JavaScript is disabled in your browser. Please enable JavaScript to view this website.
AB254023

Endothelial Cell Marker (CD31, CD34, ICAM1, CD45) Antibody Sampler Panel - Human

Be the first to review this product! Submit a review

|

(1 Publication)

Endothelial Cell Marker panel containing 4 rabbit monoclonal antibodies against Human CD31, CD34, ICAM1, CD45 and 1 Mouse monoclonal against Human CD31.

- Specifically selected for high performance in various applications.
- Provided as a sampler panel to allow you to easily evaluate each in your required applications.

View Alternative Names

CD31, Platelet endothelial cell adhesion molecule, PECAM-1, EndoCAM, GPIIA', PECA1, PECAM1

4 Images
Immunocytochemistry/ Immunofluorescence - Endothelial Cell Marker (CD31, CD34, ICAM1, CD45) Antibody Sampler Panel - Human (AB254023)
  • ICC/IF

Unknown

Immunocytochemistry/ Immunofluorescence - Endothelial Cell Marker (CD31, CD34, ICAM1, CD45) Antibody Sampler Panel - Human (AB254023)

Immunocytochemistry/Immunofluorescence analysis of HUVEC (Human umbilical vein endothelial cell line) cells labelling CD34 with purified ab81289 at 1/100. Cells were fixed with 4% paraformaldehyde and permeabilized with 0.1% Triton X-100. An Alexa Fluor® 488-conjugated goat anti-rabbit IgG (ab150077) (1/500) was used as the secondary antibody. DAPI (blue) was used as the nuclear counter stain.

Control : primary antibody (1/100) and secondary antibody, ab150120, an Alexa Fluor® 488-conjugated goat anti-mouse IgG (1/500).

Immunohistochemistry (Formalin/PFA-fixed paraffin-embedded sections) - Endothelial Cell Marker (CD31, CD34, ICAM1, CD45) Antibody Sampler Panel - Human (AB254023)
  • IHC-P

Unknown

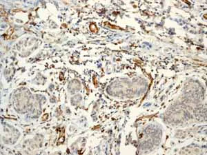
Immunohistochemistry (Formalin/PFA-fixed paraffin-embedded sections) - Endothelial Cell Marker (CD31, CD34, ICAM1, CD45) Antibody Sampler Panel - Human (AB254023)

Immunohistochemistry (Formalin/PFA-fixed paraffin-embedded sections) analysis of human angiosarcoma labeling CD34 with unpurified ab81289 at 1/100-1/250.

Immunohistochemistry (Formalin/PFA-fixed paraffin-embedded sections) - Endothelial Cell Marker (CD31, CD34, ICAM1, CD45) Antibody Sampler Panel - Human (AB254023)
  • IHC-P

Unknown

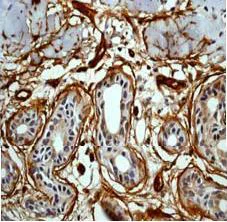
Immunohistochemistry (Formalin/PFA-fixed paraffin-embedded sections) - Endothelial Cell Marker (CD31, CD34, ICAM1, CD45) Antibody Sampler Panel - Human (AB254023)

Immunohistochemical analysis of paraffin embedded Human Breast carcinoma vessels tissue using ab134168 showing +ve staining.

Immunohistochemistry (Formalin/PFA-fixed paraffin-embedded sections) - Endothelial Cell Marker (CD31, CD34, ICAM1, CD45) Antibody Sampler Panel - Human (AB254023)
  • IHC-P

Unknown

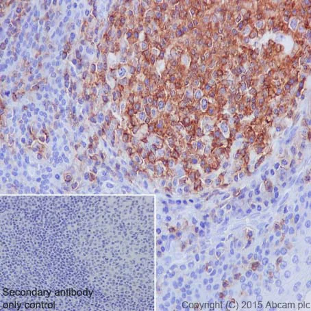
Immunohistochemistry (Formalin/PFA-fixed paraffin-embedded sections) - Endothelial Cell Marker (CD31, CD34, ICAM1, CD45) Antibody Sampler Panel - Human (AB254023)

Immunohistochemical staining of paraffin embedded human tonsil with purified ab40763 at a working dilution of 1/250.

The secondary antibody used is HRP goat anti-rabbit IgG H&L (ab97051) at 1/500. The sample is counterstained with hematoxylin. Antigen retrieval was perfomed using Tris-EDTA buffer, pH 9.0.

PBS was used instead of the primary antibody as the negative control (shown in the inset).

Key facts

Reacts with

Human

Target

PECAM1

target

Product details

Product Specifications
Endothelial Cell Marker (CD31, CD34, ICAM1, CD45) Antibody Sampler Panel - Human (ab254023) is a panel of 5 monoclonal antibodies specific to endothelial cell markers. Endothelial cell markers are proteins used to identify and study endothelial cells, which line blood vessels and regulate vascular function.
This panel contains four rabbit recombinant monoclonal antibodies and one mouse monoclonal antibody to CD31 (UniProt: P16284), CD34 (UniProt: P28906), ICAM1 (UniProt: P05362) and CD45 (UniProt: P08575) in convenient trial sizes (20 µg/ 20 µL) to allow for efficient and cost-effect testing of the antibodies simultaneously.

The individual antibodies included in this panel are:

  • Rabbit recombinant monoclonal anti-CD31 antibody [EP3095] (ab134168
  • Mouse monoclonal anti-CD31 antibody [P2B1] (ab24590
  • Rabbit recombinant monoclonal anti-CD34 antibody [EP373Y] (ab81289
  • Rabbit recombinant monoclonal anti-ICAM1 antibody [EP1442Y] (ab53013
  • Rabbit recombinant monoclonal anti-CD45 antibody [EP322Y] (ab40763

All of these component antibodies are available for purchase individually using their corresponding abIDs.

Quality and Validation
Abcams high quality validation processes ensure each component antibody is sensitive and specific to the target protein.
All antibodies in this panel have been validated in human samples in a variety of applications, and some also have reactivity in other species.
For information on the species reactivity and application validation of each antibody within the panel, please consult the individual datasheet for each antibody. Suggested dilution factor and additional information on protocols can also be found on the antibody datasheets.
All antibodies in this panel have a minimum of 40 citations in peer-reviewed journals and are trusted by scientific community.

Related Products
Many of our antibody clones are also available as carrier-free formulations for easy conjugation to labels of your choice, or in pre-conjugated formats. Please search the clone name for alternative formulations and related products.

Explore our range of antibody sample panels designed to provide you with a variety of trial-size antibodies in a convenient and cost-effective format.

Carrier-free formulations of our recombinant antibodies are also available for easy conjugation to labels of your choice and for multiplex applications. Use our intuitive search and select carrier-free or your label of choice. For bespoke conjugations or large volumes email bespoke@abcam.com.

Patented technology
Our RabMAb® technology is a patented hybridoma-based technology for making rabbit monoclonal antibodies. For details on our patents, please refer to RabMAb® patents.

What's included?

{ "values": { "1Kit": { "sellingSize": "1 Kit", "publicAssetCode":"ab254023-1Kit", "assetComponentDetails": [ { "size":"2 x 10 µL", "name":"Anti-CD45 antibody [EP322Y]", "number":"AB254023-CMP03", "productcode":"AB40763" }, { "size":"2 x 10 µL", "name":"Anti-CD34 antibody [EP373Y]", "number":"AB254023-CMP05", "productcode":"AB81289" }, { "size":"2 x 10 µL", "name":"Anti-ICAM1 antibody [EP1442Y]", "number":"AB254023-CMP02", "productcode":"AB53013" }, { "size":"2 x 10 µg", "name":"Anti-CD31 antibody [P2B1]", "number":"AB254023-CMP01", "productcode":"AB24590" }, { "size":"2 x 10 µL", "name":"Anti-CD31 antibody [EP3095]", "number":"AB254023-CMP04", "productcode":"AB134168" } ] } } }

Properties and storage information

Shipped at conditions
Blue Ice
Appropriate short-term storage conditions
-20°C
Appropriate long-term storage conditions
-20°C
Storage information
-20°C

Supplementary information

This supplementary information is collated from multiple sources and compiled automatically.

ICAM1 CD34 CD45 and CD31 are important proteins involved in cell communication and adhesion. ICAM1 also known as CD54 is a cell surface glycoprotein with a mass of about 55-60 kDa and is expressed on endothelial cells and immune cells. CD34 is a sialomucin-like protein expressed on hematopoietic stem cells and endothelial cells. CD45 also known as leukocyte common antigen (LCA) is a receptor-type protein tyrosine phosphatase with a mass of around 180-240 kDa and occurs universally on nucleated hematopoietic cells. CD31 known as platelet endothelial cell adhesion molecule (PECAM-1) is found on endothelial cells some immune cells and platelets. It has a mass of approximately 130 kDa. These proteins are endothelial markers useful in immunohistochemistry for identifying specific cell types.
Biological function summary

These proteins act in various roles essential for cellular communication and immune response regulation. ICAM1 functions as a ligand for integrins facilitating the adhesion and transmigration of leukocytes through the endothelium. CD34 plays a role in cell adhesion and differentiation marking hematopoietic precursor cells. CD45 is significant in signal transduction for leukocytes functioning in antigen receptor signaling pathways. CD31 mediates leukocyte transmigration and is engaged in maintaining vascular barrier integrity. These proteins are not typically part of a larger complex but interact with various receptors and ligands in their respective functions.

Pathways

These proteins contribute to important biological processes including the immune response and hematopoiesis. ICAM1 is involved in the immune response pathway facilitating interactions between leukocytes and endothelial cells. This involves integrins such as LFA-1 which aid in leukocyte adhesion. CD45 is important in lymphocyte activation pathways interacting with antigen receptors for T and B cell activation. CD34 is involved in hematopoiesis via the stem cell niche interactions. CD31 plays a role in the vascular integrity pathway. Together these proteins integrate into broader cellular signaling networks for effective immune surveillance and response.

These proteins contribute to the pathology of conditions like atherosclerosis and leukemia. ICAM1 expression increases in inflammatory disorders contributing to atherosclerosis by facilitating leukocyte adhesion to endothelium. This process often involves other proteins like VCAM-1 in promoting atherogenesis. CD34 is a marker for certain hematological malignancies including acute myeloid leukemia serving as a hematopoietic stem cell marker. CD45 is relevant in identifying leukocyte populations in leukemias. CD31 with its role in endothelial integrity can be implicated in vascular disorders. These proteins are useful in diagnostic contexts aiding in the identification and characterization of these disease states.

Product protocols

Target data

Cell adhesion molecule which is required for leukocyte transendothelial migration (TEM) under most inflammatory conditions (PubMed : 17580308, PubMed : 19342684). Tyr-690 plays a critical role in TEM and is required for efficient trafficking of PECAM1 to and from the lateral border recycling compartment (LBRC) and is also essential for the LBRC membrane to be targeted around migrating leukocytes (PubMed : 19342684). Trans-homophilic interaction may play a role in endothelial cell-cell adhesion via cell junctions (PubMed : 27958302). Heterophilic interaction with CD177 plays a role in transendothelial migration of neutrophils (PubMed : 17580308). Homophilic ligation of PECAM1 prevents macrophage-mediated phagocytosis of neighboring viable leukocytes by transmitting a detachment signal (PubMed : 12110892). Promotes macrophage-mediated phagocytosis of apoptotic leukocytes by tethering them to the phagocytic cells; PECAM1-mediated detachment signal appears to be disabled in apoptotic leukocytes (PubMed : 12110892). Modulates bradykinin receptor BDKRB2 activation (PubMed : 18672896). Regulates bradykinin- and hyperosmotic shock-induced ERK1/2 activation in endothelial cells (PubMed : 18672896). Induces susceptibility to atherosclerosis (By similarity).. Isoform Delta15. Does not protect against apoptosis.
See full target information PECAM1

Additional targets

CD34,ICAM1,PTPRC

Publications (1)

Recent publications for all applications. Explore the full list and refine your search

Heliyon 9:e22656 PubMed38125461

2023

Comprehensive analysis of single-cell and bulk RNA-sequencing data identifies B cell marker genes signature that predicts prognosis and analysis of immune checkpoints expression in head and neck squamous cell carcinoma.

Applications

Unspecified application

Species

Unspecified reactive species

Dilinaer Wusiman,Wenbin Li,Lei Guo,Zehao Huang,Yi Zhang,Xiwei Zhang,Xiaohui Zhao,Lin Li,Zhaohong An,Zhengjiang Li,Jianming Ying,Changming An
View all publications

Product promise

We are committed to supporting your work with high-quality reagents, and we're here for you every step of the way. In the unlikely event that one of our products does not perform as expected, you're protected by our Product Promise.
For full details, please see our Terms & Conditions

Please note: All products are 'FOR RESEARCH USE ONLY. NOT FOR USE IN DIAGNOSTIC OR THERAPEUTIC PROCEDURES'.

For licensing inquiries, please contact partnerships@abcam.com