JavaScript is disabled in your browser. Please enable JavaScript to view this website.
AB263460

HIF-1 alpha (H1alpha67, EP1215Y, ESEE122, EPR16897) Antibody Panel

Be the first to review this product! Submit a review

|

(1 Publication)

HIF-1 alpha (H1alpha67, EP1215Y, ESEE122, EPR16897) Antibody Panel (ab263460) is part of the multiplex kits range. Abcam offers high-quality biological reagents and tools including antibodies, proteins, assays, cell lines and lysates.
9 Images
Immunocytochemistry/ Immunofluorescence - HIF-1 alpha (H1alpha67, EP1215Y, ESEE122, EPR16897) Antibody Panel (AB263460)
  • ICC/IF

Lab

Immunocytochemistry/ Immunofluorescence - HIF-1 alpha (H1alpha67, EP1215Y, ESEE122, EPR16897) Antibody Panel (AB263460)

ab8366 staining HIF-1 alpha in Hela cells. Untreated and BrdU treated (10μM for 24 hours) cells. The cells were fixed with 4% paraformaldehyde (10 min) permeabilized with 0.1% PBS-Triton X-100 for 5 minutes and then blocked with 1% BSA/10% normal goat serum/0.3M glycine in 0.1%PBS-Tween for 1h. The cells were then incubated overnight at 4°C with ab8366 at 10μg/ml and ab6046 Rabbit polyclonal to beta Tubulin - Loading Control. Cells were then incubated with ab150117 Goat polyclonal Secondary Antibody to Mouse IgG H&L (Alexa Fluor® 488) preadsorbed at 1/1000 dilution (shown in green) and ab150080 Goat polyclonal Secondary Antibody to Rabbit IgG - H&L (Alexa Fluor® 594) at 1/1000 dilution (shown in pseudocolour red). Nuclear DNA was labelled with DAPI (shown in blue).

Image was acquired with a confocal microscope (Leica-Microsystems TCS SP8) and a single confocal section is shown.

Immunohistochemistry (Formalin/PFA-fixed paraffin-embedded sections) - HIF-1 alpha (H1alpha67, EP1215Y, ESEE122, EPR16897) Antibody Panel (AB263460)
  • IHC-P

Lab

Immunohistochemistry (Formalin/PFA-fixed paraffin-embedded sections) - HIF-1 alpha (H1alpha67, EP1215Y, ESEE122, EPR16897) Antibody Panel (AB263460)

IHC image of HIF-1-alpha staining in human normal colon formalin fixed paraffin embedded tissue section*, performed on a Leica Bond™ system using the standard protocol F. The section was pre-treated using heat mediated antigen retrieval with sodium citrate buffer (pH6, epitope retrieval solution 1) for 20 mins. The section was then incubated with ab8366, 5μg/ml, for 15 mins at room temperature and detected using an HRP conjugated compact polymer system. DAB was used as the chromogen. The section was then counterstained with haematoxylin and mounted with DPX.

For other IHC staining systems (automated and non-automated) customers should optimize variable parameters such as antigen retrieval conditions, primary antibody concentration and antibody incubation times.

*Tissue obtained from the Human Research Tissue Bank, supported by the NIHR Cambridge Biomedical Research Centre

Immunocytochemistry/ Immunofluorescence - HIF-1 alpha (H1alpha67, EP1215Y, ESEE122, EPR16897) Antibody Panel (AB263460)
  • ICC/IF

Unknown

Immunocytochemistry/ Immunofluorescence - HIF-1 alpha (H1alpha67, EP1215Y, ESEE122, EPR16897) Antibody Panel (AB263460)

HeLa cells were untreated or treated with 1mM Deferoxamine (DFO) for 24h and fixed with paraformaldehyde for imaging by fluorescent microscopy. Cells were blocked and stained with 1X blocking buffer (ab126587). Unpurified ab51608 was used at 1 : 500. DAPI was used to label the nucleus. HIF1 alpha staining is absent in untreated cells and induced by DFO treatment. HIF1 alpha localizes to the nucleus.

Immunocytochemistry/ Immunofluorescence - HIF-1 alpha (H1alpha67, EP1215Y, ESEE122, EPR16897) Antibody Panel (AB263460)
  • ICC/IF

Lab

Immunocytochemistry/ Immunofluorescence - HIF-1 alpha (H1alpha67, EP1215Y, ESEE122, EPR16897) Antibody Panel (AB263460)

ab1 staining HIF-1 alpha in HeLa DFO cells. The cells were fixed with 100% methanol (5 min), permeabilized with 0.1% PBS-Triton X-100 for 5 minutes and then blocked with 1% BSA/10% normal goat serum/0.3M glycine in 0.1%PBS-Tween for 1h. The cells were then incubated overnight at 4°C with ab1 at 10µg/ml and ab6046, Rabbit polyclonal to beta Tubulin - Loading Control. Cells were then incubated with ab150117, Goat polyclonal Secondary Antibody to Mouse IgG H&L (Alexa Fluor® 488) preadsorbed at 1/1000 dilution (shown in green) and ab150080, Goat polyclonal Secondary Antibody to Rabbit IgG - H&L (Alexa Fluor® 594) at 1/1000 dilution (shown in pseudocolour magenta). Nuclear DNA was labelled with DAPI (shown in blue).

Also suitable in cells fixed with 4% paraformaldehyde (10 min).

Image was acquired with a high-content analyser (Operetta CLS, Perkin Elmer) and a maximum intensity projection of confocal sections is shown.

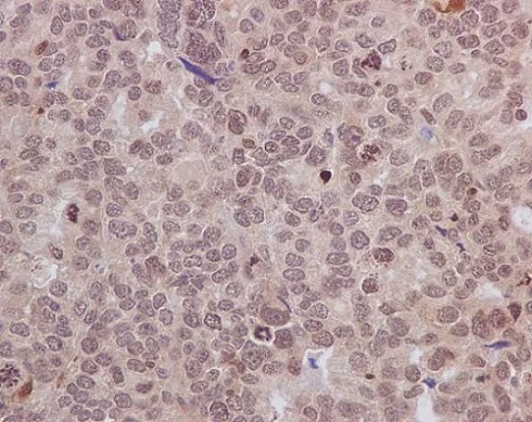
Immunohistochemistry (Formalin/PFA-fixed paraffin-embedded sections) - HIF-1 alpha (H1alpha67, EP1215Y, ESEE122, EPR16897) Antibody Panel (AB263460)
  • IHC-P

Unknown

Immunohistochemistry (Formalin/PFA-fixed paraffin-embedded sections) - HIF-1 alpha (H1alpha67, EP1215Y, ESEE122, EPR16897) Antibody Panel (AB263460)

ab51608 staining HIF-1-alpha in Human ovarian carcinoma tissue sections by Immunohistochemistry (IHC-P - paraformaldehyde-fixed, paraffin-embedded sections). Tissue was fixed and paraffin-embedded, antigen retrieval was by heat mediation in Tris/EDTA buffer pH9. Samples were incubated with primary antibody (1/100). An undiluted HRP-conjugated anti-rabbit IgG was used as the secondary antibody. Tissue counterstained with Hematoxylin.

Immunocytochemistry/ Immunofluorescence - HIF-1 alpha (H1alpha67, EP1215Y, ESEE122, EPR16897) Antibody Panel (AB263460)
  • ICC/IF

Lab

Immunocytochemistry/ Immunofluorescence - HIF-1 alpha (H1alpha67, EP1215Y, ESEE122, EPR16897) Antibody Panel (AB263460)

Immunofluorescent analysis of 4% paraformaldehyde-fixed, 0.1% Triton X-100 permeabilized HeLa (Human epithelial cells from cervix adenocarcinoma) cells labeling HIF-1-alpha with ab179483 at 1/500 dilution, followed by Goat anti-rabbit IgG (Alexa Fluor® 488) (ab150077) secondary antibody at 1/1000 dilution (green). Confocal image showing nuclear staining in HeLa cells treated with DFO (1 mM, 24 h). The nuclear counter stain is DAPI (blue). Tubulin is detected with ab195889 (anti-alpha Tubulin mouse mAb) (Alexa Fluor® 594) at 1/200 dilution (red).

Western blot - HIF-1 alpha (H1alpha67, EP1215Y, ESEE122, EPR16897) Antibody Panel (AB263460)
  • WB

Lab

Western blot - HIF-1 alpha (H1alpha67, EP1215Y, ESEE122, EPR16897) Antibody Panel (AB263460)

ll lanes : Anti-HIF-1 alpha antibody [EPR16897] (ab179483) at 1/1000 dilution

Lane 1 : Wild-type HAP1 whole cell lysate
Lane 2 : Wild type HAP1 treated with DMOG (0.5mM 18hr) whole cell lysate
Lane 3 : HIF1A knockout HAP1 whole cell lysate
Lane 4 : HIF1A knockout HAP1 treated with DMOG (0.5mM 18hr) whole cell lysate
Lane 5 : HeLa whole cell lysate
Lane 6 : HeLa treated with DMOG (0.5mM 18hr) whole cell lysate

Lysates/proteins at 40 μg per lane.

Predicted band size : 92 kDa
Observed band size : 105 kDa

Lanes 1 - 6 : Merged signal (red and green). Green - ab179483 observed at 105 kDa. Red - loading control, ab24834, observed at 50 kDa.

ab179483 was shown to specifically react with HIF-1 alpha in wild-type HAP1 treated DMOG (0.5mM 18hr) cells as signal was lost in HAP1 knockout treated DMOG (0.5mM 18hr) knockout cells. Wild-type and HAP1 knockout samples were subjected to SDS-PAGE. ab179483 and ab24834 (Mouse anti-Histone H3 loading control) were incubated overnight at 4°C at 1/1000 dilution and 1/10000 dilution respectively. Blots were developed with Goat anti-Rabbit IgG H&L (IRDye® 800CW) preabsorbed ab216773 and Goat anti-Mouse IgG H&L (IRDye® 680RD) preabsorbed ab216776 secondary antibodies at 1/20000 dilution for 1 hour at room temperature before imaging.

All lanes:

Western blot - Anti-HIF-1 alpha antibody [EPR16897] (<a href='/en-us/products/primary-antibodies/hif-1-alpha-antibody-epr16897-ab179483'>ab179483</a>) at 1/1000 dilution

Lane 1:

Wild-type HAP1 whole cell lysate at 40 µg

Lane 2:

Wild type HAP1 treated with DMOG (0.5mM 18hr) whole cell lysate at 40 µg

Lane 3:

HIF1A knockout HAP1 whole cell lysate at 40 µg

Lane 4:

HIF1A knockout HAP1 treated with DMOG (0.5mM 18hr) whole cell lysate at 40 µg

Lane 5:

HeLa whole cell lysate at 40 µg

Lane 6:

HeLa treated with DMOG (0.5mM 18hr) whole cell lysate at 40 µg

Predicted band size: 92 kDa

Observed band size: 105 kDa

false

Western blot - HIF-1 alpha (H1alpha67, EP1215Y, ESEE122, EPR16897) Antibody Panel (AB263460)
  • WB

AbReview37947****

Western blot - HIF-1 alpha (H1alpha67, EP1215Y, ESEE122, EPR16897) Antibody Panel (AB263460)

All lanes : Anti-HIF-1 alpha antibody [EP1215Y] (ab51608) at 1/2000 dilution

Lane 1 : MCF-7 (normoxia)
Lane 2 : MCF-7 treated with 0.5% oxygen for 24 hours

Lysates/proteins at 30000 cells per lane.

Secondary for all lanes : Polyclonal Swine anti-rabbit IgG HRP at 1/1000 dilution

Predicted band size : 93 kDa


Blocking buffer : 5% milk for 16 hours at 4°C.

All lanes:

Western blot - Anti-HIF-1 alpha antibody [EP1215Y] (<a href='/en-us/products/primary-antibodies/hif-1-alpha-antibody-ep1215y-ab51608'>ab51608</a>) at 1/2000 dilution

Lane 1:

MCF-7 (normoxia) at 30000 Cells

Lane 2:

MCF-7 treated with 0.5% oxygen for 24 hours at 30000 Cells

Secondary

All lanes:

Polyclonal Swine anti-rabbit IgG HRP at 1/1000 dilution

Predicted band size: 92 kDa

false

This image is courtesy of an anonymous abreview.

Western blot - HIF-1 alpha (H1alpha67, EP1215Y, ESEE122, EPR16897) Antibody Panel (AB263460)
  • WB

Lab

Western blot - HIF-1 alpha (H1alpha67, EP1215Y, ESEE122, EPR16897) Antibody Panel (AB263460)

All lanes : Anti-HIF-1 alpha antibody [H1alpha67] - ChIP Grade (ab1) at 5 μg/ml

Lane 1 : HeLa nuclear extract lysate (ab150036) at 40 μg
Lane 2 : Hela-DFO treated (0.5mM, 24h) Nuclear Lysate (ab180880) at 40 μg
Lane 3 : HeLa nuclear control at 40 μg
Lane 4 : HeLa nuclear DFO treated at 40 μg
Lane 5 : Recombinant Human HIF-1 alpha protein (ab154478) at 0.001 μg

Secondary
All lanes : Goat Anti-Mouse IgG H&L (HRP) preadsorbed (ab97040) at 1/10000 dilution

Performed under reducing conditions.

Predicted band size : 92 kDa
Exposure time : 20 minutes


We recommend using 5% milk in TBST as the blocking agent, decreasing to 2% milk in TBST during primary and secondary antibody incubation.

Blots were developed with Goat Anti-Mouse IgG H&L (HRP) preadsorbed (ab97040) secondary antibody

All lanes:

Western blot - Anti-HIF-1 alpha antibody [H1alpha67] (<a href='/en-us/products/primary-antibodies/hif-1-alpha-antibody-h1alpha67-ab1'>ab1</a>) at 5 µg/mL

Lane 1:

Western blot - HeLa nuclear extract lysate (<a href='/en-us/products/tissue-lysates/hela-nuclear-extract-lysate-ab150036'>ab150036</a>) at 40 µg

Lane 2:

Western blot - Hela-DFO treated (0.5mM, 24h) Nuclear Lysate (<a href='/en-us/products/tissue-lysates/hela-dfo-treated-05mm-24h-nuclear-lysate-ab180880'>ab180880</a>) at 40 µg

Lane 3:

HeLa nuclear control at 40 µg

Lane 4:

HeLa nuclear DFO treated at 40 µg

Lane 5:

Western blot - Recombinant Human HIF-1 alpha protein (<a href='/en-us/products/proteins-peptides/recombinant-human-hif-1-alpha-protein-ab154478'>ab154478</a>) at 0.001 µg

Secondary

All lanes:

Western blot - Goat Anti-Mouse IgG H&L (HRP) preadsorbed (<a href='/en-us/products/secondary-antibodies/goat-mouse-igg-h-l-hrp-preadsorbed-ab97040'>ab97040</a>) at 1/10000 dilution

Predicted band size: 92 kDa

false

Exposure time: 20min

Key facts

Reacts with

Human

Product details

HIF-1 alpha (H1alpha67, EP1215Y, ESEE122, EPR16897) Antibody Panel ab263460 contains multiple trial-sized versions of anti-human antibody clones against HIF-1 alpha, specifically selected for high performance in various applications. This panel contains 2 recombinant rabbit monoclonal antibodies and 2 mouse monoclonal antibodies against human HIF-1 alpha. They are provided as a sampler panel to allow you to easily evaluate each antibody.

For guidelines on how to use each antibody within the panel, please consult the individual datasheet for each antibody.

Panel contains:

- Mouse monoclonal [H1alpha67] to HIF-1 alpha (20 μg) ab1

- Rabbit monoclonal [EP1215Y] to HIF-1 alpha (20 μL) ab51608

- Mouse monoclonal [ESEE122] to HIF-1 alpha (20 μg) ab8366

- Rabbit monoclonal [EPR16897] to HIF-1 alpha (20 μL) ab179483

HIF-1 alpha functions as a master transcriptional regulator of the adaptive response to hypoxia. Under such conditions, it can activate over 40 genes whose protein products increase oxygen delivery or facilitate metabolic adaptation to hypoxia. (SwissProt: Q16665). Under normoxic conditions, HIF-1 alpha is largely undetectable and hypoxia will need to be induced in most cell lines and tissues before testing. Induction is typically not required for cancerous tissues where hypoxic regions are common within the tumor microenvironment (PubMed: 1850121, 11689469).

Explore our range of antibody sample panels designed to provide you with a variety of trial-size antibodies in a convenient and cost-effective format.

Carrier-free formulations of our recombinant antibodies are also available for easy conjugation to labels of your choice and for multiplex applications. Use our intuitive search and select carrier-free or your label of choice. For bespoke conjugations or large volumes email bespoke@abcam.com.

What's included?

{ "values": { "1Kit": { "sellingSize": "1 Kit", "publicAssetCode":"ab263460-1Kit", "assetComponentDetails": [ { "size":"2 x 10 µg", "name":"Anti-HIF-1 alpha antibody [H1alpha67] - ChIP Grade", "number":"AB263460-CMP01", "productcode":"AB1" }, { "size":"2 x 10 µg", "name":"Anti-HIF-1 alpha antibody [ESEE122]", "number":"AB263460-CMP02", "productcode":"AB8366" }, { "size":"2 x 10 µL", "name":"Anti-HIF-1 alpha antibody [EPR16897]", "number":"AB263460-CMP04", "productcode":"AB179483" }, { "size":"2 x 10 µL", "name":"Anti-HIF-1 alpha antibody", "number":"AB263460-CMP03", "productcode":"AB51608" } ] } } }

Properties and storage information

Shipped at conditions
Blue Ice
Appropriate short-term storage conditions
-20°C
Appropriate long-term storage conditions
-20°C
Storage information
-20°C

Supplementary information

This supplementary information is collated from multiple sources and compiled automatically.

HIF-1 alpha also known as hypoxia-inducible factor 1-alpha is a transcription factor critical in cellular response to low oxygen levels. Its molecular weight usually ranges from 93 to 120 kDa. You can find HIF-1 alpha expressed in tissues throughout the body but its expression significantly increases under hypoxic conditions. Researchers often use the HIF-1a ELISA to measure its expression levels. HIF-1 alpha forms a complex with other proteins to perform its functions effectively.
Biological function summary

HIF-1 alpha regulates gene expression in response to hypoxic conditions in cells. It forms a complex with HIF-1 beta to activate transcription of various genes involved in energy metabolism angiogenesis and erythropoiesis. HIF-1 alpha enables cells to adapt to reduced oxygen availability allowing for cellular survival and function under stress. It plays an important role in promoting the expression of genes like VEGF and EPO which are important for vascular and red blood cell development respectively.

Pathways

HIF-1 alpha plays an integral role in the hypoxia signaling pathway and the glycolytic pathway. In the hypoxia signaling pathway HIF-1 alpha partners with VHL (Von Hippel-Lindau) protein that regulates its degradation under normal oxygen conditions. When oxygen levels drop HIF-1 alpha avoids degradation stabilizes and translocates into the nucleus to initiate transcription of hypoxia-responsive genes. The glycolytic pathway involvement highlights its function in adapting energy production under hypoxic conditions through collaboration with enzymes and transporters associated with glycolysis.

HIF-1 alpha has been implicated in cancer and ischemic diseases. Its role in promoting angiogenesis and metabolic adaptation makes it a contributor to tumor growth and survival collaborating with oncogenes such as c-Myc. In ischemic diseases like stroke or myocardial infarction HIF-1 alpha's ability to induce protective responses can mitigate tissue damage through regulation of survival pathways. Understanding these interactions helps in the development of therapeutic strategies targeting HIF-1 alpha in disease contexts.

Product protocols

Target data

Publications (1)

Recent publications for all applications. Explore the full list and refine your search

International journal of molecular sciences 24: PubMed37958809

2023

mRNA and Protein Expression in Human Fetal Membrane Cells: Potential Biomarkers for Preterm Prelabor Rupture of the Fetal Membranes?

Applications

Unspecified application

Species

Unspecified reactive species

Emmeli Mikkelsen,Berthold Huppertz,Ripudaman Singh,Katarina Ravn,Lotte Hatt,Mogens Kruhøffer,Rheanna Urrabaz-Garza,Niels Uldbjerg,Ramkumar Menon,Torben Steiniche
View all publications

Product promise

We are committed to supporting your work with high-quality reagents, and we're here for you every step of the way. In the unlikely event that one of our products does not perform as expected, you're protected by our Product Promise.
For full details, please see our Terms & Conditions

Please note: All products are 'FOR RESEARCH USE ONLY. NOT FOR USE IN DIAGNOSTIC OR THERAPEUTIC PROCEDURES'.

For licensing inquiries, please contact partnerships@abcam.com