JavaScript is disabled in your browser. Please enable JavaScript to view this website.
AB254020

Pericyte Marker (CD31, NG2, PDGFR beta, CD146, Nestin) Antibody Panel - Human

Be the first to review this product! Submit a review

|

(1 Publication)

Pericyte Marker (CD31, NG2, PDGFR beta, CD146, Nestin) Antibody Panel - Human (ab254020) is part of the multiplex kits range. Abcam offers high-quality biological reagents and tools including antibodies, proteins, assays, cell lines and lysates.

View Alternative Names

CD31, Platelet endothelial cell adhesion molecule, PECAM-1, EndoCAM, GPIIA', PECA1, PECAM1

8 Images
Immunocytochemistry/ Immunofluorescence - Pericyte Marker (CD31, NG2, PDGFR beta, CD146, Nestin) Antibody Panel - Human (AB254020)
  • ICC/IF

Unknown

Immunocytochemistry/ Immunofluorescence - Pericyte Marker (CD31, NG2, PDGFR beta, CD146, Nestin) Antibody Panel - Human (AB254020)

ICC/IF image of ab105389 stained SKNSH cells. The cells were 4% formaldehyde fixed (10 min) and then incubated in 1%BSA / 10% normal goat serum / 0.3M glycine in 0.1% PBS-Tween for 1h to permeabilise the cells and block non-specific protein-protein interactions. The cells were then incubated with the antibody (ab105389, 1/200 dilution) overnight at +4°C. The secondary antibody (green) was ab96899, DyLight® 488 goat anti-rabbit IgG (H+L) used at a 1/250 dilution for 1h. Alexa Fluor® 594 WGA was used to label plasma membranes (red) at a 1/200 dilution for 1h. DAPI was used to stain the cell nuclei (blue) at a concentration of 1.43μM.

Immunohistochemistry (Formalin/PFA-fixed paraffin-embedded sections) - Pericyte Marker (CD31, NG2, PDGFR beta, CD146, Nestin) Antibody Panel - Human (AB254020)
  • IHC-P

Unknown

Immunohistochemistry (Formalin/PFA-fixed paraffin-embedded sections) - Pericyte Marker (CD31, NG2, PDGFR beta, CD146, Nestin) Antibody Panel - Human (AB254020)

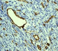
Immunohistochemical analysis of paraffin-embedded Human uterus tissue, staining CD31 using ab134168 at a 1/250 dilution. Note membrane staining of endothelial cells.

Immunohistochemistry (Formalin/PFA-fixed paraffin-embedded sections) - Pericyte Marker (CD31, NG2, PDGFR beta, CD146, Nestin) Antibody Panel - Human (AB254020)
  • IHC-P

Unknown

Immunohistochemistry (Formalin/PFA-fixed paraffin-embedded sections) - Pericyte Marker (CD31, NG2, PDGFR beta, CD146, Nestin) Antibody Panel - Human (AB254020)

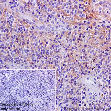
Immunohistochemical staining of paraffin embedded human spleen with purified ab32570 at a working dilution of 1/50. The secondary antibody used is ab97051, a HRP-conjugated goat anti-rabbit IgG (H+L), at a dilution of 1/500. The sample is counter-stained with hematoxylin. Antigen retrieval was perfomed using Tris-EDTA buffer, pH 9.0. PBS was used instead of the primary antibody as the negative control, and is shown in the inset.

Immunohistochemistry (Formalin/PFA-fixed paraffin-embedded sections) - Pericyte Marker (CD31, NG2, PDGFR beta, CD146, Nestin) Antibody Panel - Human (AB254020)
  • IHC-P

Supplier Data

Immunohistochemistry (Formalin/PFA-fixed paraffin-embedded sections) - Pericyte Marker (CD31, NG2, PDGFR beta, CD146, Nestin) Antibody Panel - Human (AB254020)

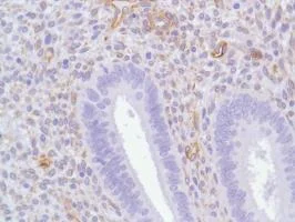
Formalin-fixed paraffin-embedded human endometrium tissue stained for Nestin using ab105389 at 1/100 dilution in immunohistochemical analysis.

Immunohistochemistry (Formalin/PFA-fixed paraffin-embedded sections) - Pericyte Marker (CD31, NG2, PDGFR beta, CD146, Nestin) Antibody Panel - Human (AB254020)
  • IHC-P

Supplier Data

Immunohistochemistry (Formalin/PFA-fixed paraffin-embedded sections) - Pericyte Marker (CD31, NG2, PDGFR beta, CD146, Nestin) Antibody Panel - Human (AB254020)

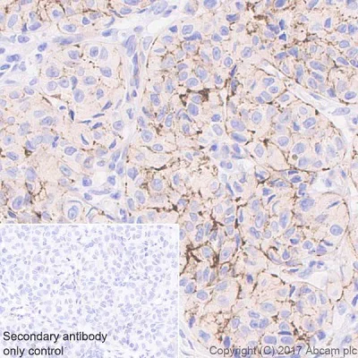
Immunohistochemical analysis of paraffin-embedded human melanoma tissue labeling NG2 with ab183929 at 1/1000 dilution, followed by Goat Anti-Rabbit IgG H&L (HRP) ready to use. Membranous and weak cytoplasmic staining on tumor cells of human melanoma (PMID : 24258997). Counter stained with hematoxylin.

Secondary antibody only control : Used PBS instead of primary antibody, Goat Anti-Rabbit IgG H&L (HRP) ready to use.

Immunocytochemistry/ Immunofluorescence - Pericyte Marker (CD31, NG2, PDGFR beta, CD146, Nestin) Antibody Panel - Human (AB254020)
  • ICC/IF

Supplier Data

Immunocytochemistry/ Immunofluorescence - Pericyte Marker (CD31, NG2, PDGFR beta, CD146, Nestin) Antibody Panel - Human (AB254020)

Immunofluorescent analysis of 100% methanol-fixed A-375 (human malignant melanoma cell line) cells labeling NG2 with ab183929 at 1/100 dilution, followed by Goat Anti-Rabbit IgG H&L (Alexa Fluor® 488) (ab150077) secondary antibody at 1/1000 dilution (green). Confocal image showing membrane staining on A-375 cell line.

The nuclear counter stain is DAPI (blue). Tubulin is detected with Anti-alpha Tubulin antibody [DM1A] - Microtubule Marker (Alexa Fluor® 594) (ab195889) (red) at 1/200 dilution.

Secondary antibody only control : Used PBS instead of primary antibody, secondary antibody is Goat Anti-Rabbit IgG H&L (Alexa Fluor® 488) (ab150077) secondary antibody at 1/1000 dilution.

Immunohistochemistry (Formalin/PFA-fixed paraffin-embedded sections) - Pericyte Marker (CD31, NG2, PDGFR beta, CD146, Nestin) Antibody Panel - Human (AB254020)
  • IHC-P

Unknown

Immunohistochemistry (Formalin/PFA-fixed paraffin-embedded sections) - Pericyte Marker (CD31, NG2, PDGFR beta, CD146, Nestin) Antibody Panel - Human (AB254020)

IHC image of CD146 staining in human aorta formalin fixed paraffin embedded tissue section, performed on a Leica BondTM system using the standard protocol F. The section was pre-treated using heat mediated antigen retrieval with sodium citrate buffer (pH6, epitope retrieval solution 1) for 20 mins. The section was then incubated with ab24577, 5μg/ml, for 15 mins at room temperature and detected using an HRP conjugated compact polymer system. DAB was used as the chromogen. The section was then counterstained with haematoxylin and mounted with DPX.

For other IHC staining systems (automated and non-automated) customers should optimize variable parameters such as antigen retrieval conditions, primary antibody concentration and antibody incubation times.

Western blot - Pericyte Marker (CD31, NG2, PDGFR beta, CD146, Nestin) Antibody Panel - Human (AB254020)
  • WB

Unknown

Western blot - Pericyte Marker (CD31, NG2, PDGFR beta, CD146, Nestin) Antibody Panel - Human (AB254020)

All lanes : Anti-Nestin antibody [SP103] (ab105389) at 1/100 dilution

Lane 1 : Wild-type HAP1 whole cell lysate

Lane 2 : NES knockout HAP1 whole cell lysate

Lysates/proteins at 20 μg per lane.

Predicted band size : 177 kDa

Lanes 1 - 2 : Merged signal (red and green). Green - ab105389 observed at 300 kDa. Red - loading control, ab18058, observed at 117 kDa.

ab105389 was shown to specifically react with NES in wild-type HAP1 cells as signal was lost in NES knockout cells. Wild-type and NES knockout samples were subjected to SDS-PAGE. ab105389 and ab18058 (Mouse anti-Vinculin loading control) were incubated overnight at 4°C at 1/100 dilution and 1/20000 dilution respectively. Blots were developed with Goat anti-Rabbit IgG H&L (IRDye® 800CW) preabsorbed ab216773 and Goat anti-Mouse IgG H&L (IRDye® 680RD) preabsorbed ab216776 secondary antibodies at 1/20000 dilution for 1 hour at room temperature before imaging.

All lanes:

Western blot - Anti-Nestin antibody [SP103] - Neural Stem Cell Marker (<a href='/en-us/products/primary-antibodies/nestin-antibody-sp103-neural-stem-cell-marker-ab105389'>ab105389</a>) at 1/100 dilution

Lane 1:

Wild-type HAP1 whole cell lysate at 20 µg

Lane 2:

NES knockout HAP1 whole cell lysate at 20 µg

Predicted band size: 177 kDa

false

Key facts

Reacts with

Human

Target

PECAM1

target

Product details

Pericyte Marker (CD31, NG2, PDGFR beta, CD146, Nestin) Antibody Panel - Human ab254020 contains multiple trial-sized versions of anti-human antibody clones against CD31, NG2, PDGFR beta, CD146, Nestin, specifically selected for high performance in various applications. This panel contains 4 recombinant rabbit antibodies against human CD31, NG2, PDGFR beta and Nestin and 1 mouse monoclonal antibody against human CD146. They are provided as a sampler panel to allow you to easily evaluate each in your required applications.

For guidelines on how to use each antibody within the panel, please consult the individual datasheet for each antibody.

Panel contains:

- Rabbit monoclonal [EP3095] to CD31 (20 μL) ab134168

- Rabbit monoclonal [EPR20244] to NG2 (20 μL) ab183929

- Rabbit monoclonal [Y92] to PDGFR beta - C-terminal (20 μL) ab32570

- Mouse monoclonal [P1H12] to CD146 (20 μg) ab24577

- Rabbit monoclonal [SP103] to Nestin (20 μL) ab105389

Explore our range of antibody sample panels designed to provide you with a variety of trial-size antibodies in a convenient and cost-effective format.

Carrier-free formulations of our recombinant antibodies are also available for easy conjugation to labels of your choice and for multiplex applications. Use our intuitive search and select carrier-free or your label of choice. For bespoke conjugations or large volumes email bespoke@abcam.com.

Patented technology
Our RabMAb® technology is a patented hybridoma-based technology for making rabbit monoclonal antibodies. For details on our patents, please refer to RabMAb® patents.

What's included?

{ "values": { "1Kit": { "sellingSize": "1 Kit", "publicAssetCode":"ab254020-1Kit", "assetComponentDetails": [ { "size":"2 x 10 µg", "name":"Anti-CD146 antibody [P1H12]", "number":"AB254020-CMP01", "productcode":"AB24577" }, { "size":"2 x 10 µL", "name":"Anti-PDGFR beta antibody [Y92] - C-terminal", "number":"AB254020-CMP03", "productcode":"AB32570" }, { "size":"2 x 10 µL", "name":"Anti-Nestin antibody [SP103]", "number":"AB254020-CMP02", "productcode":"AB105389" }, { "size":"2 x 10 µL", "name":"Anti-NG2 antibody [EPR20244]", "number":"AB254020-CMP04", "productcode":"AB183929" }, { "size":"2 x 10 µL", "name":"Anti-CD31 antibody [EP3095]", "number":"AB254020-CMP05", "productcode":"AB134168" } ] } } }

Properties and storage information

Shipped at conditions
Blue Ice
Appropriate short-term storage conditions
-20°C
Appropriate long-term storage conditions
-20°C
Storage information
-20°C

Product protocols

Target data

Cell adhesion molecule which is required for leukocyte transendothelial migration (TEM) under most inflammatory conditions (PubMed : 17580308, PubMed : 19342684). Tyr-690 plays a critical role in TEM and is required for efficient trafficking of PECAM1 to and from the lateral border recycling compartment (LBRC) and is also essential for the LBRC membrane to be targeted around migrating leukocytes (PubMed : 19342684). Trans-homophilic interaction may play a role in endothelial cell-cell adhesion via cell junctions (PubMed : 27958302). Heterophilic interaction with CD177 plays a role in transendothelial migration of neutrophils (PubMed : 17580308). Homophilic ligation of PECAM1 prevents macrophage-mediated phagocytosis of neighboring viable leukocytes by transmitting a detachment signal (PubMed : 12110892). Promotes macrophage-mediated phagocytosis of apoptotic leukocytes by tethering them to the phagocytic cells; PECAM1-mediated detachment signal appears to be disabled in apoptotic leukocytes (PubMed : 12110892). Modulates bradykinin receptor BDKRB2 activation (PubMed : 18672896). Regulates bradykinin- and hyperosmotic shock-induced ERK1/2 activation in endothelial cells (PubMed : 18672896). Induces susceptibility to atherosclerosis (By similarity).. Isoform Delta15. Does not protect against apoptosis.
See full target information PECAM1

Additional targets

CSPG4,PDGFRB,MCAM,NES

Publications (1)

Recent publications for all applications. Explore the full list and refine your search

Heliyon 9:e22656 PubMed38125461

2023

Comprehensive analysis of single-cell and bulk RNA-sequencing data identifies B cell marker genes signature that predicts prognosis and analysis of immune checkpoints expression in head and neck squamous cell carcinoma.

Applications

Unspecified application

Species

Unspecified reactive species

Dilinaer Wusiman,Wenbin Li,Lei Guo,Zehao Huang,Yi Zhang,Xiwei Zhang,Xiaohui Zhao,Lin Li,Zhaohong An,Zhengjiang Li,Jianming Ying,Changming An
View all publications

Product promise

We are committed to supporting your work with high-quality reagents, and we're here for you every step of the way. In the unlikely event that one of our products does not perform as expected, you're protected by our Product Promise.
For full details, please see our Terms & Conditions

Please note: All products are 'FOR RESEARCH USE ONLY. NOT FOR USE IN DIAGNOSTIC OR THERAPEUTIC PROCEDURES'.

For licensing inquiries, please contact partnerships@abcam.com