JavaScript is disabled in your browser. Please enable JavaScript to view this website.
AB278177

Stimulatory Immune Checkpoint panel 2 - Human WB

Be the first to review this product! Submit a review

|

(0 Publication)

Stimulatory Immune Checkpoint panel 2 - Human WB (ab278177) is part of the multiplex kits range. Abcam offers high-quality biological reagents and tools including antibodies, proteins, assays, cell lines and lysates.

View Alternative Names

CD27, TNFRSF7, CD27 antigen, CD27L receptor, T-cell activation antigen CD27, T14, Tumor necrosis factor receptor superfamily member 7

8 Images
Western blot - Stimulatory Immune Checkpoint panel 2 - Human WB (AB278177)
  • WB

Supplier Data

Western blot - Stimulatory Immune Checkpoint panel 2 - Human WB (AB278177)

All lanes : Anti-CD226 antibody [EPR21172] (ab212076) at 1/1000 dilution.

Lane 1 : HEL (human bone marrow erythroleukemia cell line) whole cell lysate, 20 μg

Lane 2 :Human fetal spleen lysate, 20 μg

Lane 3 :
Human thymus lysate, 20 μg

Secondary (all lanes) : ab97051 at 1/100000 dilution.

Predicted MW : 39 kDa.

Observed MW : 60-80 kDa.

Exposure time : Lane 1 : 37 seconds; Lane 2 : 15 seconds; Lane 3 : 3 minutes.

Blocking/Dilution buffer : 5% NFDM/TBST.

The different molecular masses observed in different tissues or cell lines may be due to different level of CD226 glycosylation (PMID : 8673704).

false

Western blot - Stimulatory Immune Checkpoint panel 2 - Human WB (AB278177)
  • WB

Supplier Data

Western blot - Stimulatory Immune Checkpoint panel 2 - Human WB (AB278177)

All lanes : Anti-TMEM173 antibody [EPR13130-55] (ab239074) at 1/1000 dilution.

Lane 1 : THP-1 (human monocytic leukemia cell line) whole cell lysate, 20 μg

Lane 2 : HT1080 (human fibrosarcoma cell line) whole cell lysate, 20 μg

Lane 3 : Human tonsil lysate, 20 μg

Secondary (all lanes) : ab97051 at 1/100000 dilution.

Predicted MW : 42 kDa.

Observed MW : 36 kDa.

Blocking/Dilution buffer : 5% NFDM/TBST.

Exposure : 3 minutes

false

Western blot - Stimulatory Immune Checkpoint panel 2 - Human WB (AB278177)
  • WB

Supplier Data

Western blot - Stimulatory Immune Checkpoint panel 2 - Human WB (AB278177)

All lanes : Anti-CD27 antibody [EPR8569] (ab131254) purified, at 1/1000 dilution.

Lane 1 : Human lymph node tissue lysate, 20 μg

Lane 2 : Human fetal spleen tissue lysate, 20 μg

Secondary (all lanes) : Peroxidase-conjugated goat anti-rabbit IgG, (H+L) at 1/1000 dilution.

Predicted MW : 29 kDa.

Observed MW : 55 kDa.

Blocking and dilution buffer : 5% NFDM/TBST.

false

Western blot - Stimulatory Immune Checkpoint panel 2 - Human WB (AB278177)
  • WB

Supplier Data

Western blot - Stimulatory Immune Checkpoint panel 2 - Human WB (AB278177)

All lanes : Anti-CD27 antibody [EPR8569] (ab131254) unpurified, at 1/1000 dilution.

Lane 1 : Ramos (human Burkitt's lymphoma cell line) cell lysate, 10 μg

Lane 2 : Human lymph node cell lysate, 10 μg

Secondary (all lanes) : HRP labelled Goat anti Rabbit IgG at 1/2000 dilution.

Predicted MW : 29 kDa.

false

Western blot - Stimulatory Immune Checkpoint panel 2 - Human WB (AB278177)
  • WB

Supplier Data

Western blot - Stimulatory Immune Checkpoint panel 2 - Human WB (AB278177)

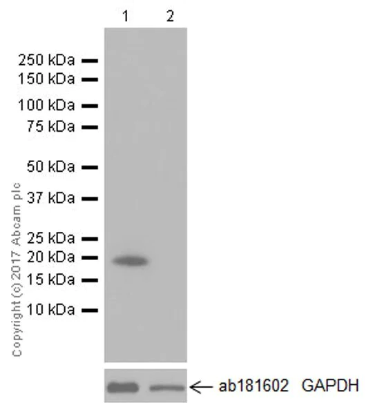
All lanes : Anti-TNFSF18/GITRL antibody [EPR20583] (ab211037) at 1/5000 dilution.

Lane 1 : HUVEC (Human umbilical vein endothelial cell line) whole cell lysate, 10 μg

Lane 2 : THP-1 (Human monocytic leukemia cell line) whole cell lysate, 10 μg

Secondary (all lanes) : ab97051 at 1/100000 dilution.

Predicted MW : 23 kDa.

Observed MW : 20 kDa.

Blocking/Dilution buffer : 5% NFDM/TBST.

TNFSF18 is constitutively expressed in HUVEC cells but is not expressed in monocytic cell line.

Negative control : THP-1 (PMID : 10037686).

Exposure : 3 minutes

false

Western blot - Stimulatory Immune Checkpoint panel 2 - Human WB (AB278177)
  • WB

Supplier Data

Western blot - Stimulatory Immune Checkpoint panel 2 - Human WB (AB278177)

All lanes : Anti-GITR antibody [EPR20566] (ab223841) at 1/1000 dilution.

Lane 1 : HEK-293T (human epithelial cell line from embryonic kidney transformed with large T antigen) transfected with an empty vector (vector control) containing a Myc-GFP-tag whole cell lysate, 10 μg

Lane 2 :HEK-293T transfected with human GITR, containing a Myc-GFP-tag, whole cell lysate, 10 μg

Secondary (all lanes) : ab97051 at 1/100000 dilution.

Predicted MW : 26 kDa.

Observed MW : 52 kDa.

Blocking/Dilution buffer : 5% NFDM/TBST.

Exposure : 1 second

ECL

false

Western blot - Stimulatory Immune Checkpoint panel 2 - Human WB (AB278177)
  • WB

Supplier Data

Western blot - Stimulatory Immune Checkpoint panel 2 - Human WB (AB278177)

All lanes : Anti-CD27 antibody [EPR8569] (ab131254) purified at 1/5000 dilution.

Lane 1 : NAMALWA (human Burkitt's lymphoma cell line) cell lysate, 20 μg

Secondary (all lanes) : Peroxidase-conjugated goat anti-rabbit IgG, (H+L) at 1/1000 dilution.

Predicted MW : 29 kDa.

Observed MW : 55 kDa.

Blocking and dilution buffer : 5% NFDM/TBST.

false

Western blot - Stimulatory Immune Checkpoint panel 2 - Human WB (AB278177)
  • WB

Supplier Data

Western blot - Stimulatory Immune Checkpoint panel 2 - Human WB (AB278177)

All lanes : Anti-CD28 antibody [EPR22076] (ab243228) at 1/1000 dilution.

Lane 1 : Jurkat (human T cell leukemia T lymphocyte), whole cell lysate, 20 μg

Lane 2 :EL4.IL-2 (mouse lymphoma T lymphocyte), whole cell lysate, 20 μg

Secondary (all lanes) : ab131366 at 1/1000 dilution.

Predicted MW : 25 kDa.

Observed MW : The target band ranging between 37kDa-48kDa is consistent with what has been described in the literature (PMID : 2825196). Minor band below 15kDa is likely to be an isoform.

This blot was developed using a higher sensitivity ECL substrate.

This primary antibody was incubated overnight at 4°C.

Exposure time : 26 secs.

false

Key facts

Reacts with

Human

Target

CD27

target

Product details

Stimulatory Immune Checkpoint panel 2 - Human WB ab278177 contains multiple trial-sized versions of anti-human antibody clones against CD28, CD27, CD226, STING/TMEM173, GITR and TNFSF18/GITRL specifically selected for high performance in various applications. They are provided as a sampler panel to allow you to easily evaluate each antibody.

For guidelines on how to use each antibody within the panel, please consult the individual datasheet for each antibody.

Panel contains:

- Rabbit monoclonal [EPR22076] to CD28 (20 μL) ab243228

- Rabbit monoclonal [EPR8569] to CD27 (20 μL) ab131254

- Rabbit monoclonal [EPR21172] to CD226 (20 μL) ab212076

- Rabbit monoclonal [EPR13130-55] to STING/TMEM173 (20 μL) ab239074

- Rabbit monoclonal [EPR20566] to GITR (20 μL) ab223841

- Rabbit monoclonal [EPR20583] to TNFSF18/GITRL (20 μL) ab211037

Explore our range of antibody sample panels designed to provide you with a variety of trial-size antibodies in a convenient and cost-effective format.

Carrier-free formulations of our recombinant antibodies are also available for easy conjugation to labels of your choice and for multiplex applications. Use our intuitive search and select carrier-free or your label of choice. For bespoke conjugations or large volumes email bespoke@abcam.com.

What's included?

{ "values": { "1Kit": { "sellingSize": "1 Kit", "publicAssetCode":"ab278177-1Kit", "assetComponentDetails": [ { "size":"2 x 10 µL", "name":"Anti-GITR antibody [EPR20566]", "number":"AB278177-CMP05", "productcode":"AB223841" }, { "size":"2 x 10 µL", "name":"Anti-CD226 antibody [EPR21172]", "number":"AB278177-CMP04", "productcode":"AB212076" }, { "size":"2 x 10 µL", "name":"Anti-TMEM173 antibody [EPR13130-55]", "number":"AB278177-CMP06", "productcode":"AB239074" }, { "size":"2 x 10 µL", "name":"Anti-CD28 antibody [EPR22076]", "number":"AB278177-CMP02", "productcode":"AB243228" }, { "size":"2 x 10 µL", "name":"Anti-CD27 antibody [EPR8569]", "number":"AB278177-CMP01", "productcode":"AB131254" }, { "size":"2 x 10 µL", "name":"Anti-TNFSF18/GITRL antibody [EPR20583]", "number":"AB278177-CMP03", "productcode":"AB211037" } ] } } }

Properties and storage information

Shipped at conditions
Blue Ice
Appropriate short-term storage conditions
-20°C
Appropriate long-term storage conditions
-20°C
Storage information
-20°C

Product protocols

Target data

Costimulatory immune-checkpoint receptor expressed at the surface of T-cells, NK-cells and B-cells which binds to and is activated by its ligand CD70/CD27L expressed by B-cells (PubMed : 28011863). The CD70-CD27 signaling pathway mediates antigen-specific T-cell activation and expansion which in turn provides immune surveillance of B-cells (PubMed : 28011863). Mechanistically, CD70 ligation activates the TRAF2-PTPN6 axis that subsequently inhibits LCK phosphorylation to promote phenotypic and transcriptional adaptations of T-cell memory (PubMed : 38354704). In addition, activation by CD70 on early progenitor cells provides a negative feedback signal to leukocyte differentiation during immune activation and thus modulates hematopoiesis (By similarity). Negatively regulates the function of Th2 lymphocytes in the adipose tissue (By similarity).
See full target information CD27

Additional targets

TNFSF18,CD226,TNFRSF18,STING1,CD28

Product promise

We are committed to supporting your work with high-quality reagents, and we're here for you every step of the way. In the unlikely event that one of our products does not perform as expected, you're protected by our Product Promise.
For full details, please see our Terms & Conditions

Please note: All products are 'FOR RESEARCH USE ONLY. NOT FOR USE IN DIAGNOSTIC OR THERAPEUTIC PROCEDURES'.

For licensing inquiries, please contact partnerships@abcam.com