JavaScript is disabled in your browser. Please enable JavaScript to view this website.
AB263467

Nuclear Marker (Lamin A + C, SC35, KDM1/LSD1, Fibrillarin, HP1 alpha) Antibody Sampler Panel

Be the first to review this product! Submit a review

|

(1 Publication)

Nuclear Marker (Lamin A + C, SC35, KDM1/LSD1, Fibrillarin, HP1 alpha) Antibody Sampler Panel (ab263467) is part of the multiplex kits range. Abcam offers high-quality biological reagents and tools including antibodies, proteins, assays, cell lines and lysates.

View Alternative Names

LMN1, LMNA, Prelamin-A/C

8 Images
Immunohistochemistry (Formalin/PFA-fixed paraffin-embedded sections) - Nuclear Marker (Lamin A + C, SC35, KDM1/LSD1, Fibrillarin, HP1 alpha) Antibody Sampler Panel (AB263467)
  • IHC-P

Lab

Immunohistochemistry (Formalin/PFA-fixed paraffin-embedded sections) - Nuclear Marker (Lamin A + C, SC35, KDM1/LSD1, Fibrillarin, HP1 alpha) Antibody Sampler Panel (AB263467)

IHC image of Lamin A + C staining in a section of formalin-fixed paraffin-embedded normal human skin* performed on a Leica BONDTM system using the standard protocol F.

The section was pre-treated using heat mediated antigen retrieval with sodium citrate buffer (pH 6, epitope retrieval solution 1) for 20 mins. The section was then incubated with ab238303, 0.1 μg/ml, for 15 mins at room temperature and detected using an HRP conjugated compact polymer system. DAB was used as the chromogen. The section was then counterstained with hematoxylin and mounted with DPX.

The inset secondary-only control image is taken from an identical assay without primary antibody.

For other IHC staining systems (automated and non-automated) customers should optimize variable parameters such as antigen retrieval conditions, primary antibody concentration and antibody incubation times.

*Tissue obtained from the Human Research Tissue Bank, supported by the NIHR Cambridge Biomedical Research Centre

Immunocytochemistry/ Immunofluorescence - Nuclear Marker (Lamin A + C, SC35, KDM1/LSD1, Fibrillarin, HP1 alpha) Antibody Sampler Panel (AB263467)
  • ICC/IF

Lab

Immunocytochemistry/ Immunofluorescence - Nuclear Marker (Lamin A + C, SC35, KDM1/LSD1, Fibrillarin, HP1 alpha) Antibody Sampler Panel (AB263467)

ab238303 staining Lamin A+C (colored green) in wild-type HAP1 cells (top panel) and LMNA knockout HAP1 cells (bottom panel). The cells were fixed with 100% methanol (5min), permeabilized with 0.1% Triton X-100 for 5 minutes and then blocked with 1% BSA/10% normal goat serum/0.3M glycine in 0.1% PBS-Tween for 1h. The cells were then incubated with ab238303 at 1μg/ml and ab6046, Rabbit polyclonal to beta Tubulin - Loading Control, at 1/1000 dilution overnight at 4°C. Cells were then incubated with ab150077, Goat Anti-Mouse IgG H&L (Alexa Fluor® 488) at 1/1000 dilution (shown in green) and ab150080, Goat polyclonal Secondary Antibody to Rabbit IgG - H&L (Alexa Fluor® 594) at 1/1000 dilution (shown in pseudocolor red). Nuclear DNA was labeled with DAPI (shown in blue).

Image was taken with a confocal microscope (Leica-Microsystems, TCS SP8).

Immunocytochemistry/ Immunofluorescence - Nuclear Marker (Lamin A + C, SC35, KDM1/LSD1, Fibrillarin, HP1 alpha) Antibody Sampler Panel (AB263467)
  • ICC/IF

Lab

Immunocytochemistry/ Immunofluorescence - Nuclear Marker (Lamin A + C, SC35, KDM1/LSD1, Fibrillarin, HP1 alpha) Antibody Sampler Panel (AB263467)

Immunocytochemistry/Immunofluorescence analysis of HT-29 (human colorectal adenocarcinoma) cells labelling Fibrillarin (green) with purified ab166630 at 1/5000. Cells were fixed with 4% Paraformaldehyde and permeabilized with 0.1% Triton X-100. ab150077, Alexa Fluor® 488-conjugated goat anti-rabbit IgG (1/1000) was used as the secondary antibody. DAPI (blue) was used as a nuclear counterstain.

Secondary Only Control : PBS was used instead of the primary antibody as the negative control.

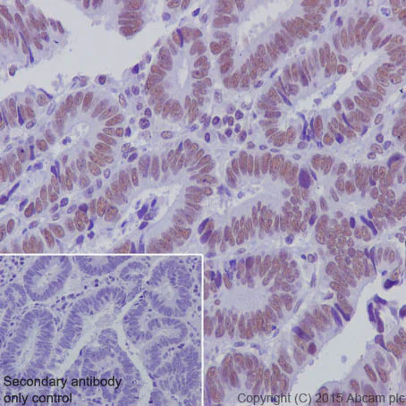
Immunohistochemistry (Formalin/PFA-fixed paraffin-embedded sections) - Nuclear Marker (Lamin A + C, SC35, KDM1/LSD1, Fibrillarin, HP1 alpha) Antibody Sampler Panel (AB263467)
  • IHC-P

Lab

Immunohistochemistry (Formalin/PFA-fixed paraffin-embedded sections) - Nuclear Marker (Lamin A + C, SC35, KDM1/LSD1, Fibrillarin, HP1 alpha) Antibody Sampler Panel (AB263467)

Immunohistochemistry (Formalin/PFA-fixed paraffin-embedded sections) analysis of human cervix carcinoma tissue labeling Lamin A + C with purified ab108595 at 1/250. Heat mediated antigen retrieval was performed using Tris/EDTA buffer pH 9. A prediluted HRP-polymer conjugated anti-rabbit IgG was used as the secondary antibody. Counterstained with hematoxylin.

Negative control using PBS instead of primary antibody (inset).

Immunocytochemistry/ Immunofluorescence - Nuclear Marker (Lamin A + C, SC35, KDM1/LSD1, Fibrillarin, HP1 alpha) Antibody Sampler Panel (AB263467)
  • ICC/IF

Lab

Immunocytochemistry/ Immunofluorescence - Nuclear Marker (Lamin A + C, SC35, KDM1/LSD1, Fibrillarin, HP1 alpha) Antibody Sampler Panel (AB263467)

Immunocytochemistry/Immunofluorescence analysis of HeLa (Human epithelial cell line from cervix adenocarcinoma) cells labeling Lamin A + C (green) with purified ab108595 at 1/500. Cells were fixed with 4% paraformaldehyde and permeabilized with 0.1% Triton X-100. ab150077, an Alexa Fluor® 488-conjugated goat anti-rabbit IgG (1/500) was used as the secondary antibody. DAPI (blue) was used as the nuclear counterstain.

Control : Primary antibody (1/500) and secondary antibody ab150120, an Alexa Fluor® 594-conjugated goat anti-mouse IgG (1/500).

Immunocytochemistry/ Immunofluorescence - Nuclear Marker (Lamin A + C, SC35, KDM1/LSD1, Fibrillarin, HP1 alpha) Antibody Sampler Panel (AB263467)
  • ICC/IF

Lab

Immunocytochemistry/ Immunofluorescence - Nuclear Marker (Lamin A + C, SC35, KDM1/LSD1, Fibrillarin, HP1 alpha) Antibody Sampler Panel (AB263467)

ab109028 staining HP1 alpha in wild-type HAP1 cells (top panel) and HP1 alpha knockout HAP1 cells (bottom panel). The cells were fixed with 4% formaldehyde (10min), permeabilized with 0.1% Triton X-100 for 5 minutes and then blocked with 1% BSA/10% normal goat serum/0.3M glycine in 0.1% PBS-Tween for 1h. The cells were then incubated with ab109028 at 1/250 dilution and ab195889 at 1/250 dilution (shown in pseudo colour red) overnight at +4°C, followed by a further incubation at room temperature for 1h with a goat secondary antibody to Rabbit IgG (Alexa Fluor® 488) (ab150081) at 2 μg/ml (shown in green). Nuclear DNA was labelled in blue with DAPI.

Image was taken with a confocal microscope (Leica-Microsystems, TCS SP8).

Immunocytochemistry/ Immunofluorescence - Nuclear Marker (Lamin A + C, SC35, KDM1/LSD1, Fibrillarin, HP1 alpha) Antibody Sampler Panel (AB263467)
  • ICC/IF

Lab

Immunocytochemistry/ Immunofluorescence - Nuclear Marker (Lamin A + C, SC35, KDM1/LSD1, Fibrillarin, HP1 alpha) Antibody Sampler Panel (AB263467)

ab129195 staining KDM1A/LSD1 in wild-type HAP1 cells (top panel) and KDM1A knockout HAP1 cells (bottom panel). The cells were fixed with 4% formaldehyde (10min), permeabilized with 0.1% Triton X-100 for 5 minutes and then blocked with 1% BSA/10% normal goat serum/0.3M glycine in 0.1% PBS-Tween for 1h. The cells were then incubated with ab129195 at 1μg/ml concentration and ab195889 at 1/250 dilution (shown in pseudo colour red) overnight at +4°C, followed by a further incubation at room temperature for 1h with a goat secondary antibody to Rabbit IgG (Alexa Fluor® 488) (ab150081) at 2 μg/ml (shown in green). Nuclear DNA was labelled in blue with DAPI.

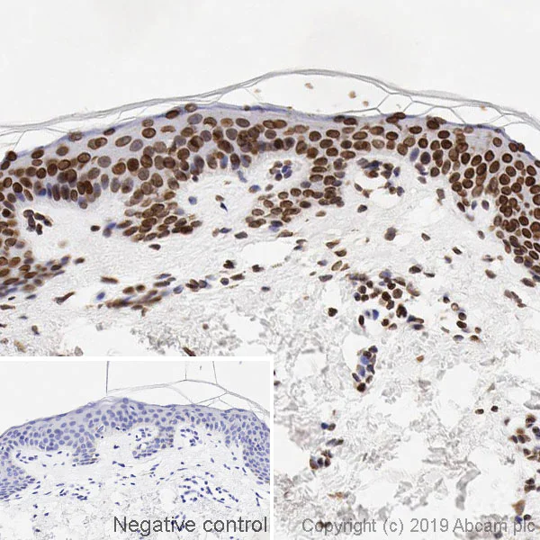
Immunohistochemistry (Formalin/PFA-fixed paraffin-embedded sections) - Nuclear Marker (Lamin A + C, SC35, KDM1/LSD1, Fibrillarin, HP1 alpha) Antibody Sampler Panel (AB263467)
  • IHC-P

Unknown

Immunohistochemistry (Formalin/PFA-fixed paraffin-embedded sections) - Nuclear Marker (Lamin A + C, SC35, KDM1/LSD1, Fibrillarin, HP1 alpha) Antibody Sampler Panel (AB263467)

Immunohistochemical staining of paraffin embedded human stomach carcinoma with purified ab129195 at a working dilution of 1/50. The secondary antibody used is ab97051, a goat anti-rabbit IgG (H&L) at a dilution of 1/500. The sample is counter-stained with hematoxylin. Antigen retrieval was perfomed using Tris-EDTA buffer, pH 9.0. PBS was used instead of the primary antibody as the negative control, and is shown in the inset.

Key facts

Reacts with

Human

Target

LMNA

target

Product details

Nuclear Marker (Lamin A + C, SC35, KDM1/LSD1, Fibrillarin, HP1 alpha) Antibody Sampler Panel ab263467 contains multiple trial-sized versions of anti-human antibody clones against Lamin A + C, SC35, KDM1/LSD1, Fibrillarin and HP1 alpha specifically selected for high performance in various applications. This panel contains 4 recombinant rabbit monoclonal antibodies against Lamin A + C, KDM1/LSD1, Fibrillarin and HP1 alpha and 2 mouse monoclonal antibody against Lamin A + C and SC35. Most of the clones in this panel also react with mouse and rat (please refer to each individual datasheet). They are provided as a sampler panel to allow you to easily evaluate each antibody.

For guidelines on how to use each antibody within the panel, please consult the individual datasheet for each antibody.

Panel contains:

- Rabbit monoclonal [EPR4100] to Lamin A + C - Nuclear Envelope Marker (20 μL) ab108595

- Mouse monoclonal [4C11] to Lamin A + C (20 μg) ab238303

- Mouse monoclonal [SC-35] to SC35 - Nuclear Speckle Marker (20 μg) ab11826

- Rabbit monoclonal [EPR6825] to KDM1 / LSD1 - Nuclear Marker (20 μL) ab129195

- Rabbit monoclonal [EPR10823(B)] to Fibrillarin - Nucleolar Marker (20 μL) ab166630

- Rabbit monoclonal [EPR5777] to HP1 alpha - Heterochromatin marker (20 μL) ab109028

Explore our range of antibody sample panels designed to provide you with a variety of trial-size antibodies in a convenient and cost-effective format.

Carrier-free formulations of our recombinant antibodies are also available for easy conjugation to labels of your choice and for multiplex applications. Use our intuitive search and select carrier-free or your label of choice. For bespoke conjugations or large volumes email bespoke@abcam.com.

What's included?

{ "values": { "1Kit": { "sellingSize": "1 Kit", "publicAssetCode":"ab263467-1Kit", "assetComponentDetails": [ { "size":"2 x 10 µL", "name":"Anti-HP1 alpha antibody [EPR5777] - Heterochromatin marker", "number":"AB263467-CMP05", "productcode":"AB109028" }, { "size":"2 x 10 µg", "name":"Anti-SC35 antibody [SC-35] - Nuclear Speckle Marker", "number":"AB263467-CMP02", "productcode":"AB11826" }, { "size":"2 x 10 µL", "name":"Anti-KDM1 / LSD1 antibody [EPR6825] - Nuclear Marker", "number":"AB263467-CMP04", "productcode":"AB129195" }, { "size":"2 x 10 µL", "name":"Anti-Lamin A + C antibody [EPR4100] - Nuclear Envelope Marker", "number":"AB263467-CMP06", "productcode":"AB108595" }, { "size":"2 x 10 µg", "name":"Anti-Lamin A + C antibody [4C11]", "number":"AB263467-CMP01", "productcode":"AB238303" }, { "size":"2 x 10 µL", "name":"Anti-Fibrillarin antibody [EPR10823(B)] - Nucleolar Marker", "number":"AB263467-CMP03", "productcode":"AB166630" } ] } } }

Properties and storage information

Shipped at conditions
Blue Ice
Appropriate short-term storage conditions
-20°C
Appropriate long-term storage conditions
-20°C
Storage information
-20°C

Supplementary information

This supplementary information is collated from multiple sources and compiled automatically.

HP1 alpha also known as Heterochromatin Protein 1 Alpha is a chromatin-associated protein involved in modifying the structural organization of chromatin. It has a mass of around 22 to 25 kDa and predominantly expresses in the nucleus. HP1 alpha interacts with histone H3 through methylation marks at lysine 9 contributing to chromatin compaction and epigenetic regulation. Fibrillarin with an estimated mass of 34 kDa is a nucleolar protein involved in rRNA processing and a component of small nucleolar ribonucleoproteins (snoRNPs). Lamin A and Lamin C splice variants with molecular masses of about 74 kDa and 65 kDa respectively are intermediate filament proteins forming nuclear lamina essential for maintaining nuclear envelope integrity. SC35 also known as SRSF2 is part of the splicing machinery within the nuclear speckles. KDM1/LSD1 (Lysine-specific demethylase 1) is expressed mainly in the nucleus as well with a mass of approximately 95 kDa.
Biological function summary

HP1 alpha plays a significant role in gene silencing and chromatin remodeling. It often forms complexes with other regulatory proteins like KAP1 and SUV39H1 to influence transcriptional repression. Fibrillarin is important in ribosome biogenesis pivotal for cell growth and proliferation. Lamin A and Lamin C form networks critical in organizing nuclear architecture and regulate processes such as DNA replication and transcription through their scaffold-like structure. SC35 is integral in mRNA splicing and also impacts alternative splicing impacting gene expression regulation. KDM1/LSD1 acts as a demethylase influencing gene expression by removing methyl groups from histone marks affecting cell differentiation and development.

Pathways

HP1 alpha integrates into chromatin modification pathways influencing transcriptional regulation through interactions with proteins such as histone deacetylases. Fibrillarin actively participates in ribosomal RNA processing pathways affecting ribosome assembly and protein synthesis capacity of the cell. Lamin A and Lamin C are linked to cell cycle progression pathways ensuring proper nuclear shape and size. SC35 has important roles in the splicing pathways affecting RNA processing and subsequently impacting gene expression levels. KDM1/LSD1 functions within epigenetic regulation pathways which control gene expression patterns through histone modification.

Mutations or dysregulation involving Lamin A/C can result in laminopathies such as muscular dystrophy and Hutchinson-Gilford Progeria Syndrome. Lamin A/C's integral role in nuclear stability connects it to these structural disorders. Abnormal KDM1/LSD1 activity links to neurodegenerative diseases due to its role in chromatin remodeling and transcription regulation. SC35 misregulation has associations with some cancers influencing tumor behavior by affecting splicing. Increased expression of HP1 alpha correlates with certain aggressive cancer types due to its impact on chromatin state and gene silencing interacting with key oncogenes.

Product protocols

Target data

Lamin-A/C. Lamins are intermediate filament proteins that assemble into a filamentous meshwork, and which constitute the major components of the nuclear lamina, a fibrous layer on the nucleoplasmic side of the inner nuclear membrane (PubMed : 10080180, PubMed : 10580070, PubMed : 10587585, PubMed : 10814726, PubMed : 11799477, PubMed : 12075506, PubMed : 12927431, PubMed : 15317753, PubMed : 18551513, PubMed : 18611980, PubMed : 2188730, PubMed : 22431096, PubMed : 2344612, PubMed : 23666920, PubMed : 24741066, PubMed : 31434876, PubMed : 31548606, PubMed : 37788673, PubMed : 37832547). Lamins provide a framework for the nuclear envelope, bridging the nuclear envelope and chromatin, thereby playing an important role in nuclear assembly, chromatin organization, nuclear membrane and telomere dynamics (PubMed : 10080180, PubMed : 10580070, PubMed : 10587585, PubMed : 10814726, PubMed : 11799477, PubMed : 12075506, PubMed : 12927431, PubMed : 15317753, PubMed : 18551513, PubMed : 18611980, PubMed : 22431096, PubMed : 23666920, PubMed : 24741066, PubMed : 31548606, PubMed : 37788673, PubMed : 37832547). Lamin A and C also regulate matrix stiffness by conferring nuclear mechanical properties (PubMed : 23990565, PubMed : 25127216). The structural integrity of the lamina is strictly controlled by the cell cycle, as seen by the disintegration and formation of the nuclear envelope in prophase and telophase, respectively (PubMed : 2188730, PubMed : 2344612). Lamin A and C are present in equal amounts in the lamina of mammals (PubMed : 10080180, PubMed : 10580070, PubMed : 10587585, PubMed : 10814726, PubMed : 11799477, PubMed : 12075506, PubMed : 12927431, PubMed : 15317753, PubMed : 18551513, PubMed : 18611980, PubMed : 22431096, PubMed : 23666920, PubMed : 31548606). Also invoved in DNA repair : recruited by DNA repair proteins XRCC4 and IFFO1 to the DNA double-strand breaks (DSBs) to prevent chromosome translocation by immobilizing broken DNA ends (PubMed : 31548606). Required for normal development of peripheral nervous system and skeletal muscle and for muscle satellite cell proliferation (PubMed : 10080180, PubMed : 10814726, PubMed : 11799477, PubMed : 18551513, PubMed : 22431096). Required for osteoblastogenesis and bone formation (PubMed : 12075506, PubMed : 15317753, PubMed : 18611980). Also prevents fat infiltration of muscle and bone marrow, helping to maintain the volume and strength of skeletal muscle and bone (PubMed : 10587585). Required for cardiac homeostasis (PubMed : 10580070, PubMed : 12927431, PubMed : 18611980, PubMed : 23666920).. Prelamin-A/C. Prelamin-A/C can accelerate smooth muscle cell senescence (PubMed : 20458013). It acts to disrupt mitosis and induce DNA damage in vascular smooth muscle cells (VSMCs), leading to mitotic failure, genomic instability, and premature senescence (PubMed : 20458013).
See full target information LMNA

Additional targets

SRSF2,KDM1A,FBL,CBX5

Publications (1)

Recent publications for all applications. Explore the full list and refine your search

International journal of molecular sciences 24: PubMed37958809

2023

mRNA and Protein Expression in Human Fetal Membrane Cells: Potential Biomarkers for Preterm Prelabor Rupture of the Fetal Membranes?

Applications

Unspecified application

Species

Unspecified reactive species

Emmeli Mikkelsen,Berthold Huppertz,Ripudaman Singh,Katarina Ravn,Lotte Hatt,Mogens Kruhøffer,Rheanna Urrabaz-Garza,Niels Uldbjerg,Ramkumar Menon,Torben Steiniche
View all publications

Product promise

We are committed to supporting your work with high-quality reagents, and we're here for you every step of the way. In the unlikely event that one of our products does not perform as expected, you're protected by our Product Promise.
For full details, please see our Terms & Conditions

Please note: All products are 'FOR RESEARCH USE ONLY. NOT FOR USE IN DIAGNOSTIC OR THERAPEUTIC PROCEDURES'.

For licensing inquiries, please contact partnerships@abcam.com