat Anti-Rabbit IgG H&L (HRP) ready to use.

Key facts

Reacts with

Human

Product details

c-met Antibody Panel ab252205 contains multiple trial-sized versions of anti-human antibody clones against c-Met, specifically selected for high performance in IHC. This panel contains 4 recombinant rabbit monoclonal antibodies against human c-Met. They are provided in trial sizes to allow you to easily evaluate which is the best c-Met antibody for your IHC research assay needs.

For guidelines on how to use each antibody within the panel, please consult the individual datasheet for each antibody.

Panel contains:

- Rabbit monoclonal [CAL12] to Met (c-Met) (20 μL) ab237711

- Rabbit monoclonal [EP1454Y] to Met (c-Met) - N-terminal (20 μL) ab51067

- Rabbit monoclonal [EPR19067] to Met (c-Met) (20 μL) ab216574

- Rabbit monoclonal [SP44] to Met (c-Met) - C-terminal (20 μL) ab227637

Explore our range of antibody sample panels designed to provide you with a variety of trial-size antibodies in a convenient and cost-effective format.

Carrier-free formulations of our recombinant antibodies are also available for easy conjugation to labels of your choice and for multiplex applications. Use our intuitive search and select carrier-free or your label of choice. For bespoke conjugations or large volumes email bespoke@abcam.com.

Patented technology
Our RabMAb® technology is a patented hybridoma-based technology for making rabbit monoclonal antibodies. For details on our patents, please refer to RabMAb® patents.

What's included?

{ "values": { "1Kit": { "sellingSize": "1 Kit", "publicAssetCode":"ab252205-1Kit", "assetComponentDetails": [ { "size":"2 x 10 µL", "name":"Anti-Met (c-Met) antibody [CAL12]", "number":"AB252205-CMP04", "productcode":"AB237711" }, { "size":"2 x 10 µL", "name":"Anti-Met (c-Met) antibody [EP1454Y] - N-terminal", "number":"AB252205-CMP02", "productcode":"AB51067" }, { "size":"2 x 10 µL", "name":"Anti-Met (c-Met) antibody [EPR19067]", "number":"AB252205-CMP03", "productcode":"AB216574" }, { "size":"2 x 10 µL", "name":"Anti-Met (c-Met) antibody [SP44] - C-terminal", "number":"AB252205-CMP01", "productcode":"AB227637" } ] } } }

Properties and storage information

Shipped at conditions
Blue Ice
Appropriate short-term storage conditions
+4°C
Appropriate long-term storage conditions
+4°C
Storage information
+4°C

Product protocols

Target data

Publications (1)

Recent publications for all applications. Explore the full list and refine your search

NPJ digital medicine 6:48 PubMed36959234

2023

Weakly supervised deep learning to predict recurrence in low-grade endometrial cancer from multiplexed immunofluorescence images.

Applications

Unspecified application

Species

Unspecified reactive species

Daniel Jiménez-Sánchez,Álvaro López-Janeiro,María Villalba-Esparza,Mikel Ariz,Ece Kadioglu,Ivan Masetto,Virginie Goubert,Maria D Lozano,Ignacio Melero,David Hardisson,Carlos Ortiz-de-Solórzano,Carlos E de Andrea
View all publications

Product promise

We are committed to supporting your work with high-quality reagents, and we're here for you every step of the way. In the unlikely event that one of our products does not perform as expected, you're protected by our Product Promise.
For full details, please see our Terms & Conditions

Please note: All products are 'FOR RESEARCH USE ONLY. NOT FOR USE IN DIAGNOSTIC OR THERAPEUTIC PROCEDURES'.

For licensing inquiries, please contact partnerships@abcam.com