JavaScript is disabled in your browser. Please enable JavaScript to view this website.
AB254014

Natural Killer NK Cell Marker (CD3, NCAM1, CD94, NKG2D, SLAMF6, NK-p44) Antibody Panel - Human

Be the first to review this product! Submit a review

|

(1 Publication)

Natural Killer NK Cell Marker (CD3, NCAM1, CD94, NKG2D, SLAMF6, NK-p44) Antibody Panel - Human (ab254014) is part of the multiplex kits range. Abcam offers high-quality biological reagents and tools including antibodies, proteins, assays, cell lines and lysates.

View Alternative Names

CD3d, T3D, CD3D, T-cell surface glycoprotein CD3 delta chain, T-cell receptor T3 delta chain

5 Images
Immunocytochemistry/ Immunofluorescence - Natural Killer NK Cell Marker (CD3, NCAM1, CD94, NKG2D, SLAMF6, NK-p44) Antibody Panel - Human (AB254014)
  • ICC/IF

Supplier Data

Immunocytochemistry/ Immunofluorescence - Natural Killer NK Cell Marker (CD3, NCAM1, CD94, NKG2D, SLAMF6, NK-p44) Antibody Panel - Human (AB254014)

Immunofluorescent analysis of 4% paraformaldehyde-fixed, 0.1% Triton X-100 permeabilized Ramos (human Burkitt's lymphoma cell line) cells labeling SLAMF6 with ab224201 at 1/1000 dilution, followed by Goat Anti-Rabbit IgG H&L (Alexa Fluor® 488) (ab150077) secondary antibody at 1/1000 dilution (green). Confocal image showing membranous staining in the Ramos cell line.

The nuclear counter stain is DAPI (blue). Tubulin is detected with Anti-alpha Tubulin antibody [DM1A] - Microtubule Marker (Alexa Fluor® 594) (ab195889) (red) at 1/200 dilution.

Secondary antibody only control : Used PBS instead of primary antibody, secondary antibody is Goat Anti-Rabbit IgG H&L (Alexa Fluor® 488) (ab150077) secondary antibody at 1/1000 dilution.

Immunocytochemistry/ Immunofluorescence - Natural Killer NK Cell Marker (CD3, NCAM1, CD94, NKG2D, SLAMF6, NK-p44) Antibody Panel - Human (AB254014)
  • ICC/IF

Unknown

Immunocytochemistry/ Immunofluorescence - Natural Killer NK Cell Marker (CD3, NCAM1, CD94, NKG2D, SLAMF6, NK-p44) Antibody Panel - Human (AB254014)

Immunofluorescent analysis of K562 cells labelling NK-p44 with ab133668 at 1/100 dilution.

Immunohistochemistry (Formalin/PFA-fixed paraffin-embedded sections) - Natural Killer NK Cell Marker (CD3, NCAM1, CD94, NKG2D, SLAMF6, NK-p44) Antibody Panel - Human (AB254014)
  • IHC-P

Supplier Data

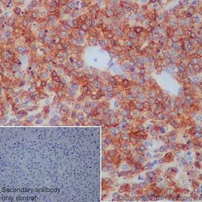
Immunohistochemistry (Formalin/PFA-fixed paraffin-embedded sections) - Natural Killer NK Cell Marker (CD3, NCAM1, CD94, NKG2D, SLAMF6, NK-p44) Antibody Panel - Human (AB254014)

Immunohistochemical analysis of paraffin-embedded human NK/T-cell lymphoma tissue labeling CD94 with ab235441 at 1/4000 dilution, followed by a ready to use Goat Anti-Rabbit IgG H&L (HRP). Membranous and cytoplasmic staining in human NK/T-cell lymphoma (PMID : 11253136, PMID : 10828054, PMID : 12816864) is observed. Counter stained with Hematoxylin.
Secondary antibody only control : Used PBS instead of primary antibody, secondary antibody is a ready to use Goat Anti-Rabbit IgG H&L (HRP).
Perform heat mediated antigen retrieval using ab93684 (Tris/EDTA buffer, pH 9.0).

Immunocytochemistry/ Immunofluorescence - Natural Killer NK Cell Marker (CD3, NCAM1, CD94, NKG2D, SLAMF6, NK-p44) Antibody Panel - Human (AB254014)
  • ICC/IF

Unknown

Immunocytochemistry/ Immunofluorescence - Natural Killer NK Cell Marker (CD3, NCAM1, CD94, NKG2D, SLAMF6, NK-p44) Antibody Panel - Human (AB254014)

Immunocytochemistry/ Immunofluorescence analysis of Jurkat (human T cell leukemia T lymphocyte) cells labeling CD3 with purified ab135372 at 1/10 (10 μg/ml). Cells were fixed in 4% paraformaldehyde and permeabilized with 0.1% Triton X-100. Cells were counterstained with ab195889 Anti-alpha Tubulin antibody [DM1A] - Microtubule Marker (Alexa Fluor<sup>®;</sup> 594) 1/200 (2.5 μg/ml). Goat anti rabbit IgG (Alexa Fluor<sup>®;</sup> 488, ab150077) was used as the secondary antibody at 1/1000 (2 μg/ml) dilution. DAPI (blue) was used as nuclear counterstain. PBS instead of the primary antibody was used as the secondary antibody only control

Immunohistochemistry (Formalin/PFA-fixed paraffin-embedded sections) - Natural Killer NK Cell Marker (CD3, NCAM1, CD94, NKG2D, SLAMF6, NK-p44) Antibody Panel - Human (AB254014)
  • IHC-P

Unknown

Immunohistochemistry (Formalin/PFA-fixed paraffin-embedded sections) - Natural Killer NK Cell Marker (CD3, NCAM1, CD94, NKG2D, SLAMF6, NK-p44) Antibody Panel - Human (AB254014)

Immunohistochemical analysis of formalin-fixed, paraffin-embedded human tonsil tissue labeling CD3 with ab135372 at a 1/150 dilution

Key facts

Reacts with

Human

Target

CD3D

target

Product details

Natural Killer NK Cell Marker (CD3, NCAM1, CD94, NKG2D, SLAMF6, NK-p44) Antibody Panel - Human ab254014 contains multiple trial-sized versions of anti-human antibody clones against CD3, NCAM1, CD94, NKG2D, SLAMF6, NK-p44, specifically selected for high performance in various applications. This panel contains 6 recombinant rabbit monoclonal antibodies against human CD3, NCAM1, CD94, NKG2D, SLAMF6, NK-p44. They are provided as a sampler panel to allow you to easily evaluate each in your required applications.

For guidelines on how to use each antibody within the panel, please consult the individual datasheet for each antibody.

Panel contains:

- Rabbit monoclonal [SP162] to CD3 (20 μL) ab135372

- Rabbit monoclonal [EP2567Y] to NCAM1 (20 μL) ab75813

- Rabbit monoclonal [EPR21003] to CD94 (20 μL) ab235441

- Rabbit monoclonal [EPR22935-131] to NKG2D (20 μL) ab233557

- Rabbit monoclonal [EPR22170] to SLAMF6 (20 μL) ab224201

- Rabbit monoclonal [EPR5060(2)] to NK-p44 (20 μL) ab133668

Explore our range of antibody sample panels designed to provide you with a variety of trial-size antibodies in a convenient and cost-effective format.

Carrier-free formulations of our recombinant antibodies are also available for easy conjugation to labels of your choice and for multiplex applications. Use our intuitive search and select carrier-free or your label of choice. For bespoke conjugations or large volumes email bespoke@abcam.com.

Patented technology
Our RabMAb® technology is a patented hybridoma-based technology for making rabbit monoclonal antibodies. For details on our patents, please refer to RabMAb® patents.

What's included?

{ "values": { "1Kit": { "sellingSize": "1 Kit", "publicAssetCode":"ab254014-1Kit", "assetComponentDetails": [ { "size":"2 x 10 µL", "name":"Anti-CD3 antibody [SP162]", "number":"AB254014-CMP01", "productcode":"AB135372" }, { "size":"2 x 10 µL", "name":"Anti-NKG2D antibody [EPR22935-131]", "number":"AB254014-CMP04", "productcode":"AB233557" }, { "size":"2 x 10 µL", "name":"Anti-NK-p44 antibody [EPR5060(2)]", "number":"AB254014-CMP03", "productcode":"AB133668" }, { "size":"2 x 10 µL", "name":"Anti-CD94 antibody [EPR21003]", "number":"AB254014-CMP05", "productcode":"AB235441" }, { "size":"2 x 10 µL", "name":"Anti-SLAMF6 antibody [EPR22170]", "number":"AB254014-CMP06", "productcode":"AB224201" }, { "size":"2 x 10 µL", "name":"Anti-NCAM1 antibody [EP2567Y]", "number":"AB254014-CMP02", "productcode":"AB75813" } ] } } }

Properties and storage information

Shipped at conditions
Blue Ice
Appropriate short-term storage conditions
Multi
Appropriate long-term storage conditions
Multi
Storage information
Please refer to protocols

Product protocols

Target data

Part of the TCR-CD3 complex present on T-lymphocyte cell surface that plays an essential role in adaptive immune response. When antigen presenting cells (APCs) activate T-cell receptor (TCR), TCR-mediated signals are transmitted across the cell membrane by the CD3 chains CD3D, CD3E, CD3G and CD3Z. All CD3 chains contain immunoreceptor tyrosine-based activation motifs (ITAMs) in their cytoplasmic domain. Upon TCR engagement, these motifs become phosphorylated by Src family protein tyrosine kinases LCK and FYN, resulting in the activation of downstream signaling pathways (PubMed : 2470098). In addition of this role of signal transduction in T-cell activation, CD3D plays an essential role in thymocyte differentiation. Indeed, participates in correct intracellular TCR-CD3 complex assembly and surface expression. In absence of a functional TCR-CD3 complex, thymocytes are unable to differentiate properly. Interacts with CD4 and CD8 and thus serves to establish a functional link between the TCR and coreceptors CD4 and CD8, which is needed for activation and positive selection of CD4 or CD8 T-cells (PubMed : 12215456).
See full target information CD3D

Additional targets

NCAM1,KLRD1,KLRK1,SLAMF6,NCR2

Publications (1)

Recent publications for all applications. Explore the full list and refine your search

Cancers 15: PubMed37444476

2023

Polyploid Giant Cancer Cells Are Frequently Found in the Urine of Prostate Cancer Patients.

Applications

Unspecified application

Species

Unspecified reactive species

Laura Nalleli Garrido Castillo,Julien Anract,Nicolas Barry Delongchamps,Olivier Huillard,Fatima BenMohamed,Alessandra Decina,Thierry Lebret,Roger Dachez,Patrizia Paterlini-Bréchot
View all publications

Product promise

We are committed to supporting your work with high-quality reagents, and we're here for you every step of the way. In the unlikely event that one of our products does not perform as expected, you're protected by our Product Promise.
For full details, please see our Terms & Conditions

Please note: All products are 'FOR RESEARCH USE ONLY. NOT FOR USE IN DIAGNOSTIC OR THERAPEUTIC PROCEDURES'.

For licensing inquiries, please contact partnerships@abcam.com