JavaScript is disabled in your browser. Please enable JavaScript to view this website.
AB263466

Rab Family (RAB4, RAB5, RAB7, RAB8A, RAB9, RAB10) Antibody Sampler Panel

Be the first to review this product! Submit a review

|

(1 Publication)

Rab Family (RAB4, RAB5, RAB7, RAB8A, RAB9, RAB10) Antibody Sampler Panel (ab263466) is part of the multiplex kits range. Abcam offers high-quality biological reagents and tools including antibodies, proteins, assays, cell lines and lysates.

View Alternative Names

RAB7, RAB7A, Ras-related protein Rab-7a

9 Images
Immunohistochemistry (Formalin/PFA-fixed paraffin-embedded sections) - Rab Family (RAB4, RAB5, RAB7, RAB8A, RAB9, RAB10) Antibody Sampler Panel (AB263466)
  • IHC-P

Unknown

Immunohistochemistry (Formalin/PFA-fixed paraffin-embedded sections) - Rab Family (RAB4, RAB5, RAB7, RAB8A, RAB9, RAB10) Antibody Sampler Panel (AB263466)

IHC image of Rab9 staining in human normal tonsil FFPE section, performed on a BondTM system using the standard protocol F. The section was pre-treated using heat mediated antigen retrieval with sodium citrate buffer (pH6, epitope retrieval solution 1) for 20 mins. The section was then incubated with ab2810, 5μg/ml, for 15 mins at room temperature and detected using an HRP conjugated compact polymer system. DAB was used as the chromogen. The section was then counterstained with haematoxylin and mounted with DPX.

Immunocytochemistry/ Immunofluorescence - Rab Family (RAB4, RAB5, RAB7, RAB8A, RAB9, RAB10) Antibody Sampler Panel (AB263466)
  • ICC/IF

Unknown

Immunocytochemistry/ Immunofluorescence - Rab Family (RAB4, RAB5, RAB7, RAB8A, RAB9, RAB10) Antibody Sampler Panel (AB263466)

Immunocytochemistry/ Immunofluorescence analysis of HeLa (Human cervix adenocarcinoma epithelial cell) cells labeling Rab4 with Purified ab109009 at 1 : 170 dilution (10 μg/ml). Cells were fixed in 100% Methanol. Cells were counterstained with ab195889 Anti-alpha Tubulin antibody [DM1A] - Microtubule Marker (Alexa Fluor® 594) 1 : 200 (2.5 μg/ml). Goat anti rabbit IgG (Alexa Fluor® 488, ab150077) was used as the secondary antibody at 1 : 1000 (2 μg/ml) dilution. DAPI nuclear counterstain. PBS instead of the primary antibody was used as the secondary antibody only control.

Immunocytochemistry/ Immunofluorescence - Rab Family (RAB4, RAB5, RAB7, RAB8A, RAB9, RAB10) Antibody Sampler Panel (AB263466)
  • ICC/IF

Supplier Data

Immunocytochemistry/ Immunofluorescence - Rab Family (RAB4, RAB5, RAB7, RAB8A, RAB9, RAB10) Antibody Sampler Panel (AB263466)

Immunofluorescent analysis of 4% paraformaldehyde-fixed, 0.1% Triton X-100 permeabilized MCF7 (human breast adenocarcinoma cell line) cells labeling RAB10 (green) with ab237703 at 1/500 dilution, followed by AlexaFluor®488 Goat anti-Rabbit secondary (ab150077) at 1/1000 dilution. Confocal image showing cytoplasmic staining in MCF7 cells. The nuclear counter stain is DAPI (blue). Tubulin is detected with ab195889 Anti-alpha Tubulin antibody [DM1A] - Microtubule Marker (Alexa Fluor® 594) at 1/200 dilution (red).

Immunocytochemistry/ Immunofluorescence - Rab Family (RAB4, RAB5, RAB7, RAB8A, RAB9, RAB10) Antibody Sampler Panel (AB263466)
  • ICC/IF

Unknown

Immunocytochemistry/ Immunofluorescence - Rab Family (RAB4, RAB5, RAB7, RAB8A, RAB9, RAB10) Antibody Sampler Panel (AB263466)

Immunocytochemistry/Immunofluorescence analysis of HeLa (human epithelial cell line from cervix adenocarcinoma) labelling RAB7 with purified ab137029 at 1/500. Cells were fixed with 100% methanol. An Alexa Fluor® 488-conjugated goat anti-rabbit IgG (1/1000) was used as the secondary antibody (ab150077). Nuclei counterstained with DAPI (blue).

Immunohistochemistry (Formalin/PFA-fixed paraffin-embedded sections) - Rab Family (RAB4, RAB5, RAB7, RAB8A, RAB9, RAB10) Antibody Sampler Panel (AB263466)
  • IHC-P

Supplier Data

Immunohistochemistry (Formalin/PFA-fixed paraffin-embedded sections) - Rab Family (RAB4, RAB5, RAB7, RAB8A, RAB9, RAB10) Antibody Sampler Panel (AB263466)

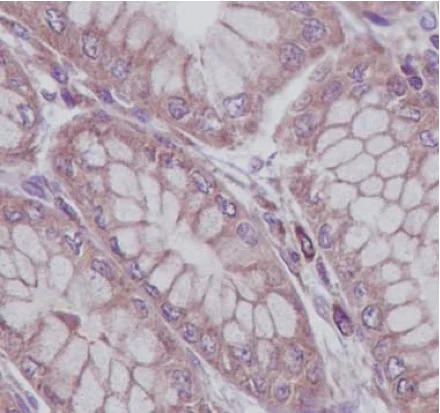
Immunohistochemical analysis of paraffin-embedded Human stomach tissue labeling RAB8A with ab188574 at 1/500. A prediluted HRP Polymer for Rabbit IgG was used as the secondary antibody. Counter stained with Hematoxylin.

Immunocytochemistry/ Immunofluorescence - Rab Family (RAB4, RAB5, RAB7, RAB8A, RAB9, RAB10) Antibody Sampler Panel (AB263466)
  • ICC/IF

Supplier Data

Immunocytochemistry/ Immunofluorescence - Rab Family (RAB4, RAB5, RAB7, RAB8A, RAB9, RAB10) Antibody Sampler Panel (AB263466)

Immunofluorescent analysis of 4% paraformaldehyde-fixed HepG2 cells labelling RAB8A with ab188574 at 1/500 followed by Goat anti rabbit IgG (Alexa Fluor®488) and DAPI staining.

Immunocytochemistry/ Immunofluorescence - Rab Family (RAB4, RAB5, RAB7, RAB8A, RAB9, RAB10) Antibody Sampler Panel (AB263466)
  • ICC/IF

Supplier Data

Immunocytochemistry/ Immunofluorescence - Rab Family (RAB4, RAB5, RAB7, RAB8A, RAB9, RAB10) Antibody Sampler Panel (AB263466)

Immunofluorescent analysis of 4% paraformaldehyde-fixed, 0.1% Triton X-100 permeabilzed wild-type and RAB5A KO HAP1 cells labeling Rab5 with ab218624 at 1/1000 dilution, followed by Goat Anti-Rabbit IgG H&L (Alexa Fluor® 488) (ab150077) secondary antibody at 1/1000 dilution (green). Confocal image showing no staining in RAB5A KO HAP1 cell line and granular cytoplasmic staining in parental HAP1 cell line.

The nuclear counter stain is DAPI (blue). Tubulin is detected with Anti-alpha Tubulin antibody [DM1A] - Microtubule Marker (Alexa Fluor® 594) (ab195889) (red) at 1/200 dilution.

Secondary antibody only control : Used PBS instead of primary antibody, secondary antibody is Goat Anti-Rabbit IgG H&L (Alexa Fluor® 488) (ab150077) secondary antibody at 1/1000 dilution.

Immunohistochemistry (Formalin/PFA-fixed paraffin-embedded sections) - Rab Family (RAB4, RAB5, RAB7, RAB8A, RAB9, RAB10) Antibody Sampler Panel (AB263466)
  • IHC-P

Unknown

Immunohistochemistry (Formalin/PFA-fixed paraffin-embedded sections) - Rab Family (RAB4, RAB5, RAB7, RAB8A, RAB9, RAB10) Antibody Sampler Panel (AB263466)

Immunohistochemical analysis of paraffin embedded Human kidney tissue labelling RAB7 with ab137029 at 1/50 dilution.

Immunohistochemistry (Formalin/PFA-fixed paraffin-embedded sections) - Rab Family (RAB4, RAB5, RAB7, RAB8A, RAB9, RAB10) Antibody Sampler Panel (AB263466)
  • IHC-P

Supplier Data

Immunohistochemistry (Formalin/PFA-fixed paraffin-embedded sections) - Rab Family (RAB4, RAB5, RAB7, RAB8A, RAB9, RAB10) Antibody Sampler Panel (AB263466)

Immunohistochemical analysis of paraffin-embedded human kidney tissue labeling Rab5 with ab218624 at 1/4000 dilution, followed by Goat Anti-Rabbit IgG H&L (HRP) Ready to use. Cytoplasmic staining in human kidney is observed (PMID 7789520). Counterstained with hematoxylin.

Secondary antibody only control : Used PBS instead of primary antibody, secondary antibody is Goat Anti-Rabbit IgG H&L (HRP) Ready to use.

Key facts

Reacts with

Rat, Human, Mouse

Target

RAB7A

target

Product details

Rab Family (RAB4, RAB5, RAB7, RAB8A, RAB9, RAB10) Antibody Sampler Panel ab263466 contains multiple trial-sized versions of anti-human, mouse, and rat antibody clones against RAB7, RAB10, RAB8A, Rab5, Rab9 and Rab4 specifically selected for high performance in various applications. This panel contains 6 recombinant rabbit monoclonal antibodies against RAB7, RAB10, RAB8A, Rab5, Rab4, and Rab9. They are provided as a sampler panel to allow you to easily evaluate each antibody.

For guidelines on how to use each antibody within the panel, please consult the individual datasheet for each antibody.

Panel contains:

- Rabbit monoclonal [EPR7589] to RAB7 (20 μL) ab137029

- Rabbit monoclonal [MJF-R23] to RAB10 (20 μL) ab237703

- Rabbit monoclonal [EPR14873] to RAB8A (20 μL) ab188574

- Rabbit monoclonal [EPR21801] to Rab5 (20 μL) ab218624

- Anti-Rab9 antibody [EPR13272] - Late Endosome Marker (20 µL) ab179815

- Rabbit monoclonal [EPR3043] to Rab4 - Early Endosome Marker (20 μL) ab109009

Explore our range of antibody sample panels designed to provide you with a variety of trial-size antibodies in a convenient and cost-effective format.

Carrier-free formulations of our recombinant antibodies are also available for easy conjugation to labels of your choice and for multiplex applications. Use our intuitive search and select carrier-free or your label of choice. For bespoke conjugations or large volumes email bespoke@abcam.com.

What's included?

{ "values": { "1Kit": { "sellingSize": "1 Kit", "publicAssetCode":"ab263466-1Kit", "assetComponentDetails": [ { "size":"2 x 10 µL", "name":"Anti-Rab4 antibody [EPR3043] - Early Endosome Marker", "number":"AB263466-CMP06", "productcode":"AB109009" }, { "size":"2 x 10 µL", "name":"Anti-Rab5 antibody [EPR21801]", "number":"AB263466-CMP03", "productcode":"AB218624" }, { "size":"2 x 10 µL", "name":"Anti-RAB10 antibody [MJF-R23]", "number":"AB263466-CMP05", "productcode":"AB237703" }, { "size":"2 x 10 µL", "name":"Anti-RAB8A antibody [EPR14873]", "number":"AB263466-CMP04", "productcode":"AB188574" }, { "size":"2 x 10 µL", "name":"Anti-RAB7 antibody [EPR7589]", "number":"AB263466-CMP02", "productcode":"AB137029" }, { "size":"1 x 20 µL", "name":"Anti-Rab9 antibody [EPR13272] - Late Endosome Marker", "number":"AB263466-CMP07", "productcode":"AB179815" } ] } } }

Properties and storage information

Shipped at conditions
Blue Ice
Appropriate short-term storage conditions
-20°C
Appropriate long-term storage conditions
-20°C
Storage information
-20°C

Supplementary information

This supplementary information is collated from multiple sources and compiled automatically.

Rab proteins including Rab9 Rab4 Rab5 RAB7 RAB10 and RAB8A are small GTPases that regulate intracellular vesicle trafficking. Rab proteins play key roles in membrane transport processes and are involved in various stages of vesicle budding movement docking and fusion. Each Rab protein has a specific mass for example Rab5 has approximately 24 kDa. These proteins are expressed in numerous tissues often with overlapping yet distinct expression patterns. They serve as endosome markers and localize to specific membrane compartments specializing in aiding the maturation movement and fusion of vesicles within cells.
Biological function summary

These Rab proteins organize essential processes in cellular trafficking by interacting with effector proteins and elements of the cytoskeleton. They are integral to the formation of protein complexes required for vesicle tethering and fusion. Rab4 and Rab5 participate in early endosome dynamics coordinating endocytic pathways while RAB7 facilitates late endosome-lysosome trafficking. Rab9 assists in the movement of molecules from late endosomes to the trans-Golgi network. These proteins operate in concert ensuring precise regulation and timing in vesicular transport processes.

Pathways

Rab proteins influence an array of intracellular signalling networks vital for cellular homeostasis. Rab5 participates prominently in the endocytosis pathway interacting with proteins like EEA1 (Early Endosome Antigen 1) to regulate vesicle fusion and sorting. RAB7 is heavily involved in the endo-lysosomal pathway important for lysosome biogenesis. This interaction optimizes cellular recycling and degradation processes. Rab8A affects exocytosis and is implicated in the secretory pathway especially in the context of polarized trafficking working alongside proteins like Sec4/RAB8.

Mutations or dysregulation of Rab proteins can contribute to neurodegenerative disorders and cancer. Rab5 and its partners are tied to the pathology of Alzheimer's disease through their role in the endocytic pathway where impaired function may lead to amyloid-beta plaque formation. Alterations in RAB7 activity associate with Charcot-Marie-Tooth disease type 2B where defective vesicular trafficking impacts neuronal function. These associations underline the importance of Rab proteins not only in normal cellular processes but in disease states as well.

Product protocols

Target data

Small GTPase which cycles between active GTP-bound and inactive GDP-bound states. In its active state, binds to a variety of effector proteins playing a key role in the regulation of endo-lysosomal trafficking. Governs early-to-late endosomal maturation, microtubule minus-end as well as plus-end directed endosomal migration and positioning, and endosome-lysosome transport through different protein-protein interaction cascades. Plays a central role, not only in endosomal traffic, but also in many other cellular and physiological events, such as growth-factor-mediated cell signaling, nutrient-transportor mediated nutrient uptake, neurotrophin transport in the axons of neurons and lipid metabolism. Also involved in regulation of some specialized endosomal membrane trafficking, such as maturation of melanosomes, pathogen-induced phagosomes (or vacuoles) and autophagosomes. Plays a role in the maturation and acidification of phagosomes that engulf pathogens, such as S.aureus and M.tuberculosis. Plays a role in the fusion of phagosomes with lysosomes. Plays important roles in microbial pathogen infection and survival, as well as in participating in the life cycle of viruses. Microbial pathogens possess survival strategies governed by RAB7A, sometimes by employing RAB7A function (e.g. Salmonella) and sometimes by excluding RAB7A function (e.g. Mycobacterium). In concert with RAC1, plays a role in regulating the formation of RBs (ruffled borders) in osteoclasts. Controls the endosomal trafficking and neurite outgrowth signaling of NTRK1/TRKA (PubMed : 11179213, PubMed : 12944476, PubMed : 14617358, PubMed : 20028791, PubMed : 21255211). Regulates the endocytic trafficking of the EGF-EGFR complex by regulating its lysosomal degradation. Involved in the ADRB2-stimulated lipolysis through lipophagy, a cytosolic lipase-independent autophagic pathway (By similarity). Required for the exosomal release of SDCBP, CD63 and syndecan (PubMed : 22660413). Required for vesicular trafficking and cell surface expression of ACE2 (PubMed : 33147445). May play a role in PRPH neuronal intermediate filament assembly (By similarity).
See full target information RAB7A

Additional targets

RAB4A,RAB10,RAB8A,RAB5A,RAB9A

Publications (1)

Recent publications for all applications. Explore the full list and refine your search

International journal of molecular sciences 24: PubMed37958809

2023

mRNA and Protein Expression in Human Fetal Membrane Cells: Potential Biomarkers for Preterm Prelabor Rupture of the Fetal Membranes?

Applications

Unspecified application

Species

Unspecified reactive species

Emmeli Mikkelsen,Berthold Huppertz,Ripudaman Singh,Katarina Ravn,Lotte Hatt,Mogens Kruhøffer,Rheanna Urrabaz-Garza,Niels Uldbjerg,Ramkumar Menon,Torben Steiniche
View all publications

Product promise

We are committed to supporting your work with high-quality reagents, and we're here for you every step of the way. In the unlikely event that one of our products does not perform as expected, you're protected by our Product Promise.
For full details, please see our Terms & Conditions

Please note: All products are 'FOR RESEARCH USE ONLY. NOT FOR USE IN DIAGNOSTIC OR THERAPEUTIC PROCEDURES'.

For licensing inquiries, please contact partnerships@abcam.com