JavaScript is disabled in your browser. Please enable JavaScript to view this website.
AB254022

Hematopoietic Stem Cell Marker (CD34, CD59, CD90 / Thy1, CD38, c-Kit) Antibody Panel - Human

Be the first to review this product! Submit a review

|

(2 Publications)

Hematopoietic Stem Cell Marker (CD34, CD59, CD90 / Thy1, CD38, c-Kit) Antibody Panel - Human (ab254022) is part of the multiplex kits range. Abcam offers high-quality biological reagents and tools including antibodies, proteins, assays, cell lines and lysates.

View Alternative Names

CD34, Hematopoietic progenitor cell antigen CD34

7 Images
Immunohistochemistry (Formalin/PFA-fixed paraffin-embedded sections) - Hematopoietic Stem Cell Marker (CD34, CD59, CD90 / Thy1, CD38, c-Kit) Antibody Panel - Human (AB254022)
  • IHC-P

Unknown

Immunohistochemistry (Formalin/PFA-fixed paraffin-embedded sections) - Hematopoietic Stem Cell Marker (CD34, CD59, CD90 / Thy1, CD38, c-Kit) Antibody Panel - Human (AB254022)

Immunohistochemistry (Formalin/PFA-fixed paraffin-embedded sections) analysis of human angiosarcoma labeling CD34 with unpurified ab81289 at 1/100-1/250.

Immunocytochemistry/ Immunofluorescence - Hematopoietic Stem Cell Marker (CD34, CD59, CD90 / Thy1, CD38, c-Kit) Antibody Panel - Human (AB254022)
  • ICC/IF

Unknown

Immunocytochemistry/ Immunofluorescence - Hematopoietic Stem Cell Marker (CD34, CD59, CD90 / Thy1, CD38, c-Kit) Antibody Panel - Human (AB254022)

Immunocytochemistry/Immunofluorescence analysis of HUVEC (Human umbilical vein endothelial cell line) cells labelling CD34 with purified ab81289 at 1/100. Cells were fixed with 4% paraformaldehyde and permeabilized with 0.1% Triton X-100. An Alexa Fluor® 488-conjugated goat anti-rabbit IgG (ab150077) (1/500) was used as the secondary antibody. DAPI (blue) was used as the nuclear counter stain.

Control : primary antibody (1/100) and secondary antibody, ab150120, an Alexa Fluor® 488-conjugated goat anti-mouse IgG (1/500).

Immunohistochemistry (Formalin/PFA-fixed paraffin-embedded sections) - Hematopoietic Stem Cell Marker (CD34, CD59, CD90 / Thy1, CD38, c-Kit) Antibody Panel - Human (AB254022)
  • IHC-P

Unknown

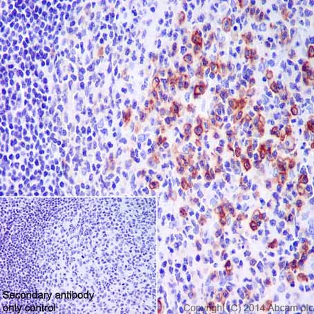
Immunohistochemistry (Formalin/PFA-fixed paraffin-embedded sections) - Hematopoietic Stem Cell Marker (CD34, CD59, CD90 / Thy1, CD38, c-Kit) Antibody Panel - Human (AB254022)

Immunohistochemistry (Formalin/PFA-fixed paraffin-embedded sections) analysis of human tonsil tissue labelling CD38 with purified ab108403 at 1/500. Heat mediated antigen retrieval was performed using Tris/EDTA buffer pH 9. ab97051, a HRP-conjugated goat anti-rabbit IgG (H+L) was used as the secondary antibody (1/500). Negative control using PBS instead of primary antibody. Counterstained with hematoxylin.

Immunohistochemistry (Formalin/PFA-fixed paraffin-embedded sections) - Hematopoietic Stem Cell Marker (CD34, CD59, CD90 / Thy1, CD38, c-Kit) Antibody Panel - Human (AB254022)
  • IHC-P

Unknown

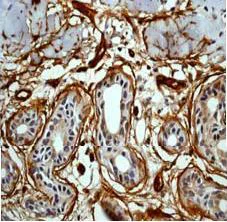
Immunohistochemistry (Formalin/PFA-fixed paraffin-embedded sections) - Hematopoietic Stem Cell Marker (CD34, CD59, CD90 / Thy1, CD38, c-Kit) Antibody Panel - Human (AB254022)

Immunohistochemical analysis of CD59 in paraffin embedded Human placenta tissue labelled with ab133707 at a 1/100 dilution.

Immunohistochemistry (Formalin/PFA-fixed paraffin-embedded sections) - Hematopoietic Stem Cell Marker (CD34, CD59, CD90 / Thy1, CD38, c-Kit) Antibody Panel - Human (AB254022)
  • IHC-P

Unknown

Immunohistochemistry (Formalin/PFA-fixed paraffin-embedded sections) - Hematopoietic Stem Cell Marker (CD34, CD59, CD90 / Thy1, CD38, c-Kit) Antibody Panel - Human (AB254022)

Immunohistochemistry (Formalin/PFA-fixed paraffin-embedded sections) analysis of human seminoma tissue labelling c-Kit with unpurified ab32363.

Western blot - Hematopoietic Stem Cell Marker (CD34, CD59, CD90 / Thy1, CD38, c-Kit) Antibody Panel - Human (AB254022)
  • WB

Lab

Western blot - Hematopoietic Stem Cell Marker (CD34, CD59, CD90 / Thy1, CD38, c-Kit) Antibody Panel - Human (AB254022)

Lane 1 : Wild-type HAP1 whole cell lysate (40 μg)
Lane 2 : CD59 knockout HAP1 whole cell lysate (40 μg)

Lanes 1 - 2 : Merged signal (red and green). Green - Anti-CD59 antibody [EPR6425(2)] (ab133707) observed at 14 kDa. Red - loading control, ab9484, observed at 37 kDa.

ab133707 was shown to specifically react with CD59 in wild-type HAP1 cells as signal was lost in CD59 knockout cells. Wild-type and CD59 knockout samples were subjected to SDS-PAGE. ab133707 and ab9484 (Mouse anti-GAPDH loading control) were incubated overnight at 4°C at 1/1000 dilution and 1/20000 dilution respectively. Blots were developed with Goat anti-Rabbit IgG H&L (IRDye® 800CW) preabsorbed ab216773 and Goat anti-Mouse IgG H&L (IRDye® 680RD) preabsorbed ab216776 secondary antibodies at 1/20000 dilution for 1 hour at room temperature before imaging.

All lanes:

Western blot - Anti-CD59 antibody [EPR6425(2)] (<a href='/en-us/products/primary-antibodies/cd59-antibody-epr64252-ab133707'>ab133707</a>)

Predicted band size: 14 kDa

false

Western blot - Hematopoietic Stem Cell Marker (CD34, CD59, CD90 / Thy1, CD38, c-Kit) Antibody Panel - Human (AB254022)
  • WB

Lab

Western blot - Hematopoietic Stem Cell Marker (CD34, CD59, CD90 / Thy1, CD38, c-Kit) Antibody Panel - Human (AB254022)

All lanes : Anti-c-Kit antibody [YR145] (ab32363) at 1/1000 dilution

Lane 1 : Wild-type HAP1 whole cell lysate

Lane 2 : KIT knockout HAP1 whole cell lysate

Lane 3 : HUVEC whole cell lysate

Lysates/proteins at 40 μg per lane.

Predicted band size : 110 kDaLanes 1 - 3 : Merged signal (red and green). Green - ab32363 observed at 109 kDa. Red - loading control, ab9484, observed at 37 kDa.

Lanes 1 - 3 : Merged signal (red and green). Green - ab32363 observed at 109 kDa. Red - loading control, ab9484, observed at 37 kDa.

ab32363 was shown to recognize 0 in wild-type HAP1 cells as signal was lost at the expected MW in KIT knockout cells. Additional cross-reactive bands were observed in the wild-type and knockout cells. Wild-type and KIT knockout samples were subjected to SDS-PAGE. ab32363 and ab9484 (Mouse anti-GAPDH loading control) were incubated overnight at 4°C at 1/1000 dilution and 1/20000 dilution respectively. Blots were developed with Goat anti-Rabbit IgG H&L (IRDye® 800CW) preabsorbed ab216773 and Goat anti-Mouse IgG H&L (IRDye® 680RD) preabsorbed ab216776 secondary antibodies at 1/20000 dilution for 1 hour at room temperature before imaging.

All lanes:

Western blot - Anti-c-Kit antibody [YR145] (<a href='/en-us/products/primary-antibodies/c-kit-antibody-yr145-ab32363'>ab32363</a>) at 1/1000 dilution

Lane 1:

Wild-type HAP1 whole cell lysate at 40 µg

Lane 2:

KIT knockout HAP1 whole cell lysate at 40 µg

Lane 3:

HUVEC whole cell lysate at 40 µg

Predicted band size: 109 kDa

false

Key facts

Reacts with

Human

Target

CD34

target

Product details

Hematopoietic Stem Cell Marker (CD34, CD59, CD90 / Thy1, CD38, c-Kit) Antibody Panel - Human ab254022 contains multiple trial-sized versions of anti-human antibody clones against CD34, CD59, CD90 / Thy1, CD38, c-Kit, specifically selected for high performance in various applications. This panel contains 5 recombinant rabbit monoclonal antibodies against human CD34, CD59, CD90 / Thy1, CD38, c-Kit. They are provided as a sampler panel to allow you to easily evaluate each in your required applications.

For guidelines on how to use each antibody within the panel, please consult the individual datasheet for each antibody.

Panel contains:

- Rabbit monoclonal [EP373Y] to CD34 (20 μL) ab81289

- Rabbit monoclonal [EPR6425(2)] to CD59 (20 μL) ab133707

- Rabbit monoclonal [EPR3133] to CD90 / Thy1 (20 μL) ab133350

- Rabbit monoclonal [EPR4106] to CD38 (20 μL) ab108403

- Rabbit monoclonal [YR145] to c-Kit (20 μL) ab32363

Explore our range of antibody sample panels designed to provide you with a variety of trial-size antibodies in a convenient and cost-effective format.

Carrier-free formulations of our recombinant antibodies are also available for easy conjugation to labels of your choice and for multiplex applications. Use our intuitive search and select carrier-free or your label of choice. For bespoke conjugations or large volumes email bespoke@abcam.com.

Patented technology
Our RabMAb® technology is a patented hybridoma-based technology for making rabbit monoclonal antibodies. For details on our patents, please refer to RabMAb® patents.

What's included?

{ "values": { "1Kit": { "sellingSize": "1 Kit", "publicAssetCode":"ab254022-1Kit", "assetComponentDetails": [ { "size":"2 x 10 µL", "name":"Anti-c-Kit antibody [YR145]", "number":"AB254022-CMP01", "productcode":"AB32363" }, { "size":"2 x 10 µL", "name":"Anti-CD90 / Thy1 antibody [EPR3133]", "number":"AB254022-CMP02", "productcode":"AB133350" }, { "size":"2 x 10 µL", "name":"Anti-CD59 antibody [EPR6425(2)]", "number":"AB254022-CMP03", "productcode":"AB133707" }, { "size":"2 x 10 µL", "name":"Anti-CD38 antibody [EPR4106]", "number":"AB254022-CMP04", "productcode":"AB108403" }, { "size":"2 x 10 µL", "name":"Anti-CD34 antibody [EP373Y]", "number":"AB254022-CMP05", "productcode":"AB81289" } ] } } }

Properties and storage information

Shipped at conditions
Blue Ice
Appropriate short-term storage conditions
-20°C
Appropriate long-term storage conditions
-20°C
Storage information
-20°C

Product protocols

Target data

Possible adhesion molecule with a role in early hematopoiesis by mediating the attachment of stem cells to the bone marrow extracellular matrix or directly to stromal cells. Could act as a scaffold for the attachment of lineage specific glycans, allowing stem cells to bind to lectins expressed by stromal cells or other marrow components. Presents carbohydrate ligands to selectins.
See full target information CD34

Additional targets

CD59,THY1,CD38,KIT

Publications (2)

Recent publications for all applications. Explore the full list and refine your search

American journal of translational research 16:4020-4031 PubMed39262711

2024

Improvement of endometrial thickness and fertilization outcomes in patients with Asherman's refractory endometrium using autologous mesenchymal stem cells from the stromal vascular fraction.

Applications

Unspecified application

Species

Unspecified reactive species

Dinorah Hernández-Melchor,Ginna Ortiz,Iván Madrazo,Juan José Suarez,Norma Barrera,Leonardo M Porchia,Fernando Chávez,Francisco Velázquez-Aranda,Aarón González-Espinosa,América Padilla,Esther López-Bayghen

Frontiers in immunology 12:796065 PubMed35003119

2021

Rubella Virus Infected Macrophages and Neutrophils Define Patterns of Granulomatous Inflammation in Inborn and Acquired Errors of Immunity.

Applications

Unspecified application

Species

Unspecified reactive species

Ludmila Perelygina,Raeesa Faisthalab,Emily Abernathy,Min-Hsin Chen,LiJuan Hao,Lionel Bercovitch,Diana K Bayer,Lenora M Noroski,Michael T Lam,Maria Pia Cicalese,Waleed Al-Herz,Arti Nanda,Joud Hajjar,Koen Vanden Driessche,Shari Schroven,Julie Leysen,Misha Rosenbach,Philipp Peters,Johannes Raedler,Michael H Albert,Roshini S Abraham,Hemalatha G Rangarjan,David Buchbinder,Lisa Kobrynski,Anne Pham-Huy,Julie Dhossche,Charlotte Cunningham Rundles,Anna K Meyer,Amy Theos,T Prescott Atkinson,Amy Musiek,Mehdi Adeli,Ute Derichs,Christoph Walz,Renate Krüger,Horst von Bernuth,Christoph Klein,Joseph Icenogle,Fabian Hauck,Kathleen E Sullivan
View all publications

Product promise

We are committed to supporting your work with high-quality reagents, and we're here for you every step of the way. In the unlikely event that one of our products does not perform as expected, you're protected by our Product Promise.
For full details, please see our Terms & Conditions

Please note: All products are 'FOR RESEARCH USE ONLY. NOT FOR USE IN DIAGNOSTIC OR THERAPEUTIC PROCEDURES'.

For licensing inquiries, please contact partnerships@abcam.com