JavaScript is disabled in your browser. Please enable JavaScript to view this website.
AB252203

SLAMF7 Antibody Panel (EPR21155, CAL7)

Be the first to review this product! Submit a review

|

(0 Publication)

SLAMF7 Antibody Panel (EPR21155, CAL7) (ab252203) is part of the multiplex kits range. Abcam offers high-quality biological reagents and tools including antibodies, proteins, assays, cell lines and lysates.
2 Images
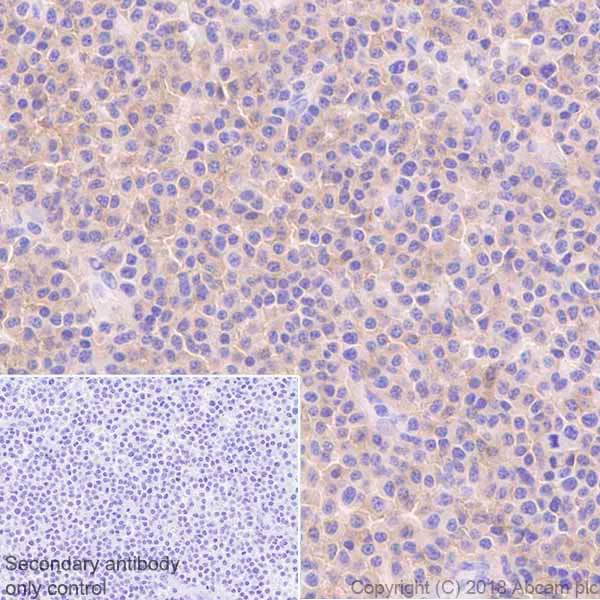
Immunohistochemistry (Formalin/PFA-fixed paraffin-embedded sections) - SLAMF7 Antibody Panel (EPR21155, CAL7) (AB252203)
  • IHC-P

Supplier Data

Immunohistochemistry (Formalin/PFA-fixed paraffin-embedded sections) - SLAMF7 Antibody Panel (EPR21155, CAL7) (AB252203)

Immunohistochemical analysis of paraffin-embedded human multiple myeloma tissue labeling SLAMF7 with ab230945 at 1/2000 dilution, followed by a ready to use Goat Anti-Rabbit IgG H&L (HRP). Mainly cytoplasmic staining in human multiple myeloma (PMID : 26005365; PMID : 18451245) is observed. Counter stained with Hematoxylin.

Secondary antibody only control : Used PBS instead of primary antibody, secondary antibody is a ready to use Goat Anti-Rabbit IgG H&L (HRP).

Perform heat mediated antigen retrieval using ab93684 (Tris/EDTA buffer, pH 9.0).

Immunohistochemistry (Formalin/PFA-fixed paraffin-embedded sections) - SLAMF7 Antibody Panel (EPR21155, CAL7) (AB252203)
  • IHC-P

Supplier Data

Immunohistochemistry (Formalin/PFA-fixed paraffin-embedded sections) - SLAMF7 Antibody Panel (EPR21155, CAL7) (AB252203)

Formalin-fixed, paraffin-embedded multiple myeloma (Lambda, left panel) and SLAMF7 Knock-in AD-293 cells (Positive control, right panel) stained for SLAMF7 using ab237730 at 0.1 μg/ml dilution in immunohistochemical analysis.

Key facts

Reacts with

Human

Product details

SLAMF7 Antibody Panel ab252203 contains multiple trial-sized versions of anti-human antibody clones against SLAMF7, specifically selected for high performance in IHC. This panel contains 2 recombinant rabbit monoclonal antibodies against human SLAMF7. They are provided in trial sizes to allow you to easily evaluate which is the best SLAMF7 antibody for your IHC research assay needs.

For guidelines on how to use each antibody within the panel, please consult the individual datasheet for each antibody.

Panel contains:

- Rabbit monoclonal [CAL7] to SLAMF7 (20 μL) ab237730

- Rabbit monoclonal [EPR21155] to SLAMF7 (20 μL) ab230945

Explore our range of antibody sample panels designed to provide you with a variety of trial-size antibodies in a convenient and cost-effective format.

Carrier-free formulations of our recombinant antibodies are also available for easy conjugation to labels of your choice and for multiplex applications. Use our intuitive search and select carrier-free or your label of choice. For bespoke conjugations or large volumes email bespoke@abcam.com.

What's included?

{ "values": { "1Kit": { "sellingSize": "1 Kit", "publicAssetCode":"ab252203-1Kit", "assetComponentDetails": [ { "size":"2 x 10 µL", "name":"Anti-SLAMF7 antibody [EPR21155]", "number":"AB252203-CMP01", "productcode":"AB230945" }, { "size":"2 x 10 µL", "name":"Anti-SLAMF7 antibody [CAL7]", "number":"AB252203-CMP02", "productcode":"AB237730" } ] } } }

Properties and storage information

Shipped at conditions
Blue Ice
Appropriate short-term storage conditions
+4°C
Appropriate long-term storage conditions
+4°C
Storage information
+4°C

Supplementary information

This supplementary information is collated from multiple sources and compiled automatically.

SLAMF7 also known as CS1 is a glycoprotein with a mass of approximately 70 kDa. This protein localizes on the surface of immune cells mainly on natural killer (NK) cells certain subsets of T cells and mature dendritic cells. It does not express in resting B cells but can be induced upon activation. CS1 plays a role in immune modulation by facilitating cell-to-cell interactions and activating various signaling pathways that enable immune responses.
Biological function summary

SLAMF7/CS1 modulates immune functions by engaging in interactions with other cell surface receptors. It often operates in the context of hematopoietic cells integrating signals that influence cell proliferation differentiation and survival. It does not require an associated adaptor molecule like most of the SLAM family members as it signals through its ability to recruit EAT-2. The CS1 protein modulates pathways related to immune cell activation and control making it an important player in the regulation of immune responses.

Pathways

CS1 participates prominently in immune signaling pathways where it interacts with proteins such as SAP and EAT-2. It is particularly involved in the immunoregulatory interactions contributing to NK cell-mediated cytotoxicity and modulation of T-cell responses. These interactions illustrate CS1's role in the modulation of immune responses positioning it within the broader network of immune signaling pathways important for maintaining immune homeostasis and defense mechanisms.

SLAMF7/CS1 shows key relevance in multiple myeloma and systemic lupus erythematosus (SLE). In multiple myeloma CS1 presents an overexpression and serves as a therapeutic target; its relationship with CD38 another important marker illustrates the potential for targeted therapies. In SLE improper signaling involving CS1 can contribute to the dysregulation of immune responses. Overall the intricate interactions of CS1 with other proteins highlight its significance in disease pathology and therapeutic potential.

Product protocols

Target data

Product promise

We are committed to supporting your work with high-quality reagents, and we're here for you every step of the way. In the unlikely event that one of our products does not perform as expected, you're protected by our Product Promise.
For full details, please see our Terms & Conditions

Please note: All products are 'FOR RESEARCH USE ONLY. NOT FOR USE IN DIAGNOSTIC OR THERAPEUTIC PROCEDURES'.

For licensing inquiries, please contact partnerships@abcam.com