JavaScript is disabled in your browser. Please enable JavaScript to view this website.
AB278180

Macrophage Polarization Panel - Human IHC

Be the first to review this product! Submit a review

|

(0 Publication)

Macrophage Polarization Panel - Human IHC (ab278180) is part of the multiplex kits range. Abcam offers high-quality biological reagents and tools including antibodies, proteins, assays, cell lines and lysates.

View Alternative Names

NOS2A, NOS2, Hepatocyte NOS, Inducible NO synthase, NOS type II, Peptidyl-cysteine S-nitrosylase NOS2, HEP-NOS, Inducible NOS, iNOS

21 Images
Immunohistochemistry (Formalin/PFA-fixed paraffin-embedded sections) - Macrophage Polarization Panel - Human IHC (AB278180)
  • IHC-P

Unknown

Immunohistochemistry (Formalin/PFA-fixed paraffin-embedded sections) - Macrophage Polarization Panel - Human IHC (AB278180)

Immunohistochemical analysis of paraffin-embedded human tonsil tissue labeling CD68 with ab213363 at 1/5000 dilution. No blocking step performed. Anti-Rabbit HRP polymer was used as the secondary detection system. Heat-mediated antigen retrieval was performed using EDTA based pH 9.0 buffer.

Immunohistochemistry (Formalin/PFA-fixed paraffin-embedded sections) - Macrophage Polarization Panel - Human IHC (AB278180)
  • IHC-P

Lab

Immunohistochemistry (Formalin/PFA-fixed paraffin-embedded sections) - Macrophage Polarization Panel - Human IHC (AB278180)

IHC image of CD11b staining in a formalin fixed, paraffin embedded human normal spleen tissue section*, performed on a Leica Bond™ system using the standard protocol F. The section was pre-treated using heat mediated antigen retrieval with sodium citrate buffer (pH6, epitope retrieval solution 1) for 20 mins. The section was then incubated with ab133357 at 1/4000 dilution, for 15 mins at room temperature and detected using an HRP conjugated compact polymer system. DAB was used as the chromogen. The section was then counterstained with haematoxylin and mounted with DPX.

For other IHC staining systems (automated and non-automated) customers should optimize variable parameters such as antigen retrieval conditions, primary antibody concentration and antibody incubation times.

*Tissue obtained from the Human Research Tissue Bank, supported by the NIHR Cambridge Biomedical Research Centre

Immunohistochemistry (Formalin/PFA-fixed paraffin-embedded sections) - Macrophage Polarization Panel - Human IHC (AB278180)
  • IHC-P

Supplier Data

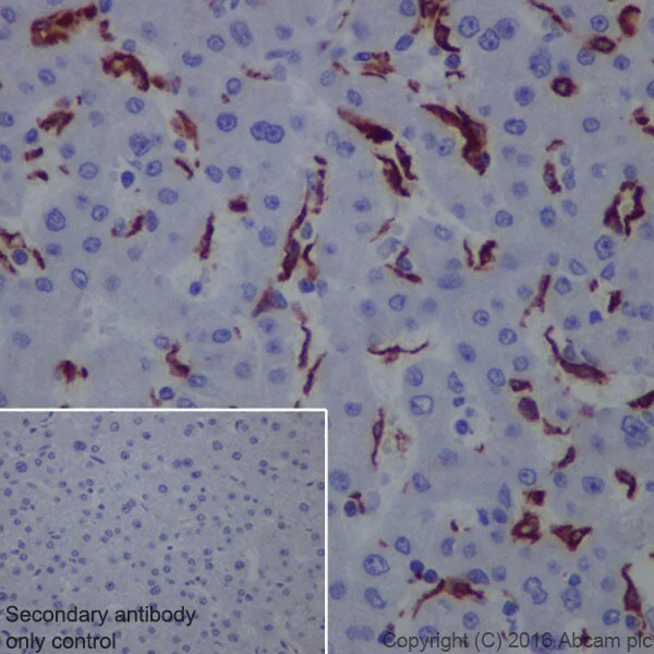
Immunohistochemistry (Formalin/PFA-fixed paraffin-embedded sections) - Macrophage Polarization Panel - Human IHC (AB278180)

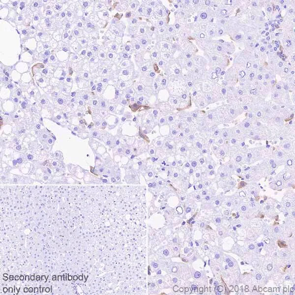
Immunohistochemical analysis of paraffin-embedded human liver tissue labeling Mannose Receptor with ab252921 at 1/4000 dilution, followed by Goat Anti-Rabbit IgG H&L (HRP) ready to use. Positive staining in macrophages (Kupffer cells) of human liver (PMID : 26938527) is observed. Counterstained with hematoxylin.

Secondary antibody only control : Used PBS instead of primary antibody, secondary antibody is Goat Anti-Rabbit IgG H&L (HRP) ready to use.

Heat mediated antigen retrieval using ab93684 (Tris/EDTA buffer, pH 9.0).

Immunohistochemistry (Formalin/PFA-fixed paraffin-embedded sections) - Macrophage Polarization Panel - Human IHC (AB278180)
  • IHC-P

Supplier Data

Immunohistochemistry (Formalin/PFA-fixed paraffin-embedded sections) - Macrophage Polarization Panel - Human IHC (AB278180)

Formaldehyde-fixed, non-permeabilized human tonsil tissue stained for CD163 with ab182422 (30 mins at a 1/400 dilution) in immunohistochemical analysis. A Goat polyclonal HRP conjugate was used as the secondary.

Heat mediated antigen retrieval buffer/enzyme used : pH 9.0 EDTA.

Blocking step : 1% ab64226 for 10 mins at RT.

Immunohistochemistry (Formalin/PFA-fixed paraffin-embedded sections) - Macrophage Polarization Panel - Human IHC (AB278180)
  • IHC-P

Supplier Data

Immunohistochemistry (Formalin/PFA-fixed paraffin-embedded sections) - Macrophage Polarization Panel - Human IHC (AB278180)

Immunohistochemical analysis of paraffin-embedded human colon tissue labeling Mannose Receptor with ab252921 at 1/4000 dilution, followed by Goat Anti-Rabbit IgG H&L (HRP) ready to use. Positive staining in macrophages of human colon (PMID : 9060831) is observed. Counterstained with hematoxylin.

Secondary antibody only control : Used PBS instead of primary antibody, secondary antibody is Goat Anti-Rabbit IgG H&L (HRP) ready to use.

Heat mediated antigen retrieval using ab93684 (Tris/EDTA buffer, pH 9.0).

Immunohistochemistry (Formalin/PFA-fixed paraffin-embedded sections) - Macrophage Polarization Panel - Human IHC (AB278180)
  • IHC-P

Supplier Data

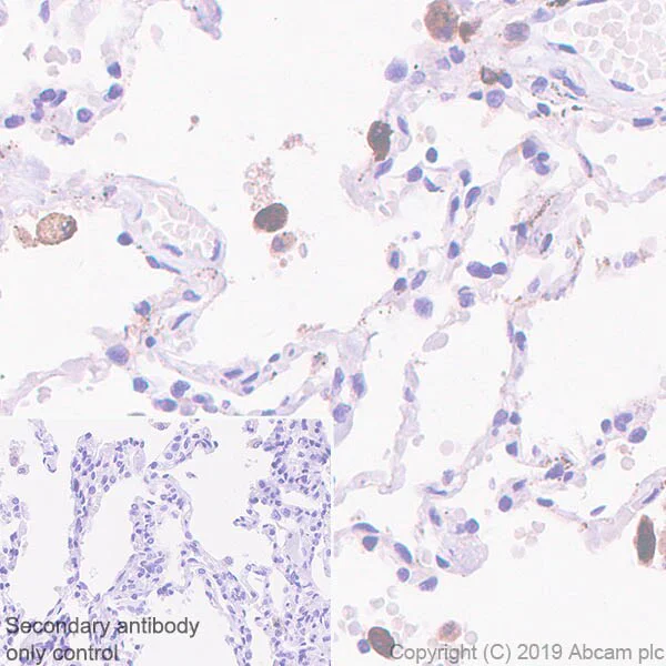
Immunohistochemistry (Formalin/PFA-fixed paraffin-embedded sections) - Macrophage Polarization Panel - Human IHC (AB278180)

Formalin-fixed, paraffin-embedded human lung stained for iNOS using ab115819 at a dilution of 1/100 in immunohistochemical analysis.

Immunohistochemistry (Formalin/PFA-fixed paraffin-embedded sections) - Macrophage Polarization Panel - Human IHC (AB278180)
  • IHC-P

Supplier Data

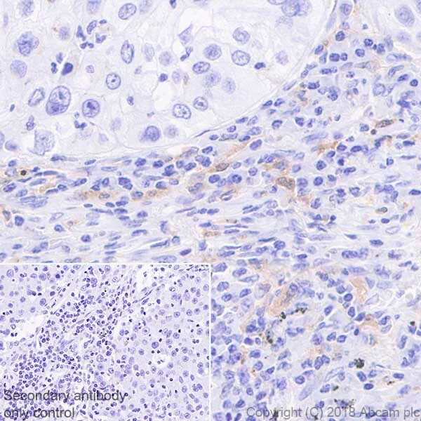
Immunohistochemistry (Formalin/PFA-fixed paraffin-embedded sections) - Macrophage Polarization Panel - Human IHC (AB278180)

Immunohistochemical analysis of paraffin-embedded human liver tissue labeling TIM 3 with ab241332 at 1/1000 dilution, followed by Goat Anti-Rabbit IgG H&L (HRP) ready to use. Cytoplasmic and membranous staining on Kupffer cells of human liver (PMID : 27192565) is observed. Counter stained with hematoxylin.

Secondary antibody only control : Used PBS instead of primary antibody, secondary antibody is Goat Anti-Rabbit IgG H&L (HRP) ready to use.

Heat mediated antigen retrieval using ab93684 (Tris/EDTA buffer, pH 9.0).

Immunohistochemistry (Formalin/PFA-fixed paraffin-embedded sections) - Macrophage Polarization Panel - Human IHC (AB278180)
  • IHC-P

Supplier Data

Immunohistochemistry (Formalin/PFA-fixed paraffin-embedded sections) - Macrophage Polarization Panel - Human IHC (AB278180)

10% Formalin-fixed, non-permeabilized human breast carcinoma tissue stained for CD163 with ab182422 (12 hours, 4°C at a 1/200 dilution) in immunohistochemical analysis. A Donkey anti Rabbit IgG polyclonal AlexaFluor®647 conjugate was used as the secondary at a 1/200 dilution (red).

Heat mediated antigen retrieval buffer/enzyme used : Tris/EDTA pH 9.0.

Blocking step : 5% serum for 1 hour at 22°C.

Immunohistochemistry (Formalin/PFA-fixed paraffin-embedded sections) - Macrophage Polarization Panel - Human IHC (AB278180)
  • IHC-P

Supplier Data

Immunohistochemistry (Formalin/PFA-fixed paraffin-embedded sections) - Macrophage Polarization Panel - Human IHC (AB278180)

Immunohistochemical staining of paraffin embedded human spleen with purified ab133357 at a 1/4000 dilution. The secondary antibody used is a HRP goat anti-rabbit (ab97051). The sample is counterstained with hematoxylin.

Antigen retrieval was perfomed using Tris-EDTA buffer, pH 9.0.

PBS was used instead of the primary antibody as the negative control, and is shown in the inset.

Immunohistochemistry (Formalin/PFA-fixed paraffin-embedded sections) - Macrophage Polarization Panel - Human IHC (AB278180)
  • IHC-P

Supplier Data

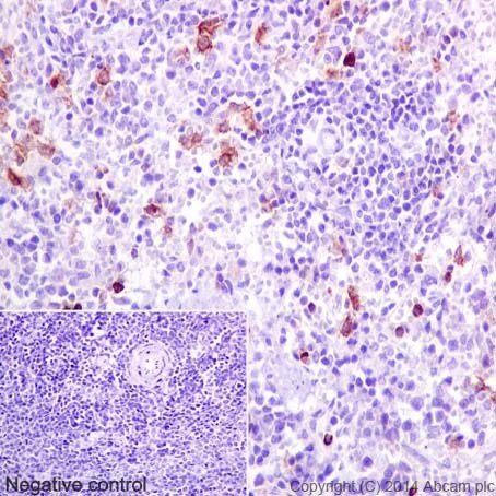
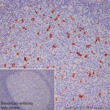
Immunohistochemistry (Formalin/PFA-fixed paraffin-embedded sections) - Macrophage Polarization Panel - Human IHC (AB278180)

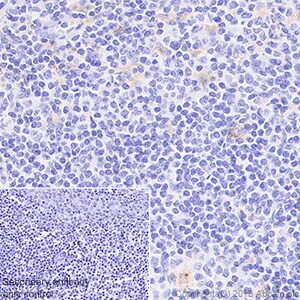
Immunohistochemical analysis of paraffin-embedded human tonsil tissue, labeling CD68 with ab213363 at 1/8000 dilution, followed by Goat anti-Rabbit IgG H&L (HRP) Ready to use. Cytoplasmic staining on macrophages of human tonsil is observed (PMID : 19543531). Counter stained with hematoxylin. Heat mediated antigen retrieval was performed using Tris/EDTA buffer pH 9.0 before commencing with IHC staining protocol.

Secondary antibody only control : Used PBS instead of primary antibody, secondary antibody is Goat anti-Rabbit IgG H&L (HRP) Ready to use.

Immunohistochemistry (Formalin/PFA-fixed paraffin-embedded sections) - Macrophage Polarization Panel - Human IHC (AB278180)
  • IHC-P

Supplier Data

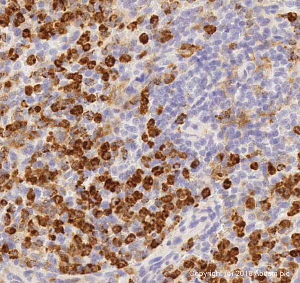
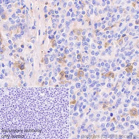
Immunohistochemistry (Formalin/PFA-fixed paraffin-embedded sections) - Macrophage Polarization Panel - Human IHC (AB278180)

Immunohistochemical analysis of paraffin-embedded human non-Hodgkin lymphoma tissue labeling CSF-1-R with ab229188 at 1/250 dilution, followed by Rabbit specific IHC polymer detection kit HRP/DAB (ab209101) Ready to use. Cytoplasmic and membranous staining of human non-Hodgkin lymphoma cells is observed. Counter stained with hematoxylin.

Secondary antibody only control : Used PBS instead of primary antibody, secondary antibody is Rabbit specific IHC polymer detection kit HRP/DAB (ab209101) Ready to use.

Heat mediated antigen retrieval was performed with Tris/EDTA buffer pH 9.0 before commencing with IHC staining protocol.

Immunohistochemistry (Formalin/PFA-fixed paraffin-embedded sections) - Macrophage Polarization Panel - Human IHC (AB278180)
  • IHC-P

Supplier Data

Immunohistochemistry (Formalin/PFA-fixed paraffin-embedded sections) - Macrophage Polarization Panel - Human IHC (AB278180)

Immunohistochemistry (Formalin/PFA-fixed paraffin-embedded sections) analysis of human lung tissue sections labeling iNOS with Purified ab115819 at 1/100 dilution (0.65 μg/ml).

Heat mediated antigen retrieval was performed using sodium citrate buffer, pH 6.0.

Goat Anti-Rabbit IgG H&L (HRP) was used as the secondary antibody.

Negative control : PBS instead of the primary antibody.

Hematoxylin was used as a counterstain.

Immunohistochemistry (Formalin/PFA-fixed paraffin-embedded sections) - Macrophage Polarization Panel - Human IHC (AB278180)
  • IHC-P

Supplier Data

Immunohistochemistry (Formalin/PFA-fixed paraffin-embedded sections) - Macrophage Polarization Panel - Human IHC (AB278180)

Immunohistochemical analysis of paraffin-embedded human liver tissue labeling CD163 with ab182422 at 1/500 dilution, followed by Goat Anti-Rabbit IgG H&L (HRP) (ab97051) at 1/500 dilution. Cytoplasm staining on Kupffer cells of human liver is observed. Counter stained with Hematoxylin.

Secondary antibody only control : Used PBS instead of primary antibody, secondary antibody is ab97051 at 1/500 dilution. Perform heat mediated antigen retrieval with Tris/EDTA buffer pH 9.0 before commencing with IHC staining protocol.

Immunohistochemistry (Formalin/PFA-fixed paraffin-embedded sections) - Macrophage Polarization Panel - Human IHC (AB278180)
  • IHC-P

Supplier Data

Immunohistochemistry (Formalin/PFA-fixed paraffin-embedded sections) - Macrophage Polarization Panel - Human IHC (AB278180)

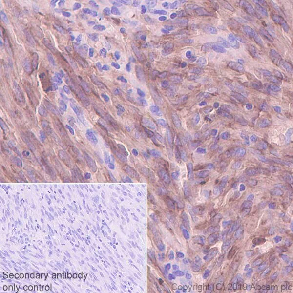
Immunohistochemical analysis of paraffin-embedded human lung cancer tissue labeling TIM 3 with ab241332 at 1/1000 dilution, followed by Goat Anti-Rabbit IgG H&L (HRP) ready to use. Cytoplasmic and membranous staining on both infiltrated immunocytes and tumor cells of human lung cancer (PMID : 22586058) is observed. Counter stained with hematoxylin.

Secondary antibody only control : Used PBS instead of primary antibody, secondary antibody is Goat Anti-Rabbit IgG H&L (HRP) ready to use.

Heat mediated antigen retrieval using ab93684 (Tris/EDTA buffer, pH 9.0).

Immunohistochemistry (Formalin/PFA-fixed paraffin-embedded sections) - Macrophage Polarization Panel - Human IHC (AB278180)
  • IHC-P

Supplier Data

Immunohistochemistry (Formalin/PFA-fixed paraffin-embedded sections) - Macrophage Polarization Panel - Human IHC (AB278180)

Immunohistochemistry (Formalin/PFA-fixed paraffin-embedded sections) analysis of Human spleen tissue labelling PDI with ab243644 at 1.02 μg/mL (B), PD-L 1 with ab213524 at 1/100 dilution (C) and CD68 with ab213363 at 1/300 dilution (D). Anti-Rabbit and Mouse Polymer HRP was used as a secondary antibody, and DAPI was used for a nuclear counter stain. Heat mediated antigen retrieval with Tris-EDTA buffer (pH 9.0, epitope retrieval solution 2) for 20mins. Heat mediated antigen retrieval (Leica ER2, pH 9.0, 20 minutes) was used in between rounds of tyramide signal amplification to remove the antibodies from the previous round, to avoid any cross-reactivity.

Panel A : merged staining of anti- PD1 (green, Opal™520), anti- PD-L1 (red, Opal™570) and anti- CD68 (yellow, Opal™690).

Panel B : Anti- PD1 stained on antigen-stimulated T cells.

Panel C : anti- PD-L1 stained on cells involved in T cell inhibition

Panel D : anti-CD68 stained on macrophages.

The section was incubated in three rounds of staining : in the order of ab243644, ab213363 and ab213524 for 30 mins at room temperature. Each round was followed by a separate fluorescent tyramide signal amplification system.

The immunostaining was performed on a Leica Biosystems BOND® RX instrument with an Opal™ 4-color kit. Image acquisition was performed with Leica SP8 confocal microscope.

Immunohistochemistry (Formalin/PFA-fixed paraffin-embedded sections) - Macrophage Polarization Panel - Human IHC (AB278180)
  • IHC-P

Supplier Data

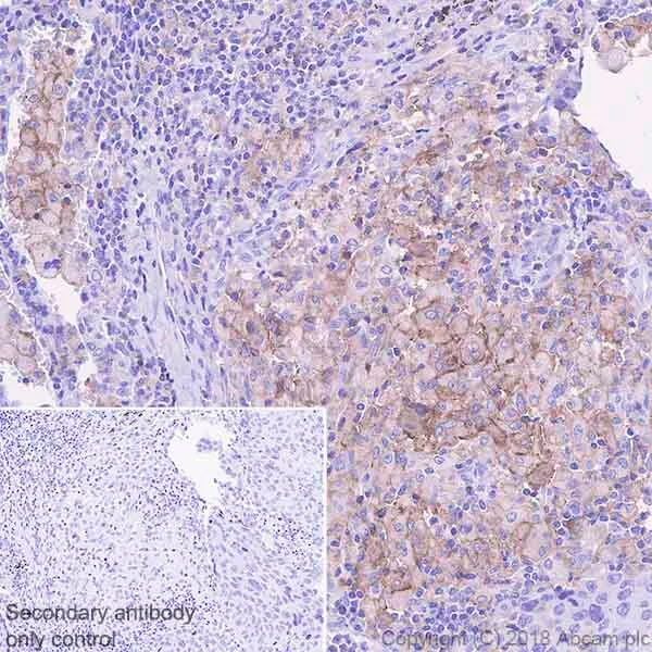
Immunohistochemistry (Formalin/PFA-fixed paraffin-embedded sections) - Macrophage Polarization Panel - Human IHC (AB278180)

Immunohistochemical analysis of paraffin-embedded human lung cancer tissue labeling CSF-1-R with ab229188 at 1/250 dilution, followed by Rabbit specific IHC polymer detection kit HRP/DAB (ab209101) Ready to use. Cytoplasmic staining in macrophages infiltrating human lung cancer is observed. Counter stained with hematoxylin.

Secondary antibody only control : Used PBS instead of primary antibody, secondary antibody is Rabbit specific IHC polymer detection kit HRP/DAB (ab209101) Ready to use.

Heat mediated antigen retrieval was performed with Tris/EDTA buffer pH 9.0 before commencing with IHC staining protocol.

Immunohistochemistry (Formalin/PFA-fixed paraffin-embedded sections) - Macrophage Polarization Panel - Human IHC (AB278180)
  • IHC-P

Supplier Data

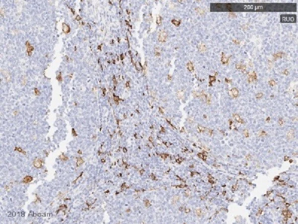
Immunohistochemistry (Formalin/PFA-fixed paraffin-embedded sections) - Macrophage Polarization Panel - Human IHC (AB278180)

Immunohistochemical analysis of paraffin-embedded human tonsil tissue labeling CSF-1-R with ab229188 at 1/250 dilution, followed by Rabbit specific IHC polymer detection kit HRP/DAB (ab209101) Ready to use. Cytoplasmic staining in macrophages of human tonsil (PMID : 26066800) is observed. Counter stained with hematoxylin.

Secondary antibody only control : Used PBS instead of primary antibody, secondary antibody is Rabbit specific IHC polymer detection kit HRP/DAB (ab209101) Ready to use.

Heat mediated antigen retrieval was performed with Tris/EDTA buffer pH 9.0 before commencing with IHC staining protocol.

Immunohistochemistry (Formalin/PFA-fixed paraffin-embedded sections) - Macrophage Polarization Panel - Human IHC (AB278180)
  • IHC-P

Supplier Data

Immunohistochemistry (Formalin/PFA-fixed paraffin-embedded sections) - Macrophage Polarization Panel - Human IHC (AB278180)

Formalin-fixed, paraffin-embedded human lung stained for iNOS using ab115819 at a dilution of 1/100 in immunohistochemical analysis.

Immunohistochemistry (Formalin/PFA-fixed paraffin-embedded sections) - Macrophage Polarization Panel - Human IHC (AB278180)
  • IHC-P

Supplier Data

Immunohistochemistry (Formalin/PFA-fixed paraffin-embedded sections) - Macrophage Polarization Panel - Human IHC (AB278180)

Immunohistochemical analysis of paraffin-embedded human Karposi's sarcoma tissue labeling Mannose Receptor with ab252921 at 1/4000 dilution, followed by Goat Anti-Rabbit IgG H&L (HRP) ready to use. Positive staining in tumor cells of human Kaposi’s Sarcoma (PMID : 9060831) is observed. Counterstained with hematoxylin.

Secondary antibody only control : Used PBS instead of primary antibody, secondary antibody is Goat Anti-Rabbit IgG H&L (HRP) ready to use. Heat mediated antigen retrieval using ab93684 (Tris/EDTA buffer, pH 9.0).

Immunohistochemistry (Formalin/PFA-fixed paraffin-embedded sections) - Macrophage Polarization Panel - Human IHC (AB278180)
  • IHC-P

Supplier Data

Immunohistochemistry (Formalin/PFA-fixed paraffin-embedded sections) - Macrophage Polarization Panel - Human IHC (AB278180)

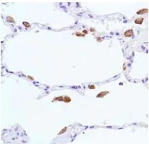
Immunohistochemistry (Formalin/PFA-fixed paraffin-embedded sections) analysis of human lung carcinoma tissue sections labeling iNOS with Purified ab115819 at 1/100 dilution (0.65 μg/ml).

Heat mediated antigen retrieval was performed using sodium citrate buffer, pH 6.0.

Goat Anti-Rabbit IgG H&L (HRP) was used as the secondary antibody.

Negative control : PBS instead of the primary antibody. Hematoxylin was used as a counterstain.

Immunohistochemistry (Formalin/PFA-fixed paraffin-embedded sections) - Macrophage Polarization Panel - Human IHC (AB278180)
  • IHC-P

Supplier Data

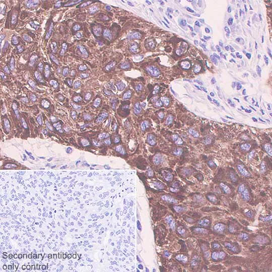
Immunohistochemistry (Formalin/PFA-fixed paraffin-embedded sections) - Macrophage Polarization Panel - Human IHC (AB278180)

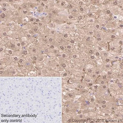
ab133543 staining liver arginase in paraffin embedded human hepatocellular cancer tissue sections by Immunohistochemistry.

Heat mediated antigen retrieval was performed using ab93684 (Tris/EDTA buffer, pH 9.0).

Samples were incubated with primary antibody at 1 : 2000 dilution (0.13 μg/ml).

A ready to use Goat anti-rabbit IgG H&L (HRP) was used as the secondary antibody.

Hematoxylin was used as a counterstain.

Cytoplasmic and nuclear staining on human hepatocellular cancer.

Key facts

Reacts with

Human

Target

NOS2

target

Product details

Macrophage Polarization Panel - Human IHC (ab278180) contains multiple trial-sized versions of anti-human antibody clones against iNOS, CD11b, Liver Arginase, CD163, CD68, CSF-1-R, TIM 3 and Mannose Receptor specifically selected for high performance in various applications. They are provided as a sampler panel to allow you to easily evaluate each antibody.

For guidelines on how to use each antibody within the panel, please consult the individual datasheet for each antibody.

Panel contains:

- Rabbit monoclonal [SP126] to iNOS (20 μL) ab115819

- Rabbit monoclonal [EPR1344] to CD11b (20 μL) ab133357

- Rabbit monoclonal [EPR6672(B)] to Liver Arginase (20 μL) ab133543

- Rabbit monoclonal [EPR19518] to CD163 (20 μL) ab182422

- Rabbit monoclonal [EPR20545] to CD68 (20 μL) ab213363

- Rabbit monoclonal [EPR20754] to CSF-1-R (20 μL) ab229188

- Rabbit monoclonal [EPR22241] to TIM 3 (20 μL) ab241332

- Rabbit monoclonal [EPR22489-7] to Mannose Receptor (20 μL) ab252921

Explore our range of antibody sample panels designed to provide you with a variety of trial-size antibodies in a convenient and cost-effective format.

Carrier-free formulations of our recombinant antibodies are also available for easy conjugation to labels of your choice and for multiplex applications. Use our intuitive search and select carrier-free or your label of choice. For bespoke conjugations or large volumes email bespoke@abcam.com.

What's included?

{ "values": { "1Kit": { "sellingSize": "1 Kit", "publicAssetCode":"ab278180-1Kit", "assetComponentDetails": [ { "size":"2 x 10 µL", "name":"Anti-CD11b antibody [EPR1344]", "number":"AB278180-CMP03", "productcode":"AB133357" }, { "size":"2 x 10 µL", "name":"Anti-CD163 antibody [EPR19518]", "number":"AB278180-CMP02", "productcode":"AB182422" }, { "size":"2 x 10 µL", "name":"Anti-TIM 3 antibody [EPR22241]", "number":"AB278180-CMP08", "productcode":"AB241332" }, { "size":"2 x 10 µL", "name":"Anti-CD68 antibody [EPR20545]", "number":"AB278180-CMP06", "productcode":"AB213363" }, { "size":"2 x 10 µL", "name":"Anti-iNOS antibody [SP126]", "number":"AB278180-CMP01", "productcode":"AB115819" }, { "size":"2 x 10 µL", "name":"Anti-CSF-1-R antibody [EPR20754]", "number":"AB278180-CMP07", "productcode":"AB229188" }, { "size":"2 x 10 µL", "name":"Anti-Mannose Receptor antibody [EPR22489-7]", "number":"AB278180-CMP04", "productcode":"AB252921" }, { "size":"2 x 10 µL", "name":"Anti-Liver Arginase antibody [EPR6672(B)]", "number":"AB278180-CMP05", "productcode":"AB133543" } ] } } }

Properties and storage information

Shipped at conditions
Blue Ice
Appropriate short-term storage conditions
-20°C
Appropriate long-term storage conditions
-20°C
Storage information
-20°C

Supplementary information

This supplementary information is collated from multiple sources and compiled automatically.

CD11b also known as integrin alpha M is a protein with a mass of about 170 kDa. It expresses predominantly on the surface of myeloid cells such as macrophages monocytes and neutrophils. This protein works mechanically as a receptor that binds to a variety of ligands facilitating cell adhesion and migration. CD68 another marker for macrophages is found in cytoplasmic granules and acts as a scavenger receptor involved in the clearance of cellular debris. Liver Arginase a urea cycle enzyme is mostly located in the liver where it hydrolyzes L-arginine to L-ornithine and urea. CD163 a scavenger receptor for hemoglobin-haptoglobin complexes expresses on monocytes and macrophages. The mannose receptor primarily found on macrophages and dendritic cells aids in endocytosis and phagocytosis. TIM-3 expressed on T cells and some innate immune cells acts as an immune checkpoint inhibitor. Inducible nitric oxide synthase (iNOS) is an enzyme mainly in macrophages that generates nitric oxide a critical mediator in immune response. CSF-1R a receptor tyrosine kinase is present on macrophages and their progenitors regulating their growth and differentiation.
Biological function summary

These proteins participate in numerous immune-related activities. CD11b and CD68 are important for macrophage polarization influencing the functional state of macrophages. Liver Arginase contributes to macrophage polarization by modulating arginine metabolism. CD163 along with the mannose receptor supports macrophage phenotypic shifts and scavenging activities and TIM-3 plays a role in immune tolerance and downregulation. iNOS participates in macrophage activation producing reactive nitrogen species essential for pathogen defense. CSF-1R aids in macrophage differentiation and proliferation. Together these molecules form a complex interplay that influences macrophage behavior in various tissues highlighted by their involvement in macrophage immunohistochemistry and related assays.

Pathways

These proteins function within immune signaling and metabolic pathways critical to macrophage function. The CD11b integrin is involved in the leukocyte adhesion and migration pathway interacting with other integrins and selectins. Liver Arginase participates in the urea cycle affecting downstream arginine availability which in turn influences iNOS activity and nitric oxide production. CD163 links with cytokine release pathways acting in concert with anti-inflammatory mediators. TIM-3 interacts with the negative regulation pathways of T-cell activation and is relevant in T-cell exhaustion processes. These proteins connect through macrophage polarization markers staining differentiation kits and macrophage IHC in numerous biological contexts.

These proteins associate with inflammatory and immune-related diseases. CD11b and CD68 are markers in atherosclerosis where macrophage dysfunction plays a role in plaque formation and stability. Liver Arginase and iNOS link with conditions like liver disease where imbalances in nitric oxide and arginine metabolism can exacerbate damage. CD163 is associated with chronic inflammatory disorders such as rheumatoid arthritis playing a part in hemoglobin clearance and anti-inflammatory pathways. CSF-1R mutations and dysregulation are associated with cancer progression as the modulation of macrophage differentiation affects tumor microenvironments. Additionally TIM-3's role in immune checkpoints is being explored in therapies targeting cancer and autoimmune diseases.

Product protocols

Target data

Produces nitric oxide (NO) which is a messenger molecule with diverse functions throughout the body (PubMed : 7504305, PubMed : 7531687, PubMed : 7544004, PubMed : 7682706). In macrophages, NO mediates tumoricidal and bactericidal actions. Also has nitrosylase activity and mediates cysteine S-nitrosylation of cytoplasmic target proteins such PTGS2/COX2 (By similarity). As component of the iNOS-S100A8/9 transnitrosylase complex involved in the selective inflammatory stimulus-dependent S-nitrosylation of GAPDH on 'Cys-247' implicated in regulation of the GAIT complex activity and probably multiple targets including ANXA5, EZR, MSN and VIM (PubMed : 25417112). Involved in inflammation, enhances the synthesis of pro-inflammatory mediators such as IL6 and IL8 (PubMed : 19688109).
See full target information NOS2

Additional targets

ITGAM,ARG1,CD163,CD68,CSF1R,HAVCR2,MRC1

Product promise

We are committed to supporting your work with high-quality reagents, and we're here for you every step of the way. In the unlikely event that one of our products does not perform as expected, you're protected by our Product Promise.
For full details, please see our Terms & Conditions

Please note: All products are 'FOR RESEARCH USE ONLY. NOT FOR USE IN DIAGNOSTIC OR THERAPEUTIC PROCEDURES'.

For licensing inquiries, please contact partnerships@abcam.com