JavaScript is disabled in your browser. Please enable JavaScript to view this website.
AB278175

Inhibitory Immune Checkpoint panel 2 - Human IHC

Be the first to review this product! Submit a review

|

(0 Publication)

Inhibitory Immune Checkpoint panel 2 - Human IHC (ab278175) is part of the multiplex kits range. Abcam offers high-quality biological reagents and tools including antibodies, proteins, assays, cell lines and lysates.

View Alternative Names

CD47, MER6, Leukocyte surface antigen CD47, Antigenic surface determinant protein OA3, Integrin-associated protein, Protein MER6, IAP

17 Images
Immunohistochemistry (Formalin/PFA-fixed paraffin-embedded sections) - Inhibitory Immune Checkpoint panel 2 - Human IHC (AB278175)
  • IHC-P

Supplier Data

Immunohistochemistry (Formalin/PFA-fixed paraffin-embedded sections) - Inhibitory Immune Checkpoint panel 2 - Human IHC (AB278175)

Formalin-fixed, paraffin-embedded human lung SCCa tissue stained for CD276 with ab227670 at 1/100 dilution in immunohistochemical analysis.

Immunohistochemistry (Formalin/PFA-fixed paraffin-embedded sections) - Inhibitory Immune Checkpoint panel 2 - Human IHC (AB278175)
  • IHC-P

Supplier Data

Immunohistochemistry (Formalin/PFA-fixed paraffin-embedded sections) - Inhibitory Immune Checkpoint panel 2 - Human IHC (AB278175)

Formalin-fixed, paraffin-embedded human testis tissue stained for CD276 with ab227670 at 1/100 dilution in immunohistochemical analysis.

Immunohistochemistry (Formalin/PFA-fixed paraffin-embedded sections) - Inhibitory Immune Checkpoint panel 2 - Human IHC (AB278175)
  • IHC-P

Unknown

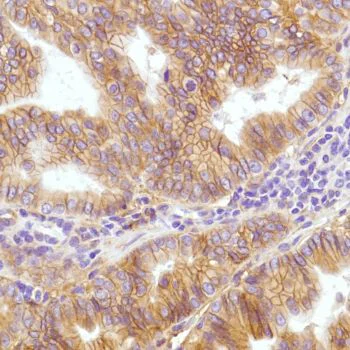
Immunohistochemistry (Formalin/PFA-fixed paraffin-embedded sections) - Inhibitory Immune Checkpoint panel 2 - Human IHC (AB278175)

Formalin-fixed, paraffin-embedded human stomach adenocarcinoma tissue stained for CD276 with ab227670 at 1/100 dilution in immunohistochemical analysis.

Immunohistochemistry (Formalin/PFA-fixed paraffin-embedded sections) - Inhibitory Immune Checkpoint panel 2 - Human IHC (AB278175)
  • IHC-P

Supplier Data

Immunohistochemistry (Formalin/PFA-fixed paraffin-embedded sections) - Inhibitory Immune Checkpoint panel 2 - Human IHC (AB278175)

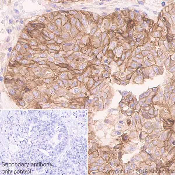
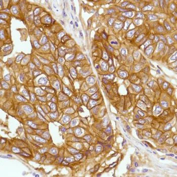
Immunohistochemistry (Formalin/PFA-fixed paraffin-embedded sections) analysis of human lung carcinoma tissue sections labeling CD276 with ab227670 at 1/100 dilution (2.29 μg/ml). Heat mediated antigen retrieval with Tris-EDTA buffer (pH 6.0, epitope retrieval solution 1) for 10mins. Rabbit specific IHC polymer detection kit HRP/DAB (ab209101) was used as the secondary antibody. Hematoxylin was used as a counterstain. Mainly membranous staining on the human lung carcinoma, performed on a Leica Biosystems BOND™ RX instrument.
The section was incubated with ab227670 for 10 mins at room temperature.

Immunohistochemistry (Formalin/PFA-fixed paraffin-embedded sections) - Inhibitory Immune Checkpoint panel 2 - Human IHC (AB278175)
  • IHC-P

Supplier Data

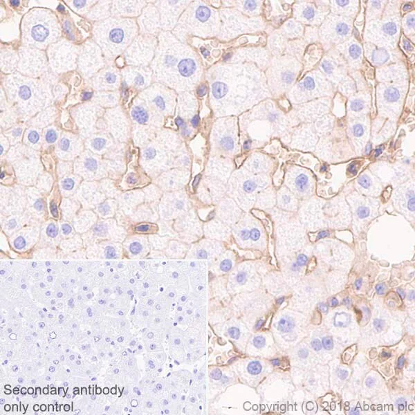
Immunohistochemistry (Formalin/PFA-fixed paraffin-embedded sections) - Inhibitory Immune Checkpoint panel 2 - Human IHC (AB278175)

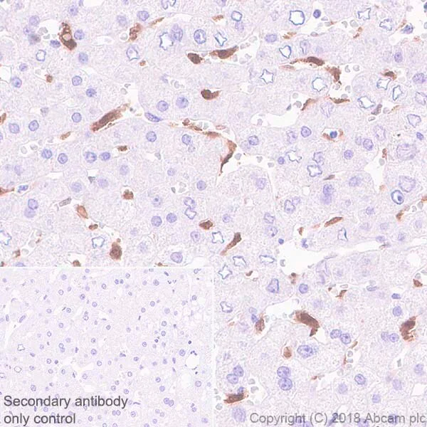
Immunohistochemical analysis of paraffin-embedded human liver tissue labeling CD47 with ab218810 at 1/2000 dilution, followed by Goat Anti-Rabbit IgG H&L (HRP) Ready to use. Membranous and weak cytoplasmic staining on sinus of human liver sinusoidal endothelial cells (PMID : 7998989). Counterstained with hematoxylin. Heat mediated antigen retrieval was performed using Tris/EDTA buffer pH 9.0 before commencing with IHC staining protocol.

Secondary antibody only control : Used PBS instead of primary antibody, secondary antibody is Goat Anti-Rabbit IgG H&L (HRP) Ready to use.

Immunohistochemistry (Formalin/PFA-fixed paraffin-embedded sections) - Inhibitory Immune Checkpoint panel 2 - Human IHC (AB278175)
  • IHC-P

Supplier Data

Immunohistochemistry (Formalin/PFA-fixed paraffin-embedded sections) - Inhibitory Immune Checkpoint panel 2 - Human IHC (AB278175)

Immunohistochemical analysis of paraffin-embedded human cerebrum tissue labeling SIRP alpha with ab260039 at 1/500 followed by a ready to use Goat Anti-Rabbit IgG H&L (HRP). Positive staining on the human cerebrum (PMID : 9062191) is observed. The section was incubated with ab260039 for 15 mins at room temperature. The immunostaining staining was performed on a Leica Biosystems BOND® RX instrument. Counterstained with hematoxylin.

Secondary antibody only control : Ready to use Goat Anti-Rabbit IgG H&L (HRP).

Heat mediated antigen retrieval using ab93684 (Tris/EDTA buffer, pH 9.0).

Immunohistochemistry (Formalin/PFA-fixed paraffin-embedded sections) - Inhibitory Immune Checkpoint panel 2 - Human IHC (AB278175)
  • IHC-P

Supplier Data

Immunohistochemistry (Formalin/PFA-fixed paraffin-embedded sections) - Inhibitory Immune Checkpoint panel 2 - Human IHC (AB278175)

Immunohistochemical analysis of paraffin-embedded human ovary carcinoma tissue labeling CD47 with ab218810 at 1/2000 dilution, followed by Goat Anti-Rabbit IgG H&L (HRP) Ready to use. Membranous and weakly cytoplasmic staining in human ovary carcinoma (PMID : 7998989). Counterstained with hematoxylin. Heat mediated antigen retrieval was performed using Tris/EDTA buffer pH 9.0 before commencing with IHC staining protocol.

Secondary antibody only control : Used PBS instead of primary antibody, secondary antibody is Goat Anti-Rabbit IgG H&L (HRP) Ready to use.

Immunohistochemistry (Formalin/PFA-fixed paraffin-embedded sections) - Inhibitory Immune Checkpoint panel 2 - Human IHC (AB278175)
  • IHC-P

Supplier Data

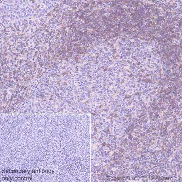
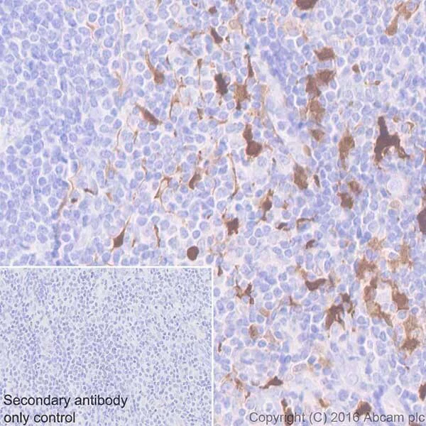
Immunohistochemistry (Formalin/PFA-fixed paraffin-embedded sections) - Inhibitory Immune Checkpoint panel 2 - Human IHC (AB278175)

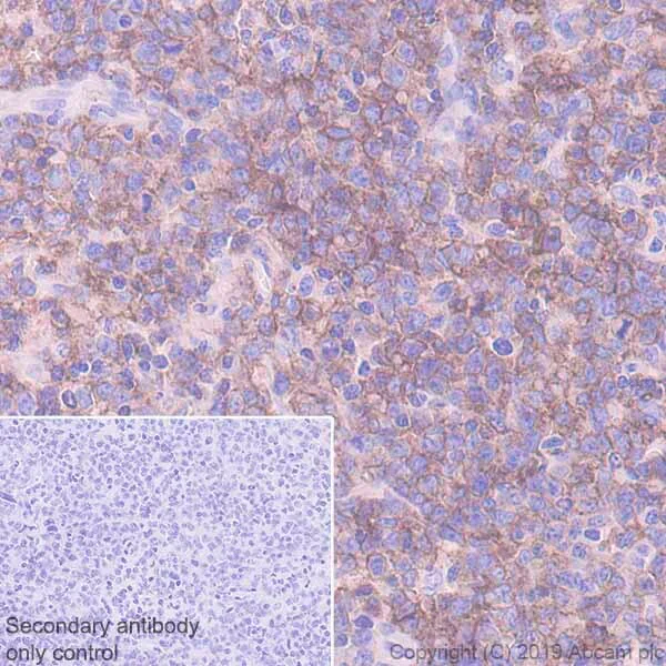
Immunohistochemical analysis of paraffin-embedded human lymphoma tissue labeling CD272/BTLA with ab230976 at 1/1000 dilution, followed by a ready to use Goat Anti-Rabbit IgG H&L (HRP). Membranous and cytoplasmic staining in human lymphoma (PMID : 19762537) is observed. Counterstained with hematoxylin.
Secondary antibody only control : Used PBS instead of primary antibody, secondary antibody is a ready to use Goat Anti-Rabbit IgG H&L (HRP).
Perform heat mediated antigen retrieval using ab93684 (Tris/EDTA buffer, pH 9.0).

Immunohistochemistry (Formalin/PFA-fixed paraffin-embedded sections) - Inhibitory Immune Checkpoint panel 2 - Human IHC (AB278175)
  • IHC-P

Supplier Data

Immunohistochemistry (Formalin/PFA-fixed paraffin-embedded sections) - Inhibitory Immune Checkpoint panel 2 - Human IHC (AB278175)

Immunohistochemical analysis of paraffin-embedded human endometrium cancer tissue labeling Indoleamine 2, 3-dioxygenase with ab211017 at 1/2000 dilution, followed by Goat Anti-Rabbit IgG H&L (HRP) Ready to use.

Cytoplasmic and nuclear staining on human endometrium cancer is observed (PMID : 26155395).

Counter stained with Hematoxylin.

Secondary antibody only control : Used PBS instead of primary antibody, secondary antibody is Goat Anti-Rabbit IgG H&L (HRP) Ready to use.

Perform heat mediated antigen retrieval with Tris/EDTA buffer pH 9.0 before commencing with IHC staining protocol.

Immunohistochemistry (Formalin/PFA-fixed paraffin-embedded sections) - Inhibitory Immune Checkpoint panel 2 - Human IHC (AB278175)
  • IHC-P

Supplier Data

Immunohistochemistry (Formalin/PFA-fixed paraffin-embedded sections) - Inhibitory Immune Checkpoint panel 2 - Human IHC (AB278175)

Immunohistochemical analysis of paraffin-embedded human colon tissue labeling galectin 9/Gal-9 with ab227046 at 1/1000 dilution, followed by a ready to use Goat Anti-Rabbit IgG H&L (HRP). Nuclear and cytoplasmic staining on epithelial cells of human colon (PMID : 18202194) is observed. Counterstained with hematoxylin.
Secondary antibody only control : Used PBS instead of primary antibody, secondary antibody is a ready to use Goat Anti-Rabbit IgG H&L (HRP).
Perform heat mediated antigen retrieval using ab93684 (Tris/EDTA buffer, pH 9.0).

Immunohistochemistry (Formalin/PFA-fixed paraffin-embedded sections) - Inhibitory Immune Checkpoint panel 2 - Human IHC (AB278175)
  • IHC-P

Supplier Data

Immunohistochemistry (Formalin/PFA-fixed paraffin-embedded sections) - Inhibitory Immune Checkpoint panel 2 - Human IHC (AB278175)

Immunohistochemical analysis of paraffin-embedded human placenta tissue labeling Indoleamine 2, 3-dioxygenase with ab211017 at 1/2000 dilution, followed by Goat Anti-Rabbit IgG H&L (HRP) Ready to use.

Cytoplasmic and nuclear staining on endothelial cells of human placenta is observed (PMID : 21328335, PMID : 25271151).

Counter stained with Hematoxylin.

Secondary antibody only control : Used PBS instead of primary antibody, secondary antibody is Goat Anti-Rabbit IgG H&L (HRP) Ready to use.

Perform heat mediated antigen retrieval with Tris/EDTA buffer pH 9.0 before commencing with IHC staining protocol.

Immunohistochemistry (Formalin/PFA-fixed paraffin-embedded sections) - Inhibitory Immune Checkpoint panel 2 - Human IHC (AB278175)
  • IHC-P

Supplier Data

Immunohistochemistry (Formalin/PFA-fixed paraffin-embedded sections) - Inhibitory Immune Checkpoint panel 2 - Human IHC (AB278175)

Immunohistochemical analysis of paraffin-embedded human tonsil tissue labeling 2B4 with ab256370 at 1/50 (12.04 ug/ml) dilution followed by a ready to use LeicaDS9800 (Bond™ Polymer Refine Detection). Positive staining in human tonsil (PMID : 19499526). The section was incubated with ab256370 for 30 mins at room temperature. The immunostaining was performed on a Leica Biosystems BOND® RX instrument. Counterstained with Hematoxylin.

Secondary antibody only control : Secondary antibody is a ready to use LeicaDS9800 (Bond™ Polymer Refine Detection).

Heat mediated antigen retrieval with Tris-EDTA buffer (pH 9.0, epitope retrieval solution2) for 20 mins.

Immunohistochemistry (Formalin/PFA-fixed paraffin-embedded sections) - Inhibitory Immune Checkpoint panel 2 - Human IHC (AB278175)
  • IHC-P

Supplier Data

Immunohistochemistry (Formalin/PFA-fixed paraffin-embedded sections) - Inhibitory Immune Checkpoint panel 2 - Human IHC (AB278175)

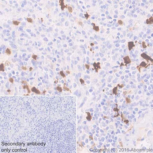
Immunohistochemical analysis of paraffin-embedded human liver tissue labeling galectin 9/Gal-9 with ab227046 at 1/1000 dilution, followed by a ready to use Goat Anti-Rabbit IgG H&L (HRP). Nuclear and cytoplasmic staining on Kupffer cells of human liver (PMID : 20209097, PMID : 18202194) is observed. Counterstained with hematoxylin.
Secondary antibody only control : Used PBS instead of primary antibody, secondary antibody is a ready to use Goat Anti-Rabbit IgG H&L (HRP).
Perform heat mediated antigen retrieval using ab93684 (Tris/EDTA buffer, pH 9.0).

Immunohistochemistry (Formalin/PFA-fixed paraffin-embedded sections) - Inhibitory Immune Checkpoint panel 2 - Human IHC (AB278175)
  • IHC-P

Supplier Data

Immunohistochemistry (Formalin/PFA-fixed paraffin-embedded sections) - Inhibitory Immune Checkpoint panel 2 - Human IHC (AB278175)

Immunohistochemical analysis of paraffin-embedded human spleen tissue labeling Indoleamine 2, 3-dioxygenase with ab211017 at 1/2000 dilution, followed by Goat Anti-Rabbit IgG H&L (HRP) Ready to use.

Cytoplasmic and nuclear staining on dendritic cells of human spleen is observed (PMID : 21328335, PMID : 25271151).

Counter stained with Hematoxylin.

Secondary antibody only control : Used PBS instead of primary antibody, secondary antibody is Goat Anti-Rabbit IgG H&L (HRP) Ready to use.

Perform heat mediated antigen retrieval with Tris/EDTA buffer pH 9.0 before commencing with IHC staining protocol.

Immunohistochemistry (Formalin/PFA-fixed paraffin-embedded sections) - Inhibitory Immune Checkpoint panel 2 - Human IHC (AB278175)
  • IHC-P

Supplier Data

Immunohistochemistry (Formalin/PFA-fixed paraffin-embedded sections) - Inhibitory Immune Checkpoint panel 2 - Human IHC (AB278175)

Immunohistochemical analysis of paraffin-embedded human tonsil tissue labeling Indoleamine 2, 3-dioxygenase with ab211017 at 1/2000 dilution, followed by Goat Anti-Rabbit IgG H&L (HRP) Ready to use.

Cytoplasmic and nuclear staining on dendritic cells of human tonsil is observed (PMID : 21328335, PMID : 25271151).

Counter stained with Hematoxylin.

Secondary antibody only control : Used PBS instead of primary antibody, secondary antibody is Goat Anti-Rabbit IgG H&L (HRP) Ready to use.

Perform heat mediated antigen retrieval with Tris/EDTA buffer pH 9.0 before commencing with IHC staining protocol.

Immunohistochemistry (Formalin/PFA-fixed paraffin-embedded sections) - Inhibitory Immune Checkpoint panel 2 - Human IHC (AB278175)
  • IHC-P

Supplier Data

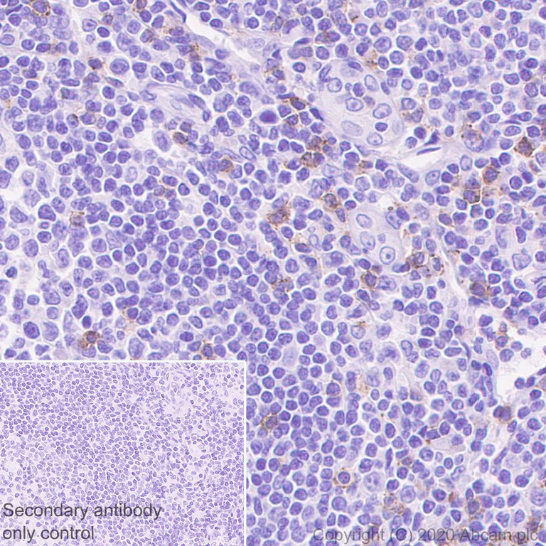
Immunohistochemistry (Formalin/PFA-fixed paraffin-embedded sections) - Inhibitory Immune Checkpoint panel 2 - Human IHC (AB278175)

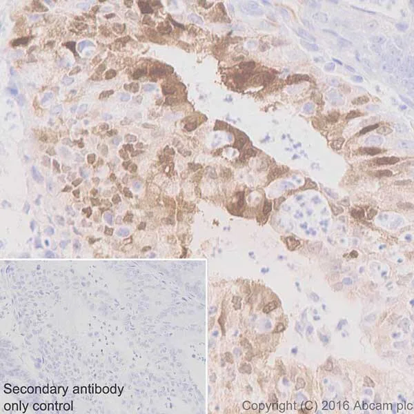
Immunohistochemical analysis of paraffin-embedded human tonsil tissue labeling CD272/BTLA with ab230976 at 1/1000 dilution, followed by a ready to use Goat Anti-Rabbit IgG H&L (HRP). Cytoplasmic staining in lymphocytes of human tonsil (PMID : 19762537) is observed. Counterstained with hematoxylin.
Secondary antibody only control : Used PBS instead of primary antibody, secondary antibody is a ready to use Goat Anti-Rabbit IgG H&L (HRP).
Perform heat mediated antigen retrieval using ab93684 (Tris/EDTA buffer, pH 9.0).

Immunohistochemistry (Formalin/PFA-fixed paraffin-embedded sections) - Inhibitory Immune Checkpoint panel 2 - Human IHC (AB278175)
  • IHC-P

Supplier Data

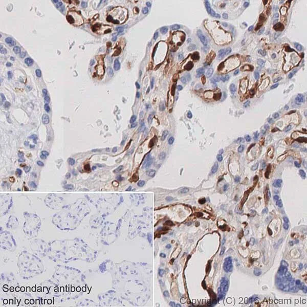
Immunohistochemistry (Formalin/PFA-fixed paraffin-embedded sections) - Inhibitory Immune Checkpoint panel 2 - Human IHC (AB278175)

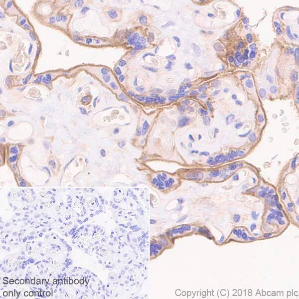
Immunohistochemical analysis of paraffin-embedded human placenta tissue labeling CD47 with ab218810 at 1/2000 dilution, followed by Goat Anti-Rabbit IgG H&L (HRP) Ready to use. Membranous staining on human placenta (PMID : 7998989). Counterstained with hematoxylin. Heat mediated antigen retrieval was performed using Tris/EDTA buffer pH 9.0 before commencing with IHC staining protocol.

Secondary antibody only control : Used PBS instead of primary antibody, secondary antibody is Goat Anti-Rabbit IgG H&L (HRP) Ready to use.

Key facts

Reacts with

Human

Target

CD47

target

Product details

Inhibitory Immune Checkpoint panel 2 - Human IHC ab278173 contains multiple trial-sized versions of anti-human antibody clones against CD47, SIRP alpha, CD272/BTLA, galectin 9/Gal-9, Indoleamine 2, 3-dioxygenase, 2B4 and CD276. For guidelines on how to use each antibody within the panel, please consult the individual datasheet for each antibody.specifically selected for high performance in various applications. They are provided as a sampler panel to allow you to easily evaluate each antibody.

Panel contains:

- Rabbit monoclonal [EPR21794] to CD47 (20 μL) ab218810

- Rabbit monoclonal [EPR22930-163] to SIRP alpha (20 μL) ab260039

- Rabbit monoclonal [EPR22224-271] to CD272/BTLA (20 μL) ab230976

- Rabbit monoclonal [EPR22214] to galectin 9/Gal-9 (20 μL) ab227046

- Rabbit monoclonal [EPR20374] to Indoleamine 2, 3-dioxygenase (20 μL) ab211017

- Rabbit monoclonal [EPR23692-33] to 2B4 (20 μL) ab256370

- Rabbit monoclonal [SP206] to CD276 (20 μL) ab227670

Explore our range of antibody sample panels designed to provide you with a variety of trial-size antibodies in a convenient and cost-effective format.

Carrier-free formulations of our recombinant antibodies are also available for easy conjugation to labels of your choice and for multiplex applications. Use our intuitive search and select carrier-free or your label of choice. For bespoke conjugations or large volumes email bespoke@abcam.com.

What's included?

{ "values": { "1Kit": { "sellingSize": "1 Kit", "publicAssetCode":"ab278175-1Kit", "assetComponentDetails": [ { "size":"2 x 10 µL", "name":"Anti-CD272/BTLA antibody [EPR22224-271]", "number":"AB278175-CMP04", "productcode":"AB230976" }, { "size":"2 x 10 µL", "name":"Anti-CD276 antibody [SP206]", "number":"AB278175-CMP05", "productcode":"AB227670" }, { "size":"2 x 10 µL", "name":"Anti-galectin 9/Gal-9 antibody [EPR22214]", "number":"AB278175-CMP06", "productcode":"AB227046" }, { "size":"2 x 10 µL", "name":"Anti-SIRP alpha antibody [EPR22930-163]", "number":"AB278175-CMP03", "productcode":"AB260039" }, { "size":"2 x 10 µL", "name":"Anti-CD47 antibody [EPR21794]", "number":"AB278175-CMP01", "productcode":"AB218810" }, { "size":"2 x 10 µL", "name":"Anti-Indoleamine 2, 3-dioxygenase antibody [EPR20374]", "number":"AB278175-CMP02", "productcode":"AB211017" }, { "size":"2 x 10 µL", "name":"Anti-2B4 antibody [EPR23692-33]", "number":"AB278175-CMP07", "productcode":"AB256370" } ] } } }

Properties and storage information

Shipped at conditions
Blue Ice
Appropriate short-term storage conditions
-20°C
Appropriate long-term storage conditions
-20°C
Storage information
-20°C

Supplementary information

This supplementary information is collated from multiple sources and compiled automatically.

CD47 also known as integrin-associated protein is a transmembrane protein with a molecular mass of approximately 50 kDa. This target is found on a wide variety of cells and tissues including red blood cells and endothelial cells. CD47 interacts with signal regulatory protein alpha (SIRP alpha) on macrophages creating a 'don't eat me' signal that helps the cell avoid phagocytosis. Indoleamine 23-dioxygenase (IDO) is an enzyme involved in tryptophan metabolism with a mass around 45 kDa expressed in dendritic cells and monocytes. 2B4 also called CD244 is a cell surface receptor on natural killer (NK) cells and some T cells. Galectin-9 (Gal-9) primarily found in immune tissues plays a role in modulating immune responses. CD272 or BTLA (B and T Lymphocyte Attenuator) is a receptor involved in immune regulation expressed on T cells while CD276 also known as B7-H3 is a member of the B7 family expressed on antigen-presenting cells (APCs).
Biological function summary

CD47 plays a role in cell survival by inhibiting macrophage-mediated phagocytosis through its interaction with SIRP alpha. This interaction is important in maintaining the balance between cell preservation and immune clearance. IDO contributes to immune tolerance by catabolizing tryptophan reducing its availability and modulating T cell function. 2B4 part of the SLAM family functions in activating NK cells while Gal-9 regulates T cell apoptosis and inflammation. BTLA acts as an inhibitory receptor during T cell activation often engaging with CD276 in immunosuppressive contexts. Most targets do not exist in isolation; rather they function within complexes that facilitate their biological roles.

Pathways

CD47-SIRP alpha signaling integrates into the immune evasion pathways by preventing phagocytosis a cellular immune mechanism. This pathway includes other molecules like SHP-1 and SHP-2 which transduce inhibitory signals within phagocytic cells. IDO is part of the kynurenine pathway of tryptophan metabolism influencing immune regulation by modulating the local immune environment. Alongside IDO other molecules such as kynurenine can impact T cell proliferation and function. 2B4 fits within the NK cell activation pathway interacting with its ligand CD48. BTLA often associated with CD276 connects to pathways involved in immune checkpoint signaling influencing T cell responses.

CD47 overexpression has links to cancer as tumors exploit the 'don't eat me' signal to evade immune detection. Its relationship with SIRP alpha positions it as a therapeutic target in oncology. IDO expression can contribute to tumor immune escape by modulating the tumor microenvironment and its role in tryptophan metabolism connects it uniquely to cancer immunotherapy. Gal-9 plays a part in autoimmune diseases by regulating inflammation and T cell death. BTLA through its regulatory role has associations with autoimmune disorders influencing how the immune system responds to self-antigens. Understanding these targets enriches therapeutic development strategies by examining how they interconnect with diseases and other proteins.

Product protocols

Target data

Adhesive protein that mediates cell-to-cell interactions (PubMed : 11509594, PubMed : 15383453). Acts as a receptor for thrombospondin THBS1 and as modulator of integrin signaling through the activation of heterotrimeric G proteins (PubMed : 19004835, PubMed : 7691831, PubMed : 8550562). Involved in signal transduction, cardiovascular homeostasis, inflammation, apoptosis, angiogenesis, cellular self-renewal, and immunoregulation (PubMed : 11509594, PubMed : 15383453, PubMed : 19004835, PubMed : 27742621, PubMed : 32679764, PubMed : 7691831, PubMed : 8550562). Plays a role in modulating pulmonary endothelin EDN1 signaling (PubMed : 27742621). Modulates nitrous oxide (NO) signaling, in response to THBS1, hence playing a role as a pressor agent, supporting blood pressure (By similarity). Plays an important role in memory formation and synaptic plasticity in the hippocampus (By similarity). Receptor for SIRPA, binding to which prevents maturation of immature dendritic cells and inhibits cytokine production by mature dendritic cells (PubMed : 11509594). Interaction with SIRPG mediates cell-cell adhesion, enhances superantigen-dependent T-cell-mediated proliferation and costimulates T-cell activation (PubMed : 15383453). Positively modulates FAS-dependent apoptosis in T-cells, perhaps by enhancing FAS clustering (By similarity). Plays a role in suppressing angiogenesis and may be involved in metabolic dysregulation during normal aging (PubMed : 32679764). In response to THBS1, negatively modulates wound healing (By similarity). Inhibits stem cell self-renewal, in response to THBS1, probably by regulation of the stem cell transcription factors POU5F1/OCT4, SOX2, MYC/c-Myc and KLF4 (By similarity). May play a role in membrane transport and/or integrin dependent signal transduction (PubMed : 7691831). May prevent premature elimination of red blood cells (By similarity).
See full target information CD47

Additional targets

SIRPA,IDO1,LGALS9,CD276,BTLA,CD244

Product promise

We are committed to supporting your work with high-quality reagents, and we're here for you every step of the way. In the unlikely event that one of our products does not perform as expected, you're protected by our Product Promise.
For full details, please see our Terms & Conditions

Please note: All products are 'FOR RESEARCH USE ONLY. NOT FOR USE IN DIAGNOSTIC OR THERAPEUTIC PROCEDURES'.

For licensing inquiries, please contact partnerships@abcam.com