JavaScript is disabled in your browser. Please enable JavaScript to view this website.
AB226482

Microglia Marker (CD11b, CD45, Iba1, TMEM119) Antibody Sampler Panel

Be the first to review this product! Submit a review

|

(4 Publications)

Microglia Marker (CD11b, CD45, Iba1, TMEM119) Antibody Sampler Panel (ab226482) is part of the multiplex kits range. Abcam offers high-quality biological reagents and tools including antibodies, proteins, assays, cell lines and lysates.

View Alternative Names

CD11b, CD11B, CR3A, ITGAM, Integrin alpha-M, CD11 antigen-like family member B, CR-3 alpha chain, Cell surface glycoprotein MAC-1 subunit alpha, Leukocyte adhesion receptor MO1, Neutrophil adherence receptor, CD45, PTPRC, Receptor-type tyrosine-protein phosphatase C, Leukocyte common antigen, T200, L-CA, G1, IBA1, AIF1, Allograft inflammatory factor 1, AIF-1, Ionized calcium-binding adapter molecule 1, Protein G1, iba1, iba-1, iba 1, Transmembrane protein 119, Osteoblast induction factor, OBIF, Tmem119

4 Images
Immunohistochemistry (Formalin/PFA-fixed paraffin-embedded sections) - Microglia Marker (CD11b, CD45, Iba1, TMEM119) Antibody Sampler Panel (AB226482)
  • IHC-P

Unknown

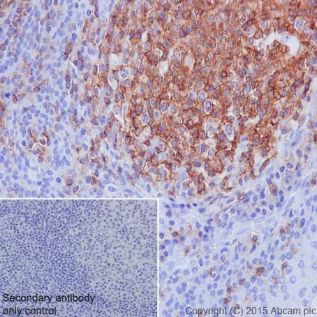
Immunohistochemistry (Formalin/PFA-fixed paraffin-embedded sections) - Microglia Marker (CD11b, CD45, Iba1, TMEM119) Antibody Sampler Panel (AB226482)

Immunohistochemical staining of paraffin embedded human tonsil with purified ab40763 at a working dilution of 1/250. The secondary antibody used is HRP goat anti-rabbit IgG H&L (ab97051) at 1/500. The sample is counter-stained with hematoxylin. Antigen retrieval was perfomed using Tris-EDTA buffer, pH 9.0. PBS was used instead of the primary antibody as the negative control, and is shown in the inset.

Immunohistochemistry (Formalin/PFA-fixed paraffin-embedded sections) - Microglia Marker (CD11b, CD45, Iba1, TMEM119) Antibody Sampler Panel (AB226482)
  • IHC-P

AbReview53642****

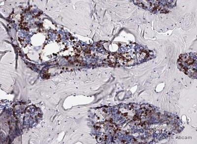
Immunohistochemistry (Formalin/PFA-fixed paraffin-embedded sections) - Microglia Marker (CD11b, CD45, Iba1, TMEM119) Antibody Sampler Panel (AB226482)

Formaldehyde-fixed, paraffin-embedded rat bone marrow tissue stained for CD11b using ab133357 at 1/5000 in immunohistochemical analysis.

Heat mediated antigen retrieval with EDTA buffer pH 9 was performed before commencing with staining protocol. 1% casein was used as blocking agent.

Immunohistochemistry (Formalin/PFA-fixed paraffin-embedded sections) - Microglia Marker (CD11b, CD45, Iba1, TMEM119) Antibody Sampler Panel (AB226482)
  • IHC-P

Lab

Immunohistochemistry (Formalin/PFA-fixed paraffin-embedded sections) - Microglia Marker (CD11b, CD45, Iba1, TMEM119) Antibody Sampler Panel (AB226482)

IHC image of Iba1 staining in mouse normal brain formalin fixed paraffin embedded tissue section, performed on a Leica Bond™ system using the standard protocol B. The section was pre-treated using heat mediated antigen retrieval with sodium citrate buffer (pH6, epitope retrieval solution 1) for 20 mins. The section was then incubated with ab178846, 1/2000 dilution, for 15 mins at room temperature. A goat anti-rabbit biotinylated secondary antibody was used to detect the primary, and visualized using an HRP conjugated ABC system. DAB was used as the chromogen. The section was then counterstained with haematoxylin and mounted with DPX.

For other IHC staining systems (automated and non-automated) customers should optimize variable parameters such as antigen retrieval conditions, primary antibody concentration and antibody incubation times.

Immunohistochemistry (Frozen sections) - Microglia Marker (CD11b, CD45, Iba1, TMEM119) Antibody Sampler Panel (AB226482)
  • IHC-Fr

Lab

Immunohistochemistry (Frozen sections) - Microglia Marker (CD11b, CD45, Iba1, TMEM119) Antibody Sampler Panel (AB226482)

IHC image of TMEM119 staining in a section of frozen normal mouse brain. No antigen retrieval step was performed prior to staining. Non-specific protein-protein interactions were then blocked in PBS containing 0.5% (v/v) Triton X-100, 0.3 M (w/v) glycine and 1% (w/v) BSA for 1 h at room temperature. The section was then incubated overnight at +4°C in PBS containing 0.5% (v/v) Triton X-100 and 1% (w/v) BSA with ab209064 at 0.5 μg/ml. The secondary antibody was ab150087 (shown in red) used at 2 μg/ml for 1 hour at room temperature. Nuclear DNA was labelled with DAPI (shown in blue). The section was then mounted using Fluoromount®. The image was taken with a confocal microscope (Leica-Microsystems, TCS SP8).

For other IHC staining systems (automated and non-automated), customers should optimize variable parameters such as antigen retrieval conditions, antibody concentrations and incubation times.

Key facts

Target

ITGAM

target

Product details

Microglia Marker (CD11b, CD45, Iba1, TMEM119) Antibody Sampler Panel (ab226482) contains antibodies against the key microglia markers, CD11b, CD45, Iba1, and TMEM119.

Microglia are the macrophages of the brain and spinal cord and act as an immune defense in the central nervous system (CNS).

The rabbit monoclonal antibodies in this panel were selected for their exceptional performance in IHC, alongside other applications. Please see the individual datasheets for additional information.

Please note that Anti-TMEM119 antibody [28-3] is for mouse reactivity only.

Explore our range of antibody sample panels designed to provide you with a variety of trial-size antibodies in a convenient and cost-effective format.

Carrier-free formulations of our recombinant antibodies are also available for easy conjugation to labels of your choice and for multiplex applications. Use our intuitive search and select carrier-free or your label of choice. For bespoke conjugations or large volumes email bespoke@abcam.com.

What's included?

{ "values": { "1Pack": { "sellingSize": "1 Pack", "publicAssetCode":"ab226482-1Pack", "assetComponentDetails": [ { "size":"1 x 10 µL", "name":"Anti-TMEM119 antibody [28-3]", "number":"AB226482-CMP05", "productcode":"AB209064" }, { "size":"1 x 10 µL", "name":"Anti-CD11b antibody [EPR1344]", "number":"AB226482-CMP04", "productcode":"AB133357" }, { "size":"1 x 10 µL", "name":"Anti-CD45 antibody [EP322Y]", "number":"AB226482-CMP02", "productcode":"AB40763" }, { "size":"1 x 10 µL", "name":"Anti-Iba1 antibody [EPR16588]", "number":"AB226482-CMP03", "productcode":"AB178846" }, { "size":"1 x 100 µg", "name":"Goat Anti-Rabbit IgG H+L (HRP)", "number":"AB226482-CMP01", "productcode":"AB205718" } ] } } }

Properties and storage information

Shipped at conditions
Blue Ice
Appropriate short-term storage conditions
-20°C
Appropriate long-term storage conditions
-20°C
Storage information
Please refer to protocols

Supplementary information

This supplementary information is collated from multiple sources and compiled automatically.

CD11b CD45 Iba1 and TMEM119 are markers commonly associated with microglia the resident immune cells of the central nervous system (CNS). CD11b is part of a larger integrin complex also known as integrin alpha M and has a mass of approximately 165 kDa. It is predominantly expressed on the surface of myeloid cells encompassing not just microglia but also macrophages and neutrophils. CD45 a tyrosine phosphatase exists in multiple isoforms with expression found broadly across hematopoietic cells including microglia. Iba1 or allograft inflammatory factor 1 is a smaller cytoplasmic protein of about 147 amino acids vital for microglial activation and is commonly used in Iba1 staining for identifying these cells in immunohistochemistry (IHC). TMEM119 serves as a specific marker for microglia in the CNS distinguishing them from other macrophage populations.
Biological function summary

These markers play significant roles in the immune functions of microglia. CD11b facilitates cell adhesion and migration through its role in the leukocyte adhesion cascade an essential part of immune response. CD45 participates in regulating signal transduction being critical in T and B cell receptor signaling. Iba1 is involved in the microglia's response to injuries contributing to phagocytosis and membrane ruffling. TMEM119 helps identify microglia in mature CNS offering insights into microglial physiology and pathology without interfering in signaling pathways since it is a surface marker with an unknown specific role.

Pathways

CD11b and CD45 interact within the immune system's integrin and leukocyte activation pathways. CD11b pairs with CD18 to form the Mac-1 receptor integral to the leukocyte adhesion and migration process. CD45 modulates T cell and B cell receptor signaling pathways through dephosphorylation of specific Src family kinases. These pathways contribute to the modulation of immune functions particularly in inflammatory responses in the CNS. Iba1 correlates functionally less with specific pathways but indicates active microglial participation in neuroinflammatory responses.

These markers are critical in studying neurodegenerative diseases such as Alzheimer’s disease and multiple sclerosis which involve significant microglial activation. Iba1 and TMEM119 being microglia-specific aid in understanding the contribution of these immune cells to neurodegeneration. CD11b's expression increases during Alzheimer’s disease associating it with amyloid plaque clearance. Meanwhile CD45 also links to Alzheimer’s as it modulates microglial activation and influences amyloid-beta clearance. These proteins collectively provide critical information for research targeting microglial function and modulation in CNS diseases.

Product protocols

Target data

Integrin ITGAM/ITGB2 is implicated in various adhesive interactions of monocytes, macrophages and granulocytes as well as in mediating the uptake of complement-coated particles and pathogens (PubMed : 20008295, PubMed : 9558116). It is identical with CR-3, the receptor for the iC3b fragment of the third complement component. It probably recognizes the R-G-D peptide in C3b. Integrin ITGAM/ITGB2 is also a receptor for fibrinogen and factor X. It recognizes P1 and P2 peptides of fibrinogen gamma chain. Regulates neutrophil migration (PubMed : 28807980). In association with beta subunit ITGB2/CD18, required for CD177-PRTN3-mediated activation of TNF primed neutrophils (PubMed : 21193407). Integrin ITGAM/ITGB2 is also a receptor for ICAM1 ligand ensuring adhesion between stimulated neutrophils and stimulated endothelial cells (PubMed : 1980124). May regulate phagocytosis-induced apoptosis in extravasated neutrophils (By similarity). May play a role in mast cell development (By similarity). Required with TYROBP/DAP12 in microglia to control production of microglial superoxide ions which promote the neuronal apoptosis that occurs during brain development (By similarity).
See full target information ITGAM

Additional targets

Tmem119,PTPRC,AIF1

Publications (4)

Recent publications for all applications. Explore the full list and refine your search

Frontiers in cellular neuroscience 18:1344853 PubMed38515790

2024

Cell-free fat extract promotes axon regeneration and retinal ganglion cells survival in traumatic optic neuropathy.

Applications

Unspecified application

Species

Unspecified reactive species

Yiyu Sun,Di Chen,Tao Dai,Ziyou Yu,Hui Xie,Xiangsheng Wang,Wenjie Zhang

Scientific reports 12:2019 PubMed35132117

2022

Retroviral infection of human neurospheres and use of stem Cell EVs to repair cellular damage.

Applications

Unspecified application

Species

Unspecified reactive species

Heather Branscome,Pooja Khatkar,Sarah Al Sharif,Dezhong Yin,Sheela Jacob,Maria Cowen,Yuriy Kim,James Erickson,Christine A Brantner,Nazira El-Hage,Lance A Liotta,Fatah Kashanchi

PloS one 16:e0259938 PubMed34780550

2021

Neuroinflammation, body temperature and behavioural changes in CD1 male mice undergoing acute restraint stress: An exploratory study.

Applications

Unspecified application

Species

Unspecified reactive species

Veronica Redaelli,Alice Bosi,Fabio Luzi,Paolo Cappella,Pietro Zerbi,Nicola Ludwig,Daniele Di Lernia,John Vincent Roughan,Luca Porcu,Davide Soranna,Gianfranco Parati,Laura Calvillo

International journal of molecular medicine 46:653-662 PubMed32626923

2020

Silencing of long non‑coding antisense RNA brain‑derived neurotrophic factor attenuates hypoxia/ischemia‑induced neonatal brain injury.

Applications

Unspecified application

Species

Unspecified reactive species

Li-Xing Qiao,Rui-Bin Zhao,Ming-Fu Wu,Li-Hua Zhu,Zheng-Kun Xia
View all publications

Product promise

We are committed to supporting your work with high-quality reagents, and we're here for you every step of the way. In the unlikely event that one of our products does not perform as expected, you're protected by our Product Promise.
For full details, please see our Terms & Conditions

Please note: All products are 'FOR RESEARCH USE ONLY. NOT FOR USE IN DIAGNOSTIC OR THERAPEUTIC PROCEDURES'.

For licensing inquiries, please contact partnerships@abcam.com