JavaScript is disabled in your browser. Please enable JavaScript to view this website.
AB252202

Granzyme B Antibody Panel (EPR8260, EPR20129-217, BLR022E)

Be the first to review this product! Submit a review

|

(1 Publication)

Granzyme B Antibody Panel (EPR8260, EPR20129-217, BLR022E) (ab252202) is part of the multiplex kits range. Abcam offers high-quality biological reagents and tools including antibodies, proteins, assays, cell lines and lysates.
2 Images
Immunohistochemistry (Formalin/PFA-fixed paraffin-embedded sections) - Granzyme B Antibody Panel (EPR8260, EPR20129-217, BLR022E) (AB252202)
  • IHC-P

Unknown

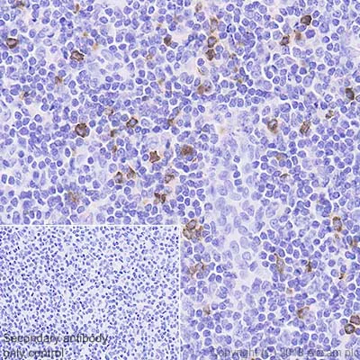
Immunohistochemistry (Formalin/PFA-fixed paraffin-embedded sections) - Granzyme B Antibody Panel (EPR8260, EPR20129-217, BLR022E) (AB252202)

Immunohistochemistry (Formalin/PFA-fixed paraffin-embedded sections) analysis of Human tonsil tissue sections labeling Granzyme B with Purified ab134933 at 1 : 250 dilution (2.96 μg/ml). Heat mediated antigen retrieval was performed Perform heat mediated antigen retrieval using ab93684 (Tris/EDTA buffer, pH 9.0). ImmunoHistoProbe one step HRP Polymer (ready to use)was used as the secondary antibody. Negative control : PBS instead of the primary antibody. Hematoxylin was used as a counterstain.

Immunohistochemistry (Formalin/PFA-fixed paraffin-embedded sections) - Granzyme B Antibody Panel (EPR8260, EPR20129-217, BLR022E) (AB252202)
  • IHC-P

Supplier Data

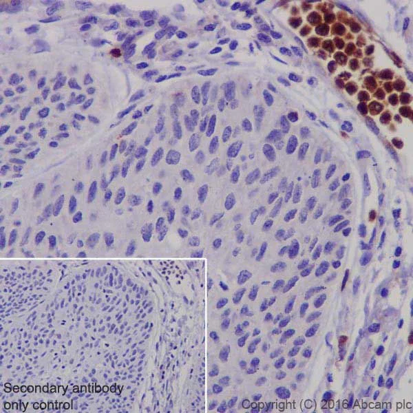
Immunohistochemistry (Formalin/PFA-fixed paraffin-embedded sections) - Granzyme B Antibody Panel (EPR8260, EPR20129-217, BLR022E) (AB252202)

Immunohistochemical analysis of paraffin-embedded human cervix cancer tissue labeling Granzyme B with ab208586 at 1/250 dilution, followed by Goat Anti-Rabbit IgG H&L (HRP) (ab97051) at 1/500 dilution. Cytoplasmic staining on neutrophils and stroma cells of human cervix cancer is observed [PMID : 14512315]. Counter stained with Hematoxylin.

Secondary antibody only control : Used PBS instead of primary antibody, secondary antibody is Goat Anti-Rabbit IgG H&L (HRP) (ab97051) at 1/500 dilution.

Key facts

Reacts with

Human

Product details

Granzyme B Antibody Panel ab252202 contains multiple trial-sized versions of anti-human antibody clones against Granzyme B, specifically selected for high performance in IHC. This panel contains 3 recombinant rabbit monoclonal antibodies against human Granzyme B. They are provided in trial sizes to allow you to easily evaluate which is the best Granzyme B antibody for your IHC research assay needs.

For guidelines on how to use each antibody within the panel, please consult the individual datasheet for each antibody.

Panel contains:

- Rabbit monoclonal [BLR022E] to Granzyme B (20 μL) ab243879

- Rabbit monoclonal [EPR20129-217] to Granzyme B (20 μL) ab208586

- Rabbit monoclonal [EPR8260] to Granzyme B (20 μL) ab134933

Explore our range of antibody sample panels designed to provide you with a variety of trial-size antibodies in a convenient and cost-effective format.

Carrier-free formulations of our recombinant antibodies are also available for easy conjugation to labels of your choice and for multiplex applications. Use our intuitive search and select carrier-free or your label of choice. For bespoke conjugations or large volumes email bespoke@abcam.com.

REACH authorisation
Abcam has not and does not intend to apply for the REACH Authorisation of customers' uses of products that contain European Authorisation list (Annex XIV) substances.
It is the responsibility of our customers to check the necessity of application of REACH Authorisation, and any other relevant authorisations, for their intended uses.

What's included?

{ "values": { "1Kit": { "sellingSize": "1 Kit", "publicAssetCode":"ab252202-1Kit", "assetComponentDetails": [ { "size":"2 x 10 µL", "name":"Anti-Granzyme B antibody [BLR022E]", "number":"AB252202-CMP01", "productcode":"AB243879" }, { "size":"2 x 10 µL", "name":"Anti-Granzyme B antibody [EPR8260]", "number":"AB252202-CMP02", "productcode":"AB134933" }, { "size":"2 x 10 µL", "name":"Anti-Granzyme B antibody [EPR20129-217]", "number":"AB252202-CMP03", "productcode":"AB208586" } ] } } }

Properties and storage information

Shipped at conditions
Blue Ice
Appropriate short-term storage conditions
+4°C
Appropriate long-term storage conditions
+4°C
Storage information
+4°C

Supplementary information

This supplementary information is collated from multiple sources and compiled automatically.

Granzyme B also known as GZMB GB11 or granzyme B protein is a serine protease with a molecular mass of approximately 32 kDa. It is expressed mainly in cytotoxic T lymphocytes and natural killer (NK) cells. This enzyme plays a mechanical role in inducing apoptosis in target cells serving as an effector protein in the immune system's defense against virally infected cells or transformed cancer cells. The activity of granzyme B relies on its ability to cleave after aspartate residues in substrate proteins leading to the activation of apoptotic pathways.
Biological function summary

Granzyme B participates prominently in the immune response by activating caspases particularly caspase-3 which promotes the breakdown of cellular components necessary for apoptosis. Granzyme B does not function in isolation but acts in concert with other immune system factors such as perforin to effectively induce cell death. Perforin creates pores in the target cell membrane allowing granzyme B to enter and instigate the apoptosis sequence. The enzyme also contributes to the processing of cytokines which enhances the immune response further.

Pathways

Studies have determined that granzyme B is critical in the apoptosis pathway particularly in the granule exocytosis pathway. It closely interacts with proteins such as perforin and other granzymes to mediate apoptosis in target cells. Granzyme B also plays a role in the inflammatory response and can influence pathways associated with cytotoxic T cell signaling. Its pathway interactions ensure effective elimination of damaged or infected cells maintaining tissue homeostasis.

Granzyme B has associations with autoimmune diseases and cancer. Abnormally high levels of granzyme B can contribute to tissue damage and inflammation in autoimmune conditions like rheumatoid arthritis. In the context of cancer granzyme B aids in tumor surveillance and destruction when functioning correctly but impaired granzyme B activity can lead to evasion of immune detection by cancerous cells. Perforin also plays a role in these conditions closely working with granzyme B to either protect against or drive disease progression.

Product protocols

Target data

Publications (1)

Recent publications for all applications. Explore the full list and refine your search

NPJ digital medicine 6:48 PubMed36959234

2023

Weakly supervised deep learning to predict recurrence in low-grade endometrial cancer from multiplexed immunofluorescence images.

Applications

Unspecified application

Species

Unspecified reactive species

Daniel Jiménez-Sánchez,Álvaro López-Janeiro,María Villalba-Esparza,Mikel Ariz,Ece Kadioglu,Ivan Masetto,Virginie Goubert,Maria D Lozano,Ignacio Melero,David Hardisson,Carlos Ortiz-de-Solórzano,Carlos E de Andrea
View all publications

Product promise

We are committed to supporting your work with high-quality reagents, and we're here for you every step of the way. In the unlikely event that one of our products does not perform as expected, you're protected by our Product Promise.
For full details, please see our Terms & Conditions

Please note: All products are 'FOR RESEARCH USE ONLY. NOT FOR USE IN DIAGNOSTIC OR THERAPEUTIC PROCEDURES'.

For licensing inquiries, please contact partnerships@abcam.com