JavaScript is disabled in your browser. Please enable JavaScript to view this website.
AB278178

Stimulatory Immune Checkpoint Panel - Human IHC

Be the first to review this product! Submit a review

|

(0 Publication)

Stimulatory Immune Checkpoint Panel - Human IHC (ab278178) is part of the multiplex kits range. Abcam offers high-quality biological reagents and tools including antibodies, proteins, assays, cell lines and lysates.

View Alternative Names

CD27, TNFRSF7, CD27 antigen, CD27L receptor, T-cell activation antigen CD27, T14, Tumor necrosis factor receptor superfamily member 7

19 Images
Immunohistochemistry (Formalin/PFA-fixed paraffin-embedded sections) - Stimulatory Immune Checkpoint Panel - Human IHC (AB278178)
  • IHC-P

Supplier Data

Immunohistochemistry (Formalin/PFA-fixed paraffin-embedded sections) - Stimulatory Immune Checkpoint Panel - Human IHC (AB278178)

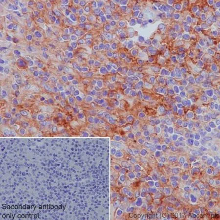
Immunohistochemical analysis of paraffin-embedded human Hodgkin's lymphoma tissue labeling CD40 with ab224639 at 1/250 dilution, followed by a ready to use Goat Anti-Rabbit IgG H&L (HRP). Membranous and cytoplasmic staining in Reed-Sternberg cells and tumor cells of human Hodgkin's lymphoma (PMID : 7507299) is observed. Counter stained with hematoxylin.

Secondary antibody only control : Used PBS instead of primary antibody, secondary antibody is a ready to use Goat Anti-Rabbit IgG H&L (HRP).

Perform heat mediated antigen retrieval using ab93684 (Tris/EDTA buffer, pH 9.0).

Immunohistochemistry (Formalin/PFA-fixed paraffin-embedded sections) - Stimulatory Immune Checkpoint Panel - Human IHC (AB278178)
  • IHC-P

Supplier Data

Immunohistochemistry (Formalin/PFA-fixed paraffin-embedded sections) - Stimulatory Immune Checkpoint Panel - Human IHC (AB278178)

Immunohistochemical analysis of paraffin-embedded human diffuse large B-cell lymphoma tissue labeling CD40 with ab224639 at 1/250 dilution, followed by a ready to use Goat Anti-Rabbit IgG H&L (HRP). Membranous staining in human diffuse large B-cell lymphoma tissue (PMID : 20593977) is observed. Counter stained with hematoxylin.

Secondary antibody only control : Used PBS instead of primary antibody, secondary antibody is a ready to use Goat Anti-Rabbit IgG H&L (HRP).

Perform heat mediated antigen retrieval using ab93684 (Tris/EDTA buffer, pH 9.0).

Immunohistochemistry (Formalin/PFA-fixed paraffin-embedded sections) - Stimulatory Immune Checkpoint Panel - Human IHC (AB278178)
  • IHC-P

Unknown

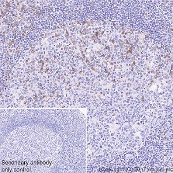
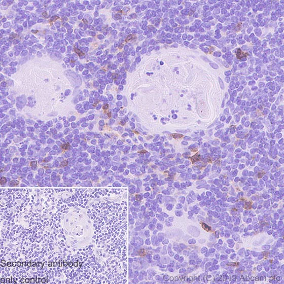
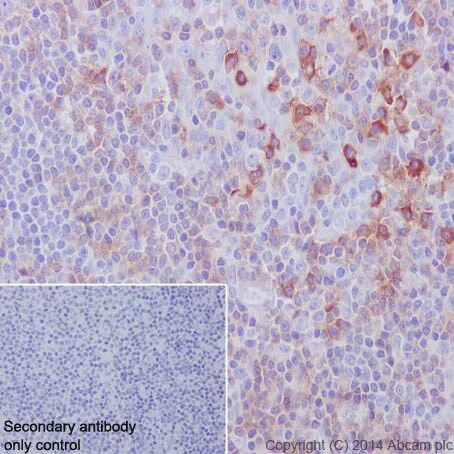
Immunohistochemistry (Formalin/PFA-fixed paraffin-embedded sections) - Stimulatory Immune Checkpoint Panel - Human IHC (AB278178)

Immunohistochemical analysis of paraffin-embedded human thymus tissue labeling CD134 / OX40L with ab264466 at 1/4000 dilution (0.13 ug/ml) followed by a ready to use Goat Anti-Rabbit IgG H&L (HRP). Positive staining on T cells of human thymus (PMID/8547142). Counterstained with Hematoxylin.

Secondary antibody only control/ Secondary antibody is a ready to use Goat Anti-Rabbit IgG H&L (HRP).

Heat mediated antigen retrieval using ab93684 (Tris/EDTA buffer, pH 9.0).

Immunohistochemistry (Formalin/PFA-fixed paraffin-embedded sections) - Stimulatory Immune Checkpoint Panel - Human IHC (AB278178)
  • IHC-P

Supplier Data

Immunohistochemistry (Formalin/PFA-fixed paraffin-embedded sections) - Stimulatory Immune Checkpoint Panel - Human IHC (AB278178)

Immunohistochemical analysis of paraffin-embedded human tonsil tissue labeling CD40 with ab224639 at 1/250 dilution, followed by a ready to use Goat Anti-Rabbit IgG H&L (HRP). Membranous and cytoplasmic staining in human tonsil tissue (PMID : 20593977; PMID : 7507299) is observed. Counter stained with hematoxylin.

Secondary antibody only control : Used PBS instead of primary antibody, secondary antibody is a ready to use Goat Anti-Rabbit IgG H&L (HRP).

Perform heat mediated antigen retrieval using ab93684 (Tris/EDTA buffer, pH 9.0).

Immunohistochemistry (Formalin/PFA-fixed paraffin-embedded sections) - Stimulatory Immune Checkpoint Panel - Human IHC (AB278178)
  • IHC-P

Unknown

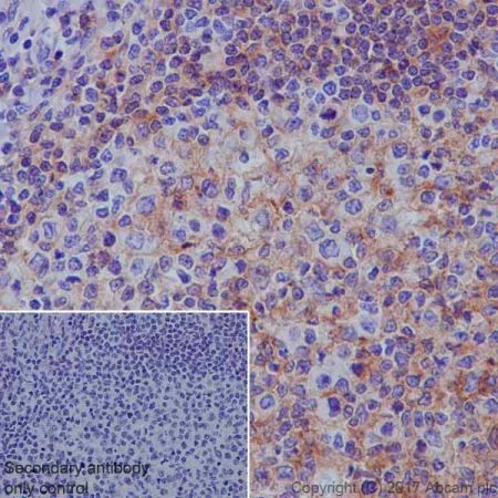
Immunohistochemistry (Formalin/PFA-fixed paraffin-embedded sections) - Stimulatory Immune Checkpoint Panel - Human IHC (AB278178)

Immunohistochemical analysis of paraffin-embedded human Hodgkin's lymphoma tissue labeling CD134 / OX40L receptor with ab264466 at 1/4000 dilution (0.13 ug/ml) followed by a ready to use Goat Anti-Rabbit IgG H&L (HRP). Positive staining on human Hodgkin's lymphoma (PMID/8547142). Counterstained with Hematoxylin.

Secondary antibody only control : Secondary antibody is a ready to use Goat Anti-Rabbit IgG H&L (HRP).

Heat mediated antigen retrieval using ab93684 (Tris/EDTA buffer, pH 9.0).

Immunohistochemistry (Formalin/PFA-fixed paraffin-embedded sections) - Stimulatory Immune Checkpoint Panel - Human IHC (AB278178)
  • IHC-P

Supplier Data

Immunohistochemistry (Formalin/PFA-fixed paraffin-embedded sections) - Stimulatory Immune Checkpoint Panel - Human IHC (AB278178)

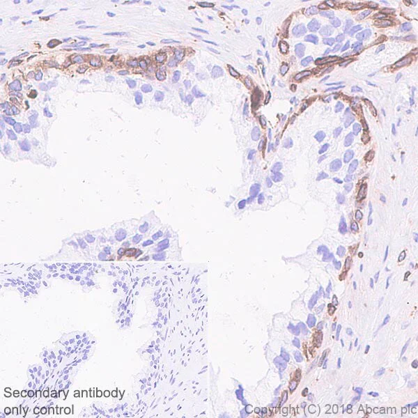
Immunohistochemical analysis of paraffin-embedded human prostate hyperplasia tissue labeling TMEM173 with ab239074 at 1/4000 dilution, followed by Goat Anti-Rabbit IgG H&L (HRP) Ready to use. Positive staining in basal cells of human prostate hyperplasia is observed. Counter stained with hematoxylin.

Secondary antibody only control : Used PBS instead of primary antibody, secondary antibody is Goat Anti-Rabbit IgG H&L (HRP) Ready to use.

Heat mediated antigen retrieval was performed with Tris/EDTA buffer pH 9.0 before commencing with IHC staining protocol.

Immunohistochemistry (Formalin/PFA-fixed paraffin-embedded sections) - Stimulatory Immune Checkpoint Panel - Human IHC (AB278178)
  • IHC-P

Supplier Data

Immunohistochemistry (Formalin/PFA-fixed paraffin-embedded sections) - Stimulatory Immune Checkpoint Panel - Human IHC (AB278178)

Immunohistochemistry (Formalin/PFA-fixed paraffin embedded sections) analysis of human tonsil tissue labelling CD27 with ab131254 at a dilution of 1/100.

Perform heat mediated antigen retrieval before commencing with IHC staining protocol.

Immunohistochemistry (Formalin/PFA-fixed paraffin-embedded sections) - Stimulatory Immune Checkpoint Panel - Human IHC (AB278178)
  • IHC-P

Supplier Data

Immunohistochemistry (Formalin/PFA-fixed paraffin-embedded sections) - Stimulatory Immune Checkpoint Panel - Human IHC (AB278178)

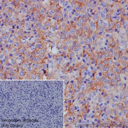
Immunohistochemical analysis of paraffin-embedded human stomach tissue labeling ICOS with ab224644 at 1/1000 dilution, followed by a ready to use Goat Anti-Rabbit IgG H&L (HRP). Cytoplasmic and membranous staining in a population of lymphoid cells of human stomach (magnification x200) is observed. Counter stained with hematoxylin.

Secondary antibody only control : Used PBS instead of primary antibody, secondary antibody is a ready to use Goat Anti-Rabbit IgG H&L (HRP).

Perform heat mediated antigen retrieval using ab93684 (Tris/EDTA buffer, pH 9.0).

Immunohistochemistry (Formalin/PFA-fixed paraffin-embedded sections) - Stimulatory Immune Checkpoint Panel - Human IHC (AB278178)
  • IHC-P

Supplier Data

Immunohistochemistry (Formalin/PFA-fixed paraffin-embedded sections) - Stimulatory Immune Checkpoint Panel - Human IHC (AB278178)

Immunohistochemical analysis of paraffin-embedded human tonsil tissue labeling TMEM173 with ab239074 at 1/4000 dilution, followed by Goat Anti-Rabbit IgG H&L (HRP) Ready to use. Positive staining in human tonsil (PMID : 28874664) is observed. Counter stained with hematoxylin.

Secondary antibody only control : Used PBS instead of primary antibody, secondary antibody is Goat Anti-Rabbit IgG H&L (HRP) Ready to use.

Heat mediated antigen retrieval was performed with Tris/EDTA buffer pH 9.0 before commencing with IHC staining protocol.

Immunohistochemistry (Formalin/PFA-fixed paraffin-embedded sections) - Stimulatory Immune Checkpoint Panel - Human IHC (AB278178)
  • IHC-P

Supplier Data

Immunohistochemistry (Formalin/PFA-fixed paraffin-embedded sections) - Stimulatory Immune Checkpoint Panel - Human IHC (AB278178)

Immunohistochemistry (Formalin/PFA-fixed paraffin-embedded sections) analysis of human tonsil tissue labelling CD27 with purified ab131254 at 1/1500. Heat mediated antigen retrieval was performed using Tris/EDTA buffer pH 9. ab97051, a HRP-conjugated goat anti-rabbit IgG (H+L) was used as the secondary antibody (1/500).

Negative control using PBS instead of primary antibody.

Counterstained with hematoxylin.

Immunohistochemistry (Formalin/PFA-fixed paraffin-embedded sections) - Stimulatory Immune Checkpoint Panel - Human IHC (AB278178)
  • IHC-P

Supplier Data

Immunohistochemistry (Formalin/PFA-fixed paraffin-embedded sections) - Stimulatory Immune Checkpoint Panel - Human IHC (AB278178)

Formalin-fixed, paraffin-embedded human tonsil tissue stained for TNFSF18 using ab237714 at 0.5 μg/ml in immunohistochemical analysis.

Immunohistochemistry (Formalin/PFA-fixed paraffin-embedded sections) - Stimulatory Immune Checkpoint Panel - Human IHC (AB278178)
  • IHC-P

Supplier Data

Immunohistochemistry (Formalin/PFA-fixed paraffin-embedded sections) - Stimulatory Immune Checkpoint Panel - Human IHC (AB278178)

Immunohistochemical analysis of paraffin-embedded human cervix cancer tissue labeling ICOS with ab224644 at 1/1000 dilution, followed by a ready to use Goat Anti-Rabbit IgG H&L (HRP). Cytoplasmic and membranous staining in tumor infiltrating lymphoid cells of human cervix cancer (PMID : 23802069) is observed. Counter stained with hematoxylin.

Secondary antibody only control : Used PBS instead of primary antibody, secondary antibody is a ready to use Goat Anti-Rabbit IgG H&L (HRP).

Perform heat mediated antigen retrieval using ab93684 (Tris/EDTA buffer, pH 9.0).

Immunohistochemistry (Formalin/PFA-fixed paraffin-embedded sections) - Stimulatory Immune Checkpoint Panel - Human IHC (AB278178)
  • IHC-P

Supplier Data

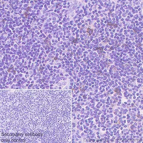
Immunohistochemistry (Formalin/PFA-fixed paraffin-embedded sections) - Stimulatory Immune Checkpoint Panel - Human IHC (AB278178)

Immunohistochemistry (Formalin/PFA-fixed paraffin embedded sections) analysis of human stomach tissue labelling CD27 with ab131254 at a dilution of 1/100.

Perform heat mediated antigen retrieval before commencing with IHC staining protocol.

Immunohistochemistry (Formalin/PFA-fixed paraffin-embedded sections) - Stimulatory Immune Checkpoint Panel - Human IHC (AB278178)
  • IHC-P

Supplier Data

Immunohistochemistry (Formalin/PFA-fixed paraffin-embedded sections) - Stimulatory Immune Checkpoint Panel - Human IHC (AB278178)

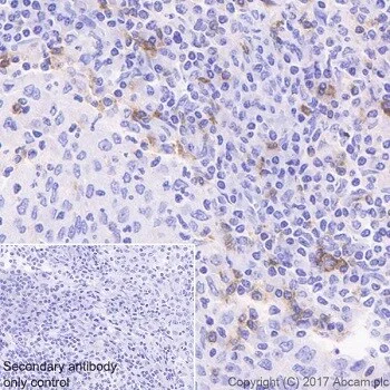
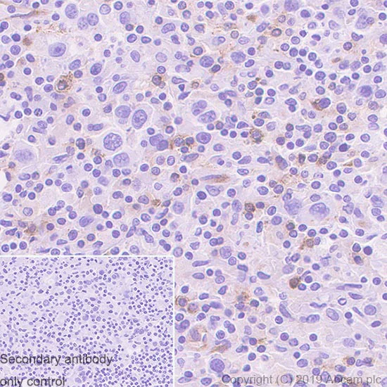
Immunohistochemical analysis of paraffin-embedded human bone marrow tissue labeling CD226 with ab212076 at 1/2000 dilution, followed by Rabbit specific IHC polymer detection kit HRP/DAB (ab209101). Cytoplasmic staining in megakaryocytes of human bone marrow (PMID : 15693793) is observed. Counter stained with hematoxylin.

Secondary antibody only control : Used PBS instead of primary antibody, secondary antibody is Rabbit specific IHC polymer detection kit HRP/DAB (ab209101).

Perform heat-induced antigen retrieval using ab208572 (Universal HIER antigen retrieval reagent).

Immunohistochemistry (Formalin/PFA-fixed paraffin-embedded sections) - Stimulatory Immune Checkpoint Panel - Human IHC (AB278178)
  • IHC-P

Supplier Data

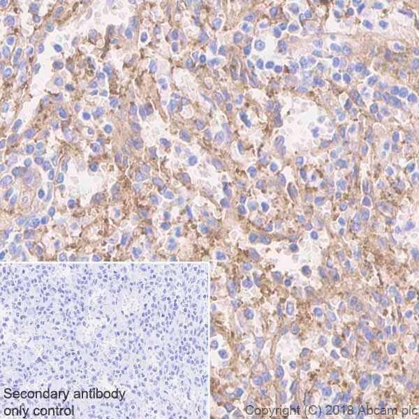
Immunohistochemistry (Formalin/PFA-fixed paraffin-embedded sections) - Stimulatory Immune Checkpoint Panel - Human IHC (AB278178)

Immunohistochemical analysis of paraffin-embedded human spleen tissue labeling CD226 with ab212076 at 1/2000 dilution, followed by Rabbit specific IHC polymer detection kit HRP/DAB (ab209101). Positive staining of platelets and endothelium in human spleen is observed. Counter stained with hematoxylin.

Secondary antibody only control : Used PBS instead of primary antibody, secondary antibody is Rabbit specific IHC polymer detection kit HRP/DAB (ab209101).

Perform heat-induced antigen retrieval using ab208572 (Universal HIER antigen retrieval reagent).

Immunohistochemistry (Formalin/PFA-fixed paraffin-embedded sections) - Stimulatory Immune Checkpoint Panel - Human IHC (AB278178)
  • IHC-P

Supplier Data

Immunohistochemistry (Formalin/PFA-fixed paraffin-embedded sections) - Stimulatory Immune Checkpoint Panel - Human IHC (AB278178)

Immunohistochemical analysis of paraffin-embedded human colon cancer tissue labeling TMEM173 with ab239074 at 1/4000 dilution, followed by Goat Anti-Rabbit IgG H&L (HRP) Ready to use. Positive staining in human colon cancer (PMID : 26748708) is observed. Counter stained with hematoxylin.

Secondary antibody only control : Used PBS instead of primary antibody, secondary antibody is Goat Anti-Rabbit IgG H&L (HRP) Ready to use.

Heat mediated antigen retrieval was performed with Tris/EDTA buffer pH 9.0 before commencing with IHC staining protocol.

Immunohistochemistry (Formalin/PFA-fixed paraffin-embedded sections) - Stimulatory Immune Checkpoint Panel - Human IHC (AB278178)
  • IHC-P

Supplier Data

Immunohistochemistry (Formalin/PFA-fixed paraffin-embedded sections) - Stimulatory Immune Checkpoint Panel - Human IHC (AB278178)

Immunohistochemical analysis of paraffin-embedded human tonsil tissue labeling ICOS with ab224644 at 1/1000 dilution, followed by a ready to use Goat Anti-Rabbit IgG H&L (HRP). Cytoplasmic and membranous staining in a population of lymphoid cells of human tonsil (PMID : 20207847), (magnification x200) is observed. Counter stained with hematoxylin.

Secondary antibody only control : Used PBS instead of primary antibody, secondary antibody is a ready to use Goat Anti-Rabbit IgG H&L (HRP).

Perform heat mediated antigen retrieval using ab93684 (Tris/EDTA buffer, pH 9.0).

Immunohistochemistry (Formalin/PFA-fixed paraffin-embedded sections) - Stimulatory Immune Checkpoint Panel - Human IHC (AB278178)
  • IHC-P

Supplier Data

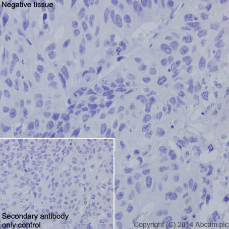
Immunohistochemistry (Formalin/PFA-fixed paraffin-embedded sections) - Stimulatory Immune Checkpoint Panel - Human IHC (AB278178)

Immunohistochemistry (Formalin/PFA-fixed paraffin-embedded sections) analysis of human lung carcinoma tissue showing negative staining with purified ab131254 at 1/800.

Heat mediated antigen retrieval was performed using Tris/EDTA buffer pH 9. ab97051, a HRP-conjugated goat anti-rabbit IgG (H+L) was used as the secondary antibody (1/500).

Negative control using PBS instead of primary antibody.

Counterstained with hematoxylin.

Immunohistochemistry (Formalin/PFA-fixed paraffin-embedded sections) - Stimulatory Immune Checkpoint Panel - Human IHC (AB278178)
  • IHC-P

Supplier Data

Immunohistochemistry (Formalin/PFA-fixed paraffin-embedded sections) - Stimulatory Immune Checkpoint Panel - Human IHC (AB278178)

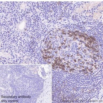
Immunohistochemical analysis of paraffin-embedded human tonsil tissue labeling GITR with ab237714 at 1/500 dilution, followed by a ready to use Goat Anti-Rabbit IgG H&L (HRP). Positive staining on the human tonsil tissue is observed. Counterstained with hematoxylin.

Secondary antibody only control : Used PBS instead of primary antibody, secondary antibody is a ready to use Goat Anti-Rabbit IgG H&L (HRP).

Perform heat mediated antigen retrieval using ab93684 (Tris/EDTA buffer, pH 9.0).

Key facts

Reacts with

Human

Target

CD27

target

Product details

Stimulatory Immune Checkpoint Panel - Human IHC ab278178 contains multiple trial-sized versions of anti-human antibody clones against CD134 / OX40L, ICOS, CD40, CD28, CD27, CD226, STING/TMEM173 and GITR specifically selected for high performance in various applications. They are provided as a sampler panel to allow you to easily evaluate each antibody.

For guidelines on how to use each antibody within the panel, please consult the individual datasheet for each antibody.

Panel contains:

- Rabbit monoclonal [EPR23000-42] to CD134 / OX40L receptor (20 μL) ab264466

- Rabbit monoclonal [EPR20560] to ICOS (20 μL) ab224644

- Rabbit monoclonal [EPR20735] to CD40 (20 μL) ab224639

- Rabbit monoclonal [EPR22076] to CD28 (20 μL) ab243228

- Rabbit monoclonal [EPR8569] to CD27 (20 μL) ab131254

- Rabbit monoclonal [EPR21172] to CD226 (20 μL) ab212076

- Rabbit monoclonal [EPR13130-55] to STING/TMEM173 (20 μL) ab239074

- Rabbit monoclonal [CAL8] to GITR (20 μL) ab237714

Explore our range of antibody sample panels designed to provide you with a variety of trial-size antibodies in a convenient and cost-effective format.

Carrier-free formulations of our recombinant antibodies are also available for easy conjugation to labels of your choice and for multiplex applications. Use our intuitive search and select carrier-free or your label of choice. For bespoke conjugations or large volumes email bespoke@abcam.com.

What's included?

{ "values": { "1Kit": { "sellingSize": "1 Kit", "publicAssetCode":"ab278178-1Kit", "assetComponentDetails": [ { "size":"2 x 10 µL", "name":"Anti-GITR antibody [CAL8]", "number":"AB278178-CMP08", "productcode":"AB237714" }, { "size":"2 x 10 µL", "name":"Anti-CD134 / OX40L receptor antibody [EPR23000-42]", "number":"AB278178-CMP03", "productcode":"AB264466" }, { "size":"2 x 10 µL", "name":"Anti-ICOS antibody [EPR20560]", "number":"AB278178-CMP04", "productcode":"AB224644" }, { "size":"2 x 10 µL", "name":"Anti-CD226 antibody [EPR21172]", "number":"AB278178-CMP05", "productcode":"AB212076" }, { "size":"2 x 10 µL", "name":"Anti-CD27 antibody [EPR8569]", "number":"AB278178-CMP01", "productcode":"AB131254" }, { "size":"2 x 10 µL", "name":"Anti-CD28 antibody [EPR22076]", "number":"AB278178-CMP02", "productcode":"AB243228" }, { "size":"2 x 10 µL", "name":"Anti-TMEM173 antibody [EPR13130-55]", "number":"AB278178-CMP07", "productcode":"AB239074" }, { "size":"2 x 10 µL", "name":"Anti-CD40 antibody [EPR20735]", "number":"AB278178-CMP06", "productcode":"AB224639" } ] } } }

Properties and storage information

Shipped at conditions
Blue Ice
Appropriate short-term storage conditions
-20°C
Appropriate long-term storage conditions
-20°C
Storage information
-20°C

Product protocols

Target data

Costimulatory immune-checkpoint receptor expressed at the surface of T-cells, NK-cells and B-cells which binds to and is activated by its ligand CD70/CD27L expressed by B-cells (PubMed : 28011863). The CD70-CD27 signaling pathway mediates antigen-specific T-cell activation and expansion which in turn provides immune surveillance of B-cells (PubMed : 28011863). Mechanistically, CD70 ligation activates the TRAF2-PTPN6 axis that subsequently inhibits LCK phosphorylation to promote phenotypic and transcriptional adaptations of T-cell memory (PubMed : 38354704). In addition, activation by CD70 on early progenitor cells provides a negative feedback signal to leukocyte differentiation during immune activation and thus modulates hematopoiesis (By similarity). Negatively regulates the function of Th2 lymphocytes in the adipose tissue (By similarity).
See full target information CD27

Additional targets

CD226,CD40,ICOS,TNFRSF18,STING1,CD28,TNFRSF4

Product promise

We are committed to supporting your work with high-quality reagents, and we're here for you every step of the way. In the unlikely event that one of our products does not perform as expected, you're protected by our Product Promise.
For full details, please see our Terms & Conditions

Please note: All products are 'FOR RESEARCH USE ONLY. NOT FOR USE IN DIAGNOSTIC OR THERAPEUTIC PROCEDURES'.

For licensing inquiries, please contact partnerships@abcam.com