JavaScript is disabled in your browser. Please enable JavaScript to view this website.
AB252196

CD8 alpha Antibody Panel (EP1150Y, SP16, SP239, CAL66, CAL67)

Be the first to review this product! Submit a review

|

(1 Publication)

CD8 alpha Antibody Panel (EP1150Y, SP16, SP239, CAL66, CAL67) (ab252196) is part of the multiplex kits range. Abcam offers high-quality biological reagents and tools including antibodies, proteins, assays, cell lines and lysates.
4 Images
Immunohistochemistry (Formalin/PFA-fixed paraffin-embedded sections) - CD8 alpha Antibody Panel (EP1150Y, SP16, SP239, CAL66, CAL67) (AB252196)
  • IHC-P

Supplier Data

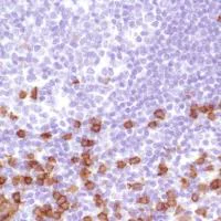
Immunohistochemistry (Formalin/PFA-fixed paraffin-embedded sections) - CD8 alpha Antibody Panel (EP1150Y, SP16, SP239, CAL66, CAL67) (AB252196)

Formalin-fixed, paraffin-embedded human tonsil tissue stained for CD8 alpha using ab237710 at 0.5 μg/ml in immunohistochemical analysis.

Incubate with primary antibody for 75 minutes at room temperature.

Immunohistochemistry (Formalin/PFA-fixed paraffin-embedded sections) - CD8 alpha Antibody Panel (EP1150Y, SP16, SP239, CAL66, CAL67) (AB252196)
  • IHC-P

Supplier Data

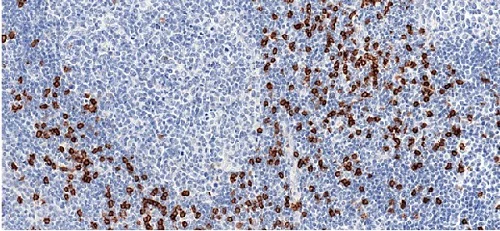
Immunohistochemistry (Formalin/PFA-fixed paraffin-embedded sections) - CD8 alpha Antibody Panel (EP1150Y, SP16, SP239, CAL66, CAL67) (AB252196)

Immunohistochemical analysis of formalin-fixed, paraffin-embedded human tonsil tissue labeling CD8 alpha with ab178089 at 1/100 dilution.

Immunohistochemistry (Formalin/PFA-fixed paraffin-embedded sections) - CD8 alpha Antibody Panel (EP1150Y, SP16, SP239, CAL66, CAL67) (AB252196)
  • IHC-P

Supplier Data

Immunohistochemistry (Formalin/PFA-fixed paraffin-embedded sections) - CD8 alpha Antibody Panel (EP1150Y, SP16, SP239, CAL66, CAL67) (AB252196)

Formalin-fixed, paraffin-embedded human tonsil tissue stained for CD8 alpha using ab237709 at 0.25 μg/ml in immunohistochemical analysis.

Immunohistochemistry (Formalin/PFA-fixed paraffin-embedded sections) - CD8 alpha Antibody Panel (EP1150Y, SP16, SP239, CAL66, CAL67) (AB252196)
  • IHC-P

Supplier Data

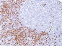
Immunohistochemistry (Formalin/PFA-fixed paraffin-embedded sections) - CD8 alpha Antibody Panel (EP1150Y, SP16, SP239, CAL66, CAL67) (AB252196)

Immunohistochemical staining of paraffin embedded Human tonsil tissue labelling CD8 alpha [SP16] with ab101500 at 1/100.

Key facts

Reacts with

Human

Product details

CD8 alpha Antibody Panel ab252196 contains multiple trial-sized versions of anti-human antibody clones against CD8 alpha, specifically selected for high performance in IHC. This panel contains 6 recombinant rabbit monoclonal antibodies against human CD8 alpha. They are provided in trial sizes to allow you to easily evaluate which is the best CD8 alpha antibody for your IHC research assay needs.

For guidelines on how to use each antibody within the panel, please consult the individual datasheet for each antibody.

Panel contains:

- Rabbit monoclonal [CAL66] to CD8 alpha (20 μL) ab237709

- Rabbit monoclonal [CAL67] to CD8 alpha (20 μL) ab237710

- Rabbit monoclonal [EP1150Y] to CD8 alpha (20 μL) ab93278

- Rabbit monoclonal [SP16] to CD8 alpha (20 μL) ab101500

- Rabbit monoclonal [SP239] to CD8 alpha (20 μL) ab178089

Explore our range of antibody sample panels designed to provide you with a variety of trial-size antibodies in a convenient and cost-effective format.

Carrier-free formulations of our recombinant antibodies are also available for easy conjugation to labels of your choice and for multiplex applications. Use our intuitive search and select carrier-free or your label of choice. For bespoke conjugations or large volumes email bespoke@abcam.com.

Patented technology
Our RabMAb® technology is a patented hybridoma-based technology for making rabbit monoclonal antibodies. For details on our patents, please refer to RabMAb® patents.

What's included?

{ "values": { "1Kit": { "sellingSize": "1 Kit", "publicAssetCode":"ab252196-1Kit", "assetComponentDetails": [ { "size":"2 x 10 µL", "name":"Anti-CD8 alpha antibody [SP16]", "number":"AB252196-CMP01", "productcode":"AB101500" }, { "size":"2 x 10 µL", "name":"Anti-CD8 alpha antibody [SP239]", "number":"AB252196-CMP03", "productcode":"AB178089" }, { "size":"2 x 10 µL", "name":"Anti-CD8 alpha antibody [EP1150Y]", "number":"AB252196-CMP02", "productcode":"AB93278" }, { "size":"2 x 10 µL", "name":"Anti-CD8 alpha antibody [CAL66]", "number":"AB252196-CMP04", "productcode":"AB237709" }, { "size":"2 x 10 µL", "name":"Anti-CD8 alpha antibody [CAL67]", "number":"AB252196-CMP05", "productcode":"AB237710" } ] } } }

Properties and storage information

Shipped at conditions
Blue Ice
Appropriate short-term storage conditions
Multi
Appropriate long-term storage conditions
Multi
Storage information
Please refer to protocols

Supplementary information

This supplementary information is collated from multiple sources and compiled automatically.

CD8 alpha also known as CD8A or CD8 protein is a glycoprotein subunit expressed on the surface of cytotoxic T lymphocytes. It has a mass of approximately 32 kDa. Found on the surface cell membrane CD8 alpha functions primarily in the immune response specifically in the recognition of antigens bound to major histocompatibility complex (MHC) class I molecules. Often scientists use CD8 antibodies for detection and CD8 IHC or immunohistochemistry for localization studies.
Biological function summary

The CD8 alpha protein plays a critical role in T-cell mediated immune responses. It forms a heterodimer with the CD8 beta chain creating the CD8 alpha-beta complex that strengthens T-cell interaction with antigen-presenting cells. CD8 alpha also helps in signaling processes that activate T cells equipping them to destroy infected or malignant cells. Researchers often study CD8 alpha peptides to understand its interactions better.

Pathways

CD8 alpha is integral to the T-cell receptor signaling pathway and the cytotoxic T lymphocyte (CTL) pathway. The T-cell receptor complex which includes the CD8 molecule transmits signals that are important for T-cell activation and function. CD8 interacts with key proteins such as the T-cell receptor (TCR) and MHC class I molecules facilitating targeted responses against pathogens. These pathways highlight CD8 alpha’s role in adaptive immunity.

CD8 alpha is most prominently associated with viral infections and cancer. Conditions like HIV and some forms of leukemia show altered CD8 function highlighting the protein's role in immune surveillance. In HIV infection for instance CD8 T cells reduce in number impairing the immune response. CD8 alpha’s connection to the immune system places it alongside other immune proteins such as CD4 and MHC molecules in the context of immune dysfunction.

Product protocols

Target data

Publications (1)

Recent publications for all applications. Explore the full list and refine your search

Cancer management and research 12:8015-8022 PubMed32943934

2020

Moxibustion Enhances Chemotherapy of Breast Cancer by Affecting Tumor Microenvironment.

Applications

Unspecified application

Species

Unspecified reactive species

Ning Xue,Xingli Fu,Yin Zhu,Nili Da,Jianbin Zhang
View all publications

Product promise

We are committed to supporting your work with high-quality reagents, and we're here for you every step of the way. In the unlikely event that one of our products does not perform as expected, you're protected by our Product Promise.
For full details, please see our Terms & Conditions

Please note: All products are 'FOR RESEARCH USE ONLY. NOT FOR USE IN DIAGNOSTIC OR THERAPEUTIC PROCEDURES'.

For licensing inquiries, please contact partnerships@abcam.com