JavaScript is disabled in your browser. Please enable JavaScript to view this website.
AB228528

Cell Cycle (Cdk2, Cdk6, Cyclin B1, Cyclin D1, p21, p27 KIP 1) Antibody Sampler Panel

Be the first to review this product! Submit a review

|

(6 Publications)

Cell Cycle (Cdk2, Cdk6, Cyclin B1, Cyclin D1, p21, p27 KIP 1) Antibody Sampler Panel (ab228528) is part of the multiplex kits range. Abcam offers high-quality biological reagents and tools including antibodies, proteins, assays, cell lines and lysates.

View Alternative Names

CDKN2, CDK2, Cyclin-dependent kinase 2, Cell division protein kinase 2, p33 protein kinase

6 Images
Immunocytochemistry/ Immunofluorescence - Cell Cycle (Cdk2, Cdk6, Cyclin B1, Cyclin D1, p21, p27 KIP 1) Antibody Sampler Panel (AB228528)
  • ICC/IF

Supplier Data

Immunocytochemistry/ Immunofluorescence - Cell Cycle (Cdk2, Cdk6, Cyclin B1, Cyclin D1, p21, p27 KIP 1) Antibody Sampler Panel (AB228528)

Immunofluorescent analysis of 4% paraformaldehyde-fixed, 0.1% Triton X-100 permeabilized HeLa (Human epithelial cells from cervix adenocarcinoma) cells labeling Cyclin B1 with ab181593 at 1/500 dilution, followed by Goat anti-rabbit IgG (Alexa Fluor® 488) (ab150077) secondary antibody at 1/1000 dilution (green).

Confocal image showing cytoplasm and weak nuclear staining on HeLa cell line.

The nuclear counter stain is DAPI (blue).

Tubulin is detected with ab7291 (anti-Tubulin mouse mAb) at 1/1000 dilution and ab150120 (AlexaFluor®594 Goat anti-Mouse secondary) at 1/1000 dilution (red).
The negative controls are as follows :
1. ab181593 at 1/500 dilution followed by ab150120 (AlexaFluor®594 Goat anti-Mouse secondary) at 1/1000 dilution.
2. ab7291 (anti-Tubulin mouse mAb) at 1/1000 dilution followed by ab150077 (Alexa Fluor®488 Goat Anti-Rabbit IgG H&L) at 1/1000 dilution.

Immunocytochemistry/ Immunofluorescence - Cell Cycle (Cdk2, Cdk6, Cyclin B1, Cyclin D1, p21, p27 KIP 1) Antibody Sampler Panel (AB228528)
  • ICC/IF

Lab

Immunocytochemistry/ Immunofluorescence - Cell Cycle (Cdk2, Cdk6, Cyclin B1, Cyclin D1, p21, p27 KIP 1) Antibody Sampler Panel (AB228528)

ab124821 staining Cdk6 in wild-type HAP1 cells (top panel) and Cdk6 knockout HAP1 cells (bottom panel). The cells were fixed with 4% formaldehyde (10min), permeabilized with 0.1% Triton X-100 for 5 minutes and then blocked with 1% BSA/10% normal goat serum/0.3M glycine in 0.1% PBS-Tween for 1h. The cells were then incubated with ab124821 at 1/500 dilution and ab195889 at 1/250 dilution (shown in pseudo colour red) overnight at +4°C, followed by a further incubation at room temperature for 1h with a goat secondary antibody to Rabbit IgG (Alexa Fluor® 488) (ab150081) at 2 μg/ml (shown in green). Nuclear DNA was labelled in blue with DAPI.

Immunocytochemistry/ Immunofluorescence - Cell Cycle (Cdk2, Cdk6, Cyclin B1, Cyclin D1, p21, p27 KIP 1) Antibody Sampler Panel (AB228528)
  • ICC/IF

Unknown

Immunocytochemistry/ Immunofluorescence - Cell Cycle (Cdk2, Cdk6, Cyclin B1, Cyclin D1, p21, p27 KIP 1) Antibody Sampler Panel (AB228528)

ab32147 staining Cdk2 in the HeLa cell line by ICC/IF (Immunocytochemistry/immunofluorescence). Cells were fixed with 4% Paraformaldehyde permeabilized with 0.1% Triton X-100. Samples were incubated with primary antibody (1/200). ab150078 (1/500) an Alexa Fluor® 555-conjugated Goat anti-rabbit IgG was used as the secondary antibody. Nuclei were counterstained with DAPI.

Immunocytochemistry/ Immunofluorescence - Cell Cycle (Cdk2, Cdk6, Cyclin B1, Cyclin D1, p21, p27 KIP 1) Antibody Sampler Panel (AB228528)
  • ICC/IF

Lab

Immunocytochemistry/ Immunofluorescence - Cell Cycle (Cdk2, Cdk6, Cyclin B1, Cyclin D1, p21, p27 KIP 1) Antibody Sampler Panel (AB228528)

Unpurified ab134175 staining Cyclin D1 in MCF7 cells treated with KN-93 (ab120980). The cells were fixed with 100% methanol (5min) and then blocked in 1% BSA/10% normal goat serum/0.3M glycine in 0.1%PBS-Tween for 1h. The cells were then incubated with ab134175 at 10μg/ml and ab7291 at 1μg/ml overnight at +4°C, followed by a further incubation at room temperature for 1h with an Goat anti-Rabbit Alexa 488 secondary (ab150081) at 2 μg/ml (shown in green) and Goat anti-Mouse Alexa 594 secondary (ab150120) at 2 μg/ml (shown in pseudo color red). Nuclear DNA was labelled in blue with DAPI.

Negative controls : 1– Rabbit primary and anti-mouse secondary antibody; 2 – Mouse primary antibody and anti-rabbit secondary antibody. Controls 1 and 2 indicate that there is no unspecific reaction between primary and secondary antibodies used.

Western blot - Cell Cycle (Cdk2, Cdk6, Cyclin B1, Cyclin D1, p21, p27 KIP 1) Antibody Sampler Panel (AB228528)
  • WB

Lab

Western blot - Cell Cycle (Cdk2, Cdk6, Cyclin B1, Cyclin D1, p21, p27 KIP 1) Antibody Sampler Panel (AB228528)

Lane 1 : Wild-type DLD-1 cell lysate (20 μg)

Lane 2 : Wild-type DLD-1 20 μM 2,3-DCPE for 16hrs treated cell lysate (20 μg)

Lane 3 : p21 knockout DLD-1 cell lysate (20 μg)

Lane 4 : p21 knockout 20 μM 2,3-DCPE for 16hrs DLD-1 cell lysate (20 μg)

Lane 5 : HT1080 cell lysate (20 μg)

Lanes 1 - 5 : Merged signal (red and green). Green - Anti-p21 antibody [EPR3993] (ab109199) observed at 20 kDa. Red - loading control, ab8245, observed at 37 kDa.

ab109199 was shown to recognize p21 in WT DLD-1 cells with 2,3-DCPE treatment along with additional cross-reactive bands. When p21 knockout DLD-1 cells +/- 2,3-DCPE treatment were used, no band was observed. Wild-type and p21 knockout samples were subjected to SDS-PAGE. ab109199 and ab8245 (loading control to GAPDH) were diluted 1/1000 and 1/10 000 respectively and incubated overnight at 4°C. Blots were developed with Goat anti-Rabbit IgG H&L (IRDye® 800CW) preadsorbed (ab216773) and Goat anti-Mouse IgG H&L (IRDye® 680RD) preadsorbed (ab216776) secondary antibodies at 1/10 000 dilution for 1 h at room temperature before imaging.

All lanes:

Western blot - Anti-p21 antibody [EPR3993] (<a href='/en-us/products/primary-antibodies/p21-antibody-epr3993-ab109199'>ab109199</a>)

Predicted band size: 18 kDa

Observed band size: 20 kDa

false

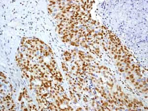
Immunohistochemistry (Formalin/PFA-fixed paraffin-embedded sections) - Cell Cycle (Cdk2, Cdk6, Cyclin B1, Cyclin D1, p21, p27 KIP 1) Antibody Sampler Panel (AB228528)
  • IHC-P

Unknown

Immunohistochemistry (Formalin/PFA-fixed paraffin-embedded sections) - Cell Cycle (Cdk2, Cdk6, Cyclin B1, Cyclin D1, p21, p27 KIP 1) Antibody Sampler Panel (AB228528)

ab32034 showing positive staining in Ovarian carcinoma tissue.

Key facts

Target

CDK2

target

Product details

ab228528, Cell Cycle Antibody Panel, is a collection of 1 anti-rabbit (HRP) secondary antibody and 6 recombinant rabbit monoclonal antibodies against Cdk2, Cdk6, Cyclin B1, Cyclin D1, p21, and p27 KIP 1 provided in 10 μl trial sizes.

Explore our range of antibody sample panels designed to provide you with a variety of trial-size antibodies in a convenient and cost-effective format.

Carrier-free formulations of our recombinant antibodies are also available for easy conjugation to labels of your choice and for multiplex applications. Use our intuitive search and select carrier-free or your label of choice. For bespoke conjugations or large volumes email bespoke@abcam.com.

What's included?

{ "values": { "1Kit": { "sellingSize": "1 Kit", "publicAssetCode":"ab228528-1Kit", "assetComponentDetails": [ { "size":"1 x 10 µL", "name":"Anti-p27 KIP 1 antibody [Y236]", "number":"AB228528-CMP07", "productcode":"AB32034" }, { "size":"1 x 10 µL", "name":"Anti-Cdk6 antibody [EPR4515]", "number":"AB228528-CMP05", "productcode":"AB124821" }, { "size":"1 x 10 µL", "name":"Anti-Cyclin D1 antibody [EPR2241]", "number":"AB228528-CMP03", "productcode":"AB134175" }, { "size":"1 x 10 µL", "name":"Anti-Cdk2 antibody [E304]", "number":"AB228528-CMP02", "productcode":"AB32147" }, { "size":"1 x 10 µL", "name":"Anti-p21 antibody [EPR3993]", "number":"AB228528-CMP04", "productcode":"AB109199" }, { "size":"1 x 10 µL", "name":"Anti-Cyclin B1 antibody [EPR17060]", "number":"AB228528-CMP06", "productcode":"AB181593" }, { "size":"1 x 10 µL", "name":"Goat Anti-Rabbit IgG H+L (HRP)", "number":"AB228528-CMP01", "productcode":"AB205718" } ] } } }

Properties and storage information

Shipped at conditions
Blue Ice
Appropriate short-term storage conditions
+4°C
Appropriate long-term storage conditions
-20°C
Storage information
+4°C

Product protocols

Target data

Serine/threonine-protein kinase involved in the control of the cell cycle; essential for meiosis, but dispensable for mitosis (PubMed : 10499802, PubMed : 10884347, PubMed : 10995386, PubMed : 10995387, PubMed : 11051553, PubMed : 11113184, PubMed : 12944431, PubMed : 15800615, PubMed : 17495531, PubMed : 19966300, PubMed : 20935635, PubMed : 21262353, PubMed : 21596315, PubMed : 28216226, PubMed : 28666995). Phosphorylates CABLES1, CTNNB1, CDK2AP2, ERCC6, NBN, USP37, p53/TP53, NPM1, CDK7, RB1, BRCA2, MYC, NPAT, EZH2 (PubMed : 10499802, PubMed : 10995386, PubMed : 10995387, PubMed : 11051553, PubMed : 11113184, PubMed : 12944431, PubMed : 15800615, PubMed : 19966300, PubMed : 20935635, PubMed : 21262353, PubMed : 21596315, PubMed : 28216226). Triggers duplication of centrosomes and DNA (PubMed : 11051553). Acts at the G1-S transition to promote the E2F transcriptional program and the initiation of DNA synthesis, and modulates G2 progression; controls the timing of entry into mitosis/meiosis by controlling the subsequent activation of cyclin B/CDK1 by phosphorylation, and coordinates the activation of cyclin B/CDK1 at the centrosome and in the nucleus (PubMed : 18372919, PubMed : 19238148, PubMed : 19561645). Crucial role in orchestrating a fine balance between cellular proliferation, cell death, and DNA repair in embryonic stem cells (ESCs) (PubMed : 18372919, PubMed : 19238148, PubMed : 19561645). Activity of CDK2 is maximal during S phase and G2; activated by interaction with cyclin E during the early stages of DNA synthesis to permit G1-S transition, and subsequently activated by cyclin A2 (cyclin A1 in germ cells) during the late stages of DNA replication to drive the transition from S phase to mitosis, the G2 phase (PubMed : 18372919, PubMed : 19238148, PubMed : 19561645). EZH2 phosphorylation promotes H3K27me3 maintenance and epigenetic gene silencing (PubMed : 20935635). Cyclin E/CDK2 prevents oxidative stress-mediated Ras-induced senescence by phosphorylating MYC (PubMed : 19966300). Involved in G1-S phase DNA damage checkpoint that prevents cells with damaged DNA from initiating mitosis; regulates homologous recombination-dependent repair by phosphorylating BRCA2, this phosphorylation is low in S phase when recombination is active, but increases as cells progress towards mitosis (PubMed : 15800615, PubMed : 20195506, PubMed : 21319273). In response to DNA damage, double-strand break repair by homologous recombination a reduction of CDK2-mediated BRCA2 phosphorylation (PubMed : 15800615). Involved in regulation of telomere repair by mediating phosphorylation of NBN (PubMed : 28216226). Phosphorylation of RB1 disturbs its interaction with E2F1 (PubMed : 10499802). NPM1 phosphorylation by cyclin E/CDK2 promotes its dissociates from unduplicated centrosomes, thus initiating centrosome duplication (PubMed : 11051553). Cyclin E/CDK2-mediated phosphorylation of NPAT at G1-S transition and until prophase stimulates the NPAT-mediated activation of histone gene transcription during S phase (PubMed : 10995386, PubMed : 10995387). Required for vitamin D-mediated growth inhibition by being itself inactivated (PubMed : 20147522). Involved in the nitric oxide- (NO) mediated signaling in a nitrosylation/activation-dependent manner (PubMed : 20079829). USP37 is activated by phosphorylation and thus triggers G1-S transition (PubMed : 21596315). CTNNB1 phosphorylation regulates insulin internalization (PubMed : 21262353). Phosphorylates FOXP3 and negatively regulates its transcriptional activity and protein stability (By similarity). Phosphorylates ERCC6 which is essential for its chromatin remodeling activity at DNA double-strand breaks (PubMed : 29203878).
See full target information CDK2

Additional targets

CDK6,CCNB1,CCND1,CDKN1B,CDKN1A

Publications (6)

Recent publications for all applications. Explore the full list and refine your search

Clinical epigenetics 17:142 PubMed40817218

2025

Deciphering the methylation landscape of long noncoding RNAs in hepatocellular carcinoma: a focus on LINC00942.

Applications

Unspecified application

Species

Unspecified reactive species

Zhaoqi Shi,Xiaolong Liu,Duguang Li,Jing Yang,Haonan Chen,Hui Lin,Xiaoxiao Fan

Translational oncology 45:101978 PubMed38701650

2024

TCF19 promotes cell proliferation and tumor formation in lung cancer by activating the Raf/MEK/ERK signaling pathway.

Applications

Unspecified application

Species

Unspecified reactive species

Yahui Tian,Shaowei Xin,Zitong Wan,Honghong Dong,Lu Liu,Zhenzhen Fan,Tian Li,Fujun Peng,Yanlu Xiong,Yong Han

Cell & bioscience 12:193 PubMed36457047

2022

In vivo genome-wide CRISPR screening identifies ZNF24 as a negative NF-κB modulator in lung cancer.

Applications

Unspecified application

Species

Unspecified reactive species

Lu Liu,Yuxi Lei,Wensheng Chen,Qian Zhou,Zongyao Zheng,Guandi Zeng,Wanting Liu,Pengju Feng,Zhiyi Zhang,Lei Yu,Liang Chen

Thoracic cancer 13:1772-1782 PubMed35537816

2022

ACT001 inhibits the proliferation of non-small cell lung cancer cells by upregulating NKTR expression.

Applications

Unspecified application

Species

Unspecified reactive species

Min Zhao,Tingting Qin,Dingzhi Huang

International journal of medical sciences 17:2926-2940 PubMed33173413

2020

Interactome analysis of gene expression profiles identifies CDC6 as a potential therapeutic target modified by miR-215-5p in hepatocellular carcinoma.

Applications

Unspecified application

Species

Unspecified reactive species

Hongfa Xu,Jianwen Huang,Shengni Hua,Linjun Liang,Xu He,Meixiao Zhan,Ligong Lu,Jing Chu

Experimental cell research 387:111714 PubMed31711919

2019

FAM122A supports the growth of hepatocellular carcinoma cells and its deletion enhances Doxorubicin-induced cytotoxicity.

Applications

Unspecified application

Species

Unspecified reactive species

Yong Zhou,Wen-Yang Shi,Wei He,Zhao-Wen Yan,Man-Hua Liu,Jing Chen,Yun-Sheng Yang,Yin-Qi Wang,Guo-Qiang Chen,Ying Huang
View all publications

Product promise

We are committed to supporting your work with high-quality reagents, and we're here for you every step of the way. In the unlikely event that one of our products does not perform as expected, you're protected by our Product Promise.
For full details, please see our Terms & Conditions

Please note: All products are 'FOR RESEARCH USE ONLY. NOT FOR USE IN DIAGNOSTIC OR THERAPEUTIC PROCEDURES'.

For licensing inquiries, please contact partnerships@abcam.com