JavaScript is disabled in your browser. Please enable JavaScript to view this website.
AB254021

Regulatory T Cell Marker (CD4, FOXP3, CTLA4, CCR6, HLA-DR) Antibody Panel - Human

Be the first to review this product! Submit a review

|

(1 Publication)

Regulatory T Cell Marker (CD4, FOXP3, CTLA4, CCR6, HLA-DR) Antibody Panel - Human (ab254021) is part of the multiplex kits range. Abcam offers high-quality biological reagents and tools including antibodies, proteins, assays, cell lines and lysates.

View Alternative Names

CD4, T-cell surface glycoprotein CD4, T-cell surface antigen T4/Leu-3

5 Images
Immunohistochemistry (Formalin/PFA-fixed paraffin-embedded sections) - Regulatory T Cell Marker (CD4, FOXP3, CTLA4, CCR6, HLA-DR) Antibody Panel - Human (AB254021)
  • IHC-P

Supplier Data

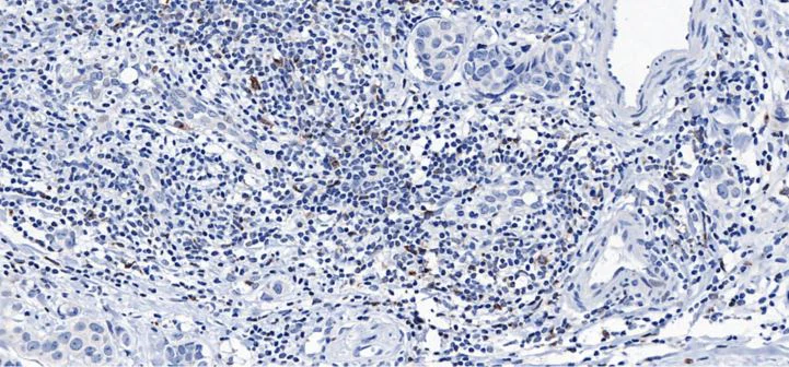
Immunohistochemistry (Formalin/PFA-fixed paraffin-embedded sections) - Regulatory T Cell Marker (CD4, FOXP3, CTLA4, CCR6, HLA-DR) Antibody Panel - Human (AB254021)

Immunohistochemical analysis of paraffin-embedded human Hodgkin's lymphoma tissue labeling CCR6 with ab227036 at 1/1000 dilution, followed by the ready to use Rabbit specific IHC polymer detection kit HRP/DAB (ab209101). Membranous staining on human Hodgkin's lymphoma (PMID : 12514792) is observed. Counterstained with hematoxylin.

Secondary antibody only control : Used PBS instead of primary antibody, secondary antibody is the ready to use Rabbit specific IHC polymer detection kit HRP/DAB (ab209101).

Immunohistochemistry (Formalin/PFA-fixed paraffin-embedded sections) - Regulatory T Cell Marker (CD4, FOXP3, CTLA4, CCR6, HLA-DR) Antibody Panel - Human (AB254021)
  • IHC-P

Lab

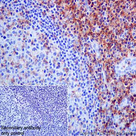
Immunohistochemistry (Formalin/PFA-fixed paraffin-embedded sections) - Regulatory T Cell Marker (CD4, FOXP3, CTLA4, CCR6, HLA-DR) Antibody Panel - Human (AB254021)

Immunohistochemistry (Formalin/PFA-fixed paraffin-embedded sections) analysis of human tonsil tissue labelling CD4 with purified ab133616 at 1/500. Heat mediated antigen retrieval was performed using Tris/EDTA buffer pH 9. ab97051, a HRP-conjugated goat anti-rabbit IgG (H+L) was used as the secondary antibody (1/500). Negative control using PBS instead of primary antibody. Counterstained with hematoxylin.

Immunohistochemistry (Formalin/PFA-fixed paraffin-embedded sections) - Regulatory T Cell Marker (CD4, FOXP3, CTLA4, CCR6, HLA-DR) Antibody Panel - Human (AB254021)
  • IHC-P

Supplier Data

Immunohistochemistry (Formalin/PFA-fixed paraffin-embedded sections) - Regulatory T Cell Marker (CD4, FOXP3, CTLA4, CCR6, HLA-DR) Antibody Panel - Human (AB254021)

Formalin-fixed, paraffin-embedded human breast carcinoma tissue stained for CTLA4 using ab237712 at 0.25 μg/ml in immunohistochemical analysis.

Incubate with primary antibody for 75 minutes at room temperature.

Immunohistochemistry (Formalin/PFA-fixed paraffin-embedded sections) - Regulatory T Cell Marker (CD4, FOXP3, CTLA4, CCR6, HLA-DR) Antibody Panel - Human (AB254021)
  • IHC-P

Unknown

Immunohistochemistry (Formalin/PFA-fixed paraffin-embedded sections) - Regulatory T Cell Marker (CD4, FOXP3, CTLA4, CCR6, HLA-DR) Antibody Panel - Human (AB254021)

Anti-CD4 antibody [EPR6855] (ab133616)
Immunohistochemistry (Formalin/PFA-fixed paraffin-embedded sections) analysis of human tonsil tissue labelling CD4 with ab133616 at a dilution of 1 : 500. Heat mediated antigen retrieval was performed using AR9 antigen retrieval solution, and microwave treatment for 15 min at 20% power. Anti-Rabbit/Mouse HRP polymer (PerkinElmer Opal Polymer HRP Ms Plus Rb) was used as secondary antibody. Opal tyramide amplification was performed using Opal 520 fluorophore. Counterstained with DAPI stain. Image scanned with Vectra 3.0 and analyzed via Phenochart software.
This image was courteously provided by Dr. Houssein Abdul Sater, Georgia Cancer Center.

Immunohistochemistry (Formalin/PFA-fixed paraffin-embedded sections) - Regulatory T Cell Marker (CD4, FOXP3, CTLA4, CCR6, HLA-DR) Antibody Panel - Human (AB254021)
  • IHC-P

Lab

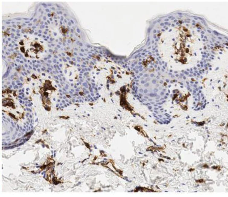
Immunohistochemistry (Formalin/PFA-fixed paraffin-embedded sections) - Regulatory T Cell Marker (CD4, FOXP3, CTLA4, CCR6, HLA-DR) Antibody Panel - Human (AB254021)

Immunohistochemical analysis of paraffin-embedded human skin tissue labeling HLA-DR with ab20181 at 0.1 μg/ml followed by Leica DS9800 (Bond™ Polymer Refine Detection). The section was pre-treated using heat mediated antigen retrieval with sodium citrate buffer (pH6, epitope retrieval solution 1) for 20mins. The section was then incubated with ab20181, 0.1ug/ml, for 15 mins at room temperature and was then detected using an HRP conjugated compact polymer system. DAB was used as the chromogen. The section was then counterstained with haematoxylin and mounted with DPX.

Key facts

Reacts with

Human

Target

CD4

target

Product details

Regulatory T Cell Marker (CD4, FOXP3, CTLA4, CCR6, HLA-DR) Antibody Panel - Human ab254021 contains multiple trial-sized versions of anti-human antibody clones against CD4, FOXP3, CTLA4, CCR6, HLA-DR, specifically selected for high performance in various applications. This panel contains 5 recombinant rabbit monoclonal antibodies against human CD4, FOXP3, CTLA4, CCR6 and 1 mouse monoclonal antibody against HLA-DR. They are provided as a sampler panel to allow you to easily evaluate each in your required applications.

For guidelines on how to use each antibody within the panel, please consult the individual datasheet for each antibody.

Panel contains:

- Rabbit monoclonal [EPR6855] to CD4 (20 μL) ab133616

- Rabbit monoclonal [EPR22102-37] to FOXP3 (20 μL) ab215206

- Rabbit monoclonal [CAL49] to CTLA4 (20 μL) ab237712

- Rabbit monoclonal [EPR22259] to CCR6 (20 μL) ab227036

- Mouse monoclonal [TAL 1B5] to HLA-DR (20 μg) ab20181

Explore our range of antibody sample panels designed to provide you with a variety of trial-size antibodies in a convenient and cost-effective format.

Carrier-free formulations of our recombinant antibodies are also available for easy conjugation to labels of your choice and for multiplex applications. Use our intuitive search and select carrier-free or your label of choice. For bespoke conjugations or large volumes email bespoke@abcam.com.

Patented technology
Our RabMAb® technology is a patented hybridoma-based technology for making rabbit monoclonal antibodies. For details on our patents, please refer to RabMAb® patents.

What's included?

{ "values": { "1Kit": { "sellingSize": "1 Kit", "publicAssetCode":"ab254021-1Kit", "assetComponentDetails": [ { "size":"2 x 10 µL", "name":"Anti-FOXP3 antibody [EPR22102-37]", "number":"AB254021-CMP03", "productcode":"AB215206" }, { "size":"2 x 10 µL", "name":"Anti-CTLA4 antibody [CAL49]", "number":"AB254021-CMP05", "productcode":"AB237712" }, { "size":"2 x 10 µg", "name":"Anti-HLA-DR antibody [TAL 1B5]", "number":"AB254021-CMP01", "productcode":"AB20181" }, { "size":"2 x 10 µL", "name":"Anti-CD4 antibody [EPR6855]", "number":"AB254021-CMP02", "productcode":"AB133616" }, { "size":"2 x 10 µL", "name":"Anti-CCR6 antibody [EPR22259]", "number":"AB254021-CMP04", "productcode":"AB227036" } ] } } }

Properties and storage information

Shipped at conditions
Blue Ice
Appropriate short-term storage conditions
-20°C
Appropriate long-term storage conditions
-20°C
Storage information
-20°C

Product protocols

Target data

Integral membrane glycoprotein that plays an essential role in the immune response and serves multiple functions in responses against both external and internal offenses. In T-cells, functions primarily as a coreceptor for MHC class II molecule : peptide complex. The antigens presented by class II peptides are derived from extracellular proteins while class I peptides are derived from cytosolic proteins. Interacts simultaneously with the T-cell receptor (TCR) and the MHC class II presented by antigen presenting cells (APCs). In turn, recruits the Src kinase LCK to the vicinity of the TCR-CD3 complex. LCK then initiates different intracellular signaling pathways by phosphorylating various substrates ultimately leading to lymphokine production, motility, adhesion and activation of T-helper cells. In other cells such as macrophages or NK cells, plays a role in differentiation/activation, cytokine expression and cell migration in a TCR/LCK-independent pathway. Participates in the development of T-helper cells in the thymus and triggers the differentiation of monocytes into functional mature macrophages.. (Microbial infection) Primary receptor for human immunodeficiency virus-1 (HIV-1) (PubMed : 12089508, PubMed : 16331979, PubMed : 2214026, PubMed : 9641677). Down-regulated by HIV-1 Vpu (PubMed : 17346169). Acts as a receptor for Human Herpes virus 7/HHV-7 (PubMed : 7909607).
See full target information CD4

Additional targets

FOXP3,CTLA4,CCR6,HLA-DRA

Publications (1)

Recent publications for all applications. Explore the full list and refine your search

Heliyon 9:e22656 PubMed38125461

2023

Comprehensive analysis of single-cell and bulk RNA-sequencing data identifies B cell marker genes signature that predicts prognosis and analysis of immune checkpoints expression in head and neck squamous cell carcinoma.

Applications

Unspecified application

Species

Unspecified reactive species

Dilinaer Wusiman,Wenbin Li,Lei Guo,Zehao Huang,Yi Zhang,Xiwei Zhang,Xiaohui Zhao,Lin Li,Zhaohong An,Zhengjiang Li,Jianming Ying,Changming An
View all publications

Product promise

We are committed to supporting your work with high-quality reagents, and we're here for you every step of the way. In the unlikely event that one of our products does not perform as expected, you're protected by our Product Promise.
For full details, please see our Terms & Conditions

Please note: All products are 'FOR RESEARCH USE ONLY. NOT FOR USE IN DIAGNOSTIC OR THERAPEUTIC PROCEDURES'.

For licensing inquiries, please contact partnerships@abcam.com