JavaScript is disabled in your browser. Please enable JavaScript to view this website.
AB274411

Human Histone H3 (Mutated K27M, K36M) + Histone H3.3 (Mutated G34W, G34V, G34R) Antibody Panel

Be the first to review this product! Submit a review

|

(2 Publications)

Human Histone H3 (Mutated K27M, K36M) + Histone H3.3 (Mutated G34W, G34V, G34R) Antibody Panel (ab274411) is part of the multiplex kits range. Abcam offers high-quality biological reagents and tools including antibodies, proteins, assays, cell lines and lysates.

View Alternative Names

H3FA, HIST1H3A, H3C2, H3FL, HIST1H3B, H3C3, H3FC HIST1H3C, H3C4, H3FB, HIST1H3D, H3C6, H3FD, HIST1H3E, H3C7, H3FI, HIST1H3F, H3C8, H3FH, HIST1H3G, H3C10, H3FK, HIST1H3H, H3C11, H3FF, HIST1H3I, H3C12, H3FJ, HIST1H3J, HIST1H3C, H3FC, H3C1, Histone H3.1, Histone H3/a, Histone H3/b, Histone H3/c, Histone H3/d, Histone H3/f, Histone H3/h, Histone H3/i, Histone H3/j, Histone H3/k, Histone H3/l, H3K27, H3K36M, H3K36, H3G34W, H3.3G34W, H3G34, H3G34V, H3.3G34V, H3G34R, H3.3G34R, H3K27M

31 Images
Immunocytochemistry/ Immunofluorescence - Human Histone H3 (Mutated K27M, K36M) + Histone H3.3 (Mutated G34W, G34V, G34R) Antibody Panel (AB274411)
  • ICC/IF

Unknown

Immunocytochemistry/ Immunofluorescence - Human Histone H3 (Mutated K27M, K36M) + Histone H3.3 (Mutated G34W, G34V, G34R) Antibody Panel (AB274411)

Immunofluorescent analysis of 4% Paraformaldehyde-fixed, 0.1% Triton X-100 permeabilized HEK-293T cells labelling Histone H3.3(mutated G34 V) with ab254401 at 1/1000 dilution, followed by ab150077 Goat Anti-Rabbit IgG H&L (Alexa Fluor® 488) antibody at 1/1000 2 μg/ml dilution (Green). Confocal image showing nuclear staining in HEK-293T cells transfected with Histone H3.3 H3G34V-Myc plasmid, while no staining in HEK-293T cells transfected with H3.3 WT -Myc plasmid. Myc-Tag Mouse mAb (Alexa Fluor® 647) was used to counterstain tubulin at 1/200 dilution (Red). The nuclear counterstain was DAPI (Blue).

Secondary antibody only control : Secondary antibody is ab150077 Goat Anti-Rabbit IgG H&L (Alexa Fluor® 488) at 1/1000 2 μg/ml dilution.

Immunohistochemistry (Formalin/PFA-fixed paraffin-embedded sections) - Human Histone H3 (Mutated K27M, K36M) + Histone H3.3 (Mutated G34W, G34V, G34R) Antibody Panel (AB274411)
  • IHC-P

Unknown

Immunohistochemistry (Formalin/PFA-fixed paraffin-embedded sections) - Human Histone H3 (Mutated K27M, K36M) + Histone H3.3 (Mutated G34W, G34V, G34R) Antibody Panel (AB274411)

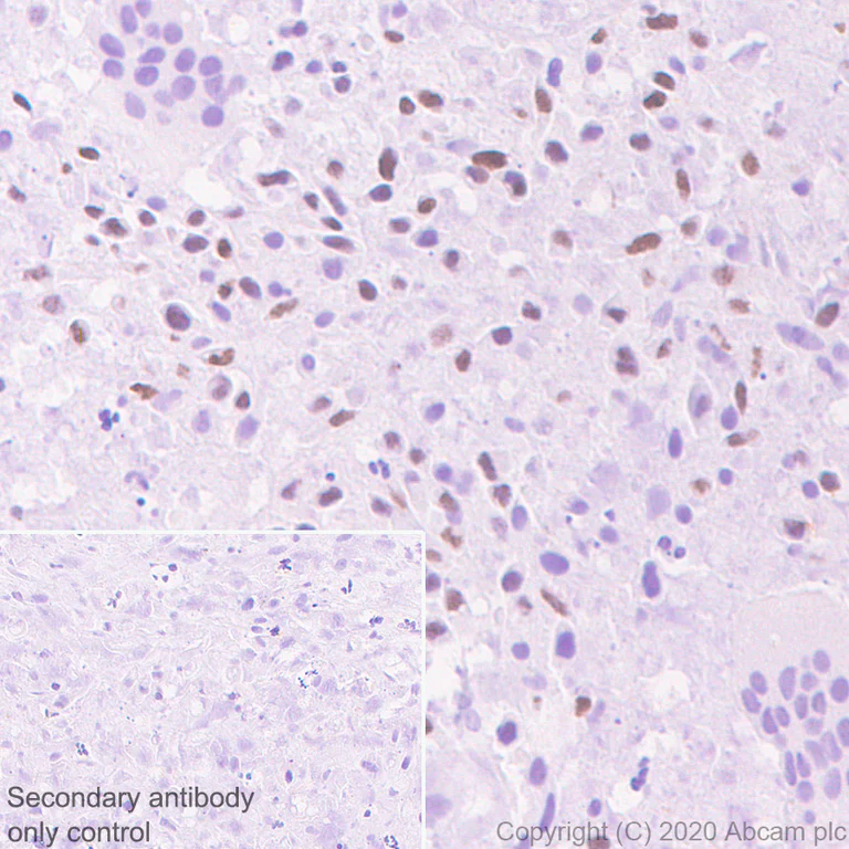
Immunohistochemical analysis of paraffin-embedded human chondroblastoma tissue labeling Histone H3 (mutated K36 M) with ab256384 at 1/4000 dilution followed by a ready to use Goat Anti-Rabbit IgG H&L (HRP). Nuclear staining in human chondroblastoma (PMID : 29757500). Counterstained with Hematoxylin.

Secondary antibody only control : Secondary antibody is a ready to use Goat Anti-Rabbit IgG H&L (HRP).

Heat mediated antigen retrieval using ab93684 (Tris/EDTA buffer, pH 9.0)

Immunocytochemistry/ Immunofluorescence - Human Histone H3 (Mutated K27M, K36M) + Histone H3.3 (Mutated G34W, G34V, G34R) Antibody Panel (AB274411)
  • ICC/IF

Unknown

Immunocytochemistry/ Immunofluorescence - Human Histone H3 (Mutated K27M, K36M) + Histone H3.3 (Mutated G34W, G34V, G34R) Antibody Panel (AB274411)

Immunofluorescent analysis of 4% Paraformaldehyde-fixed, 0.1% TritonX-100 permeabilized HEK-293 cells labelling Histone H3 (mutated K36 M) with ab256384 at 1/50 dilution, followed by a secondary antibody at 1/1000 dilution (Green). Confocal image showing nuclear staining in HEK-293 cell line transfected with myc-tagged Histone H3 K36M expression vector. 2233S Myc-Tag (9B11) Mouse mAb (Alexa Fluor® 647 Conjugate) was used to counterstain tubulin at 1/200 dilution (Red). The Nuclear counterstain was DAPI (Blue).

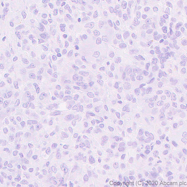
Immunohistochemistry (Formalin/PFA-fixed paraffin-embedded sections) - Human Histone H3 (Mutated K27M, K36M) + Histone H3.3 (Mutated G34W, G34V, G34R) Antibody Panel (AB274411)
  • IHC-P

Unknown

Immunohistochemistry (Formalin/PFA-fixed paraffin-embedded sections) - Human Histone H3 (Mutated K27M, K36M) + Histone H3.3 (Mutated G34W, G34V, G34R) Antibody Panel (AB274411)

Immunohistochemical analysis of paraffin-embedded human giant cell tumor of bone tissue labeling Histone H3 (mutated K36 M) with ab256384 at 1/4000 dilution followed by a ready to use Goat Anti-Rabbit IgG H&L (HRP). Negative control : No staining in human giant cell tumor of bone (PMID : 29757500). Counterstained with Hematoxylin.

Secondary antibody only control : Secondary antibody is a ready to use Goat Anti-Rabbit IgG H&L (HRP).

Heat mediated antigen retrieval using ab93684 (Tris/EDTA buffer, pH 9.0)

Flow Cytometry (Intracellular) - Human Histone H3 (Mutated K27M, K36M) + Histone H3.3 (Mutated G34W, G34V, G34R) Antibody Panel (AB274411)
  • Flow Cyt (Intra)

Unknown

Flow Cytometry (Intracellular) - Human Histone H3 (Mutated K27M, K36M) + Histone H3.3 (Mutated G34W, G34V, G34R) Antibody Panel (AB274411)

Flow cytometric analysis of 4% paraformaldehyde fixed 90% methanol permeabilized HEK-293T transfected with myc tagged Histone H3 construct (Left) or myc tagged Histone H3 K36M construct (Right) cells labelling Histone H3 (mutated K36 M) with ab256384 at 1/500 compared with a isotype control and an unlabelled control (cells without incubation with primary antibody and secondary antibody) (Blue). A Goat anti rabbit IgG (Alexa Fluor® 488, ab150077) at 1/2000 was used as the secondary antibody.

Immunocytochemistry/ Immunofluorescence - Human Histone H3 (Mutated K27M, K36M) + Histone H3.3 (Mutated G34W, G34V, G34R) Antibody Panel (AB274411)
  • ICC/IF

Unknown

Immunocytochemistry/ Immunofluorescence - Human Histone H3 (Mutated K27M, K36M) + Histone H3.3 (Mutated G34W, G34V, G34R) Antibody Panel (AB274411)

Immunofluorescent analysis of 4% Paraformaldehyde-fixed, 0.1% Triton X-100 permeabilized HEK-293T cells labelling Histone H3.3(mutated G34 W) with ab272691 at 1/100 dilution, followed by ab150077 Goat Anti-Rabbit IgG H&L (Alexa Fluor® 488) antibody at 1/1000 2 μg/ml dilution (Green). Confocal image showing nuclear staining in HEK-293T cells transfected with Histone H3.3 G34W-Myc plasmid, while no staining in HEK-293T cells transfected with H3.3 WT -Myc plasmid. Myc-Tag Mouse mAb (Alexa Fluor® 647) was used to counterstain tubulin at 1/200 dilution (Red). The nuclear counterstain was DAPI (Blue).

Secondary antibody only control : Secondary antibody is ab150077 Goat Anti-Rabbit IgG H&L (Alexa Fluor® 488) at 1/1000 2 μg/ml dilution.

Immunocytochemistry/ Immunofluorescence - Human Histone H3 (Mutated K27M, K36M) + Histone H3.3 (Mutated G34W, G34V, G34R) Antibody Panel (AB274411)
  • ICC/IF

Unknown

Immunocytochemistry/ Immunofluorescence - Human Histone H3 (Mutated K27M, K36M) + Histone H3.3 (Mutated G34W, G34V, G34R) Antibody Panel (AB274411)

Immunofluorescent analysis of 4% Paraformaldehyde-fixed, 0.1% Triton X-100 permeabilized HEK-293T (human embryonic kidney epithelial cell) cells labelling Histone H3 (K27 mutated to M) with ab190631 at 1/5000 (0.2 ug/ml) dilution, followed by ab190631 anti- H3(K27 mutated to M) ab150077 AlexaFluor®488 Goat anti-Rabbit secondary antibody at 1/1000 (2 ug/ml) dilution (Green). Confocal image showing nuclear staining in HEK-293T cells transfected with myc-tagged H3 (K27 mutated to M) expression vector is observed. ab195889 Anti-alpha Tubulin antibody [DM1A] - Microtubule Marker (Alexa Fluor® 594) was used to counterstain tubulin at 1/200 dilution (Red). The Nuclear counterstain was DAPI (Blue).

Secondary antibody only control : Secondary antibody is ab190631 anti- H3(K27 mutated to M) ab150077 AlexaFluor®488 Goat anti-Rabbit secondary at 1/1000 (2 ug/ml) dilution.

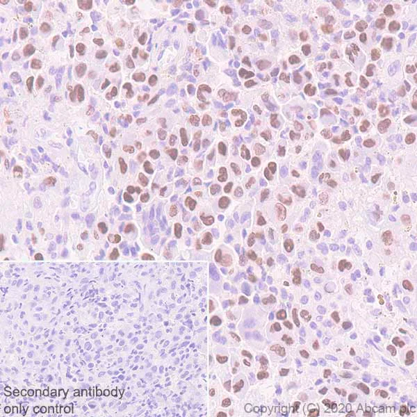
Immunohistochemistry (Formalin/PFA-fixed paraffin-embedded sections) - Human Histone H3 (Mutated K27M, K36M) + Histone H3.3 (Mutated G34W, G34V, G34R) Antibody Panel (AB274411)
  • IHC-P

Unknown

Immunohistochemistry (Formalin/PFA-fixed paraffin-embedded sections) - Human Histone H3 (Mutated K27M, K36M) + Histone H3.3 (Mutated G34W, G34V, G34R) Antibody Panel (AB274411)

Immunohistochemical analysis of paraffin-embedded human giant cell tumor of bone tissue labeling Histone H3.3(mutated G34 W) with ab272691 at 1/250 dilution followed by ready to use Goat Anti-Rabbit IgG H&L (HRP). Nuclear staining in human giant cell tumor of bone (PMID : 29757500). Counterstained with Hematoxylin.

Secondary antibody only control : Secondary antibody is ready to use Goat Anti-Rabbit IgG H&L (HRP).

Heat mediated antigen retrieval using ab93684 (Tris/EDTA buffer, pH 9.0).

Flow Cytometry (Intracellular) - Human Histone H3 (Mutated K27M, K36M) + Histone H3.3 (Mutated G34W, G34V, G34R) Antibody Panel (AB274411)
  • Flow Cyt (Intra)

Unknown

Flow Cytometry (Intracellular) - Human Histone H3 (Mutated K27M, K36M) + Histone H3.3 (Mutated G34W, G34V, G34R) Antibody Panel (AB274411)

Flow cytometric analysis of 4% paraformaldehyde-fixed 90% methanol-permeabilized HEK-293T (Human embryonic kidney epithelial cell) transfected with myc tagged Histone H3.3 WT construct (Left panel) and myc-tagged Histone H3.3 G34W construct (Right panel) cells labelling Histone H3.3(mutated G34 W) with ab272691 at 1/50 dilution (1μg). A Goat anti rabbit IgG (Alexa Fluor® 488, ab150077) at 1/2000 dilution was used as the secondary antibody.

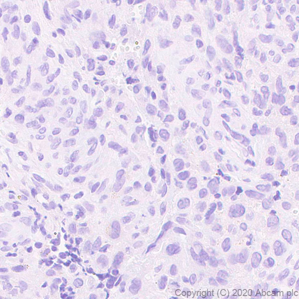
Immunohistochemistry (Formalin/PFA-fixed paraffin-embedded sections) - Human Histone H3 (Mutated K27M, K36M) + Histone H3.3 (Mutated G34W, G34V, G34R) Antibody Panel (AB274411)
  • IHC-P

Unknown

Immunohistochemistry (Formalin/PFA-fixed paraffin-embedded sections) - Human Histone H3 (Mutated K27M, K36M) + Histone H3.3 (Mutated G34W, G34V, G34R) Antibody Panel (AB274411)

Immunohistochemical analysis of paraffin-embedded human chondroblastoma tissue labeling Histone H3.3(mutated G34 W) with ab272691 at 1/250 dilution followed by ready to use Goat Anti-Rabbit IgG H&L (HRP).

Negative control : No staining in human chondroblastoma (PMID : 29757500).

Counterstained with Hematoxylin.

Secondary antibody only control : Secondary antibody is ready to use Goat Anti-Rabbit IgG H&L (HRP).

Heat mediated antigen retrieval using ab93684 (Tris/EDTA buffer, pH 9.0).

Flow Cytometry (Intracellular) - Human Histone H3 (Mutated K27M, K36M) + Histone H3.3 (Mutated G34W, G34V, G34R) Antibody Panel (AB274411)
  • Flow Cyt (Intra)

Unknown

Flow Cytometry (Intracellular) - Human Histone H3 (Mutated K27M, K36M) + Histone H3.3 (Mutated G34W, G34V, G34R) Antibody Panel (AB274411)

Flow cytometric analysis of 4% paraformaldehyde fixed, 90% methanol permeabilized HEK-293T (Human embryonic kidney epithelial cell) (transfected with myc-tagged Histone H3.3 WT expression vector) (Left) or myc-tagged Histone H3.3 G34R expression vector (Right) cells labelling Histone H3.3 (mutated G34 R) with ab254402 at 1/5000 dilution (0.01ug) (Both panels). A Goat anti rabbit IgG (Alexa Fluor® 488, ab150077) at 1/2000 dilution was used as the secondary antibody.

Flow Cytometry (Intracellular) - Human Histone H3 (Mutated K27M, K36M) + Histone H3.3 (Mutated G34W, G34V, G34R) Antibody Panel (AB274411)
  • Flow Cyt (Intra)

Unknown

Flow Cytometry (Intracellular) - Human Histone H3 (Mutated K27M, K36M) + Histone H3.3 (Mutated G34W, G34V, G34R) Antibody Panel (AB274411)

Flow cytometric analysis of 4% paraformaldehyde-fixed, 90% methanol-permeabilized HEK-293T (Human embryonic kidney epithelial cell) transfected with myc tagged Histone H3.3 WT construct (Left panel) and myc-tagged Histone H3.3 H3G34V construct (Right panel) cells labelling Histone H3.3(mutated G34 V) with ab254401 at 1/500 dilution (0.1μg). A Goat anti rabbit IgG (Alexa Fluor® 488, ab150077) at 1/2000 dilution was used as the secondary antibody.

Immunohistochemistry (Formalin/PFA-fixed paraffin-embedded sections) - Human Histone H3 (Mutated K27M, K36M) + Histone H3.3 (Mutated G34W, G34V, G34R) Antibody Panel (AB274411)
  • IHC-P

Unknown

Immunohistochemistry (Formalin/PFA-fixed paraffin-embedded sections) - Human Histone H3 (Mutated K27M, K36M) + Histone H3.3 (Mutated G34W, G34V, G34R) Antibody Panel (AB274411)

Immunohistochemical analysis of paraffin-embedded human chondroblastoma tissue labeling Histone H3.3(mutated G34 V) with ab254401 at 1/1000 dilution (0.542 μg/ml) dilution followed by ready to use Rabbit specific IHC polymer detection kit HRP/DAB (ab209101).

Negative control : No staining on human chondroblastoma (PMID : 29241742).

The section was incubated with ab254401 for 30 mins at room temperature. The immunostaining was performed on a Leica Biosystems BOND® RX instrument. Counterstained with Hematoxylin.

Secondary antibody only control : Secondary antibody is ready to use Rabbit specific IHC polymer detection kit HRP/DAB (ab209101).

Heat mediated antigen retrieval with Tris-EDTA buffer (pH 9.0, epitope retrieval solution2) for 20 mins.

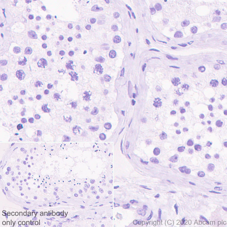
Immunohistochemistry (Formalin/PFA-fixed paraffin-embedded sections) - Human Histone H3 (Mutated K27M, K36M) + Histone H3.3 (Mutated G34W, G34V, G34R) Antibody Panel (AB274411)
  • IHC-P

Unknown

Immunohistochemistry (Formalin/PFA-fixed paraffin-embedded sections) - Human Histone H3 (Mutated K27M, K36M) + Histone H3.3 (Mutated G34W, G34V, G34R) Antibody Panel (AB274411)

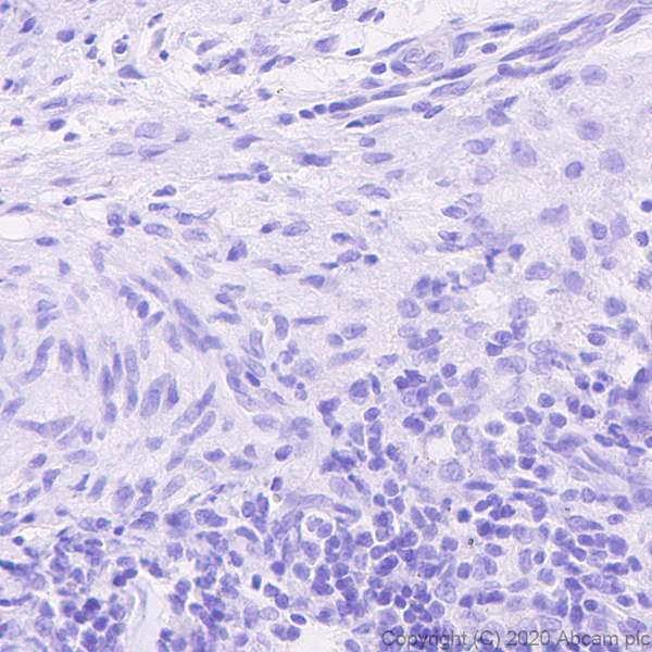
Immunohistochemical analysis of paraffin-embedded human testis tissue labeling Histone H3.3 (mutated G34 R) with ab254402 at 1/2000 dilution followed by a ready to use Rabbit specific IHC polymer detection kit HRP/DAB (ab209101). Negative control : no staining on human testis. The section was incubated with ab254402 for 30 mins at room temperature. The immunostaining was performed on a Leica Biosystems BOND® RX instrument. Counterstained with Hematoxylin.

Secondary antibody only control : Secondary antibody is a ready to use Rabbit specific IHC polymer detection kit HRP/DAB (ab209101).

Heat mediated antigen retrieval with Tris-EDTA buffer (pH 9.0, epitope retrieval solution2) for 20 mins.

Immunohistochemistry (Formalin/PFA-fixed paraffin-embedded sections) - Human Histone H3 (Mutated K27M, K36M) + Histone H3.3 (Mutated G34W, G34V, G34R) Antibody Panel (AB274411)
  • IHC-P

Unknown

Immunohistochemistry (Formalin/PFA-fixed paraffin-embedded sections) - Human Histone H3 (Mutated K27M, K36M) + Histone H3.3 (Mutated G34W, G34V, G34R) Antibody Panel (AB274411)

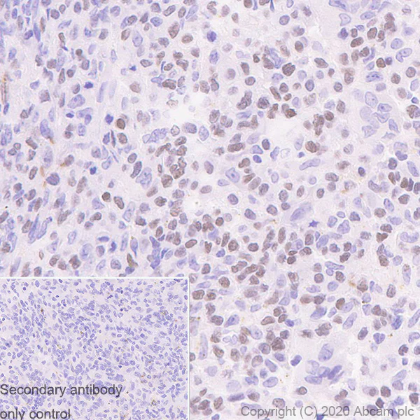
Immunohistochemical analysis of paraffin-embedded human giant cell tumor of bone tissue labeling Histone H3.3(mutated G34 V) with ab254401 at 1/1000 dilution (0.542 μg/ml) dilution followed by ready to use Rabbit specific IHC polymer detection kit HRP/DAB (ab209101). Positive staining on human giant cell tumor of bone. (PMID : 29241742). The section was incubated with ab254401 for 30 mins at room temperature. The immunostaining was performed on a Leica Biosystems BOND® RX instrument. Counterstained with Hematoxylin.

Secondary antibody only control : Secondary antibody is ready to use Rabbit specific IHC polymer detection kit HRP/DAB (ab209101).

Heat mediated antigen retrieval with Tris-EDTA buffer (pH 9.0, epitope retrieval solution2) for 20 mins.

Immunohistochemistry (Formalin/PFA-fixed paraffin-embedded sections) - Human Histone H3 (Mutated K27M, K36M) + Histone H3.3 (Mutated G34W, G34V, G34R) Antibody Panel (AB274411)
  • IHC-P

Unknown

Immunohistochemistry (Formalin/PFA-fixed paraffin-embedded sections) - Human Histone H3 (Mutated K27M, K36M) + Histone H3.3 (Mutated G34W, G34V, G34R) Antibody Panel (AB274411)

Immunohistochemical analysis of paraffin-embedded human giant cell tumor of bone tissue labeling Histone H3.3 (mutated G34 R) with ab254402 at 1/2000 dilution followed by a ready to use Rabbit specific IHC polymer detection kit HRP/DAB (ab209101). Nuclear staining on human giant cell tumor of bone (PMID : 29241742). The section was incubated with ab254402 for 30 mins at room temperature. The immunostaining was performed on a Leica Biosystems BOND® RX instrument. Counterstained with Hematoxylin.

Secondary antibody only control : Secondary antibody is a ready to use Rabbit specific IHC polymer detection kit HRP/DAB (ab209101).

Heat mediated antigen retrieval with Citrate buffer (pH 6.0, epitope retrieval solution 1) for 20 mins

ChIP - Human Histone H3 (Mutated K27M, K36M) + Histone H3.3 (Mutated G34W, G34V, G34R) Antibody Panel (AB274411)
  • ChIP

Supplier Data

ChIP - Human Histone H3 (Mutated K27M, K36M) + Histone H3.3 (Mutated G34W, G34V, G34R) Antibody Panel (AB274411)

Chromatin was prepared from HEK-293T transfected with myc-His tagged Histone H3.3 mutated G34V and Histone H3.3 WT cells according to the Abcam Dual-X-ChIP protocol. Cells were fixed with then formaldehyde for 10min.
The ChIP was performed with 25 μg of chromatin, 2 μg of ab254401 (red), or 2 μg of rabbit normal IgG ab172730 (gray) and 20 μl of Protein A/G sepharose beads. The immunoprecipitated DNA was quantified by real time PCR (Taqman approach for active and inactive loci, Sybr green approach for heterochromatic loci).
Primers and probes are located in the first kb of the transcribed region.

ChIP - Human Histone H3 (Mutated K27M, K36M) + Histone H3.3 (Mutated G34W, G34V, G34R) Antibody Panel (AB274411)
  • ChIP

Lab

ChIP - Human Histone H3 (Mutated K27M, K36M) + Histone H3.3 (Mutated G34W, G34V, G34R) Antibody Panel (AB274411)

Chromatin was prepared from HEK-293T transfected with Histone H3.3(mutated G34 R) and HEK-293T transfacted with Histone H3.3(WT) cells according to the Abcam X-ChIP protocol. Cells were fixed with formaldehyde for 10min.
The ChIP was performed with 25 μg of chromatin, 2 μg of ab254402 (red), or 2 μg of rabbit normal IgG ab172730 (gray) and 25 μl of Protein A/G Dynabeads. The immunoprecipitated DNA was quantified by real time PCR (Taqman approach for active and inactive loci).

ChIP - Human Histone H3 (Mutated K27M, K36M) + Histone H3.3 (Mutated G34W, G34V, G34R) Antibody Panel (AB274411)
  • ChIP

Lab

ChIP - Human Histone H3 (Mutated K27M, K36M) + Histone H3.3 (Mutated G34W, G34V, G34R) Antibody Panel (AB274411)

Chromatin was prepared from HEK-293T transfected with myc-His tagged Histone H3(K27 M) and Histone H3 WT cells according to the Abcam Dual-X-ChIP protocol. Cells were fixed with 1.5 mM EGS for 30mins and then formaldehyde for 10min.
The ChIP was performed with 25 μg of chromatin, 2 μg of ab190631 (red), 2 μg of ab213204 (red) (bottom panel, served as internal control) or 2 μg of rabbit normal IgG ab172730 (gray) and 20 μl of Protein A/G sepharose beads. The immunoprecipitated DNA was quantified by real time PCR (Taqman approach for active and inactive loci, Sybr green approach for heterochromatic loci).

Primers and probes are located in the first kb of the transcribed region.

ChIP - Human Histone H3 (Mutated K27M, K36M) + Histone H3.3 (Mutated G34W, G34V, G34R) Antibody Panel (AB274411)
  • ChIP

Supplier Data

ChIP - Human Histone H3 (Mutated K27M, K36M) + Histone H3.3 (Mutated G34W, G34V, G34R) Antibody Panel (AB274411)

Chromatin was prepared from HEK-293T transfected with myc-His tagged Histone H3.3 mutated G34W and Histone H3.3 WT cells according to the Abcam Abcam Dual-X-ChIP protocol. Cells were fixed with formaldehyde for 10min.
The ChIP was performed with 25 μg of chromatin, 2 μg of ab272691 (red), or 2 μg of rabbit normal IgG ab172730 (gray) and 20 μl of Protein A/G sepharose beads. The immunoprecipitated DNA was quantified by real time PCR (Taqman approach for active and inactive loci, Sybr green approach for heterochromatic loci).
Primers and probes are located in the first kb of the transcribed region.

Western blot - Human Histone H3 (Mutated K27M, K36M) + Histone H3.3 (Mutated G34W, G34V, G34R) Antibody Panel (AB274411)
  • WB

Lab

Western blot - Human Histone H3 (Mutated K27M, K36M) + Histone H3.3 (Mutated G34W, G34V, G34R) Antibody Panel (AB274411)

All lanes : Anti-Histone H3 (mutated K36 M) antibody [EPR23614-91] (ab256384) at 1/1000 dilution.

Lane 1 : HEK-293 transfected with Histone H3.3 (WT) expression vector containing a myc-His-tag®, whole cell lysate, 10 ug

Lane 2 : HEK-293 transfected with Histone H3.3 K36M (mutated) expression vector containing a myc-His-tag®, whole cell lysate, 10 ug.

Secondary (all lanes) : ab97051 at 1/100000 dilution.

Predicted MW : 15 kDa.

Observed MW : 20 kDa.

Blocking/Diluting buffer and concentration : 5% NFDM/TBST.

Exposure time 62 seconds.

All lanes:

Western blot - Anti-Histone H3 (mutated K36M) antibody [EPR23614-91] (<a href='/en-us/products/primary-antibodies/histone-h3-mutated-k36m-antibody-epr23614-91-ab256384'>ab256384</a>) at 1/1000 dilution

Lane 1:

HEK-293 transfected with Histone H3.1 (WT) expression vector containing a myc-His-tag®, whole cell lysate at 20 µg

Lane 2:

HEK-293 transfected with Histone H3.1 K36M (mutant) expression vector containing a myc-His-tag®, whole cell lysate at 20 µg

Secondary

All lanes:

Western blot - Goat Anti-Rabbit IgG H&L (HRP) (<a href='/en-us/products/secondary-antibodies/goat-rabbit-igg-h-l-hrp-ab97051'>ab97051</a>) at 1/100000 dilution

Predicted band size: 15 kDa

Observed band size: 19 kDa

false

Exposure time: 62s

Western blot - Human Histone H3 (Mutated K27M, K36M) + Histone H3.3 (Mutated G34W, G34V, G34R) Antibody Panel (AB274411)
  • WB

Lab

Western blot - Human Histone H3 (Mutated K27M, K36M) + Histone H3.3 (Mutated G34W, G34V, G34R) Antibody Panel (AB274411)

All lanes : Anti-Histone H3.3 (mutated G34 V) antibody [EPR23520-5] - ChIP Grade (ab254401 at 1/1000 dilution.

Lane 1 : HEK-293T (human embryonic kidney) transfected with Histone H3.3 G34V expression vector containing a myc-His-tag®, whole cell lysate, 20 ug

Lane 2 : HEK-293T transfected with Histone H3.3 (WT) expression vector containing a myc-His-tag®, whole cell lysate, 20 ug.

Secondary (all lanes) : Goat Anti-Rabbit IgG, (H+L), Peroxidase conjugated (ab97051) at 1/100000 dilution.

Predicted MW : 15 kDa.

Observed MW : 20 kDa.

Blocking and diluting buffer and concentration : 5% NFDM/TBST.

Exposure time : 10 seconds.

All lanes:

Western blot - Anti-Histone H3.3 (mutated G34V) antibody [EPR23520-5] - ChIP Grade (<a href='/en-us/products/primary-antibodies/histone-h33-mutated-g34v-antibody-epr23520-5-chip-grade-ab254401'>ab254401</a>) at 1/1000 dilution

Lane 1:

HEK-293T (human embryonic kidney) transfected with Histone H3.3 G34V expression vector containing a myc-His-tag®, whole cell lysate at 20 µg

Lane 2:

HEK-293T transfected with Histone H3.3 (WT) expression vector containing a myc-His-tag®, whole cell lysate at 20 µg

Secondary

All lanes:

Goat Anti-Rabbit IgG, (H+L), Peroxidase conjugated (<a href='/en-us/products/secondary-antibodies/goat-rabbit-igg-h-l-hrp-ab97051'>ab97051</a>) at 1/100000 dilution

Predicted band size: 15 kDa

Observed band size: 20 kDa

false

Western blot - Human Histone H3 (Mutated K27M, K36M) + Histone H3.3 (Mutated G34W, G34V, G34R) Antibody Panel (AB274411)
  • WB

Lab

Western blot - Human Histone H3 (Mutated K27M, K36M) + Histone H3.3 (Mutated G34W, G34V, G34R) Antibody Panel (AB274411)

All lanes : Anti-Histone H3 (mutated K27 M) antibody [EPR18340] (ab190631) at 1/1000 dilution.

Lane 1 : HEK-293 transfected with Histone H3.1 (K27M) expression vector containing a myc-His-tag, whole cell lysate, 10 ug.

Lane 2 : HEK-293 transfected with Histone H3(WT) expression vector containing a myc-His-tag, whole cell lysate, 10 ug.

Secondary (all lanes) : ab97051 at 1/100000 dilution.

Predicted MW : 15 kDa.

Observed MW : 18 kDa.

Blocking and diluting buffer and concentration : 5% NFDM/TBST.

Exposure time : 6 seconds.

All lanes:

Western blot - Anti-Histone H3 (mutated K27M) antibody [EPR18340] - ChIP Grade (<a href='/en-us/products/primary-antibodies/histone-h3-mutated-k27m-antibody-epr18340-chip-grade-ab190631'>ab190631</a>) at 1/1000 dilution

Lane 1:

HEK-293 transfected with Histone H3.1 (K27M) expression vector containing a myc-His-tag, whole cell lysate at 10 µg

Lane 2:

HEK-293 transfected with Histone H3(WT) expression vector containing a myc-His-tag, whole cell lysate at 10 µg

Secondary

All lanes:

Western blot - Goat Anti-Rabbit IgG H&L (HRP) (<a href='/en-us/products/secondary-antibodies/goat-rabbit-igg-h-l-hrp-ab97051'>ab97051</a>) at 1/100000 dilution

Predicted band size: 15 kDa

Observed band size: 18 kDa

false

Western blot - Human Histone H3 (Mutated K27M, K36M) + Histone H3.3 (Mutated G34W, G34V, G34R) Antibody Panel (AB274411)
  • WB

Lab

Western blot - Human Histone H3 (Mutated K27M, K36M) + Histone H3.3 (Mutated G34W, G34V, G34R) Antibody Panel (AB274411)

All lanes : Anti-Histone H3 (mutated K36 M) antibody [EPR23614-91] (ab256384) at 1/1000 dilution.

Lane 1 : HEK-293 transfected with Histone H3.3 (WT) expression vector containing a myc-His-tag®, whole cell lysate, 10 ug

Lane 2 : HEK-293 transfected with Histone H3.3 K36M (mutated) expression vector containing a myc-His-tag®, whole cell lysate, 10 ug.

Secondary (all lanes) : ab97051 at 1/100000 dilution.

Predicted MW : 15 kDa.

Observed MW : 20 kDa.

Blocking and diluting buffer and concentration : 5% NFDM/TBST

Exposure time : 26 seconds

All lanes:

Western blot - Anti-Histone H3 (mutated K36M) antibody [EPR23614-91] (<a href='/en-us/products/primary-antibodies/histone-h3-mutated-k36m-antibody-epr23614-91-ab256384'>ab256384</a>) at 1/1000 dilution

Lane 1:

HEK-293 transfected with Histone H3.3 (WT) expression vector containing a myc-His-tag®, whole cell lysate at 10 µg

Lane 2:

HEK-293 transfected with Histone H3.3 K36M (mutate) expression vector containing a myc-His-tag®, whole cell lysate at 10 µg

Secondary

All lanes:

Western blot - Goat Anti-Rabbit IgG H&L (HRP) (<a href='/en-us/products/secondary-antibodies/goat-rabbit-igg-h-l-hrp-ab97051'>ab97051</a>) at 1/100000 dilution

Predicted band size: 15 kDa

Observed band size: 20 kDa

false

Western blot - Human Histone H3 (Mutated K27M, K36M) + Histone H3.3 (Mutated G34W, G34V, G34R) Antibody Panel (AB274411)
  • WB

Supplier Data

Western blot - Human Histone H3 (Mutated K27M, K36M) + Histone H3.3 (Mutated G34W, G34V, G34R) Antibody Panel (AB274411)

All lanes : Anti-Histone H3 (mutated K27 M) antibody [EPR18340] (ab190631) at 1/1000 dilution.

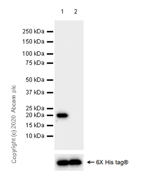
Lane 1 : His-tagged recombinant histone H3 K27M protein, 0.01 ug

Lane 2 : His-tagged recombinant wild type histone H3 protein, 0.01 ug

Secondary (all lanes) : ab97051 at 1/100000 dilution.

Predicted MW : 15 kDa.

Observed MW : 15 kDa.

Blocking and diluting buffer and concentration : 5% NFDM/TBST.

Exposure time : 15 seconds.

All lanes:

Western blot - Anti-Histone H3 (mutated K27M) antibody [EPR18340] - ChIP Grade (<a href='/en-us/products/primary-antibodies/histone-h3-mutated-k27m-antibody-epr18340-chip-grade-ab190631'>ab190631</a>) at 1/1000 dilution

Lane 1:

His-tagged recombinant histone H3 K27M protein at 0.01 µg

Lane 2:

His-tagged recombinant wild type histone H3 protein at 0.01 µg

Secondary

All lanes:

Western blot - Goat Anti-Rabbit IgG H&L (HRP) (<a href='/en-us/products/secondary-antibodies/goat-rabbit-igg-h-l-hrp-ab97051'>ab97051</a>) at 1/100000 dilution

Predicted band size: 15 kDa

Observed band size: 15 kDa

false

Exposure time: 15s

Western blot - Human Histone H3 (Mutated K27M, K36M) + Histone H3.3 (Mutated G34W, G34V, G34R) Antibody Panel (AB274411)
  • WB

Lab

Western blot - Human Histone H3 (Mutated K27M, K36M) + Histone H3.3 (Mutated G34W, G34V, G34R) Antibody Panel (AB274411)

All lanes : Anti-Histone H3 (mutated K27 M) antibody [EPR18340] (ab190631) at 1/1000 dilution.

Lane 1 : HEK-293 transfected with Histone H3.3 (K27M) expression vector containing a myc-His-tag®, whole cell lysate, 10 ug

Secondary (all lanes) : ab97051 at 1/100000 dilution.

Predicted MW : 15 kDa.

Observed MW : 18 kDa.

Blocking/Diluting buffer and concentration : 5% NFDM/TBST.

Exposure time : 3 seconds.

All lanes:

Western blot - Anti-Histone H3 (mutated K27M) antibody [EPR18340] - ChIP Grade (<a href='/en-us/products/primary-antibodies/histone-h3-mutated-k27m-antibody-epr18340-chip-grade-ab190631'>ab190631</a>) at 1/1000 dilution

All lanes:

HEK-293 transfected with Histone H3.3 (K27M) expression vector containing a myc-His-tag®, whole cell lysate at 10 µg

Secondary

All lanes:

Western blot - Goat Anti-Rabbit IgG H&L (HRP) (<a href='/en-us/products/secondary-antibodies/goat-rabbit-igg-h-l-hrp-ab97051'>ab97051</a>) at 1/100000 dilution

Predicted band size: 15 kDa

Observed band size: 18 kDa

false

Exposure time: 3s

Western blot - Human Histone H3 (Mutated K27M, K36M) + Histone H3.3 (Mutated G34W, G34V, G34R) Antibody Panel (AB274411)
  • WB

Lab

Western blot - Human Histone H3 (Mutated K27M, K36M) + Histone H3.3 (Mutated G34W, G34V, G34R) Antibody Panel (AB274411)

All lanes : Anti-Histone H3.3 (mutated G34 W) antibody [EPR23581-39] - ChIP Grade (ab272691) at 1/1000 dilution.

Lane 1 : HEK-293T (human embryonic kidney) transfected with Histone H3.3 G34W expression vector containing a myc-His-tag®, whole cell lysate, 40 ug.

Lane 2 : HEK-293T transfected with Histone H3.3 (WT) expression vector containing a myc-His-tag®, whole cell lysate, 40 ug.

Secondary (all lanes) : Goat Anti-Rabbit IgG, (H+L), Peroxidase conjugated (ab97051), 1/50000 dilution.

Predicted MW : 15 kDa.

Observed MW : 20 kDa.

Blocking and diluting buffer and concentration : 5% NFDM/TBST.

Exposure time : 3 minutes.

All lanes:

Western blot - Anti-Histone H3.3 (mutated G34W) antibody [EPR23581-39] - ChIP Grade (<a href='/en-us/products/primary-antibodies/histone-h33-mutated-g34w-antibody-epr23581-39-chip-grade-ab272691'>ab272691</a>) at 1/1000 dilution

Lane 1:

HEK-293T (human embryonic kidney) transfected with Histone H3.3 G34W expression vector containing a myc-His-tag®, whole cell lysate at 40 µg

Lane 2:

HEK-293T transfected with Histone H3.3 (WT) expression vector containing a myc-His-tag®, whole cell lysate at 40 µg

Secondary

All lanes:

Goat Anti-Rabbit IgG, (H+L), Peroxidase conjugated (<a href='/en-us/products/secondary-antibodies/goat-rabbit-igg-h-l-hrp-ab97051'>ab97051</a>) at 1/50000 dilution

Predicted band size: 15 kDa

Observed band size: 20 kDa

false

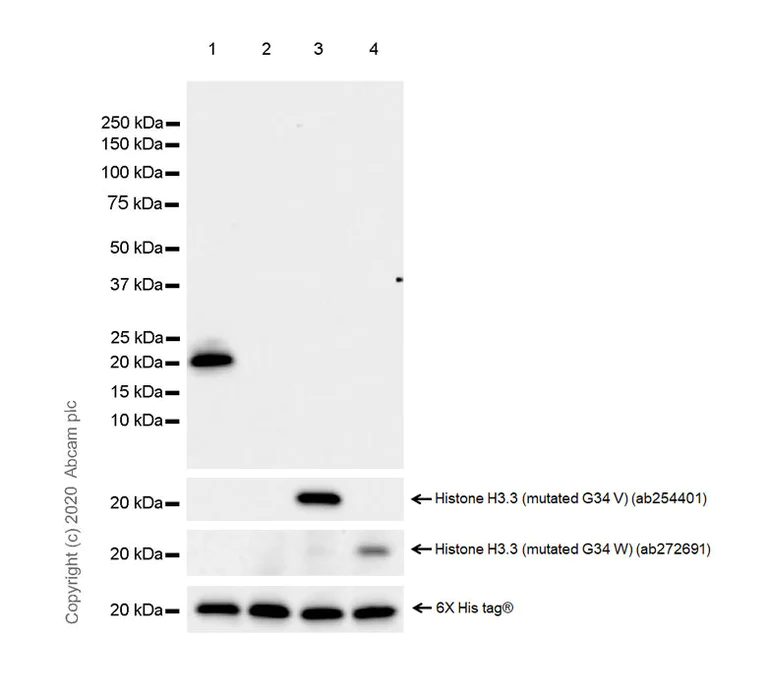
Western blot - Human Histone H3 (Mutated K27M, K36M) + Histone H3.3 (Mutated G34W, G34V, G34R) Antibody Panel (AB274411)
  • WB

Lab

Western blot - Human Histone H3 (Mutated K27M, K36M) + Histone H3.3 (Mutated G34W, G34V, G34R) Antibody Panel (AB274411)

All lanes : Anti-Histone H3.3 (mutated G34 R) antibody [EPR23519-91] - ChIP Grade (ab254402) at 1/1000 dilution.

Lane 1 : HEK-293T (human embryonic kidney) transfected with Histone H3.3 G34R expression vector containi a myc-His-tag®, whole cell lysate, 20 ug.

Lane 2 : HEK-293T transfected with Histone H3.3 (WT) expression vector containing a myc-His-tag®, whole cell lysate, 20 ug.

Lane 3 : HEK-293T (human embryonic kidney) transfected with Histone H3.3 G34V expression vector containing a myc-His-tag®, whole cell lysate, 20 ug.

Lane 4 : HEK-293T (human embryonic kidney) transfected with Histone H3.3 G34W expression vector containngi a myc-His-tag®, whole cell lysate, 20 ug.

Secondary (all lanes) : Goat Anti-Rabbit IgG, (H+L), Peroxidase conjugated (ab97051), 1/100000 dilution.

Predicted MW : 15 kDa.

Observed MW : 20 kDa.

Blocking and diluting buffer and concentration : 5% NFDM/TBST.

Exposure time : 26 seconds.

All lanes:

Western blot - Anti-Histone H3.3 (mutated G34R) antibody [EPR23519-91] - ChIP Grade (<a href='/en-us/products/primary-antibodies/histone-h33-mutated-g34r-antibody-epr23519-91-chip-grade-ab254402'>ab254402</a>) at 1/1000 dilution

Lane 1:

HEK-293T (human embryonic kidney) transfected with Histone H3.3 G34R expression vector containing a myc-His-tag®, whole cell lysate at 20 µg

Lane 2:

HEK-293T transfected with Histone H3.3 (WT) expression vector containing a myc-His-tag®, whole cell lysate at 20 µg

Lane 3:

HEK-293T (human embryonic kidney) transfected with Histone H3.3 G34V expression vector containing a myc-His-tag®, whole cell lysate at 20 µg

Lane 4:

HEK-293T (human embryonic kidney) transfected with Histone H3.3 G34W expression vector containing a myc-His-tag®, whole cell lysate at 20 µg

Secondary

All lanes:

Western blot - Goat Anti-Rabbit IgG H&L (HRP) (<a href='/en-us/products/secondary-antibodies/goat-rabbit-igg-h-l-hrp-ab97051'>ab97051</a>) at 1/100000 dilution

Predicted band size: 15 kDa

Observed band size: 20 kDa

false

Dot Blot - Human Histone H3 (Mutated K27M, K36M) + Histone H3.3 (Mutated G34W, G34V, G34R) Antibody Panel (AB274411)
  • Dot

Supplier Data

Dot Blot - Human Histone H3 (Mutated K27M, K36M) + Histone H3.3 (Mutated G34W, G34V, G34R) Antibody Panel (AB274411)

Dot blot analysis of Histone H3.3 (mutated G34 W) labeled with ab272691 at 1/1000 dilution.

Lane 1 : Histone H3.3 H3G34W peptide (aa28-37).
Lane 2 : Histone H3.3 H3G34W peptide (aa33-43).
Lane 3 : Histone H3.3 H3G34W peptide (aa28-43).
Lane 4 : Histone H3.3 WT peptide (aa28-43).

Goat Anti-Rabbit IgG H&L (HRP) (ab97051) at 1/100000 dilution was used as secondary antibody.

Blocking and dilution buffer : 5% NFDM/TBST.

Exposure time : 3 minutes.

Dot Blot - Human Histone H3 (Mutated K27M, K36M) + Histone H3.3 (Mutated G34W, G34V, G34R) Antibody Panel (AB274411)
  • Dot

Lab

Dot Blot - Human Histone H3 (Mutated K27M, K36M) + Histone H3.3 (Mutated G34W, G34V, G34R) Antibody Panel (AB274411)

Dot blot analysis of Histone H3.3 (mutated G34 R) labeled with ab254402 at 1/1000 dilution.

Lane 1 : Histone H3.3 H3G34R peptide (aa28-40).
Lane 2 : Histone H3.3 H3G34R peptide (aa26-36).
Lane 3 : Histone H3.3 WT peptide (aa26-40).

Goat Anti-Rabbit IgG H&L (HRP) (ab97051) at 1/100000 dilution was used as secondary antibody.

Blocking and dilution buffer : 5% NFDM/TBST.

Exposure time : 3 minutes.

Dot Blot - Human Histone H3 (Mutated K27M, K36M) + Histone H3.3 (Mutated G34W, G34V, G34R) Antibody Panel (AB274411)
  • Dot

Supplier Data

Dot Blot - Human Histone H3 (Mutated K27M, K36M) + Histone H3.3 (Mutated G34W, G34V, G34R) Antibody Panel (AB274411)

Dot blot analysis of Histone H3.3 (mutated G34 V) labeled with ab254401 at 1/1000 dilution.

Lane 1 : Histone H3.3 H3G34V peptide (aa28-40).
Lane 2 : Histone H3.3 H3G34V peptide (aa26-38).
Lane 3 : Histone H3.3 WT peptide (aa26-40).

Goat Anti-Rabbit IgG H&L (HRP) (ab97051) at 1/100000 dilution was used as secondary antibody.

Blocking and dilution buffer : 5% NFDM/TBST.

Exposure time : 3 minutes.

Key facts

Reacts with

Human

Target

H3C1 mutated K27M + K36M + G34W + G34V + G34R

target

Product details

Human Histone H3 (Mutated K27M, K36M) + Histone H3.3 (Mutated G34W, G34V, G34R) Antibody Panel ab274411 contains multiple trial-sized versions of anti-human antibody clones against Histone H3 (Mutated K27M), Histone H3 (Mutated K36M), Histone H3.3 (Mutated G34W), Histone H3.3 (Mutated G34V) and Histone H3.3 (Mutated G34R), specifically selected for high performance in various applications. They are provided as a sampler panel to allow you to easily evaluate each antibody.

For guidelines on how to use each antibody within the panel, please consult the individual datasheet for each antibody.

Panel contains:

- Rabbit monoclonal [EPR18340] to H3K27M (20 μL) ab190631

- Rabbit monoclonal [EPR23614-91] to H3K36M (20 μL) ab256384

- Rabbit monoclonal [EPR23581-39] to H3G34W (20 μL) ab272691

- Rabbit monoclonal [EPR23520-5] to H3G34V (20 μL) ab254401

- Rabbit monoclonal [EPR23519-91] to H3G34R (20 μL) ab254402

Explore our range of antibody sample panels designed to provide you with a variety of trial-size antibodies in a convenient and cost-effective format.

Carrier-free formulations of our recombinant antibodies are also available for easy conjugation to labels of your choice and for multiplex applications. Use our intuitive search and select carrier-free or your label of choice. For bespoke conjugations or large volumes email bespoke@abcam.com.

What's included?

{ "values": { "1Kit": { "sellingSize": "1 Kit", "publicAssetCode":"ab274411-1Kit", "assetComponentDetails": [ { "size":"2 x 10 µL", "name":"Anti-Histone H3.3 (mutated G34 W) antibody [EPR23581-39] - ChIP Grade", "number":"AB274411-CMP04", "productcode":"AB272691" }, { "size":"2 x 10 µL", "name":"Anti-Histone H3.3 (mutated G34 R) antibody [EPR23519-91] -ChIP Grade", "number":"AB274411-CMP03", "productcode":"AB254402" }, { "size":"2 x 10 µL", "name":"Anti-Histone H3 (mutated K36 M) antibody [EPR23614-91]", "number":"AB274411-CMP01", "productcode":"AB256384" }, { "size":"2 x 10 µL", "name":"Anti-Histone H3.3 (mutated G34 V) antibody [EPR23520-5] - ChIP Grade", "number":"AB274411-CMP02", "productcode":"AB254401" }, { "size":"2 x 10 µL", "name":"Anti-Histone H3 (mutated K27 M) antibody [EPR18340] - ChIP Grade", "number":"AB274411-CMP05", "productcode":"AB190631" } ] } } }

Properties and storage information

Shipped at conditions
Blue Ice
Appropriate short-term storage conditions
-20°C
Appropriate long-term storage conditions
-20°C
Storage information
-20°C

Product protocols

Target data

The protein expressed by gene H3C1 is a core component of the nucleosome, which is essential for wrapping and compacting DNA into chromatin. This process restricts DNA accessibility to cellular machineries that use DNA as a template. Consequently, histones are central to transcription regulation, DNA repair, DNA replication, and chromosomal stability. DNA accessibility is regulated through a complex set of post-translational modifications of histones, known as the histone code, and through nucleosome remodeling. This supplementary information is collated from multiple sources and compiled automatically.
See full target information H3C1 mutated K27M + K36M + G34W + G34V + G34R

Publications (2)

Recent publications for all applications. Explore the full list and refine your search

Neurochemical research 50:21 PubMed39560818

2024

The P38MAPK Pathway Mediates the Destruction of the Blood-Brain Barrier in Anti-NMDAR Encephalitis Mice.

Applications

Unspecified application

Species

Unspecified reactive species

Dayuan Lao,Zhuowei Gong,Taiyan Li,Xuean Mo,Wen Huang

eLife 12: PubMed36810133

2023

Enteroendocrine cell lineages that differentially control feeding and gut motility.

Applications

Unspecified application

Species

Unspecified reactive species

Marito Hayashi,Judith A Kaye,Ella R Douglas,Narendra R Joshi,Fiona M Gribble,Frank Reimann,Stephen D Liberles
View all publications

Product promise

We are committed to supporting your work with high-quality reagents, and we're here for you every step of the way. In the unlikely event that one of our products does not perform as expected, you're protected by our Product Promise.
For full details, please see our Terms & Conditions

Please note: All products are 'FOR RESEARCH USE ONLY. NOT FOR USE IN DIAGNOSTIC OR THERAPEUTIC PROCEDURES'.

For licensing inquiries, please contact partnerships@abcam.com