JavaScript is disabled in your browser. Please enable JavaScript to view this website.
AB199712

Rabbit Loading Control Antibody Panel

Be the first to review this product! Submit a review

|

(384 Publications)

Rabbit Loading Control Antibody Panel (ab199712) is part of the multiplex kits range. Abcam offers high-quality biological reagents and tools including antibodies, proteins, assays, cell lines and lysates.
5 Images
Western blot - Rabbit Loading Control Antibody Panel (AB199712)
  • WB

Lab

Western blot - Rabbit Loading Control Antibody Panel (AB199712)

All lanes : Anti-Histone H3 antibody [EPR16987] - Nuclear Loading Control and ChIP Grade (ab176842) at 1 μg

Lane 1 : HeLa (Human epithelial carcinoma cell line) Whole Cell Lysate at 10 μg
Lane 2 : NIH 3T3 (Mouse embryonic fibroblast cell line) Whole Cell Lysate at 10 μg
Lane 3 : Drosophila embryo nuclear extract (from melanogaster embryos 0-12hr) at 10 μg
Lane 4 : S.cerevisiae (Y190) Whole Cell Lysate at 20 μg
Lane 5 : S.pombe Whole Cell Lysate at 20 μg

Secondary
Peroxidase AffiniPure Goat Anti-Rabbit IgG (H+L) at 1/50000 dilution
Developed using the ECL technique

Performed under reducing conditions.

Predicted band size : 15 kDa
Observed band size : 17 kDa (why is the actual band size different from the predicted?)


Exposure time : 5 seconds

This blot was produced using a 4-12% Bis-tris gel under the MES buffer system. The gel was run at 200V for 35 minutes before being transferred onto a Nitrocellulose membrane at 30V for 70 minutes. The membrane was then blocked for an hour using 2% Bovine Serum Albumin before being incubated with ab176842 overnight at 4°C. Antibody binding was detected using an anti-rabbit antibody conjugated to HRP, and visualised using ECL development solution ab133406.

All lanes:

Western blot - Anti-Histone H3 antibody [EPR16987] - Nuclear Marker and ChIP Grade (<a href='/en-us/products/primary-antibodies/histone-h3-antibody-epr16987-nuclear-marker-and-chip-grade-ab176842'>ab176842</a>) at 1 µg

Lane 1:

HeLa (Human epithelial carcinoma cell line) Whole Cell Lysate at 10 µg

Lane 2:

NIH 3T3 (Mouse embryonic fibroblast cell line) Whole Cell Lysate at 10 µg

Lane 3:

Drosophila embryo nuclear extract (from melanogaster embryos 0-12hr) at 10 µg

Lane 4:

S.cerevisiae (Y190) Whole Cell Lysate at 20 µg

Lane 5:

S.pombe Whole Cell Lysate at 20 µg

Secondary

All lanes:

Peroxidase AffiniPure Goat Anti-Rabbit IgG (H+L) at 1/50000 dilution

Predicted band size: 15 kDa

Observed band size: 17 kDa

true

Exposure time: 5s

Western blot - Rabbit Loading Control Antibody Panel (AB199712)
  • WB

Unknown

Western blot - Rabbit Loading Control Antibody Panel (AB199712)

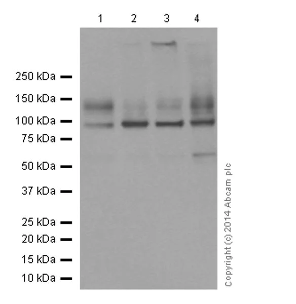
All lanes : Anti-Sodium Potassium ATPase antibody [EP1845Y] - Plasma Membrane Loading Control (ab76020) at 1/100000 dilution

Lane 1 : HeLa (Human cervix adenocarcinoma epithelial cell) whole cell lysates
Lane 2 : MCF-7 (Human breast adenocarcinoma epithelial cell) whole cell lysates
Lane 3 : 293 (Human embryonic kidney epithelial cell) whole cell lysates
Lane 4 : A431 (Human epidermoid carcinoma epithelial cell) whole cell lysates

Lysates/proteins at 20 μg per lane.

Secondary
Goat Anti-Rabbit IgG, (H+L), Peroxidase conjugated at 1/20000 dilution

Predicted band size : 113 kDa
Observed band size : 100 kDa (why is the actual band size different from the predicted?)


Exposure time : 2 minutes

Blocking and diluting buffer : 5% NFDM/TBST.

All lanes:

Western blot - Anti-Sodium Potassium ATPase antibody [EP1845Y] - Plasma Membrane Loading Control (<a href='/en-us/products/primary-antibodies/sodium-potassium-atpase-antibody-ep1845y-plasma-membrane-loading-control-ab76020'>ab76020</a>) at 1/100000 dilution

Lane 1:

HeLa (Human cervix adenocarcinoma epithelial cell) whole cell lysates at 20 µg

Lane 2:

MCF-7 (Human breast adenocarcinoma epithelial cell) whole cell lysates at 20 µg

Lane 3:

HEK-293 (Human embryonic kidney epithelial cell) whole cell lysates at 20 µg

Lane 4:

A431 (Human epidermoid carcinoma epithelial cell) whole cell lysates at 20 µg

Secondary

All lanes:

Goat Anti-Rabbit IgG, (H+L), Peroxidase conjugated at 1/20000 dilution

Predicted band size: 113 kDa

Observed band size: 100 kDa

false

Exposure time: 2min

Western blot - Rabbit Loading Control Antibody Panel (AB199712)
  • WB

Supplier Data

Western blot - Rabbit Loading Control Antibody Panel (AB199712)

All lanes : Anti-alpha Tubulin antibody [EPR13478(B)] - Loading Control (ab176560) at 1/1000 dilution (Unpurified)

Lane 1 : HeLa cell lysate
Lane 2 : Jurkat cell lysate
Lane 3 : A431 cell lysate
Lane 4 : K562 cell lysate

Lysates/proteins at 10 μg per lane.

Developed using the ECL technique

Predicted band size : 50 kDa

Secondary antibodies - anti-rabbit HRP (ab6721)

All lanes:

Western blot - Anti-alpha Tubulin antibody [EPR13478(B)] - Loading Control (<a href='/en-us/products/primary-antibodies/alpha-tubulin-antibody-epr13478b-loading-control-ab176560'>ab176560</a>) at 1/1000 dilution

Lane 1:

HeLa cell lysate at 10 µg

Lane 2:

Jurkat cell lysate at 10 µg

Lane 3:

A431 cell lysate at 10 µg

Lane 4:

K562 cell lysate at 10 µg

Predicted band size: 50 kDa

true

Western blot - Rabbit Loading Control Antibody Panel (AB199712)
  • WB

Supplier Data

Western blot - Rabbit Loading Control Antibody Panel (AB199712)

All lanes : Anti-GAPDH antibody [EPR16891] (ab181602) at 1/50000 dilution

Lane 1 : HeLa (Human epithelial cells from cervix adenocarcinoma) whole cell lysates
Lane 2 : Xenopus(X. tropicalis) muscle lysates
Lane 3 : UMNSAH/DF-1 (Transformed chicken embyronic fibroblast cells) whole cell lysates
Lane 4 : Jurkat (Human T cell leukemia cells from peripheral blood) whole cell lysates

Lysates/proteins at 20 μg per lane.

Secondary
Goat Anti-Rabbit IgG, (H+L),Peroxidase conjugated at 1/1000 dilution

Predicted band size : 36 kDa
Observed band size : 36 kDa

Blocking/Dilution buffer : 5% NFDM/TBST.

All lanes:

Western blot - Anti-GAPDH antibody [EPR16891] - Loading Control (<a href='/en-us/products/primary-antibodies/gapdh-antibody-epr16891-loading-control-ab181602'>ab181602</a>) at 1/50000 dilution

Lane 1:

HeLa (Human epithelial cells from cervix adenocarcinoma) whole cell lysates at 20 µg

Lane 2:

Xenopus tropicalis muscle lysates at 20 µg

Lane 3:

UMNSAH/DF-1 (Transformed chicken embyronic fibroblast cells) whole cell lysates at 20 µg

Lane 4:

Jurkat (Human T cell leukemia cells from peripheral blood) whole cell lysates at 20 µg

Secondary

All lanes:

Goat Anti-Rabbit IgG, (H+L),Peroxidase conjugated at 1/1000 dilution

Predicted band size: 36 kDa

Observed band size: 36 kDa

false

Western blot - Rabbit Loading Control Antibody Panel (AB199712)
  • WB

Supplier Data

Western blot - Rabbit Loading Control Antibody Panel (AB199712)

All lanes : Anti-COX IV antibody [EPR9442(ABC)] - Mitochondrial Loading Control (ab202554) at 1/10000 dilution

Lane 1 : Mouse heart lysate
Lane 2 : Rat heart lysate

Lysates/proteins at 10 μg per lane.

Secondary
Goat Anti-Rabbit IgG, (H+L), Peroxidase conjugated at 1/1000 dilution

Predicted band size : 20 kDa
Observed band size : 17 kDa (why is the actual band size different from the predicted?)


Exposure time : 3 minutes

Blocking/Dilution buffer : 5% NFDM/TBST.

All lanes:

Western blot - Anti-COX IV antibody [EPR9442(ABC)] - Mitochondrial Loading Control (<a href='/en-us/products/primary-antibodies/cox-iv-antibody-epr9442abc-mitochondrial-loading-control-ab202554'>ab202554</a>) at 1/10000 dilution

Lane 1:

Mouse heart lysate at 10 µg

Lane 2:

Rat heart lysate at 10 µg

Secondary

All lanes:

Goat Anti-Rabbit IgG, (H+L), Peroxidase conjugated at 1/1000 dilution

Predicted band size: 19 kDa

Observed band size: 17 kDa

false

Exposure time: 3min

Key facts

Product details

ab199712 is a sampler pack of loading control antibodies and a Goat Anti-Rabbit IgG secondary antibody conjugated to HRP.
This panel contains sample sizes of primary antibodies against the following housekeeping targets: alpha Tubulin, GAPDH, COXIV, Histone H3, and NaK ATPase.

The Rabbit Loading Control Antibody Panel is designed for validation and confirmation of western blot analysis when tested in conjunction with your proteins of interest.

designed to provide you with a variety of trial-size antibodies in a convenient and cost-effective format.Refer to 'Associated Products' section below to see HRP-conjugated versions of these antibodies.

What's included?

{ "values": { "1Unit": { "sellingSize": "1 Unit", "publicAssetCode":"ab199712-1Unit", "assetComponentDetails": [ { "size":"1 x 10 µL", "name":"Rabbit monoclonal [EPR9442(ABC)] to COX IV - Mitochondrial Loading Control", "number":"AB199712-CMP06", "productcode":"AB202554" }, { "size":"1 x 10 µL", "name":"Rabbit monoclonal to GAPDH [EPR16891] - Loading Control", "number":"AB199712-CMP05", "productcode":"AB181602" }, { "size":"1 x 10 µL", "name":"Rabbit monoclonal to Histone H3 [EPR16987]", "number":"AB199712-CMP03", "productcode":"AB176842" }, { "size":"1 x 10 µL", "name":"Rabbit monoclonal to alpha Tubulin [EPR13478(B)] - Loading Control", "number":"AB199712-CMP04", "productcode":"AB176560" }, { "size":"1 x 10 µL", "name":"Anti-Sodium Potassium ATPase antibody [EP1845Y] - Plasma Membrane Loading Control", "number":"AB199712-CMP02", "productcode":"AB76020" }, { "size":"1 x 100 µg", "name":"Goat Anti-Rabbit IgG H+L (HRP)", "number":"AB199712-CMP01", "productcode":"AB205718" } ] } } }

Properties and storage information

Shipped at conditions
Blue Ice
Appropriate short-term storage conditions
-20°C
Appropriate long-term storage conditions
-20°C
Storage information
-20°C

Product protocols

Target data

Publications (384)

Recent publications for all applications. Explore the full list and refine your search

PLoS genetics 10:e1004574 PubMed25254549

2014

Dopamine signaling leads to loss of Polycomb repression and aberrant gene activation in experimental parkinsonism.

Applications

Unspecified application

Species

Unspecified reactive species

Erik Södersten,Michael Feyder,Mads Lerdrup,Ana-Luisa Gomes,Hanna Kryh,Giada Spigolon,Jocelyne Caboche,Gilberto Fisone,Klaus Hansen

Nature communications 5:4844 PubMed25209024

2014

Spatial control of the GEN1 Holliday junction resolvase ensures genome stability.

Applications

Unspecified application

Species

Unspecified reactive species

Ying Wai Chan,Stephen C West

Diabetology & metabolic syndrome 6:96 PubMed25228926

2014

O-GlcNAc modification is associated with insulin sensitivity in the whole blood of healthy young adult males.

Applications

Unspecified application

Species

Unspecified reactive species

Jason P Myslicki,Jane Shearer,Dustin S Hittel,Curtis C Hughey,Darrell D Belke

PloS one 9:e106661 PubMed25188294

2014

Histone H3 lysine 36 methyltransferase Whsc1 promotes the association of Runx2 and p300 in the activation of bone-related genes.

Applications

Unspecified application

Species

Unspecified reactive species

Yu Fei Lee,Keisuke Nimura,Wan Ning Lo,Kotaro Saga,Yasufumi Kaneda

PloS one 9:e105371 PubMed25144769

2014

The N-reductive system composed of mitochondrial amidoxime reducing component (mARC), cytochrome b5 (CYB5B) and cytochrome b5 reductase (CYB5R) is regulated by fasting and high fat diet in mice.

Applications

Unspecified application

Species

Unspecified reactive species

Heyka H Jakobs,Michal Mikula,Antje Havemeyer,Adriana Strzalkowska,Monika Borowa-Chmielak,Artur Dzwonek,Marta Gajewska,Ewa E Hennig,Jerzy Ostrowski,Bernd Clement

PloS one 9:e103044 PubMed25121500

2014

The relationship between muscle fiber type-specific PGC-1α content and mitochondrial content varies between rodent models and humans.

Applications

Unspecified application

Species

Unspecified reactive species

Gilles Gouspillou,Nicolas Sgarioto,Brandon Norris,Sébastien Barbat-Artigas,Mylène Aubertin-Leheudre,Jose A Morais,Yan Burelle,Tanja Taivassalo,Russell T Hepple

Cell death & disease 5:e1361 PubMed25101674

2014

A novel androstenedione derivative induces ROS-mediated autophagy and attenuates drug resistance in osteosarcoma by inhibiting macrophage migration inhibitory factor (MIF).

Applications

Unspecified application

Species

Unspecified reactive species

Y Liu,L Zhao,Y Ju,W Li,M Zhang,Y Jiao,J Zhang,S Wang,Y Wang,M Zhao,B Zhang,Y Zhao

PLoS genetics 10:e1004507 PubMed25101834

2014

KDM6 demethylase independent loss of histone H3 lysine 27 trimethylation during early embryonic development.

Applications

Unspecified application

Species

Unspecified reactive species

Karl B Shpargel,Joshua Starmer,Della Yee,Michael Pohlers,Terry Magnuson

The Journal of biological chemistry 289:27182-98 PubMed25100722

2014

Down-regulation of the antisense mitochondrial non-coding RNAs (ncRNAs) is a unique vulnerability of cancer cells and a potential target for cancer therapy.

Applications

Unspecified application

Species

Unspecified reactive species

Soledad Vidaurre,Christopher Fitzpatrick,Verónica A Burzio,Macarena Briones,Claudio Villota,Jaime Villegas,Javiera Echenique,Luciana Oliveira-Cruz,Mariela Araya,Vincenzo Borgna,Teresa Socías,Constanza Lopez,Rodolfo Avila,Luis O Burzio

PloS one 9:e104337 PubMed25093734

2014

Evaluation of a new recombinant oncolytic vaccinia virus strain GLV-5b451 for feline mammary carcinoma therapy.

Applications

Unspecified application

Species

Unspecified reactive species

Marion Adelfinger,Ivaylo Gentschev,Julio Grimm de Guibert,Stephanie Weibel,Johanna Langbein-Laugwitz,Barbara Härtl,Hugo Murua Escobar,Ingo Nolte,Nanhai G Chen,Richard J Aguilar,Yong A Yu,Qian Zhang,Alexa Frentzen,Aladar A Szalay
View all publications

Product promise

We are committed to supporting your work with high-quality reagents, and we're here for you every step of the way. In the unlikely event that one of our products does not perform as expected, you're protected by our Product Promise.
For full details, please see our Terms & Conditions

Please note: All products are 'FOR RESEARCH USE ONLY. NOT FOR USE IN DIAGNOSTIC OR THERAPEUTIC PROCEDURES'.

For licensing inquiries, please contact partnerships@abcam.com