JavaScript is disabled in your browser. Please enable JavaScript to view this website.
AB263462

Neuroinflammation Marker (BDNF, ICAM1, TREM2, GFAP, TNF alpha, Iba1) Antibody Panel - Human

Be the first to review this product! Submit a review

|

(1 Publication)

Neuroinflammation Marker (BDNF, ICAM1, TREM2, GFAP, TNF alpha, Iba1) Antibody Panel - Human (ab263462) is part of the multiplex kits range. Abcam offers high-quality biological reagents and tools including antibodies, proteins, assays, cell lines and lysates.

View Alternative Names

Neurotrophic factor BDNF precursor form, proBDNF, Abrineurin, Brain-derived neurotrophic factor, BDNF

6 Images
Immunohistochemistry (Formalin/PFA-fixed paraffin-embedded sections) - Neuroinflammation Marker (BDNF, ICAM1, TREM2, GFAP, TNF alpha, Iba1) Antibody Panel - Human (AB263462)
  • IHC-P

Supplier Data

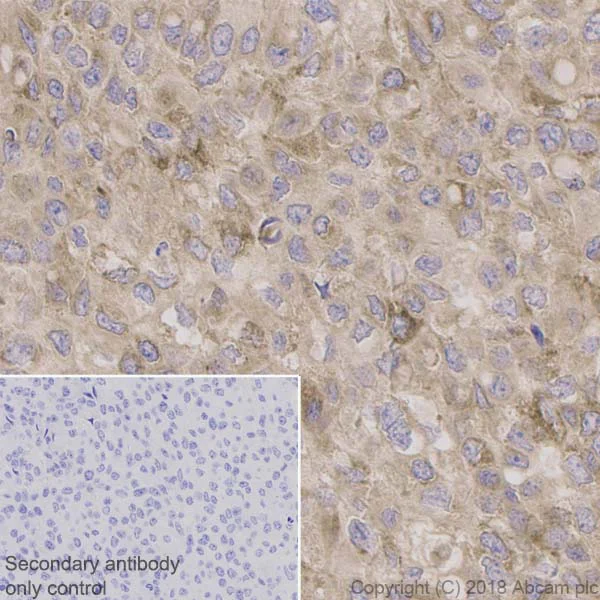
Immunohistochemistry (Formalin/PFA-fixed paraffin-embedded sections) - Neuroinflammation Marker (BDNF, ICAM1, TREM2, GFAP, TNF alpha, Iba1) Antibody Panel - Human (AB263462)

Immunohistochemical analysis of paraffin-embedded Human cerebrum tissue labeling Iba1 with ab178847 at 1/8000 dilution, followed by Goat Anti-Rabbit IgG H&L (HRP) (ab97051) at 1/500 dilution.

Cytoplasm staining on microglia of the normal Human cerebrum is observed. Counter stained with Hematoxylin.

Secondary antibody only control : Used PBS instead of primary antibody, secondary antibody is ab97051 at 1/500 dilution.

Immunohistochemistry (Formalin/PFA-fixed paraffin-embedded sections) - Neuroinflammation Marker (BDNF, ICAM1, TREM2, GFAP, TNF alpha, Iba1) Antibody Panel - Human (AB263462)
  • IHC-P

Lab

Immunohistochemistry (Formalin/PFA-fixed paraffin-embedded sections) - Neuroinflammation Marker (BDNF, ICAM1, TREM2, GFAP, TNF alpha, Iba1) Antibody Panel - Human (AB263462)

Immunohistochemistry (Formalin/PFA-fixed paraffin-embedded sections) analysis of Human bladder cancer tissue sections labeling BDNF with Purified ab108319 at 1 : 500 dilution (0.56 μg/ml). Heat mediated antigen retrieval was performed using ab93684 (Tris/EDTA buffer pH 9.0)

Immunocytochemistry/ Immunofluorescence - Neuroinflammation Marker (BDNF, ICAM1, TREM2, GFAP, TNF alpha, Iba1) Antibody Panel - Human (AB263462)
  • ICC/IF

Supplier Data

Immunocytochemistry/ Immunofluorescence - Neuroinflammation Marker (BDNF, ICAM1, TREM2, GFAP, TNF alpha, Iba1) Antibody Panel - Human (AB263462)

Immunofluorescent analysis of 100% methanol-fixed, 0.1% Triton X-100 permeabilized U937 (Human histiocytic lymphoma cell line) cells labeling Iba1 with ab178847 at 1/100 dilution, followed by Goat Anti-Rabbit IgG (Alexa Fluor® 488) (ab150077) secondary antibody at 1/1000 dilution (green).

Confocal image showing cytoplasmic staining on U937 cell line.

The nuclear counterstain is DAPI (blue).

Tubulin is detected with Anti-alpha Tubulin - Loading Control (ab7291) at 1/1000 dilution and Goat Anti-Mouse IgG (AlexaFluor®594) preadsorbed (ab150120) at 1/1000 dilution (red).

The negative controls are as follows : -

-ve control 1 : ab178847 at 1/100 dilution followed by ab150120 at 1/1000 dilution.

-ve control 2 : ab7291 at 1/1000 dilution followed by ab150077 at 1/1000 dilution.

Immunohistochemistry (Formalin/PFA-fixed paraffin-embedded sections) - Neuroinflammation Marker (BDNF, ICAM1, TREM2, GFAP, TNF alpha, Iba1) Antibody Panel - Human (AB263462)
  • IHC-P

Unknown

Immunohistochemistry (Formalin/PFA-fixed paraffin-embedded sections) - Neuroinflammation Marker (BDNF, ICAM1, TREM2, GFAP, TNF alpha, Iba1) Antibody Panel - Human (AB263462)

ab33922 showing positive staining in Normal brain tissue.

Immunocytochemistry/ Immunofluorescence - Neuroinflammation Marker (BDNF, ICAM1, TREM2, GFAP, TNF alpha, Iba1) Antibody Panel - Human (AB263462)
  • ICC/IF

Lab

Immunocytochemistry/ Immunofluorescence - Neuroinflammation Marker (BDNF, ICAM1, TREM2, GFAP, TNF alpha, Iba1) Antibody Panel - Human (AB263462)

Immunocytochemistry/ Immunofluorescence analysis of HeLa (Human cervix adenocarcinoma epithelial cell) cells labeling BDNF with Purified ab108319 at 1 : 500 (0.6 μg/ml). Cells were fixed in 100% Methanol and permeabilized with None. Cells were counterstained with ab195889 Anti-alpha Tubulin antibody [DM1A] - Microtubule Marker (Alexa Fluor® 594) 1 : 200 (2.5 μg/ml). Goat anti rabbit IgG (Alexa Fluor® 488 ab150077) was used as the secondary antibody at 1 : 1000 (2 μg/ml) dilution. DAPI nuclear counterstain. PBS instead of the primary antibody was used as the secondary antibody only control.

Western blot - Neuroinflammation Marker (BDNF, ICAM1, TREM2, GFAP, TNF alpha, Iba1) Antibody Panel - Human (AB263462)
  • WB

Supplier Data

Western blot - Neuroinflammation Marker (BDNF, ICAM1, TREM2, GFAP, TNF alpha, Iba1) Antibody Panel - Human (AB263462)

All lanes : Anti-TNF alpha antibody [EPR20972] (ab215188) at 1/1000 dilution

Lane 1 : THP-1 (human monocytic leukemia cell line) differentiated with 100 nM TPA overnight, whole cell lysate

Lane 2 : THP-1 (human monocytic leukemia cell line) differentiated with 100 nM TPA overnight, then treated with 100 ng/ml lipopolysaccharides (LPS) for 7 hours with addition of 1 μg/ml brefeldin A (BFA) for the last 3 hours, whole cell lysate

Lysates/proteins at 10 μg per lane.

Secondary

All lanes : Goat Anti-Rabbit IgG H&L (HRP) (ab97051) at 1/50000 dilution

Developed using the ECL technique.

Predicted band size : 26 kDa

Observed band size : 26 kDa

Exposure time : 3 minutes

Blocking/Dilution buffer : 5% NFDM/TBST.

All lanes:

Western blot - Anti-TNF alpha antibody [EPR20972] (<a href='/en-us/products/primary-antibodies/tnf-alpha-antibody-epr20972-ab215188'>ab215188</a>) at 1/1000 dilution

Lane 1:

THP-1 (human monocytic leukemia cell line) differentiated with 100 nM TPA overnight, whole cell lysate at 10 µg

Lane 2:

THP-1 (human monocytic leukemia cell line) differentiated with 100 nM TPA overnight, then treated with 100 ng/ml lipopolysaccharides (LPS) for 7 hours with addition of 1 μg/ml brefeldin A (BFA) for the last 3 hours, whole cell lysate at 10 µg

Secondary

All lanes:

Western blot - Goat Anti-Rabbit IgG H&L (HRP) (<a href='/en-us/products/secondary-antibodies/goat-rabbit-igg-h-l-hrp-ab97051'>ab97051</a>) at 1/50000 dilution

Predicted band size: 25 kDa

Observed band size: 26 kDa

true

Exposure time: 3min

Key facts

Reacts with

Human

Target

BDNF

target

Product details

Neuroinflammation Marker (BDNF, ICAM1, TREM2, GFAP, TNF alpha, Iba1) Antibody Panel - Human ab263462 contains multiple trial-sized versions of anti-human antibody clones against BDNF, ICAM1, TREM2, GFAP, TNF alpha, Iba1, specifically selected for high performance in various applications. They are provided as a sampler panel to allow you to easily evaluate each antibody.

For guidelines on how to use each antibody within the panel, please consult the individual datasheet for each antibody.

Panel contains:

- Rabbit monoclonal [EPR1292] to BDNF (20 μL) ab108319

- Rabbit monoclonal [EP1442Y] to ICAM1 (20 μL) ab53013

- Rabbit monoclonal [EPR20243] to TREM2 (20 μL) ab209814

- Rabbit monoclonal [EP672Y] to GFAP (20 μL) ab33922

- Rabbit monoclonal [EPR20972] to TNF alpha (20 μL) ab215188

- Rabbit monoclonal [EPR16589] to Iba1 (20 μL) ab178847

Explore our range of antibody sample panels designed to provide you with a variety of trial-size antibodies in a convenient and cost-effective format.

Carrier-free formulations of our recombinant antibodies are also available for easy conjugation to labels of your choice and for multiplex applications. Use our intuitive search and select carrier-free or your label of choice. For bespoke conjugations or large volumes email bespoke@abcam.com.

What's included?

{ "values": { "1Kit": { "sellingSize": "1 Kit", "publicAssetCode":"ab263462-1Kit", "assetComponentDetails": [ { "size":"2 x 10 µL", "name":"Anti-TREM2 antibody [EPR20243]", "number":"AB263462-CMP04", "productcode":"AB209814" }, { "size":"2 x 10 µL", "name":"Anti-GFAP antibody [EP672Y]", "number":"AB263462-CMP02", "productcode":"AB33922" }, { "size":"2 x 10 µL", "name":"Anti-BDNF antibody [EPR1292]", "number":"AB263462-CMP05", "productcode":"AB108319" }, { "size":"2 x 10 µL", "name":"Anti-Iba1 antibody [EPR16589]", "number":"AB263462-CMP03", "productcode":"AB178847" }, { "size":"2 x 10 µL", "name":"Anti-ICAM1 antibody [EP1442Y]", "number":"AB263462-CMP01", "productcode":"AB53013" }, { "size":"2 x 10 µL", "name":"Anti-TNF alpha antibody [EPR20972]", "number":"AB263462-CMP06", "productcode":"AB215188" } ] } } }

Properties and storage information

Shipped at conditions
Blue Ice
Appropriate short-term storage conditions
-20°C
Appropriate long-term storage conditions
-20°C
Storage information
-20°C

Supplementary information

This supplementary information is collated from multiple sources and compiled automatically.

ICAM1 (Intercellular Adhesion Molecule 1) TNF alpha (Tumor Necrosis Factor-alpha) GFAP (Glial Fibrillary Acidic Protein) BDNF (Brain-Derived Neurotrophic Factor) Iba1 (Ionized Calcium Binding Adapter Molecule 1) and TREM2 (Triggering Receptor Expressed on Myeloid Cells 2) serve important roles in cell signaling and tissue integrity. ICAM1 is a 55–65 kDa transmembrane protein expressed on endothelial cells and immune cells mediating leukocyte adhesion and transmigration. TNF alpha a cytokine expressed by macrophages has a mass of 17 kDa in its secreted form and acts in inflammatory responses. GFAP found in astrocytes helps maintain the cytoskeletal structure and its mass is about 50 kDa. BDNF is a neurotrophin important for neuronal survival and growth. Iba1 with a mass of approximately 17 kDa is expressed in microglia. TREM2 is present on macrophages and microglia as a receptor involved in phagocytosis and inflammation control.
Biological function summary

These proteins engage in essential processes such as immune response and neuroprotection. ICAM1 facilitates immune cell interactions and recruitment during inflammation. TNF alpha an important inflammatory molecule promotes apoptosis and inflammation. GFAP structurally supports glial cells and guides neuronal development. BDNF encourages neuronal differentiation and synaptic plasticity. Iba1 serves as a neuroinflammatory marker connecting microglial responses to central nervous system health. TREM2 forming part of receptor complexes supports phagocytosis and manages immune signaling impacting clearances like debris or apoptotic cells.

Pathways

These proteins integrate into significant biological networks such as the NF-kB and MAPK pathways impacting immunity and homeostasis. ICAM1 interacts within pathways that regulate leukocyte extravasation. TNF alpha serves as a cytokine in the TNF receptor pathway influencing apoptosis and survival. BDNF activates TrkB receptors promoting MAPK and PI3K/Akt pathways for neuronal survival. Iba1 and TREM2 work in the microglial response pathway coordinating with CD45 markers to modulate neuroinflammatory markers and immunofluorescence dynamics. GFAP fits into astrocyte signaling pathways contributing to brain architecture and repair.

These proteins relate to various conditions like Alzheimer’s disease and multiple sclerosis. ICAM1 and TNF alpha correlate with inflammatory disorders disrupting normal immune responses. TNF alpha contributes to chronic inflammation and autoimmunity in diseases. BDNF levels influence neurodegenerative diseases with low levels implicated in brain dysfunctions. Iba1 and TREM2 are important in Alzheimer's as changes in their expression affect microglial activity and amyloid-beta clearance with TREM2 mutations enhancing risk. GFAP serves as a marker for astrocyte reactivity in multiple sclerosis and brain injuries while closely linking to Iba1 for assessing glial response to central nervous system damage.

Product protocols

Target data

The protein expressed by the BDNF gene is a critical signaling molecule that activates pathways downstream of NTRK2, as well as the heterodimeric receptor formed by NGFR and SORCS2. During development, it aids the survival and differentiation of specific neuronal populations in both the peripheral and central nervous systems. It is involved in axonal growth, pathfinding, and modulation of dendritic growth and morphology. In adult synapses, BDNF is a key regulator of synaptic transmission and plasticity in various CNS regions, contributing to processes like long-term potentiation, long-term depression, some short-term synaptic plasticity forms, and the homeostatic regulation of intrinsic neuronal excitability. Signaling through NGFR and SORCS2 is linked to synaptic plasticity and long-term depression, while its binding to these receptors also promotes neuronal apoptosis. This supplementary information is collated from multiple sources and compiled automatically.
See full target information BDNF

Additional targets

ICAM1,TREM2,GFAP,TNF,AIF1

Publications (1)

Recent publications for all applications. Explore the full list and refine your search

International journal of molecular sciences 24: PubMed37958809

2023

mRNA and Protein Expression in Human Fetal Membrane Cells: Potential Biomarkers for Preterm Prelabor Rupture of the Fetal Membranes?

Applications

Unspecified application

Species

Unspecified reactive species

Emmeli Mikkelsen,Berthold Huppertz,Ripudaman Singh,Katarina Ravn,Lotte Hatt,Mogens Kruhøffer,Rheanna Urrabaz-Garza,Niels Uldbjerg,Ramkumar Menon,Torben Steiniche
View all publications

Product promise

We are committed to supporting your work with high-quality reagents, and we're here for you every step of the way. In the unlikely event that one of our products does not perform as expected, you're protected by our Product Promise.
For full details, please see our Terms & Conditions

Please note: All products are 'FOR RESEARCH USE ONLY. NOT FOR USE IN DIAGNOSTIC OR THERAPEUTIC PROCEDURES'.

For licensing inquiries, please contact partnerships@abcam.com