JavaScript is disabled in your browser. Please enable JavaScript to view this website.
AB252192

PD1 Antibody Panel (EPR4877(2), SP269, CAL20, NAT105, NAT105-EPR21106)

Be the first to review this product! Submit a review

|

(2 Publications)

PD1 Antibody Panel (EPR4877(2), SP269, CAL20, NAT105, NAT105-EPR21106) (ab252192) is part of the multiplex kits range. Abcam offers high-quality biological reagents and tools including antibodies, proteins, assays, cell lines and lysates.
4 Images
Immunohistochemistry (Formalin/PFA-fixed paraffin-embedded sections) - PD1 Antibody Panel (EPR4877(2), SP269, CAL20, NAT105, NAT105-EPR21106) (AB252192)
  • IHC-P

Supplier Data

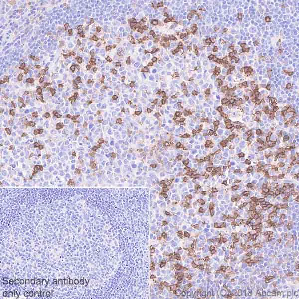
Immunohistochemistry (Formalin/PFA-fixed paraffin-embedded sections) - PD1 Antibody Panel (EPR4877(2), SP269, CAL20, NAT105, NAT105-EPR21106) (AB252192)

Immunohistochemical analysis of paraffin-embedded human tonsil tissue labeling PD1 with ab216352 at 1/50 dilution, followed by Rabbit specific IHC polymer detection kit HRP/DAB (ab209101) ready to use. Positive staining on T cells of human tonsil germinal center (PMID : 20087161; PMID : 17640856) is observed. Counter stained with hematoxylin.

Secondary antibody only control : Used PBS instead of primary antibody, secondary antibody is Rabbit specific IHC polymer detection kit HRP/DAB (ab209101) ready to use.

Perform antigen retrieval using Universal HIER antigen retrieval reagents (10X) (ab208572).

Immunohistochemistry (Formalin/PFA-fixed paraffin-embedded sections) - PD1 Antibody Panel (EPR4877(2), SP269, CAL20, NAT105, NAT105-EPR21106) (AB252192)
  • IHC-P

Unknown

Immunohistochemistry (Formalin/PFA-fixed paraffin-embedded sections) - PD1 Antibody Panel (EPR4877(2), SP269, CAL20, NAT105, NAT105-EPR21106) (AB252192)

Immunohistochemistry (Formalin/PFA-fixed paraffin-embedded sections) analysis of human tonsil tissue labelling PD1 with ab137132 at a dilution of 1/500. Heat mediated antigen retrieval was performed using EDTA antigen retrieval solution, and microwave treatment for 20 min at 20% power. Anti-Rabbit HRP polymer was used as secondary antibody. Opal tyramide amplification was performed using Opal 540 fluorophore. Counterstained with DAPI stain.

Image scanned with Vectra 3.0 and analyzed via Inform software.

This image was courteously provided by Dr. Houssein Abdul Sater, Georgia Cancer Center.

Immunohistochemistry (Formalin/PFA-fixed paraffin-embedded sections) - PD1 Antibody Panel (EPR4877(2), SP269, CAL20, NAT105, NAT105-EPR21106) (AB252192)
  • IHC-P

Supplier Data

Immunohistochemistry (Formalin/PFA-fixed paraffin-embedded sections) - PD1 Antibody Panel (EPR4877(2), SP269, CAL20, NAT105, NAT105-EPR21106) (AB252192)

Formalin-fixed, paraffin-embedded human lymph node tissue stained for PD1 using ab237728 at 0.125 μg/ml dilution in immunohistochemical analysis.

Immunohistochemistry (Formalin/PFA-fixed paraffin-embedded sections) - PD1 Antibody Panel (EPR4877(2), SP269, CAL20, NAT105, NAT105-EPR21106) (AB252192)
  • IHC-P

Supplier Data

Immunohistochemistry (Formalin/PFA-fixed paraffin-embedded sections) - PD1 Antibody Panel (EPR4877(2), SP269, CAL20, NAT105, NAT105-EPR21106) (AB252192)

Formalin-fixed, paraffin-embedded human tonsil tissue stained for PD1 using ab227681 at 1/100 dilution in immunohistochemical analysis.

Key facts

Reacts with

Human

Product details

PD1 Antibody Panel ab252192 contains multiple trial-sized versions of anti-human antibody clones against PD1, specifically selected for high performance in IHC. This panel contains 5 recombinant rabbit and mouse monoclonal antibodies against human PD1. They are provided in trial sizes to allow you to easily evaluate which is the best PD1 antibody for your IHC research assay needs.

For guidelines on how to use each antibody within the panel, please consult the individual datasheet for each antibody.

Panel contains:

- Rabbit monoclonal [CAL20] to PD1 (20 μL) ab237728

- Rabbit monoclonal [EPR4877(2)] to PD1 (20 μL) ab137132

- Mouse monoclonal [NAT105] to PD1 (20 μL) ab52587

- Rabbit monoclonal [NAT105-EPR21106] to PD1 - Chimeric (20 μL) ab216352

- Rabbit monoclonal [SP269] to PD1 (20 μL) ab227681

Explore our range of antibody sample panels designed to provide you with a variety of trial-size antibodies in a convenient and cost-effective format.

Carrier-free formulations of our recombinant antibodies are also available for easy conjugation to labels of your choice and for multiplex applications. Use our intuitive search and select carrier-free or your label of choice. For bespoke conjugations or large volumes email bespoke@abcam.com.

Patented technology
Our RabMAb® technology is a patented hybridoma-based technology for making rabbit monoclonal antibodies. For details on our patents, please refer to RabMAb® patents.

What's included?

{ "values": { "1Kit": { "sellingSize": "1 Kit", "publicAssetCode":"ab252192-1Kit", "assetComponentDetails": [ { "size":"1 x 20 µg", "name":"Anti-PD1 antibody [NAT105]", "number":"AB252192-CMP01", "productcode":"AB52587" }, { "size":"2 x 10 µL", "name":"Anti-PD1 antibody [SP269]", "number":"AB252192-CMP02", "productcode":"AB227681" }, { "size":"2 x 10 µL", "name":"Anti-PD1 antibody [EPR4877(2)]", "number":"AB252192-CMP03", "productcode":"AB137132" }, { "size":"2 x 10 µL", "name":"Anti-PD1 antibody [NAT105-EPR21106] - Chimeric", "number":"AB252192-CMP05", "productcode":"AB216352" }, { "size":"2 x 10 µL", "name":"Anti-PD1 antibody [CAL20]", "number":"AB252192-CMP04", "productcode":"AB237728" } ] } } }

Properties and storage information

Shipped at conditions
Blue Ice
Appropriate short-term storage conditions
+4°C
Appropriate long-term storage conditions
+4°C
Storage information
+4°C

Supplementary information

This supplementary information is collated from multiple sources and compiled automatically.

PD1 also known as Programmed Cell Death Protein 1 or PDCD1 is a transmembrane protein that plays a critical role in regulating immune responses. It has a mass of approximately 55 kDa. PD1 is expressed on the surface of T cells B cells and some myeloid cells. PD1’s expression increases upon activation of these immune cells assisting in maintaining peripheral tolerance. Researchers often use PD1 mouse models and chimeric antibodies to explore the function of PD1 for experimental purposes. Antibodies such as anti-PD1 such as EH12.2H7 help in blocking PD1 interaction to study its role further.
Biological function summary

PD1 serves as an inhibitory receptor acting as a checkpoint in the immune system. It becomes part of an immune-suppressive complex when it binds with its ligands PD-L1 or PD-L2 which are expressed on various cell types including some tumor cells. This interaction suppresses the proliferation of T cells and cytokine production contributing to immune homeostasis. By controlling T cell activity PD1 limits autoimmunity but can also reduce the immune system's capability to attack cancer cells.

Pathways

PD1 functions in the immune checkpoint pathway a critical regulatory circuit in immune regulation. The engagement of PD1 with its ligands initiates a cascade that inhibits the function and proliferation of T cells through downstream SHP-2 phosphatase activity. This pathway frequently involves other regulatory proteins like CTLA-4 and is an important mechanism by which the body modulates immune responses. Related pathways often intersect with those involving T cell receptor signaling and contribute to the overall modulation of immune activity.

PD1 has a significant role in cancer and autoimmune disorders. PD1 expression can allow tumors to evade immune surveillance making PD1 a target for cancer therapies such as anti-PD1 antibodies which aim to block PD1 and restore T cell activity. The interaction of PD1 with cancer-related proteins like PD-L1 facilitates tumor immune evasion. In autoimmune disorders PD1’s regulation of immune balance can become dysregulated leading to persistent immune activation and tissue damage. Understanding PD1 and its interaction with proteins such as PD-L1 helps in developing therapeutic strategies for both cancer and autoimmune conditions.

Product protocols

Target data

Publications (2)

Recent publications for all applications. Explore the full list and refine your search

Cell reports. Medicine 4:100883 PubMed36630951

2023

Inherited mutations in Chinese patients with upper tract urothelial carcinoma.

Applications

Unspecified application

Species

Unspecified reactive species

Junlong Wu,Shengming Jin,Chengyuan Gu,Yu Wei,Yao Zhu,Andrea Necchi,Shahrokh F Shariat,Jian Pan,Hualei Gan,Bo Dai,Hailiang Zhang,Guohai Shi,Yu Zhu,Yijun Shen,Yiping Zhu,Dingwei Ye

Cancer management and research 12:8015-8022 PubMed32943934

2020

Moxibustion Enhances Chemotherapy of Breast Cancer by Affecting Tumor Microenvironment.

Applications

Unspecified application

Species

Unspecified reactive species

Ning Xue,Xingli Fu,Yin Zhu,Nili Da,Jianbin Zhang
View all publications

Product promise

We are committed to supporting your work with high-quality reagents, and we're here for you every step of the way. In the unlikely event that one of our products does not perform as expected, you're protected by our Product Promise.
For full details, please see our Terms & Conditions

Please note: All products are 'FOR RESEARCH USE ONLY. NOT FOR USE IN DIAGNOSTIC OR THERAPEUTIC PROCEDURES'.

For licensing inquiries, please contact partnerships@abcam.com