JavaScript is disabled in your browser. Please enable JavaScript to view this website.
AB254025

Plasma Membrane Marker (Na/K ATPase, pan Cadherin, PMCA1) Antibody Sampler Panel - Human, Mouse

Be the first to review this product! Submit a review

|

(7 Publications)

Plasma Membrane Marker (Na/K ATPase, pan Cadherin, PMCA1) Antibody Sampler Panel - Human, Mouse (ab254025) is part of the multiplex kits range. Abcam offers high-quality biological reagents and tools including antibodies, proteins, assays, cell lines and lysates.

View Alternative Names

Sodium/potassium-transporting ATPase subunit alpha-1, Na(+)/K(+) ATPase alpha-1 subunit, Sodium pump subunit alpha-1, ATP1A1

6 Images
Immunohistochemistry (Formalin/PFA-fixed paraffin-embedded sections) - Plasma Membrane Marker (Na/K ATPase, pan Cadherin, PMCA1) Antibody Sampler Panel - Human, Mouse (AB254025)
  • IHC-P

Supplier Data

Immunohistochemistry (Formalin/PFA-fixed paraffin-embedded sections) - Plasma Membrane Marker (Na/K ATPase, pan Cadherin, PMCA1) Antibody Sampler Panel - Human, Mouse (AB254025)

Immunohistochemical analysis of paraffin-embedded Human stomach tissue labeling PMCA1 with ab190355 at 1/500 dilution. A prediluted HRP Polymer for Rabbit IgG as secondary antibody. Counterstained with Hematoxylin. Negative control also shown.

Immunocytochemistry/ Immunofluorescence - Plasma Membrane Marker (Na/K ATPase, pan Cadherin, PMCA1) Antibody Sampler Panel - Human, Mouse (AB254025)
  • ICC/IF

Unknown

Immunocytochemistry/ Immunofluorescence - Plasma Membrane Marker (Na/K ATPase, pan Cadherin, PMCA1) Antibody Sampler Panel - Human, Mouse (AB254025)

ICC/IF image of ab22744 stained human HeLa cells. The cells were methanol fixed (5 min) and incubated with the antibody (ab22744, 5μg/ml) for 1h at room temperature. The secondary antibody (green) was Alexa Fluor® 488 goat anti-mouse IgG (H+L) used at a 1/1000 dilution for 1h. Image-iTTM FX Signal Enhancer was used as the primary blocking agent, 5% BSA (in TBS-T) was used for all other blocking steps. DAPI was used to stain the cell nuclei (blue). Alexa Fluor® 594 phalloidin was used to label F-actin (red).

Immunocytochemistry/ Immunofluorescence - Plasma Membrane Marker (Na/K ATPase, pan Cadherin, PMCA1) Antibody Sampler Panel - Human, Mouse (AB254025)
  • ICC/IF

PubMed

Immunocytochemistry/ Immunofluorescence - Plasma Membrane Marker (Na/K ATPase, pan Cadherin, PMCA1) Antibody Sampler Panel - Human, Mouse (AB254025)

T84 cells (human) cultured on 8-well chamber slides were washed once with ice-cold PBS then fixed with 4% paraformaldehyde for 30 min at 4°C. After fixation cells were permeabilized with 0.5% Triton X-100 for 5 min at room temperature and washed with PBS three times. Following blocking with 2% FCS in PBS for 1 hour at room temperature primary antibody staining was performed at 4°C overnight at 1/200 dilution. Cells were then incubated with protein fractions B12 and C5 at 5x dilutions in fresh media for 1 hour at 37°C. Cells were then fixed permeabilized and co-stained with fiber and sodium potassium ATPase. The nuclei were stained with DAPI using Vectachield mounting medium. Cells were visualized using Zeiss confocal microscopy LSM700.

Fiber molecules were found to be predominantly intracellularly following B12 treatment.

For full image see PubMed : 25723153.

Zhang B et al., PLoS One, 10, e0117976, 2015 Reproduced under the Creative Commons license http://creativecommons.org/licenses/by/4.0/

Immunohistochemistry (Formalin/PFA-fixed paraffin-embedded sections) - Plasma Membrane Marker (Na/K ATPase, pan Cadherin, PMCA1) Antibody Sampler Panel - Human, Mouse (AB254025)
  • IHC-P

Unknown

Immunohistochemistry (Formalin/PFA-fixed paraffin-embedded sections) - Plasma Membrane Marker (Na/K ATPase, pan Cadherin, PMCA1) Antibody Sampler Panel - Human, Mouse (AB254025)

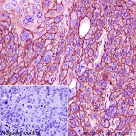
Immunohistochemical staining of paraffin embedded human cervical carcinoma with purified ab76020 at a working dilution of 1 in 100. The secondary antibody used is a HRP conjugated goat anti-rabbit IgG (H+L), ab97051, at a dilution of 1/500. The sample is counter-stained with hematoxylin. Antigen retrieval was perfomed using Tris-EDTA buffer, pH 9.0. PBS was used instead of the primary antibody as the negative control, and is shown in the inset.

Immunohistochemistry (Formalin/PFA-fixed paraffin-embedded sections) - Plasma Membrane Marker (Na/K ATPase, pan Cadherin, PMCA1) Antibody Sampler Panel - Human, Mouse (AB254025)
  • IHC-P

Unknown

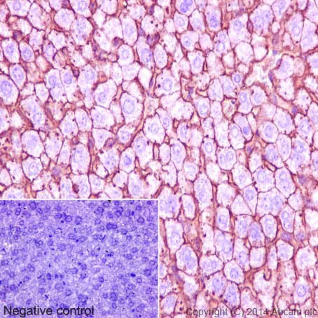
Immunohistochemistry (Formalin/PFA-fixed paraffin-embedded sections) - Plasma Membrane Marker (Na/K ATPase, pan Cadherin, PMCA1) Antibody Sampler Panel - Human, Mouse (AB254025)

Immunohistochemical staining of paraffin embedded mouse liver with purified ab76020 at a working dilution of 1 in 100. The secondary antibody used is a HRP conjugated goat anti-rabbit IgG (H+L) ab97051 at a dilution of 1/500. The sample is counter-stained with hematoxylin. Antigen retrieval was perfomed using Tris-EDTA buffer pH 9.0. PBS was used instead of the primary antibody as the negative control and is shown in the inset.

Immunohistochemistry (Formalin/PFA-fixed paraffin-embedded sections) - Plasma Membrane Marker (Na/K ATPase, pan Cadherin, PMCA1) Antibody Sampler Panel - Human, Mouse (AB254025)
  • IHC-P

Supplier Data

Immunohistochemistry (Formalin/PFA-fixed paraffin-embedded sections) - Plasma Membrane Marker (Na/K ATPase, pan Cadherin, PMCA1) Antibody Sampler Panel - Human, Mouse (AB254025)

IHC image of ab7671 staining in Human Kidney Carcinoma formalin fixed paraffin embedded tissue section, performed on a Leica BondTM system using the standard protocol F. The section was pre-treated using heat mediated antigen retrieval with sodium citrate buffer (pH6, epitope retrieval solution 1) for 20 mins. The section was then incubated with ab7671, 5μg/ml, for 15 mins at room temperature and detected using an HRP conjugated compact polymer system. DAB was used as the chromogen. The section was then counterstained with haematoxylin and mounted with DPX.

For other IHC staining systems (automated and non-automated) customers should optimize variable parameters such as antigen retrieval conditions, primary antibody concentration and antibody incubation times.

Key facts

Reacts with

Mouse, Human

Target

ATP1A1

target

Product details

Plasma Membrane Marker (Na/K ATPase, pan Cadherin, PMCA1) Antibody Sampler Panel - Human, Mouse ab254025 contains multiple trial-sized versions of anti-human and mouse antibody clones against Na/K ATPase, pan Cadherin, PMCA1, specifically selected for high performance in various applications. This panel contains 3 recombinant rabbit monoclonal antibodies against Na K ATPase, pan Cadherin, PMCA1 and 2 mouse monclonals against Na K ATPase, Cadherin. They are provided as a sampler panel to allow you to easily evaluate each in your required applications.

For guidelines on how to use each antibody within the panel, please consult the individual datasheet for each antibody.

Panel contains:

- Rabbit monoclonal [EP1845Y] to Sodium Potassium ATPase - Plasma Membrane Loading Control (20 μL) ab76020

- Mouse monoclonal [464.6] to alpha 1 Sodium Potassium ATPase (20 μg) ab7671

- Rabbit monoclonal [EPR1792Y] to pan Cadherin - Intercellular Junction Marker (20 μL) ab51034

- Mouse monoclonal [mAbcam22744] to pan Cadherin (20 μg) ab22744

- Rabbit monoclonal [EPR12029] to PMCA1 (20 μL) ab190355

Explore our range of antibody sample panels designed to provide you with a variety of trial-size antibodies in a convenient and cost-effective format.

Carrier-free formulations of our recombinant antibodies are also available for easy conjugation to labels of your choice and for multiplex applications. Use our intuitive search and select carrier-free or your label of choice. For bespoke conjugations or large volumes email bespoke@abcam.com.

Patented technology
Our RabMAb® technology is a patented hybridoma-based technology for making rabbit monoclonal antibodies. For details on our patents, please refer to RabMAb® patents.

What's included?

{ "values": { "1Kit": { "sellingSize": "1 Kit", "publicAssetCode":"ab254025-1Kit", "assetComponentDetails": [ { "size":"2 x 10 µg", "name":"Anti-pan Cadherin antibody [mAbcam22744]", "number":"AB254025-CMP01", "productcode":"AB22744" }, { "size":"2 x 10 µL", "name":"Anti-PMCA1 antibody [EPR12029]", "number":"AB254025-CMP04", "productcode":"AB190355" }, { "size":"2 x 10 µL", "name":"Anti-Sodium Potassium ATPase antibody [EP1845Y] - Plasma Membrane Loading Control", "number":"AB254025-CMP03", "productcode":"AB76020" }, { "size":"2 x 10 µL", "name":"Anti-pan Cadherin antibody [EPR1792Y] - Intercellular Junction Marker", "number":"AB254025-CMP05", "productcode":"AB51034" }, { "size":"2 x 10 µg", "name":"Anti-alpha 1 Sodium Potassium ATPase antibody [464.6] - Plasma Membrane Marker", "number":"AB254025-CMP02", "productcode":"AB7671" } ] } } }

Properties and storage information

Shipped at conditions
Blue Ice
Appropriate short-term storage conditions
-20°C
Appropriate long-term storage conditions
-20°C
Storage information
-20°C

Supplementary information

This supplementary information is collated from multiple sources and compiled automatically.

Pan Cadherin Sodium Potassium ATPase PMCA1 and Alpha 1 Sodium Potassium ATPase are essential membrane proteins with primary roles in cellular functions. Pan Cadherins are proteins involved in cell-cell adhesion helping maintain the structure of tissue. Sodium Potassium ATPase often called the Na+/K+ pump is a vital transporter involved in maintaining the electrochemical gradients of sodium and potassium ions across the plasma membrane. This ATPase is made up of alpha and beta subunits with the alpha 1 subunit having a mass of approximately 100 kDa. PMCA1 or Plasma Membrane Calcium ATPase 1 actively removes calcium from the cell interior contributing to calcium homeostasis. These proteins find expression in various tissues and cell types particularly on the plasma membrane serving as critical plasma membrane markers.
Biological function summary

These proteins contribute to essential cellular processes such as signaling volume regulation and ion homeostasis. Pan Cadherins interact with actin filaments forming complexes with catenins to facilitate adhesion and signaling. Sodium Potassium ATPase serves multiple functions such as controlling cell volume and generating resting membrane potential important for nerve impulse transmission. It forms a complex with other proteins such as ankyrin and spectrin contributing to its transport function. PMCA1 regulates intracellular calcium levels forming complexes with calmodulin regulating numerous cellular processes including muscle contraction and neurotransmitter release.

Pathways

Sodium Potassium ATPase plays a significant role in pathways that involve ion transport and membrane potential regulation. It is integral to the WNT signaling pathway influencing cellular events such as proliferation and differentiation. Related proteins like NCX (Sodium Calcium Exchanger) also participate in these pathways ensuring the balance of ions and cellular homeostasis. PMCA1 is known to be involved in calcium signaling pathways critical for managing cellular responses and interactions with proteins like calmodulin and SERCA (Sarcoplasmic/Endoplasmic Reticulum Calcium ATPase).

These proteins significantly impact cardiovascular diseases and neurological conditions. Sodium Potassium ATPase malfunctions link to hypertension and cardiac fibrosis due to its role in blood pressure regulation and heart function. In these conditions proteins like angiotensin-converting enzyme (ACE) associate with Sodium Potassium ATPase activity. Dysfunction in PMCA1 can lead to neurodegenerative diseases given its role in maintaining calcium homeostasis within neurons. Proteins such as alpha-synuclein and tau which correlate with neurological conditions are impacted by altered calcium levels managed by PMCA1.

Product protocols

Target data

This is the catalytic component of the active enzyme, which catalyzes the hydrolysis of ATP coupled with the exchange of sodium and potassium ions across the plasma membrane. This action creates the electrochemical gradient of sodium and potassium ions, providing the energy for active transport of various nutrients (PubMed : 29499166, PubMed : 30388404). Could also be part of an osmosensory signaling pathway that senses body-fluid sodium levels and controls salt intake behavior as well as voluntary water intake to regulate sodium homeostasis (By similarity).
See full target information ATP1A1

Additional targets

CDH1,CDH2,CDH5,ATP2B1,CDH3,Cadherin-4,ATP1B1,ATP1A4

Publications (7)

Recent publications for all applications. Explore the full list and refine your search

Heliyon 9:e22656 PubMed38125461

2023

Comprehensive analysis of single-cell and bulk RNA-sequencing data identifies B cell marker genes signature that predicts prognosis and analysis of immune checkpoints expression in head and neck squamous cell carcinoma.

Applications

Unspecified application

Species

Unspecified reactive species

Dilinaer Wusiman,Wenbin Li,Lei Guo,Zehao Huang,Yi Zhang,Xiwei Zhang,Xiaohui Zhao,Lin Li,Zhaohong An,Zhengjiang Li,Jianming Ying,Changming An

Nature communications 14:6748 PubMed37875481

2023

Biomimetic nanovaccine-mediated multivalent IL-15 self-transpresentation (MIST) for potent and safe cancer immunotherapy.

Applications

Unspecified application

Species

Unspecified reactive species

Kaiyuan Wang,Xuanbo Zhang,Hao Ye,Xia Wang,Zhijin Fan,Qi Lu,Songhao Li,Jian Zhao,Shunzhe Zheng,Zhonggui He,Qianqian Ni,Xiaoyuan Chen,Jin Sun

Cell death & disease 14:511 PubMed37558679

2023

SRSF3/AMOTL1 splicing axis promotes the tumorigenesis of nasopharyngeal carcinoma through regulating the nucleus translocation of YAP1.

Applications

Unspecified application

Species

Unspecified reactive species

Xiao-Chen Xu,Jia-Xin Jiang,Ya-Qing Zhou,Shuai He,Yang Liu,Yi-Qi Li,Pan-Pan Wei,Jin-Xin Bei,Jian Sun,Chun-Ling Luo

Nature communications 14:1713 PubMed36973294

2023

Neuraminidase 1 promotes renal fibrosis development in male mice.

Applications

Unspecified application

Species

Unspecified reactive species

Qian-Qian Chen,Kang Liu,Ning Shi,Gaoxiang Ma,Peipei Wang,Hua-Mei Xie,Si-Jia Jin,Ting-Ting Wei,Xiang-Yu Yu,Yi Wang,Jun-Yuan Zhang,Ping Li,Lian-Wen Qi,Lei Zhang

Nature nanotechnology 17:531-540 PubMed35410368

2022

A nanovaccine for antigen self-presentation and immunosuppression reversal as a personalized cancer immunotherapy strategy.

Applications

Unspecified application

Species

Unspecified reactive species

Chao Liu,Xue Liu,Xinchu Xiang,Xin Pang,Siyuan Chen,Yunming Zhang,En Ren,Lili Zhang,Xuan Liu,Peng Lv,Xiaoyong Wang,Wenxin Luo,Ningshao Xia,Xiaoyuan Chen,Gang Liu

Animal nutrition (Zhongguo xu mu shou yi xue hui) 10:137-147 PubMed35663373

2022

Glutamine in suppression of lipopolysaccharide-induced piglet intestinal inflammation: The crosstalk between AMPK activation and mitochondrial function.

Applications

Unspecified application

Species

Unspecified reactive species

Liuqin He,Xihong Zhou,Ziping Wu,Yanzhong Feng,Di Liu,Tiejun Li,Yulong Yin

International journal of molecular medicine 48: PubMed34212985

2021

Role and mechanism of chaperones calreticulin and ERP57 in restoring trafficking to mutant HERG‑A561V protein.

Applications

Unspecified application

Species

Unspecified reactive species

Yujia Wu,Xiaoyan Huang,Zequn Zheng,Xi Yang,Yanna Ba,Jiangfang Lian
View all publications

Product promise

We are committed to supporting your work with high-quality reagents, and we're here for you every step of the way. In the unlikely event that one of our products does not perform as expected, you're protected by our Product Promise.
For full details, please see our Terms & Conditions

Please note: All products are 'FOR RESEARCH USE ONLY. NOT FOR USE IN DIAGNOSTIC OR THERAPEUTIC PROCEDURES'.

For licensing inquiries, please contact partnerships@abcam.com