JavaScript is disabled in your browser. Please enable JavaScript to view this website.
AB278179

Metabolic Suppression of Immune Cells Panel - Human IHC

Be the first to review this product! Submit a review

|

(0 Publication)

Metabolic Suppression of Immune Cells Panel - Human IHC (ab278179) is part of the multiplex kits range. Abcam offers high-quality biological reagents and tools including antibodies, proteins, assays, cell lines and lysates.

View Alternative Names

Arginase-1, Liver-type arginase, Type I arginase, ARG1

17 Images
Immunohistochemistry (Formalin/PFA-fixed paraffin-embedded sections) - Metabolic Suppression of Immune Cells Panel - Human IHC (AB278179)
  • IHC-P

Supplier Data

Immunohistochemistry (Formalin/PFA-fixed paraffin-embedded sections) - Metabolic Suppression of Immune Cells Panel - Human IHC (AB278179)

Immunohistochemistry (Formalin/PFA-fixed paraffin-embedded sections) analysis of human liver tissue sections labeling CD73 with Purified ab133582 at 1 : 2000 dilution (1.12 μg/ml).

Heat mediated antigen retrieval was performed using ab93684 (Tris/EDTA buffer, pH 9.0).

ImmunoHistoProbe one step HRP Polymer (ready to use) was used.

Negative control : PBS instead of the primary antibody.

Hematoxylin was used as a counterstain.

Immunohistochemistry (Formalin/PFA-fixed paraffin-embedded sections) - Metabolic Suppression of Immune Cells Panel - Human IHC (AB278179)
  • IHC-P

Supplier Data

Immunohistochemistry (Formalin/PFA-fixed paraffin-embedded sections) - Metabolic Suppression of Immune Cells Panel - Human IHC (AB278179)

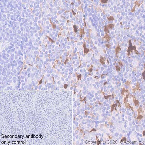
Immunohistochemical analysis of paraffin-embedded human cerebrum tissue labeling Adenosine receptor A2a with ab260032 at 1/100 dilution followed by a ready to use Rabbit specific IHC polymer detection kit HRP/DAB (ab209101). Positive staining on human cerebrum (PMID : 21858817, PMID : 29022877). The section was incubated with ab260032 for 30 mins at room temperature. The immunostaining was performed on a Leica Biosystems BOND® RX instrument. Counterstained with Hematoxylin.

Secondary antibody only control : Secondary antibody is a ready to use Rabbit specific IHC polymer detection kit HRP/DAB (ab209101).

Heat mediated antigen retrieval with Tris-EDTA buffer (pH 9.0, epitope retrieval solution2) for 20 mins.

Immunohistochemistry (Formalin/PFA-fixed paraffin-embedded sections) - Metabolic Suppression of Immune Cells Panel - Human IHC (AB278179)
  • IHC-P

Supplier Data

Immunohistochemistry (Formalin/PFA-fixed paraffin-embedded sections) - Metabolic Suppression of Immune Cells Panel - Human IHC (AB278179)

Immunohistochemistry (Formalin/PFA-fixed paraffin-embedded sections) analysis of human spleen tissue sections labeling CD73 with Purified ab133582 at 1 : 2000 dilution (1.12 μg/ml).

Heat mediated antigen retrieval was performed using ab93684 (Tris/EDTA buffer, pH 9.0).

ImmunoHistoProbe one step HRP Polymer (ready to use) was used.

Negative control : PBS instead of the primary antibody.

Hematoxylin was used as a counterstain.

Immunohistochemistry (Formalin/PFA-fixed paraffin-embedded sections) - Metabolic Suppression of Immune Cells Panel - Human IHC (AB278179)
  • IHC-P

Supplier Data

Immunohistochemistry (Formalin/PFA-fixed paraffin-embedded sections) - Metabolic Suppression of Immune Cells Panel - Human IHC (AB278179)

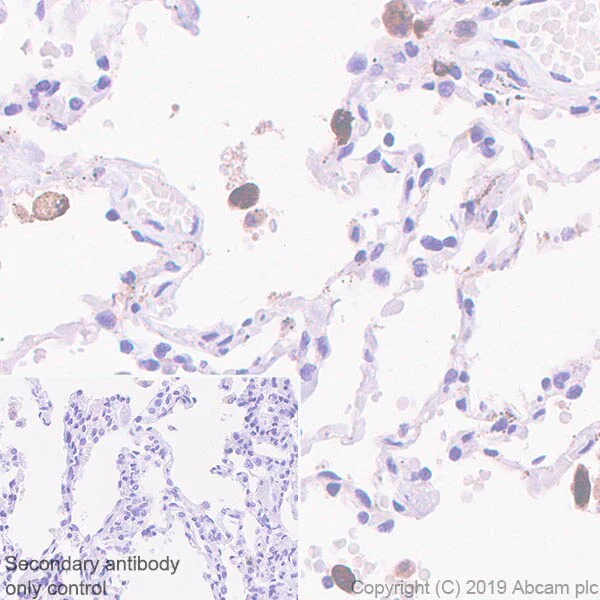
Formalin-fixed, paraffin-embedded human lung stained for iNOS using ab115819 at a dilution of 1/100 in immunohistochemical analysis.

Immunohistochemistry (Formalin/PFA-fixed paraffin-embedded sections) - Metabolic Suppression of Immune Cells Panel - Human IHC (AB278179)
  • IHC-P

Supplier Data

Immunohistochemistry (Formalin/PFA-fixed paraffin-embedded sections) - Metabolic Suppression of Immune Cells Panel - Human IHC (AB278179)

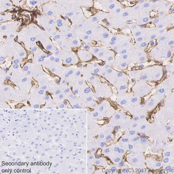
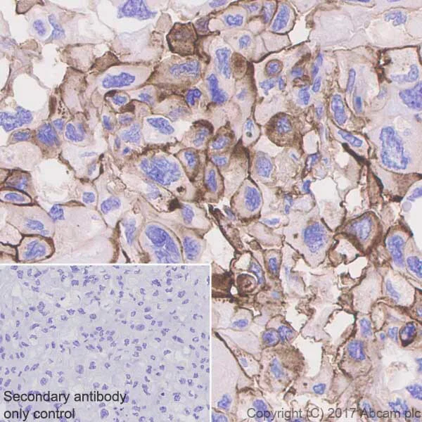
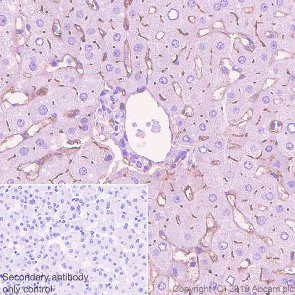
Immunohistochemical analysis of paraffin-embedded human liver tissue labeling CD39 with ab223842 at 1/1000 dilution, followed by Goat Anti-Rabbit IgG H&L (HRP) Ready to use. Membranous staining on endothelial cells of human liver (PMID : 18567823; PMID : 19308674). Counter stained with Hematoxylin.

Secondary antibody only control : Used PBS instead of primary antibody, secondary antibody is Goat Anti-Rabbit IgG H&L (HRP) Ready to use.

Perform heat mediated antigen retrieval with Tris/EDTA buffer pH 9.0 before commencing with IHC staining protocol.

Immunohistochemistry (Formalin/PFA-fixed paraffin-embedded sections) - Metabolic Suppression of Immune Cells Panel - Human IHC (AB278179)
  • IHC-P

Supplier Data

Immunohistochemistry (Formalin/PFA-fixed paraffin-embedded sections) - Metabolic Suppression of Immune Cells Panel - Human IHC (AB278179)

Immunohistochemical analysis of paraffin-embedded human spleen tissue labeling CD39 with ab223842 at 1/1000 dilution, followed by Goat Anti-Rabbit IgG H&L (HRP) Ready to use. Membranous and cytoplasmic staining on human spleen (PMID : 22684996; PMID : 27532024). Counter stained with Hematoxylin.

Secondary antibody only control : Used PBS instead of primary antibody, secondary antibody is Goat Anti-Rabbit IgG H&L (HRP) Ready to use.

Perform heat mediated antigen retrieval with Tris/EDTA buffer pH 9.0 before commencing with IHC staining protocol.

Immunohistochemistry (Formalin/PFA-fixed paraffin-embedded sections) - Metabolic Suppression of Immune Cells Panel - Human IHC (AB278179)
  • IHC-P

Supplier Data

Immunohistochemistry (Formalin/PFA-fixed paraffin-embedded sections) - Metabolic Suppression of Immune Cells Panel - Human IHC (AB278179)

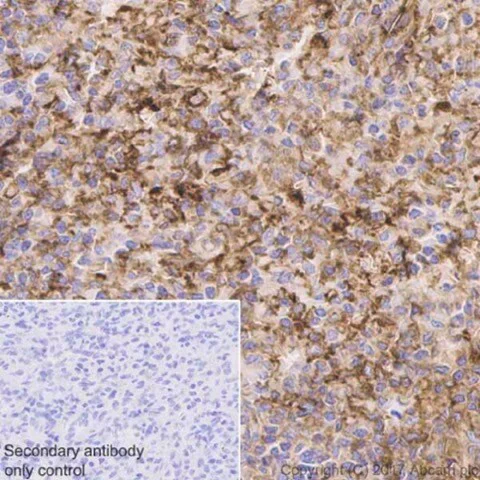
Immunohistochemical analysis of paraffin-embedded human endometrium cancer tissue labeling Indoleamine 2, 3-dioxygenase with ab211017 at 1/2000 dilution, followed by Goat Anti-Rabbit IgG H&L (HRP) Ready to use.

Cytoplasmic and nuclear staining on human endometrium cancer is observed (PMID : 26155395).

Counter stained with Hematoxylin.

Secondary antibody only control : Used PBS instead of primary antibody, secondary antibody is Goat Anti-Rabbit IgG H&L (HRP) Ready to use.

Perform heat mediated antigen retrieval with Tris/EDTA buffer pH 9.0 before commencing with IHC staining protocol.

Immunohistochemistry (Formalin/PFA-fixed paraffin-embedded sections) - Metabolic Suppression of Immune Cells Panel - Human IHC (AB278179)
  • IHC-P

Supplier Data

Immunohistochemistry (Formalin/PFA-fixed paraffin-embedded sections) - Metabolic Suppression of Immune Cells Panel - Human IHC (AB278179)

Immunohistochemical analysis of paraffin-embedded human tonsil tissue labelling CD73 with ab133582 at 1/100 dilution.

Perform heat mediated antigen retrieval with citrate buffer pH 6 before commencing with IHC staining protocol.

Immunohistochemistry (Formalin/PFA-fixed paraffin-embedded sections) - Metabolic Suppression of Immune Cells Panel - Human IHC (AB278179)
  • IHC-P

Supplier Data

Immunohistochemistry (Formalin/PFA-fixed paraffin-embedded sections) - Metabolic Suppression of Immune Cells Panel - Human IHC (AB278179)

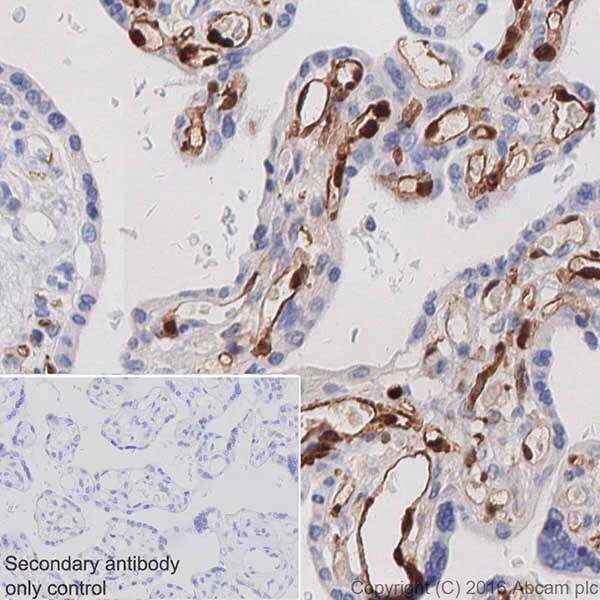
Immunohistochemical analysis of paraffin-embedded human placenta tissue labeling Indoleamine 2, 3-dioxygenase with ab211017 at 1/2000 dilution, followed by Goat Anti-Rabbit IgG H&L (HRP) Ready to use.

Cytoplasmic and nuclear staining on endothelial cells of human placenta is observed (PMID : 21328335, PMID : 25271151).

Counter stained with Hematoxylin.

Secondary antibody only control : Used PBS instead of primary antibody, secondary antibody is Goat Anti-Rabbit IgG H&L (HRP) Ready to use.

Perform heat mediated antigen retrieval with Tris/EDTA buffer pH 9.0 before commencing with IHC staining protocol.

Immunohistochemistry (Formalin/PFA-fixed paraffin-embedded sections) - Metabolic Suppression of Immune Cells Panel - Human IHC (AB278179)
  • IHC-P

Supplier Data

Immunohistochemistry (Formalin/PFA-fixed paraffin-embedded sections) - Metabolic Suppression of Immune Cells Panel - Human IHC (AB278179)

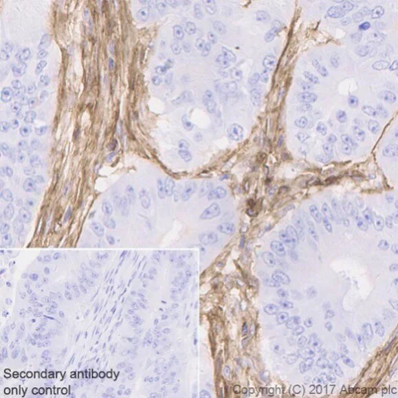
Immunohistochemical analysis of paraffin-embedded human colon carcinoma tissue labeling CD39 with ab223842 at 1/1000 dilution, followed by Goat Anti-Rabbit IgG H&L (HRP) Ready to use. Positive staining on stromal cells of human colon carcinoma (PMID : 25403716). Counter stained with Hematoxylin.

Secondary antibody only control : Used PBS instead of primary antibody, secondary antibody is Goat Anti-Rabbit IgG H&L (HRP) Ready to use.

Perform heat mediated antigen retrieval with Tris/EDTA buffer pH 9.0 before commencing with IHC staining protocol.

Immunohistochemistry (Formalin/PFA-fixed paraffin-embedded sections) - Metabolic Suppression of Immune Cells Panel - Human IHC (AB278179)
  • IHC-P

Supplier Data

Immunohistochemistry (Formalin/PFA-fixed paraffin-embedded sections) - Metabolic Suppression of Immune Cells Panel - Human IHC (AB278179)

Immunohistochemistry (Formalin/PFA-fixed paraffin-embedded sections) analysis of human lung tissue sections labeling iNOS with Purified ab115819 at 1/100 dilution (0.65 μg/ml).

Heat mediated antigen retrieval was performed Heat mediated antigen retrieval using sodium citrate buffer, pH 6.0. Goat Anti-Rabbit IgG H&L (HRP) was used as the secondary antibody.

Negative control : PBS instead of the primary antibody. Hematoxylin was used as a counterstain.

Immunohistochemistry (Formalin/PFA-fixed paraffin-embedded sections) - Metabolic Suppression of Immune Cells Panel - Human IHC (AB278179)
  • IHC-P

Supplier Data

Immunohistochemistry (Formalin/PFA-fixed paraffin-embedded sections) - Metabolic Suppression of Immune Cells Panel - Human IHC (AB278179)

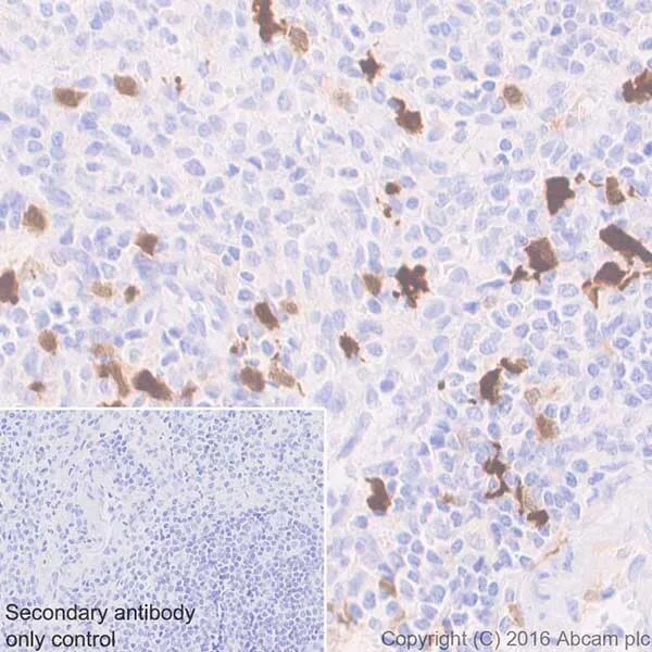
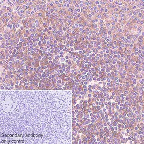
Immunohistochemical analysis of paraffin-embedded human spleen tissue labeling Indoleamine 2, 3-dioxygenase with ab211017 at 1/2000 dilution, followed by Goat Anti-Rabbit IgG H&L (HRP) Ready to use.

Cytoplasmic and nuclear staining on dendritic cells of human spleen is observed (PMID : 21328335, PMID : 25271151).

Counter stained with Hematoxylin.

Secondary antibody only control : Used PBS instead of primary antibody, secondary antibody is Goat Anti-Rabbit IgG H&L (HRP) Ready to use.

Perform heat mediated antigen retrieval with Tris/EDTA buffer pH 9.0 before commencing with IHC staining protocol.

Immunohistochemistry (Formalin/PFA-fixed paraffin-embedded sections) - Metabolic Suppression of Immune Cells Panel - Human IHC (AB278179)
  • IHC-P

Supplier Data

Immunohistochemistry (Formalin/PFA-fixed paraffin-embedded sections) - Metabolic Suppression of Immune Cells Panel - Human IHC (AB278179)

Immunohistochemistry (Formalin/PFA-fixed paraffin-embedded sections) analysis of human lung carcinoma tissue sections labeling CD73 with Purified ab133582 at 1 : 2000 dilution (1.12 μg/ml).

Heat mediated antigen retrieval was performed using ab93684 (Tris/EDTA buffer, pH 9.0).

ImmunoHistoProbe one step HRP Polymer (ready to use)was used.

Negative control : PBS instead of the primary antibody.

Hematoxylin was used as a counterstain.

Immunohistochemistry (Formalin/PFA-fixed paraffin-embedded sections) - Metabolic Suppression of Immune Cells Panel - Human IHC (AB278179)
  • IHC-P

Supplier Data

Immunohistochemistry (Formalin/PFA-fixed paraffin-embedded sections) - Metabolic Suppression of Immune Cells Panel - Human IHC (AB278179)

Formalin-fixed, paraffin-embedded human lung stained for iNOS using ab115819 at a dilution of 1/100 in immunohistochemical analysis.

Immunohistochemistry (Formalin/PFA-fixed paraffin-embedded sections) - Metabolic Suppression of Immune Cells Panel - Human IHC (AB278179)
  • IHC-P

Supplier Data

Immunohistochemistry (Formalin/PFA-fixed paraffin-embedded sections) - Metabolic Suppression of Immune Cells Panel - Human IHC (AB278179)

Immunohistochemical analysis of paraffin-embedded human tonsil tissue labeling Indoleamine 2, 3-dioxygenase with ab211017 at 1/2000 dilution, followed by Goat Anti-Rabbit IgG H&L (HRP) Ready to use.

Cytoplasmic and nuclear staining on dendritic cells of human tonsil is observed (PMID : 21328335, PMID : 25271151).

Counter stained with Hematoxylin.

Secondary antibody only control : Used PBS instead of primary antibody, secondary antibody is Goat Anti-Rabbit IgG H&L (HRP) Ready to use.

Perform heat mediated antigen retrieval with Tris/EDTA buffer pH 9.0 before commencing with IHC staining protocol.

Immunohistochemistry (Formalin/PFA-fixed paraffin-embedded sections) - Metabolic Suppression of Immune Cells Panel - Human IHC (AB278179)
  • IHC-P

Supplier Data

Immunohistochemistry (Formalin/PFA-fixed paraffin-embedded sections) - Metabolic Suppression of Immune Cells Panel - Human IHC (AB278179)

Immunohistochemistry (Formalin/PFA-fixed paraffin-embedded sections) analysis of human lung carcinoma tissue sections labeling iNOS with Purified ab115819 at 1/100 dilution (0.65 μg/ml).

Heat mediated antigen retrieval was performed Heat mediated antigen retrieval using sodium citrate buffer, pH 6.0. Goat Anti-Rabbit IgG H&L (HRP) was used as the secondary antibody.

Negative control : PBS instead of the primary antibody. Hematoxylin was used as a counterstain.

Immunohistochemistry (Formalin/PFA-fixed paraffin-embedded sections) - Metabolic Suppression of Immune Cells Panel - Human IHC (AB278179)
  • IHC-P

Supplier Data

Immunohistochemistry (Formalin/PFA-fixed paraffin-embedded sections) - Metabolic Suppression of Immune Cells Panel - Human IHC (AB278179)

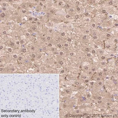
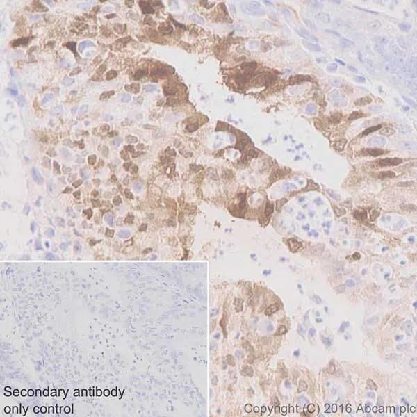
ab133543 staining liver arginase in paraffin embedded human hepatocellular cancer tissue sections by Immunohistochemistry.

Heat mediated antigen retrieval was performed using ab93684 (Tris/EDTA buffer, pH 9.0).

Samples were incubated with primary antibody at 1 : 2000 dilution (0.13 μg/ml).

A ready to use Goat anti-rabbit IgG H&L (HRP) was used as the secondary antibody.

Hematoxylin was used as a counterstain.

Cytoplasmic and nuclear staining on human hepatocellular cancer.

Key facts

Reacts with

Human

Target

ARG1

target

Product details

Metabolic Suppression of Immune Cells Panel - Human IHC ab278179 contains multiple trial-sized versions of anti-human antibody clones against iNOS, Liver Arginase, CD73, Indoleamine 2, 3-dioxygenase, CD39 and Adenosine Receptor A2a specifically selected for high performance in various applications. They are provided as a sampler panel to allow you to easily evaluate each antibody.

For guidelines on how to use each antibody within the panel, please consult the individual datasheet for each antibody.

Panel contains:

- Rabbit monoclonal [SP126] to iNOS (20 μL) ab115819

- Rabbit monoclonal [EPR6672(B)] to Liver Arginase (20 μL) ab133543

- Rabbit monoclonal [EPR6114] to CD73 (20 μL) ab133582

- Rabbit monoclonal [EPR20374] to Indoleamine 2, 3-dioxygenase (20 μL) ab211017

- Rabbit monoclonal [EPR20627] to CD39 (20 μL) ab223842

- Rabbit monoclonal [EPR23731-50] to Adenosine Receptor A2a (20 μL) ab260032

Explore our range of antibody sample panels designed to provide you with a variety of trial-size antibodies in a convenient and cost-effective format.

Carrier-free formulations of our recombinant antibodies are also available for easy conjugation to labels of your choice and for multiplex applications. Use our intuitive search and select carrier-free or your label of choice. For bespoke conjugations or large volumes email bespoke@abcam.com.

What's included?

{ "values": { "1Kit": { "sellingSize": "1 Kit", "publicAssetCode":"ab278179-1Kit", "assetComponentDetails": [ { "size":"2 x 10 µL", "name":"Anti-CD39 antibody [EPR20627]", "number":"AB278179-CMP06", "productcode":"AB223842" }, { "size":"2 x 10 µL", "name":"Anti-Indoleamine 2, 3-dioxygenase antibody [EPR20374]", "number":"AB278179-CMP04", "productcode":"AB211017" }, { "size":"2 x 10 µL", "name":"Anti-CD73 antibody [EPR6114]", "number":"AB278179-CMP02", "productcode":"AB133582" }, { "size":"2 x 10 µL", "name":"Anti-Adenosine Receptor A2a antibody [EPR23731-50]", "number":"AB278179-CMP05", "productcode":"AB260032" }, { "size":"2 x 10 µL", "name":"Anti-iNOS antibody [SP126]", "number":"AB278179-CMP01", "productcode":"AB115819" }, { "size":"2 x 10 µL", "name":"Anti-Liver Arginase antibody [EPR6672(B)]", "number":"AB278179-CMP03", "productcode":"AB133543" } ] } } }

Properties and storage information

Shipped at conditions
Blue Ice
Appropriate short-term storage conditions
-20°C
Appropriate long-term storage conditions
-20°C
Storage information
-20°C

Product protocols

Target data

Key element of the urea cycle converting L-arginine to urea and L-ornithine, which is further metabolized into metabolites proline and polyamides that drive collagen synthesis and bioenergetic pathways critical for cell proliferation, respectively; the urea cycle takes place primarily in the liver and, to a lesser extent, in the kidneys.. Functions in L-arginine homeostasis in nonhepatic tissues characterized by the competition between nitric oxide synthase (NOS) and arginase for the available intracellular substrate arginine. Arginine metabolism is a critical regulator of innate and adaptive immune responses. Involved in an antimicrobial effector pathway in polymorphonuclear granulocytes (PMN). Upon PMN cell death is liberated from the phagolysosome and depletes arginine in the microenvironment leading to suppressed T cell and natural killer (NK) cell proliferation and cytokine secretion (PubMed : 15546957, PubMed : 16709924, PubMed : 19380772). In group 2 innate lymphoid cells (ILC2s) promotes acute type 2 inflammation in the lung and is involved in optimal ILC2 proliferation but not survival (By similarity). In humans, the immunological role in the monocytic/macrophage/dendritic cell (DC) lineage is unsure.
See full target information ARG1

Additional targets

NOS2,NT5E,IDO1,ENTPD1,ADORA2A

Product promise

We are committed to supporting your work with high-quality reagents, and we're here for you every step of the way. In the unlikely event that one of our products does not perform as expected, you're protected by our Product Promise.
For full details, please see our Terms & Conditions

Please note: All products are 'FOR RESEARCH USE ONLY. NOT FOR USE IN DIAGNOSTIC OR THERAPEUTIC PROCEDURES'.

For licensing inquiries, please contact partnerships@abcam.com