JavaScript is disabled in your browser. Please enable JavaScript to view this website.
AB263463

Synaptic Marker (Synaptophysin, Synapsin1, PSD95, VAMP2) Antibody Sampler Panel - Human, Mouse

Be the first to review this product! Submit a review

|

(2 Publications)

Synaptic Marker sampler panel containing 6 antibodies against Synaptophysin, Synapsin1, PSD95 and VAMP2

- Provided as a sampler panel to allow you to easily evaluate each in your required applications.

View Alternative Names

Synaptophysin, Major synaptic vesicle protein p38, SYP

18 Images
Immunohistochemistry (Formalin/PFA-fixed paraffin-embedded sections) - Synaptic Marker (Synaptophysin, Synapsin1, PSD95, VAMP2) Antibody Sampler Panel - Human, Mouse (AB263463)
  • IHC-P

Supplier Data

Immunohistochemistry (Formalin/PFA-fixed paraffin-embedded sections) - Synaptic Marker (Synaptophysin, Synapsin1, PSD95, VAMP2) Antibody Sampler Panel - Human, Mouse (AB263463)

Immunohistochemical staining of paraffin embedded human pancreas with purified ab32127 at a dilution of 1/400.

A pre-diluted HRP polymer for rabbit/mouse IgG was used as the secondary antibody and the sample was counterstained with hematoxylin. Antigen retrieval was perfomed using Tris-EDTA buffer, pH 9.0.

PBS was used instead of the primary antibody as the negative control, and is shown in the inset.

Immunohistochemistry (Formalin/PFA-fixed paraffin-embedded sections) - Synaptic Marker (Synaptophysin, Synapsin1, PSD95, VAMP2) Antibody Sampler Panel - Human, Mouse (AB263463)
  • IHC-P

Lab

Immunohistochemistry (Formalin/PFA-fixed paraffin-embedded sections) - Synaptic Marker (Synaptophysin, Synapsin1, PSD95, VAMP2) Antibody Sampler Panel - Human, Mouse (AB263463)

IHC image of PSD95 [K28/43] staining in Human normal cerebral cortex formalin fixed paraffin embedded tissue section*, performed on a Leica Bond™ system using the standard protocol F. The section was pre-treated using heat mediated antigen retrieval (EDTA based pH 9.0 solution, epitope retrieval solution 2) for 20 mins. The section was then incubated with ab192757, 0.05μg/ml, for 15 mins at room temperature and detected using an HRP conjugated compact polymer system. DAB was used as the chromogen. The section was then counterstained with haematoxylin and mounted with DPX.

For other IHC staining systems (automated and non-automated) customers should optimize variable parameters such as antigen retrieval conditions, primary antibody concentration and antibody incubation times.

*Tissue obtained from the Human Research Tissue Bank, supported by the NIHR Cambridge Biomedical Research Centre

Immunocytochemistry/ Immunofluorescence - Synaptic Marker (Synaptophysin, Synapsin1, PSD95, VAMP2) Antibody Sampler Panel - Human, Mouse (AB263463)
  • ICC/IF

Lab

Immunocytochemistry/ Immunofluorescence - Synaptic Marker (Synaptophysin, Synapsin1, PSD95, VAMP2) Antibody Sampler Panel - Human, Mouse (AB263463)

ab181869 staining VAMP2 in U87-MG (human glioblastoma) cells by ICC/IF (Immunocytochemistry/immunofluorescence). Cells were fixed with 100% methanol. Samples were incubated with primary antibody at a dilution of 1/500. A goat anti rabbit IgG (Alexa Fluor® 488) (ab150077) was used as the secondary antibody at a dilution of 1/1000. DAPI was used as a nuclear counterstain.

Negative control 1 : PBS only.

Immunocytochemistry/ Immunofluorescence - Synaptic Marker (Synaptophysin, Synapsin1, PSD95, VAMP2) Antibody Sampler Panel - Human, Mouse (AB263463)
  • ICC/IF

Lab

Immunocytochemistry/ Immunofluorescence - Synaptic Marker (Synaptophysin, Synapsin1, PSD95, VAMP2) Antibody Sampler Panel - Human, Mouse (AB263463)

Immunocytochemical analysis of 4% paraformaldehyde-fixed, 0.1% Triton X-100 permeabilized PC-12 (Rat adrenal gland pheochromocytoma) cells labeling Synaptophysin with ab52636 at 1/250 dilution followed by Goat Anti-Rabbit IgG H&L (Alexa Fluor® 488) (ab150077) secondary antibody at 1/1000 dilution (green).

Confocal image showing cytoplasmic staining in PC-12 cell line.

The nuclear counter stain is DAPI (blue). Tubulin is detected with Anti-alpha Tubulin antibody [DM1A] - Microtubule Marker (Alexa Fluor® 594) (ab195889) (red) at 1/200 dilution.

Secondary antibody only control : Used PBS instead of primary antibody, secondary antibody is Goat Anti-Rabbit IgG H&L (Alexa Fluor® 488) (ab150077) secondary antibody at 1/1000 dilution.

Immunohistochemistry (Formalin/PFA-fixed paraffin-embedded sections) - Synaptic Marker (Synaptophysin, Synapsin1, PSD95, VAMP2) Antibody Sampler Panel - Human, Mouse (AB263463)
  • IHC-P

Unknown

Immunohistochemistry (Formalin/PFA-fixed paraffin-embedded sections) - Synaptic Marker (Synaptophysin, Synapsin1, PSD95, VAMP2) Antibody Sampler Panel - Human, Mouse (AB263463)

Immunohistochemical staining of paraffin embedded mouse cerebral cortex with purified ab32127 at a dilution of 1/400.

A pre-diluted HRP polymer for rabbit/mouse IgG was used as the secondary antibody and the sample was counterstained with hematoxylin. Antigen retrieval was perfomed using Tris-EDTA buffer, pH 9.0.

PBS was used instead of the primary antibody as the negative control, and is shown in the inset.

Western blot - Synaptic Marker (Synaptophysin, Synapsin1, PSD95, VAMP2) Antibody Sampler Panel - Human, Mouse (AB263463)
  • WB

Lab

Western blot - Synaptic Marker (Synaptophysin, Synapsin1, PSD95, VAMP2) Antibody Sampler Panel - Human, Mouse (AB263463)

All lanes : Anti-PSD95 antibody [K28/43] (ab192757) at 1 μg/ml

Lane 1 : Human brain tissue lysate - total protein (ab29466)

Lane 2 : Brain (Mouse) Tissue Lysate

Lane 3 : Brain (Rat) Tissue Lysate

Lane 4 : Human Cerebral Cortex Tissue Lysate

Lysates/proteins at 10 μg per lane.

Secondary

All lanes : Goat polyclonal to Mouse IgG - H&L - Pre-Adsorbed (HRP) at 1/5000 dilution

Developed using the ECL technique.

Performed under reducing conditions.

Predicted band size : 80 kDa

Observed band size : 80,95 kDa

Exposure time : 30 seconds

All lanes:

Western blot - Anti-PSD95 antibody [K28/43] - Synaptic Marker (<a href='/en-us/products/primary-antibodies/psd95-antibody-k28-43-synaptic-marker-ab192757'>ab192757</a>) at 1 µg/mL

Lane 1:

Human brain tissue lysate - total protein (<a href='/en-us/products/unavailable/human-brain-tissue-lysate-total-protein-ab29466'>ab29466</a>) at 10 µg

Lane 2:

Brain (Mouse) Tissue Lysate at 10 µg

Lane 3:

Brain (Rat) Tissue Lysate at 10 µg

Lane 4:

Human Cerebral Cortex Tissue Lysate at 10 µg

Secondary

All lanes:

Goat polyclonal to Mouse IgG - H&L - Pre-Adsorbed (HRP) at 1/5000 dilution

Predicted band size: 80 kDa

Observed band size: 80 kDa,95 kDa

true

Exposure time: 30s

Western blot - Synaptic Marker (Synaptophysin, Synapsin1, PSD95, VAMP2) Antibody Sampler Panel - Human, Mouse (AB263463)
  • WB

Unknown

Western blot - Synaptic Marker (Synaptophysin, Synapsin1, PSD95, VAMP2) Antibody Sampler Panel - Human, Mouse (AB263463)

Anti-VAMP2 antibody [EPR12790] (ab181869) at 1/50000 dilution (purified) + Mouse brain lysate at 10 μg

Secondary

Goat Anti-Rabbit IgG H&L (HRP) (ab97051) at 1/100000 dilution (Goat Anti-Rabbit IgG, (H+L), Peroxidase conjugated)

Predicted band size : 13 kDa

Blocking buffer and concentration : 5% NFDM/TBST.

Diluting buffer and concentration : 5% NFDM /TBST.

All lanes:

Western blot - Anti-VAMP2 antibody [EPR12790] (<a href='/en-us/products/primary-antibodies/vamp2-antibody-epr12790-ab181869'>ab181869</a>) at 1/50000 dilution

All lanes:

Mouse brain lysate at 10 µg

Secondary

All lanes:

Western blot - Goat Anti-Rabbit IgG H&L (HRP) (<a href='/en-us/products/secondary-antibodies/goat-rabbit-igg-h-l-hrp-ab97051'>ab97051</a>) at 1/100000 dilution

Predicted band size: 13 kDa,36 kDa

false

Flow Cytometry (Intracellular) - Synaptic Marker (Synaptophysin, Synapsin1, PSD95, VAMP2) Antibody Sampler Panel - Human, Mouse (AB263463)
  • Flow Cyt (Intra)

Supplier Data

Flow Cytometry (Intracellular) - Synaptic Marker (Synaptophysin, Synapsin1, PSD95, VAMP2) Antibody Sampler Panel - Human, Mouse (AB263463)

Intracellular flow cytometric analysis of 4% paraformaldehyde-fixed, 0.1% Tween-20 permeabilized Mouse primary brain cells cells labelling Synapsin-1 with ab254349 at 1/50 dilution (1ug) (Right) compared with a Rabbit monoclonal IgG (ab172730) isotype control (Left). A Goat anti rabbit IgG (Alexa Fluor® 488, ab150077) at 1/2000 dilution was used as the secondary antibody.

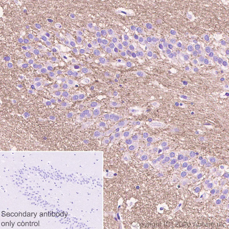
Immunohistochemistry (Formalin/PFA-fixed paraffin-embedded sections) - Synaptic Marker (Synaptophysin, Synapsin1, PSD95, VAMP2) Antibody Sampler Panel - Human, Mouse (AB263463)
  • IHC-P

Supplier Data

Immunohistochemistry (Formalin/PFA-fixed paraffin-embedded sections) - Synaptic Marker (Synaptophysin, Synapsin1, PSD95, VAMP2) Antibody Sampler Panel - Human, Mouse (AB263463)

Immunohistochemical analysis of paraffin-embedded Human hippocampus tissue labeling Synapsin-1 with ab254349 at 1/1000 dilution followed by a ready to use Rabbit specific IHC polymer detection kit HRP/DAB (ab209101). Cytoplasmic staining in human hippocampus (PMID : 22900032). The section was incubated with ab254349 for 30 mins at room temperature.The immunostaining was performed on a Leica Biosystems BOND® RX instrument. Counterstained with Hematoxylin.

Secondary antibody only control : Secondary antibody is a ready to use Rabbit specific IHC polymer detection kit HRP/DAB (ab209101).

Heat mediated antigen retrieval with Citrate buffer (pH 6.0, epitope retrieval solution 1) for 20 mins.

Immunohistochemistry (Frozen sections) - Synaptic Marker (Synaptophysin, Synapsin1, PSD95, VAMP2) Antibody Sampler Panel - Human, Mouse (AB263463)
  • IHC-Fr

Supplier Data

Immunohistochemistry (Frozen sections) - Synaptic Marker (Synaptophysin, Synapsin1, PSD95, VAMP2) Antibody Sampler Panel - Human, Mouse (AB263463)

Immunohistochemical analysis of 4% PFA-fixed, 0.2% Triton X-100 permeabilized frozen Mouse retina tissue labeling Synapsin-1 with ab254349 at 1/100 dilution followed by ab150077 Goat Anti-Rabbit IgG H&L (Alexa Fluor® 488) at 1/1000 (2 ug/ml) dilution (Green). Positive staining on mouse retina is observed. The nuclear counterstain was DAPI (Blue).

Secondary antibody control : Secondary antibody is ab150077 Goat Anti-Rabbit IgG H&L (Alexa Fluor® 488) at 1/1000 (2 ug/ml) dilution.

Heat mediated antigen retrieval using sodium citrate buffer (10mM citrate pH 6.0 + 0.05% Tween-20).

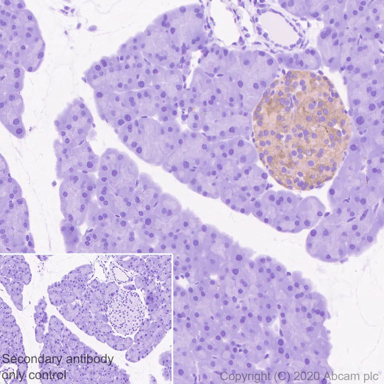
Immunohistochemistry (Formalin/PFA-fixed paraffin-embedded sections) - Synaptic Marker (Synaptophysin, Synapsin1, PSD95, VAMP2) Antibody Sampler Panel - Human, Mouse (AB263463)
  • IHC-P

Supplier Data

Immunohistochemistry (Formalin/PFA-fixed paraffin-embedded sections) - Synaptic Marker (Synaptophysin, Synapsin1, PSD95, VAMP2) Antibody Sampler Panel - Human, Mouse (AB263463)

Immunohistochemical analysis of paraffin-embedded Mouse pancreas tissue labeling Synapsin-1 with ab254349 at 1/1000 dilution followed by a ready to use Rabbit specific IHC polymer detection kit HRP/DAB (ab209101). Cytoplasmic staining in mouse pancreatic islets (PMID : 22334712). The section was incubated with ab254349 for 30 mins at room temperature. The immunostaining was performed on a Leica Biosystems BOND® RX instrument. Counterstained with Hematoxylin.

Secondary antibody only control : Secondary antibody is a ready to use Rabbit specific IHC polymer detection kit HRP/DAB (ab209101).

Heat mediated antigen retrieval with Citrate buffer (pH 6.0, epitope retrieval solution 1) for 20 mins.

Immunocytochemistry/ Immunofluorescence - Synaptic Marker (Synaptophysin, Synapsin1, PSD95, VAMP2) Antibody Sampler Panel - Human, Mouse (AB263463)
  • ICC/IF

Supplier Data

Immunocytochemistry/ Immunofluorescence - Synaptic Marker (Synaptophysin, Synapsin1, PSD95, VAMP2) Antibody Sampler Panel - Human, Mouse (AB263463)

Immunofluorescent analysis of 4% Paraformaldehyde-fixed, 0.1% Triton X-100 permeabilized mouse primary neuron cells labelling Synapsin-1 with ab254349 at 1/500 dilution, followed by ab150077 Goat Anti-Rabbit IgG H&L (Alexa Fluor® 488) antibody at 1/1000 dilution (Green). Confocal image showing positive staining in mouse primary neuron. Confocal scanning Z step was set as 0.3 μm followed by image processing with maximum Z projection. ab11267 Anti-MAP2 mouse monoclonal antibody was used to counterstain MAP2 at 1/500 dilution, followed by ab150120 Goat Anti-Mouse IgG H&L (Alexa Fluor® 594) at 1/1000 dilution (Red). The Nuclear counterstain was DAPI (Blue).

-ve control 1 : ab254349 at 1/500 dilution, followed by ab150120 Goat Anti-Mouse IgG H&L (Alexa Fluor® 594) at 1/1000 dilution.

-ve control 2 : ab11267 at 1/500 dilution, followed by ab150077 Goat Anti-Rabbit IgG H&L (Alexa Fluor® 488) antibody at 1/1000 dilution.

Immunohistochemistry (Frozen sections) - Synaptic Marker (Synaptophysin, Synapsin1, PSD95, VAMP2) Antibody Sampler Panel - Human, Mouse (AB263463)
  • IHC-Fr

Supplier Data

Immunohistochemistry (Frozen sections) - Synaptic Marker (Synaptophysin, Synapsin1, PSD95, VAMP2) Antibody Sampler Panel - Human, Mouse (AB263463)

Immunohistochemical analysis of 4% PFA-fixed, 0.2% Triton X-100 permeabilized frozen Mouse cerebrum tissue labeling Synapsin-1 with ab254349 at 1/100 dilution followed by ab150077 Goat Anti-Rabbit IgG H&L (Alexa Fluor® 488) at 1/1000 (2 ug/ml) dilution (Green). Positive staining on mouse cerebrum is observed. The nuclear counterstain was DAPI (Blue).

Secondary antibody control : Secondary antibody is ab150077 Goat Anti-Rabbit IgG H&L (Alexa Fluor® 488) at 1/1000 (2 ug/ml) dilution.

Heat mediated antigen retrieval using sodium citrate buffer (10mM citrate pH 6.0 + 0.05% Tween-20).

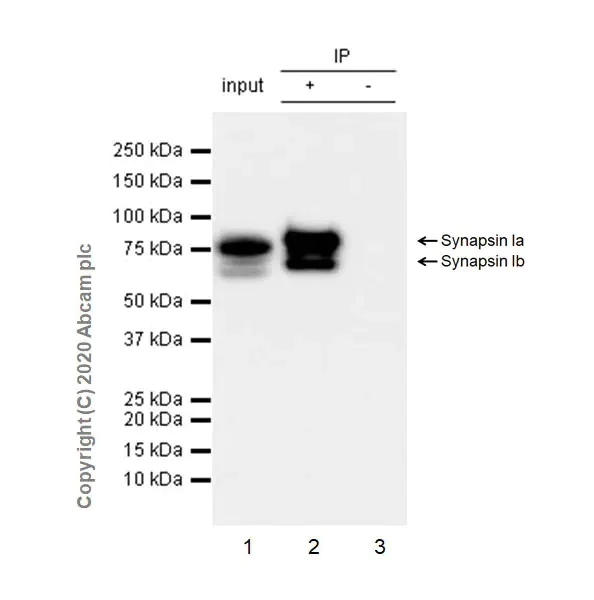
Immunoprecipitation - Synaptic Marker (Synaptophysin, Synapsin1, PSD95, VAMP2) Antibody Sampler Panel - Human, Mouse (AB263463)
  • IP

Supplier Data

Immunoprecipitation - Synaptic Marker (Synaptophysin, Synapsin1, PSD95, VAMP2) Antibody Sampler Panel - Human, Mouse (AB263463)

Synapsin-1 was immunoprecipitated from 0.35 mg Mouse brain tissue lysate with ab254349 at 1/30 dilution (2ug in 0.35mg lysates). Western blot was performed on the immunoprecipitate using ab254349 at 1/1000 dilution. VeriBlot for IP Detection Reagent (HRP)(ab131366) was used at 1/1000 dilution.

Lane 1 : Mouse brain tissue lysate 10 ug

Lane 2 : ab254349 IP in Mouse brain tissue lysate

Lane 3 : Rabbit monoclonal IgG (ab172730) instead of ab254349 in mouse brain tissue lysate

Blocking and dilution buffer and concentration : 5% NFDM/TBST.

Exposure time : 1 second.

Observed band : 70/75 kDa

false

Western blot - Synaptic Marker (Synaptophysin, Synapsin1, PSD95, VAMP2) Antibody Sampler Panel - Human, Mouse (AB263463)
  • WB

Supplier Data

Western blot - Synaptic Marker (Synaptophysin, Synapsin1, PSD95, VAMP2) Antibody Sampler Panel - Human, Mouse (AB263463)

Lane1 :
Primary : ab254349, 1/1000 dilution
Sample : Human brain tissue lysate, 20 ug
Secondary : VeriBlot for IP secondary antibody(HRP)(ab131366), 1/1000 dilution

Blocking and diluting buffer and concentration : 5% NFDM/TBST.

This blot was developed using a higher sensitivity ECL substrate.

Exposure time : 15 seconds.

Observed band : 75/70 kDa

false

Western blot - Synaptic Marker (Synaptophysin, Synapsin1, PSD95, VAMP2) Antibody Sampler Panel - Human, Mouse (AB263463)
  • WB

Supplier Data

Western blot - Synaptic Marker (Synaptophysin, Synapsin1, PSD95, VAMP2) Antibody Sampler Panel - Human, Mouse (AB263463)

Western blotting with ab238135 at 1/2000 dilution. ab131366 was used as a secondary at 1/1000 dilution.

Lane 1 : Human cerebellum lysate, 20 ug

Lane 2 : Human brain lysate, 20 ug

Blocking and diluting buffer and concentration : 5% NFDM/TBST

The molecular weight observed is consistent with what has been described in the literature (PMID : 20118925)

Exposure time : 48 seconds

Observed band : 75 and 100 kDa

false

Western blot - Synaptic Marker (Synaptophysin, Synapsin1, PSD95, VAMP2) Antibody Sampler Panel - Human, Mouse (AB263463)
  • WB

Supplier Data

Western blot - Synaptic Marker (Synaptophysin, Synapsin1, PSD95, VAMP2) Antibody Sampler Panel - Human, Mouse (AB263463)

Lanes 1 - 4 : Merged signal (red and green). Green - ab238135 at 1/2000 dilution observed at 75 kDa. Red - loading control ab8245 (Mouse anti-GAPDH antibody [6C5]) observed at 37 kDa. Secondary antibodies : Goat anti-Rabbit IgG H&L (IRDye® 800CW) preabsorbed (ab216773) and Goat anti-Mouse IgG H&L (IRDye® 680RD) preabsorbed (ab216776), 1/20000 dilution

Lane 1 : Wild-type SH-SY5Y cell lysate, 20 ug

Lane 2 : DLG4 knockout SH-SY5Y cell lysate, 20 ug

Lane 3 : HeLa cell lysate, 20 ug

Lane 4 : HL-60 cell lysate, 20 ug

ab238135 was shown to react with PSD95 in wild-type SH-SY5Y cells in Western blot with loss of signal observed in DLG4 knockout cell line ab280043 (DLG4 knockout cell lysate ab280102). Wild-type SH-SY5Y and DLG4 knockout cell lysates were subjected to SDS-PAGE. Membranes were blocked in 3 % milk in TBS-T (0.1 % Tween®) before incubation with ab238135 and ab8245 (Mouse anti-GAPDH antibody [6C5]) overnight at 4 °C at a 1 in 2000 dilution and a 1 in 20000 dilution respectively. Blots were incubated with Goat anti-Rabbit IgG H&L (IRDye® 800CW) preabsorbed (ab216773) and Goat anti-Mouse IgG H&L (IRDye® 680RD) preabsorbed (ab216776) secondary antibodies at 1 in 20000 dilution for 1 h at room temperature before imaging.

false

Western blot - Synaptic Marker (Synaptophysin, Synapsin1, PSD95, VAMP2) Antibody Sampler Panel - Human, Mouse (AB263463)
  • WB

Lab

Western blot - Synaptic Marker (Synaptophysin, Synapsin1, PSD95, VAMP2) Antibody Sampler Panel - Human, Mouse (AB263463)

Western blotting with ab238135 at 1/2000 dilution. ab97051 was used as a secondary at 1/100000 dilution.

Lane 1 : Mouse brain lysate 20 μg

Lane 2 : Mouse cerebellum lysate 20 μg

Lane 3 : Rat brain lysate 20 μg

Blocking and diluting buffer and concentration : 5% NFDM/TBST

The molecular weight observed is consistent with what has been described in the literature (PMID : 20118925).

Exposure time : 15 seconds

Observed band : 75 and 100 kDa

false

Key facts

Reacts with

Mouse, Human

Target

SYP

target

Product details

Product Specifications
Synaptic Marker (Synaptophysin, Synapsin1, PSD95, VAMP2) Antibody Sampler Panel - Human, Mouse (ab263463) is a panel of 6 monoclonal antibodies to synaptic markers. Synaptic markers are proteins to help identify and study synapses, the junctions between neurons.
This panel contains 5 rabbit recombinant monoclonal antibodies and 1 mouse monoclonal antibody to Synaptophysin (UniProt: P08247), Synapsin I (UniProt: O88935), PSD95 (UniProt: P78352), PSD95 (UniProt: Q62108) and VAMP2 (UniProt: P63027) in convenient trial sizes (20 µg/ 20 µL) to allow for efficient and cost-effect testing of the antibodies simultaneously.

The individual antibodies included in this panel are:

  • Rabbit recombinant monoclonal anti-Synaptophysin antibody [YE269] (ab32127)
  • Rabbit recombinant monoclonal anti-Synaptophysin antibody [EP1098Y] (ab52636)
  • Rabbit recombinant monoclonal anti-Synapsin I antibody [EPR23531-50] - Synaptic Marker (ab254349)
  • Mouse monoclonal anti-PSD95 antibody [K28/43] - Synaptic Marker (ab192757)
  • Rabbit recombinant monoclonal anti-PSD95 antibody [EPR23124-118] - Synaptic Marker (ab238135)
  • Rabbit recombinant monoclonal anti-VAMP2 antibody [EPR12790] (ab181869)

All of these component antibodies are available for purchase individually using their corresponding abIDs.

Quality and Validation
Abcams high quality validation processes ensure each component antibody is sensitive and specific to the target protein.
All antibodies in this panel have been validated in human, mouse and rat samples in a variety of applications, and some also have reactivity in other species.
For information on the species reactivity and application validation of each antibody within the panel, please consult the individual datasheet for each antibody. Suggested dilution factor and additional information on protocols can also be found on the antibody datasheets.
All antibodies in this panel have been cited in peer-reviewed journals and are trusted by scientific community.

Related Products
Many of our antibody clones are also available as carrier-free formulations for easy conjugation to labels of your choice, or in pre-conjugated formats. Please search the clone name for alternative formulations and related products.

Explore our range of antibody sample panels designed to provide you with a variety of trial-size antibodies in a convenient and cost-effective format.

Carrier-free formulations of our recombinant antibodies are also available for easy conjugation to labels of your choice and for multiplex applications. Use our intuitive search and select carrier-free or your label of choice. For bespoke conjugations or large volumes email bespoke@abcam.com.

What's included?

{ "values": { "1Kit": { "sellingSize": "1 Kit", "publicAssetCode":"ab263463-1Kit", "assetComponentDetails": [ { "size":"2 x 10 µL", "name":"Anti-Synaptophysin antibody [EP1098Y]", "number":"AB263463-CMP04", "productcode":"AB52636" }, { "size":"2 x 10 µL", "name":"Anti-PSD95 antibody [EPR23124-118]", "number":"AB263463-CMP05", "productcode":"AB238135" }, { "size":"2 x 10 µg", "name":"Anti-PSD95 antibody [K28/43]", "number":"AB263463-CMP01", "productcode":"AB192757" }, { "size":"2 x 10 µL", "name":"Anti-Synapsin I antibody [EPR23531-50]", "number":"AB263463-CMP06", "productcode":"AB254349" }, { "size":"2 x 10 µL", "name":"Anti-VAMP2 antibody [EPR12790]", "number":"AB263463-CMP03", "productcode":"AB181869" }, { "size":"2 x 10 µL", "name":"Anti-Synaptophysin antibody [YE269]", "number":"AB263463-CMP02", "productcode":"AB32127" } ] } } }

Properties and storage information

Shipped at conditions
Blue Ice
Appropriate short-term storage conditions
-20°C
Appropriate long-term storage conditions
-20°C
Storage information
-20°C

Supplementary information

This supplementary information is collated from multiple sources and compiled automatically.

Synapsin I Synaptophysin PSD95 and VAMP2 are important proteins in neuronal function. Synapsin I also known as neuron-specific phosphoprotein typically has a mass of approximately 70 kDa and is expressed in nerve terminals. Synaptophysin a major synaptic vesicle protein with a mass around 38 kDa is expressed in presynaptic vesicles. PSD95 a member of the membrane-associated guanylate kinase (MAGUK) family is found in the postsynaptic density of neurons. VAMP2 often referred to as synaptobrevin is found in synaptic vesicles with a mass close to 18 kDa. These proteins play roles as presynaptic and postsynaptic markers critical for synaptic signaling.
Biological function summary

These proteins contribute significantly to neuronal communication. Synapsin I participates in synaptic vesicle dynamics linking synaptic vesicles to the actin cytoskeleton. As part of a larger complex synaptophysin regulates synaptic vesicle fusion and neurotransmitter release. PSD95 is an essential component of the postsynaptic density complex interacting with NMDA receptors and ensuring receptor clustering at synaptic junctions. VAMP2 is involved in the SNARE complex which is pivotal for the fusion of synaptic vesicles with the presynaptic membrane facilitating neurotransmitter release into the synaptic cleft.

Pathways

These proteins integrate into critical synaptic and signaling pathways. Synapsin I influences the regulation of synaptic vesicle pools affecting the availability of neurotransmitters for release during signaling. In the SNARE complex VAMP2 interacts with SNAP-25 and syntaxin to mediate vesicle docking and fusion. Synaptophysin and PSD95 have roles in the glutamatergic synapse pathway cooperating with other proteins to modulate synaptic strength and plasticity. These interactions help maintain synaptic efficiency vital for cognitive processing and neuroplasticity.

These synaptic proteins are linked to neurological and psychiatric conditions. Synapsin I aligns with epilepsy where its dysfunction may lead to altered synaptic activity and uncontrolled neuronal firing. Synaptophysin abnormalities associate with schizophrenia possibly through disrupted neurotransmitter release or altered vesicle cycling. PSD95 correlations with Alzheimer’s disease arise due to its connection with amyloid-beta and synaptic degradation. VAMP2 plays a role in these disorders through its participation in synaptic vesicle trafficking and neurotransmitter release mechanisms. These proteins are focal points in understanding and targeting these neurological conditions.

Product protocols

Target data

Possibly involved in structural functions as organizing other membrane components or in targeting the vesicles to the plasma membrane. Involved in the regulation of short-term and long-term synaptic plasticity (By similarity).
See full target information SYP

Additional targets

SYN1,VAMP2,DLG4,SYN1,DLG4,VAMP2

Publications (2)

Recent publications for all applications. Explore the full list and refine your search

International journal of molecular sciences 24: PubMed37958809

2023

mRNA and Protein Expression in Human Fetal Membrane Cells: Potential Biomarkers for Preterm Prelabor Rupture of the Fetal Membranes?

Applications

Unspecified application

Species

Unspecified reactive species

Emmeli Mikkelsen,Berthold Huppertz,Ripudaman Singh,Katarina Ravn,Lotte Hatt,Mogens Kruhøffer,Rheanna Urrabaz-Garza,Niels Uldbjerg,Ramkumar Menon,Torben Steiniche

Journal of molecular neuroscience : MN 70:1967-1976 PubMed32436197

2020

Superior Synaptogenic Effect of Electrospun PLGA-PEG Nanofibers Versus PLGA Nanofibers on Human Neural SH-SY5Y Cells in a Three-Dimensional Culture System.

Applications

Unspecified application

Species

Unspecified reactive species

Leila Kazemi,Reza Rahbarghazi,Roya Salehi,Ali Abedelahi,Shabnam Asghari Niari,Mohammad Karimipour,Hamid Tayefi Nasrabadi
View all publications

Product promise

We are committed to supporting your work with high-quality reagents, and we're here for you every step of the way. In the unlikely event that one of our products does not perform as expected, you're protected by our Product Promise.
For full details, please see our Terms & Conditions

Please note: All products are 'FOR RESEARCH USE ONLY. NOT FOR USE IN DIAGNOSTIC OR THERAPEUTIC PROCEDURES'.

For licensing inquiries, please contact partnerships@abcam.com