JavaScript is disabled in your browser. Please enable JavaScript to view this website.
AB254016

Neutrophil Marker (CD11b, CD16, CD32, CD44, CD55) Antibody Panel - Human

Be the first to review this product! Submit a review

|

(1 Publication)

Neutrophil Marker panel containing 3 rabbit monoclonal antibodies against Human CD11b, CD16, CD55 and 2 mouse monoclonal antibodies against Human CD32, CD44.

- Specifically selected for high performance in various applications.
- Provided as a sampler panel to allow you to easily evaluate each in your required applications.

View Alternative Names

CD44, LHR, MDU2, MDU3, MIC4, CD44 antigen, CDw44, Epican, Extracellular matrix receptor III, GP90 lymphocyte homing/adhesion receptor, HUTCH-I, Heparan sulfate proteoglycan, Hermes antigen, Hyaluronate receptor, Phagocytic glycoprotein 1, Phagocytic glycoprotein I, ECMR-III, PGP-1, PGP-I

5 Images
Immunocytochemistry/ Immunofluorescence - Neutrophil Marker (CD11b, CD16, CD32, CD44, CD55) Antibody Panel - Human (AB254016)
  • ICC/IF

Supplier Data

Immunocytochemistry/ Immunofluorescence - Neutrophil Marker (CD11b, CD16, CD32, CD44, CD55) Antibody Panel - Human (AB254016)

ab6412 staining CD44 in A431 cells. The cells were fixed with 100% methanol (5 min) and then incubated in 1%BSA / 10% normal goat serum / 0.3M glycine in 0.1% PBS-Tween for 1h to permeabilise the cells and block non-specific protein-protein interactions. The cells were then incubated overnight at +4°C with ab6142 at 5ugml then detected with an Alexa Fluor® 488 goat anti-mouse secondary antibody (ab150117) at a 1/1000 dilution (shown in green). Nuclear DNA was labelled with DAPI (shown in blue), and ab202272, Rabbit monoclonal to alpha Tubulin (Alexa Fluor® 594), at a 1/250 dilution (shown in red).

Immunohistochemistry (Formalin/PFA-fixed paraffin-embedded sections) - Neutrophil Marker (CD11b, CD16, CD32, CD44, CD55) Antibody Panel - Human (AB254016)
  • IHC-P

Supplier Data

Immunohistochemistry (Formalin/PFA-fixed paraffin-embedded sections) - Neutrophil Marker (CD11b, CD16, CD32, CD44, CD55) Antibody Panel - Human (AB254016)

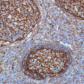
Formalin-fixed, paraffin-embedded human tonsil tissue stained for CD11b using ab224805 at 1/100 dilution in immunohistochemical analysis.

Immunohistochemistry (Formalin/PFA-fixed paraffin-embedded sections) - Neutrophil Marker (CD11b, CD16, CD32, CD44, CD55) Antibody Panel - Human (AB254016)
  • IHC-P

Supplier Data

Immunohistochemistry (Formalin/PFA-fixed paraffin-embedded sections) - Neutrophil Marker (CD11b, CD16, CD32, CD44, CD55) Antibody Panel - Human (AB254016)

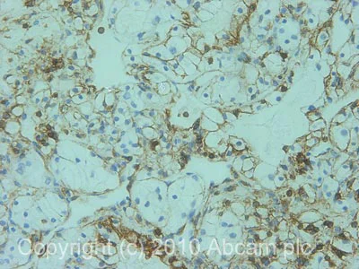
IHC image of CD44 staining in human kidney carcinoma formalin fixed paraffin embedded tissue section, performed on a Leica BondTM system using the standard protocol F. The section was pre-treated using heat mediated antigen retrieval with sodium citrate buffer (pH6, epitope retrieval solution 1) for 20 mins. The section was then incubated with ab6124, 5μg/ml, for 15 mins at room temperature and detected using an HRP conjugated compact polymer system. DAB was used as the chromogen. The section was then counterstained with haematoxylin and mounted with DPX.

Immunohistochemistry (Formalin/PFA-fixed paraffin-embedded sections) - Neutrophil Marker (CD11b, CD16, CD32, CD44, CD55) Antibody Panel - Human (AB254016)
  • IHC-P

Supplier Data

Immunohistochemistry (Formalin/PFA-fixed paraffin-embedded sections) - Neutrophil Marker (CD11b, CD16, CD32, CD44, CD55) Antibody Panel - Human (AB254016)

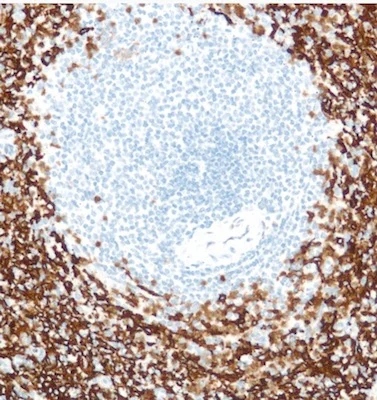
Immunohistochemical analysis of paraffin embedded human spleen tissue labeling CD16 with ab183354 at 1/100 dilution.

Immunohistochemistry (Formalin/PFA-fixed paraffin-embedded sections) - Neutrophil Marker (CD11b, CD16, CD32, CD44, CD55) Antibody Panel - Human (AB254016)
  • IHC-P

Unknown

Immunohistochemistry (Formalin/PFA-fixed paraffin-embedded sections) - Neutrophil Marker (CD11b, CD16, CD32, CD44, CD55) Antibody Panel - Human (AB254016)

Immunohistochemical analysis of paraffin-embedded Human placenta tissue labelling CD55 with ab133684 at 1/100 dilution.

Key facts

Reacts with

Human

Target

CD44

target

Product details

Product Specifications
Neutrophil Marker (CD11b, CD16, CD32, CD44, CD55) Antibody Panel - Human (ab254016) is a panel of 5 monoclonal antibodies specific to neutrophil markers. Neutrophil markers are proteins used to identify and study neutrophils, which are key immune cells involved in inflammation, infection response, and tissue repair.
This panel contains 3 rabbit recombinant monoclonal antibodies and 2 mouse monoclonal antibodies to CD11b (UniProt: P11215), CD16 (UniProt: P08637), CD32A + CD32B (UniProt: P12318), CD44 (UniProt: P16070) and CD55 (UniProt: P08174) in convenient trial sizes (20 µg/ 20 µL) to allow for efficient and cost-effect testing of the antibodies simultaneously.

The individual antibodies included in this panel are:

  • Rabbit recombinant monoclonal anti-CD11b antibody [SP330] - C-terminal (ab224805)
  • Rabbit recombinant monoclonal anti-CD16 antibody [SP175] (ab183354)
  • Mouse monoclonal anti-CD32B + CD32A antibody [AT10] (ab23336)
  • Mouse monoclonal anti-CD44 antibody [F10-44-2] (ab6124)
  • Rabbit recombinant monoclonal anti-CD55 antibody [EPR6689] (ab133684)

All of these component antibodies are available for purchase individually using their corresponding abIDs.

Quality and Validation
Abcams high quality validation processes ensure each component antibody is sensitive and specific to the target protein.
All antibodies in this panel have been validated in human samples in a variety of applications, and some also have reactivity in other species.
For information on the species reactivity and application validation of each antibody within the panel, please consult the individual datasheet for each antibody. Suggested dilution factor and additional information on protocols can also be found on the antibody datasheets.

Related Products
Many of our antibody clones are also available as carrier-free formulations for easy conjugation to labels of your choice, or in pre-conjugated formats. Please search the clone name for alternative formulations and related products.

Explore our range of antibody sample panels designed to provide you with a variety of trial-size antibodies in a convenient and cost-effective format.

Carrier-free formulations of our recombinant antibodies are also available for easy conjugation to labels of your choice and for multiplex applications. Use our intuitive search and select carrier-free or your label of choice. For bespoke conjugations or large volumes email bespoke@abcam.com.

Patented technology
Our RabMAb® technology is a patented hybridoma-based technology for making rabbit monoclonal antibodies. For details on our patents, please refer to RabMAb® patents.

What's included?

{ "values": { "1Kit": { "sellingSize": "1 Kit", "publicAssetCode":"ab254016-1Kit", "assetComponentDetails": [ { "size":"2 x 10 µg", "name":"Anti-CD32 antibody [AT10]", "number":"AB254016-CMP02", "productcode":"AB23336" }, { "size":"2 x 10 µL", "name":"Anti-CD55 antibody [EPR6689]", "number":"AB254016-CMP04", "productcode":"AB133684" }, { "size":"2 x 10 µL", "name":"Anti-CD11b antibody [SP330] - C-terminal", "number":"AB254016-CMP05", "productcode":"AB224805" }, { "size":"2 x 10 µg", "name":"Anti-CD44 antibody [F10-44-2]", "number":"AB254016-CMP01", "productcode":"AB6124" }, { "size":"2 x 10 µL", "name":"Anti-CD16 antibody [SP175]", "number":"AB254016-CMP03", "productcode":"AB183354" } ] } } }

Properties and storage information

Shipped at conditions
Blue Ice
Appropriate short-term storage conditions
-20°C
Appropriate long-term storage conditions
-20°C
Storage information
-20°C

Product protocols

Target data

The protein expressed by gene CD44 functions as a cell-surface receptor involved in cell-cell interactions, cell adhesion, and migration, allowing cells to detect and react to changes in their tissue microenvironment. It is implicated in numerous cellular processes, including the activation, recirculation, and homing of T-lymphocytes, hematopoiesis, inflammation, and the response to bacterial infection. Through its ectodomain, CD44 interacts with extracellular matrix components like hyaluronan, collagen, growth factors, cytokines, and proteases, serving as a platform for signal transduction by forming protein complexes with receptor kinases and membrane proteases via its cytoplasmic domain. Effectors such as PKN2, the RhoGTPases RAC1 and RHOA, Rho-kinases, and phospholipase C coordinate signaling pathways that promote calcium mobilization and actin-mediated cytoskeleton reorganization crucial for cell migration and adhesion. This supplementary information is collated from multiple sources and compiled automatically.
See full target information CD44

Additional targets

FCGR3A,FCGR2A,CD55

Publications (1)

Recent publications for all applications. Explore the full list and refine your search

Immunity & ageing : I & A 21:56 PubMed39169358

2024

Mouse brain contains age-dependent extraparenchymal granular structures and astrocytes, both reactive to natural IgM antibodies, linked to the fissura magna.

Applications

Unspecified application

Species

Unspecified reactive species

Clara Romera,Marta Riba,Raquel Alsina,Marina Sartorio,Jordi Vilaplana,Carme Pelegrí,Jaume Del Valle
View all publications

Product promise

We are committed to supporting your work with high-quality reagents, and we're here for you every step of the way. In the unlikely event that one of our products does not perform as expected, you're protected by our Product Promise.
For full details, please see our Terms & Conditions

Please note: All products are 'FOR RESEARCH USE ONLY. NOT FOR USE IN DIAGNOSTIC OR THERAPEUTIC PROCEDURES'.

For licensing inquiries, please contact partnerships@abcam.com