JavaScript is disabled in your browser. Please enable JavaScript to view this website.
AB252199

CD4 Antibody Panel (EPR6855, SP35, BL-155-1c11)

Be the first to review this product! Submit a review

|

(2 Publications)

CD4 Antibody Panel (EPR6855, SP35, BL-155-1c11) (ab252199) is part of the multiplex kits range. Abcam offers high-quality biological reagents and tools including antibodies, proteins, assays, cell lines and lysates.
3 Images
Immunohistochemistry (Formalin/PFA-fixed paraffin-embedded sections) - CD4 Antibody Panel (EPR6855, SP35, BL-155-1c11) (AB252199)
  • IHC-P

Lab

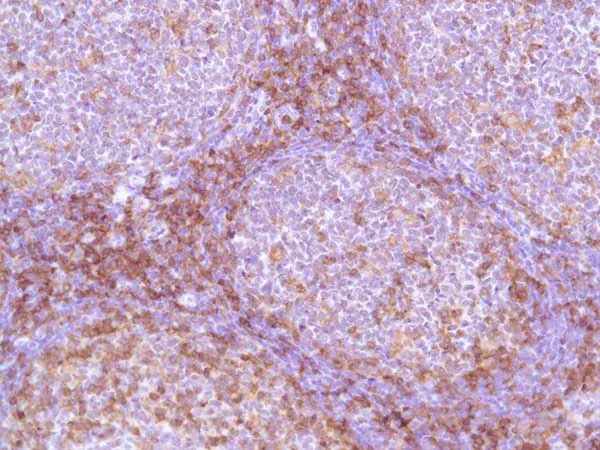
Immunohistochemistry (Formalin/PFA-fixed paraffin-embedded sections) - CD4 Antibody Panel (EPR6855, SP35, BL-155-1c11) (AB252199)

Immunohistochemistry (Formalin/PFA-fixed paraffin-embedded sections) analysis of human tonsil tissue labelling CD4 with purified ab133616 at 1/500. Heat mediated antigen retrieval was performed using Tris/EDTA buffer pH 9. ab97051, a HRP-conjugated goat anti-rabbit IgG (H+L) was used as the secondary antibody (1/500). Negative control using PBS instead of primary antibody. Counterstained with hematoxylin.

Immunohistochemistry (Formalin/PFA-fixed paraffin-embedded sections) - CD4 Antibody Panel (EPR6855, SP35, BL-155-1c11) (AB252199)
  • IHC-P

Unknown

Immunohistochemistry (Formalin/PFA-fixed paraffin-embedded sections) - CD4 Antibody Panel (EPR6855, SP35, BL-155-1c11) (AB252199)

Formalin-fixed, paraffin-embedded human appendix tissue stained for CD4 using ab243872 at 1/200 dilution in immunohistochemical analysis. A HRP-conjugated goat anti-rabbit IgG was used as the secondary. DAB staining.

Immunohistochemistry (Formalin/PFA-fixed paraffin-embedded sections) - CD4 Antibody Panel (EPR6855, SP35, BL-155-1c11) (AB252199)
  • IHC-P

Supplier Data

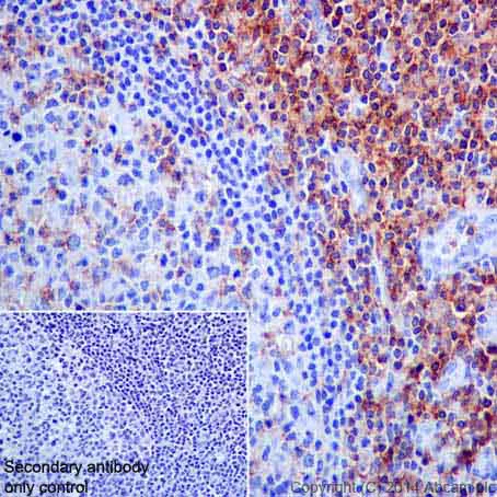
Immunohistochemistry (Formalin/PFA-fixed paraffin-embedded sections) - CD4 Antibody Panel (EPR6855, SP35, BL-155-1c11) (AB252199)

Immunohistochemical analysis of formalin-fixed, paraffin-embedded human tonsil tissue labeling CD4 with ab213215 at 1/50 dilution.

Key facts

Reacts with

Human

Product details

CD4 Antibody Panel ab252199 contains multiple trial-sized versions of anti-human antibody clones against CD4, specifically selected for high performance in IHC. This panel contains 3 recombinant rabbit monoclonal antibodies against human CD4. They are provided in trial sizes to allow you to easily evaluate which is the best CD4 antibody for your IHC research assay needs.

For guidelines on how to use each antibody within the panel, please consult the individual datasheet for each antibody.

Panel contains:

- Rabbit monoclonal [BL-155-1C11] to CD4 (20 μL) ab243872

- Rabbit monoclonal [EPR6855] to CD4 (20 μL) ab133616

- Rabbit monoclonal [SP35] to CD4 (20 μL) ab213215

Explore our range of antibody sample panels designed to provide you with a variety of trial-size antibodies in a convenient and cost-effective format.

Carrier-free formulations of our recombinant antibodies are also available for easy conjugation to labels of your choice and for multiplex applications. Use our intuitive search and select carrier-free or your label of choice. For bespoke conjugations or large volumes email bespoke@abcam.com.

REACH authorisation
Abcam has not and does not intend to apply for the REACH Authorisation of customers' uses of products that contain European Authorisation list (Annex XIV) substances.
It is the responsibility of our customers to check the necessity of application of REACH Authorisation, and any other relevant authorisations, for their intended uses.

What's included?

{ "values": { "1Kit": { "sellingSize": "1 Kit", "publicAssetCode":"ab252199-1Kit", "assetComponentDetails": [ { "size":"2 x 10 µL", "name":"Anti-CD4 antibody [BL-155-1C11]", "number":"AB252199-CMP01", "productcode":"AB243872" }, { "size":"2 x 10 µL", "name":"Anti-CD4 antibody [SP35]", "number":"AB252199-CMP02", "productcode":"AB213215" }, { "size":"2 x 10 µL", "name":"Anti-CD4 antibody [EPR6855]", "number":"AB252199-CMP03", "productcode":"AB133616" } ] } } }

Properties and storage information

Shipped at conditions
Blue Ice
Appropriate short-term storage conditions
+4°C
Appropriate long-term storage conditions
+4°C
Storage information
+4°C

Product protocols

Target data

Publications (2)

Recent publications for all applications. Explore the full list and refine your search

Journal for immunotherapy of cancer 9: PubMed33579737

2021

CMTM6 and PD-L1 coexpression is associated with an active immune microenvironment and a favorable prognosis in colorectal cancer.

Applications

Unspecified application

Species

Unspecified reactive species

Qi-Hua Peng,Chun-Hua Wang,Hong-Min Chen,Rong-Xin Zhang,Zhi-Zhong Pan,Zhen-Hai Lu,Gao-Yuan Wang,Xin Yue,Wenlin Huang,Ran-Yi Liu

Journal for immunotherapy of cancer 8: PubMed31959726

2020

HHLA2 and PD-L1 co-expression predicts poor prognosis in patients with clear cell renal cell carcinoma.

Applications

Unspecified application

Species

Unspecified reactive species

Qiang-Hua Zhou,Kai-Wen Li,Xu Chen,Hai-Xia He,Sheng-Meng Peng,Shi-Rong Peng,Qiong Wang,Ze-An Li,Yi-Ran Tao,Wen-Li Cai,Ran-Yi Liu,Hai Huang
View all publications

Product promise

We are committed to supporting your work with high-quality reagents, and we're here for you every step of the way. In the unlikely event that one of our products does not perform as expected, you're protected by our Product Promise.
For full details, please see our Terms & Conditions

Please note: All products are 'FOR RESEARCH USE ONLY. NOT FOR USE IN DIAGNOSTIC OR THERAPEUTIC PROCEDURES'.

For licensing inquiries, please contact partnerships@abcam.com