JavaScript is disabled in your browser. Please enable JavaScript to view this website.
AB278181

Macrophage Polarization Panel - Human WB

Be the first to review this product! Submit a review

|

(0 Publication)

Macrophage Polarization Panel - Human WB (ab278181) is part of the multiplex kits range. Abcam offers high-quality biological reagents and tools including antibodies, proteins, assays, cell lines and lysates.

View Alternative Names

NOS2A, NOS2, Hepatocyte NOS, Inducible NO synthase, NOS type II, Peptidyl-cysteine S-nitrosylase NOS2, HEP-NOS, Inducible NOS, iNOS

9 Images
Western blot - Macrophage Polarization Panel - Human WB (AB278181)
  • WB

Supplier Data

Western blot - Macrophage Polarization Panel - Human WB (AB278181)

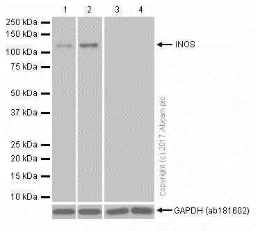
All lanes : Anti-iNOS antibody [EPR16635] (ab178945) at 1/500 dilution.

Lane 1 : HepG2 (Human hepatocellular carcinoma epithelial cell) whole cell lysates, 15 ug

Lane 2 : HepG2 (Human hepatocellular carcinoma epithelial cell) treated with 10ug/ml lipopolysaccharides for 6 hours whole cell lysates, 15 ug

Lane 3 : THP-1 (Human monocytic leukemia monocyte) whole cell lysates, 15 ug

Lane 4 : THP-1 (Human monocytic leukemia monocyte) treated with 100ng/ml lipopolysaccharides for 3 hours whole cell lysates, 15 ug

Secondary (all lanes) : ab97051 at 1/200000 dilution.

Predicted MW : 131 kDa.

Exposure : 3minute

All lanes:

Western blot - Anti-iNOS antibody [EPR16635] - BSA and Azide free (<a href='/en-us/products/primary-antibodies/inos-antibody-epr16635-bsa-and-azide-free-ab213987'>ab213987</a>) at 1/500 dilution

Lane 1:

HepG2 (Human hepatocellular carcinoma epithelial cell) whole cell lysates at 15 µg

Lane 2:

HepG2 (Human hepatocellular carcinoma epithelial cell) treated with 10ug/ml lipopolysaccharides for 6 hours whole cell lysates at 15 µg

Lane 3:

THP-1 (Human monocytic leukemia monocyte) whole cell lysates at 15 µg

Lane 4:

THP-1 (Human monocytic leukemia monocyte) treated with 100ng/ml lipopolysaccharides for 3 hours whole cell lysates at 15 µg

Secondary

All lanes:

Western blot - Goat Anti-Rabbit IgG H&L (HRP) (<a href='/en-us/products/secondary-antibodies/goat-rabbit-igg-h-l-hrp-ab97051'>ab97051</a>) at 1/200000 dilution

Predicted band size: 131 kDa

false

Exposure time: 3min

Western blot - Macrophage Polarization Panel - Human WB (AB278181)
  • WB

Supplier Data

Western blot - Macrophage Polarization Panel - Human WB (AB278181)

All lanes : Anti-CSF-1-R antibody [EPR20754] (ab229188) at 1/1000 dilution.

Lane 1 : Human placenta tissue lysate, 10 ug

Lane 2 :Human tonsil tissue lysate, 10 ug

Secondary (all lanes) : ab131366 at 1/1000 dilution.

Predicted MW : 108 kDa.

Observed MW :108 kDa.

Blocking/dilution buffer : 5% NFDM/TBST.

The blot was developed on a BIO-RAD® ChemiDoc™ MP instrument.

Exposure : 3minute

ECL

false

Western blot - Macrophage Polarization Panel - Human WB (AB278181)
  • WB

Supplier Data

Western blot - Macrophage Polarization Panel - Human WB (AB278181)

All lanes : Anti-CD163 antibody [EPR19518] (ab182422) at 1/1000 dilution.

Lane 1 : Human fetal liver lysate, 20 ug

Lane 2 : Human tonsil lysate, 20 ug

Lane 3 : Human fetal spleen lysate, 20 ug

Lane 4 : U937 (Human histiocytic lymphoma cell line) whole cell lysate, 20 ug

Lane 5 : THP-1 (Human monocytic leukemia cell line) whole cell lysate, 20 ug

Lane 6 : J774A.1 (Mouse macrophage reticulum cell sarcoma cell line) whole cell lysate, 20 ug

Secondary (all lanes) : ab97051 at 1/100000 dilution.

Predicted MW : 121 kDa.

Observed MW : 150 kDa.

Blocking/Dilution buffer : 5% NFDM/TBST.

Exposure time : Lane 1 : 1 minute; Lane 2-5 : 3 minutes.

U937 , THP-1 and J774A.1 cell lines were reported to be negative for CD163 expression.(PMID : 16368951, 10648003 & 10577520).

The molecular weight observed is consistent with what has been described in the literature (PMID : 9712057 & 16517975).

false

Western blot - Macrophage Polarization Panel - Human WB (AB278181)
  • WB

Supplier Data

Western blot - Macrophage Polarization Panel - Human WB (AB278181)

All lanes : Anti-CD11b antibody [EPR1344] (ab133357) at 1/10000 dilution.

Lane 1 : RAW264.7 cell lysate, 20 ug

Lane 2 : Mouse spleen tissue lysate, 20 ug

Secondary (all lanes) : HRP goat anti-rabbit (H+L) at 1/1000 dilution

Predicted MW : 127 kDa

Observed MW : 170kDa

Dilution buffer : 5% NFDM/TBSTBlocking buffer : 5% NFDM/TBST

false

Western blot - Macrophage Polarization Panel - Human WB (AB278181)
  • WB

Supplier Data

Western blot - Macrophage Polarization Panel - Human WB (AB278181)

All lanes : Anti-Liver Arginase antibody [EPR6672(B)] (ab133543) at 1/2000 dilution.

Lane 1 : Human liver lysates, 15 ug

Secondary (all lanes) : ab97051 at 1/20000 dilution.

Predicted MW : 35 kDa.

Blocking and diluting buffer : 5% NFDM/TBST.

Exposure : 5seconds

false

Western blot - Macrophage Polarization Panel - Human WB (AB278181)
  • WB

Supplier Data

Western blot - Macrophage Polarization Panel - Human WB (AB278181)

All lanes : Anti-TIM 3 antibody [EPR22241] (ab241332) at 1/1000 dilution.

Lane 1 : Daudi (human Burkitt's lymphoma cell line) whole cell lysate, 20 ug

Lane 2 : Daudi whole cell lysate (treated with PNGase F), 20 mg/ml

Lane 4 : RAW 264.7 (mouse macrophage cell line transformed with Abelson murine leukemia virus) whole cell lysate, 20 ug

Lane 5 : RAW 264.7 whole cell lysate (treated with PNGase F), 20 ug

Secondary (all lanes) : ab97051 at 1/20000 dilution.

Predicted MW : 33 kDa.

Observed MW : 40 kDa, 50-60kDa glycosylated form

Blocking and dilution buffer : 5% NFDM/TBST.

Lanes 3 & 4 were developed using a higher sensitivity ECL substrate.

Exposure : 70seconds

false

Western blot - Macrophage Polarization Panel - Human WB (AB278181)
  • WB

Supplier Data

Western blot - Macrophage Polarization Panel - Human WB (AB278181)

All lanes : Anti-Mannose Receptor antibody [EPR22489-7] (ab252921) at 1/1000 dilution.

Lane 1 : Human liver lysate, 20 ug

Lane 2 : Human lung lysate, 20 ug

Lane 3 : Human lymph node lysate, 20 ug

Lane 4 : Human placenta lysate, 20 ug

Secondary (all lanes) : ab131366 at 1/1000 dilution.

Predicted MW : 166 kDa.

Observed MW : 175 kDa.

Blocking/Dilution buffer : 5% NFDM/TBST.

Exposure times : Lane 1 : 3 mins. Lanes 2 & 3 : 26 secs. Lane 4 : 10 secs.

The molecular weight observed is consistent with what has been described in the literature (PMID : 26202986; 23752129).

false

Western blot - Macrophage Polarization Panel - Human WB (AB278181)
  • WB

Supplier Data

Western blot - Macrophage Polarization Panel - Human WB (AB278181)

All lanes : Anti-CD68 antibody [EPR20545] (ab213363) at 1/1000 dilution.

Lane 1 : Human fetal liver lysate, 20 ug

Lane 2 :Human tonsil lysate, 20 ug

Lane 3 :
Human fetal spleen lysate, 20 ug

Lane 4 :
THP-1 (human monocytic leukemia cell line) whole cell lysate, 10 ug
**
**Lane 5 :****U937 (human histiocytic lymphoma cell line) whole cell lysate, 10 ug

Secondary (all lanes) : ab97051 at 1/100000 dilution.

Predicted MW : 37 kDa.

Observed MW : 110 kDa.

Blocking/Dilution buffer : 5% NFDM/TBST.

Exposure time : Lane 1/2/4/5 : 30 seconds; Lane 3 : 3 minutes.

The observed molecular weight is consistent with the literature (PMID : 18405323; PMID : 11739566; PMID : 16710801).

false

Western blot - Macrophage Polarization Panel - Human WB (AB278181)
  • WB

Supplier Data

Western blot - Macrophage Polarization Panel - Human WB (AB278181)

All lanes : Anti-Mannose Receptor antibody [EPR22489-7] (ab252921) at 1/1000 dilution.

Lane 1 : Untreated THP-1 (human monocytic leukemia cell line) whole cell lysate, 20 ug

Lane 2 : THP-1 treated with 20 ng/ml PMA for 24 hours, then treated with 20ng/ml IL-4 for 48 hours, whole cell lysate, 20 ug

Secondary (all lanes) : ab97051 at 1/100000 dilution.

Predicted MW : 166 kDa.

Observed MW : 175 kDa.

Blocking/Dilution buffer : 5% NFDM/TBST.

The molecular weight of 175 kDa in lane 2 observed is consistent with what has been described in the literature (PMID : 26202986; 23752129). This antibody also reacts with an unidentifiable protein around 40 kDa.

Exposure : 3 minutes

false

Key facts

Reacts with

Human

Target

NOS2

target

Product details

Macrophage Polarization Panel - Human WB contains multiple trial-sized versions of anti-human antibody clones against iNOS, CD11b, Liver Arginase, CD163, CD68, CSF-1-R, TIM 3 and Mannose Receptor specifically selected for high performance in various applications. They are provided as a sampler panel to allow you to easily evaluate each antibody.

For guidelines on how to use each antibody within the panel, please consult the individual datasheet for each antibody.

Panel contains:

- Rabbit monoclonal [EPR16635] to iNOS (20 μL) ab178945

- Rabbit monoclonal [EPR1344] to CD11b (20 μL) ab133357

- Rabbit monoclonal [EPR6672(B)] to Liver Arginase (20 μL) ab133543

- Rabbit monoclonal [EPR19518] to CD163 (20 μL) ab182422

- Rabbit monoclonal [EPR20545] to CD68 (20 μL) ab213363

- Rabbit monoclonal [EPR20754] to CSF-1-R (20 μL) ab229188

- Rabbit monoclonal [EPR22241] to TIM 3 (20 μL) ab241332

- Rabbit monoclonal [EPR22489-7] to Mannose Receptor (20 μL) ab252921

Explore our range of antibody sample panels designed to provide you with a variety of trial-size antibodies in a convenient and cost-effective format.

Carrier-free formulations of our recombinant antibodies are also available for easy conjugation to labels of your choice and for multiplex applications. Use our intuitive search and select carrier-free or your label of choice. For bespoke conjugations or large volumes email bespoke@abcam.com.

What's included?

{ "values": { "1Kit": { "sellingSize": "1 Kit", "publicAssetCode":"ab278181-1Kit", "assetComponentDetails": [ { "size":"2 x 10 µL", "name":"Anti-CD11b antibody [EPR1344]", "number":"AB278181-CMP02", "productcode":"AB133357" }, { "size":"2 x 10 µL", "name":"Anti-TIM 3 antibody [EPR22241]", "number":"AB278181-CMP08", "productcode":"AB241332" }, { "size":"2 x 10 µL", "name":"Anti-CD163 antibody [EPR19518]", "number":"AB278181-CMP01", "productcode":"AB182422" }, { "size":"2 x 10 µL", "name":"Anti-iNOS antibody [EPR16635]", "number":"AB278181-CMP03", "productcode":"AB178945" }, { "size":"2 x 10 µL", "name":"Anti-Liver Arginase antibody [EPR6672(B)]", "number":"AB278181-CMP05", "productcode":"AB133543" }, { "size":"2 x 10 µL", "name":"Anti-CSF-1-R antibody [EPR20754]", "number":"AB278181-CMP07", "productcode":"AB229188" }, { "size":"2 x 10 µL", "name":"Anti-CD68 antibody [EPR20545]", "number":"AB278181-CMP06", "productcode":"AB213363" }, { "size":"2 x 10 µL", "name":"Anti-Mannose Receptor antibody [EPR22489-7]", "number":"AB278181-CMP04", "productcode":"AB252921" } ] } } }

Properties and storage information

Shipped at conditions
Blue Ice
Appropriate short-term storage conditions
-20°C
Appropriate long-term storage conditions
-20°C
Storage information
-20°C

Supplementary information

This supplementary information is collated from multiple sources and compiled automatically.

CD11b also known as integrin alpha M is a protein with a mass of about 170 kDa. It expresses predominantly on the surface of myeloid cells such as macrophages monocytes and neutrophils. This protein works mechanically as a receptor that binds to a variety of ligands facilitating cell adhesion and migration. CD68 another marker for macrophages is found in cytoplasmic granules and acts as a scavenger receptor involved in the clearance of cellular debris. Liver Arginase a urea cycle enzyme is mostly located in the liver where it hydrolyzes L-arginine to L-ornithine and urea. CD163 a scavenger receptor for hemoglobin-haptoglobin complexes expresses on monocytes and macrophages. The mannose receptor primarily found on macrophages and dendritic cells aids in endocytosis and phagocytosis. TIM-3 expressed on T cells and some innate immune cells acts as an immune checkpoint inhibitor. Inducible nitric oxide synthase (iNOS) is an enzyme mainly in macrophages that generates nitric oxide a critical mediator in immune response. CSF-1R a receptor tyrosine kinase is present on macrophages and their progenitors regulating their growth and differentiation.
Biological function summary

These proteins participate in numerous immune-related activities. CD11b and CD68 are important for macrophage polarization influencing the functional state of macrophages. Liver Arginase contributes to macrophage polarization by modulating arginine metabolism. CD163 along with the mannose receptor supports macrophage phenotypic shifts and scavenging activities and TIM-3 plays a role in immune tolerance and downregulation. iNOS participates in macrophage activation producing reactive nitrogen species essential for pathogen defense. CSF-1R aids in macrophage differentiation and proliferation. Together these molecules form a complex interplay that influences macrophage behavior in various tissues highlighted by their involvement in macrophage immunohistochemistry and related assays.

Pathways

These proteins function within immune signaling and metabolic pathways critical to macrophage function. The CD11b integrin is involved in the leukocyte adhesion and migration pathway interacting with other integrins and selectins. Liver Arginase participates in the urea cycle affecting downstream arginine availability which in turn influences iNOS activity and nitric oxide production. CD163 links with cytokine release pathways acting in concert with anti-inflammatory mediators. TIM-3 interacts with the negative regulation pathways of T-cell activation and is relevant in T-cell exhaustion processes. These proteins connect through macrophage polarization markers staining differentiation kits and macrophage IHC in numerous biological contexts.

These proteins associate with inflammatory and immune-related diseases. CD11b and CD68 are markers in atherosclerosis where macrophage dysfunction plays a role in plaque formation and stability. Liver Arginase and iNOS link with conditions like liver disease where imbalances in nitric oxide and arginine metabolism can exacerbate damage. CD163 is associated with chronic inflammatory disorders such as rheumatoid arthritis playing a part in hemoglobin clearance and anti-inflammatory pathways. CSF-1R mutations and dysregulation are associated with cancer progression as the modulation of macrophage differentiation affects tumor microenvironments. Additionally TIM-3's role in immune checkpoints is being explored in therapies targeting cancer and autoimmune diseases.

Product protocols

Target data

Produces nitric oxide (NO) which is a messenger molecule with diverse functions throughout the body (PubMed : 7504305, PubMed : 7531687, PubMed : 7544004, PubMed : 7682706). In macrophages, NO mediates tumoricidal and bactericidal actions. Also has nitrosylase activity and mediates cysteine S-nitrosylation of cytoplasmic target proteins such PTGS2/COX2 (By similarity). As component of the iNOS-S100A8/9 transnitrosylase complex involved in the selective inflammatory stimulus-dependent S-nitrosylation of GAPDH on 'Cys-247' implicated in regulation of the GAIT complex activity and probably multiple targets including ANXA5, EZR, MSN and VIM (PubMed : 25417112). Involved in inflammation, enhances the synthesis of pro-inflammatory mediators such as IL6 and IL8 (PubMed : 19688109).
See full target information NOS2

Additional targets

ITGAM,ARG1,CD163,CD68,CSF1R,HAVCR2,MRC1

Product promise

We are committed to supporting your work with high-quality reagents, and we're here for you every step of the way. In the unlikely event that one of our products does not perform as expected, you're protected by our Product Promise.
For full details, please see our Terms & Conditions

Please note: All products are 'FOR RESEARCH USE ONLY. NOT FOR USE IN DIAGNOSTIC OR THERAPEUTIC PROCEDURES'.

For licensing inquiries, please contact partnerships@abcam.com