JavaScript is disabled in your browser. Please enable JavaScript to view this website.
AB254018

T Cell Exhaustion Marker (PD1, CTLA4, TIM3, LAG3, TIGIT) Antibody Panel - Human, IHC

Be the first to review this product! Submit a review

|

(3 Publications)

T Cell Exhaustion Marker (PD1, CTLA4, TIM3, LAG3, TIGIT) Antibody Panel - Human, IHC (ab254018) is part of the multiplex kits range. Abcam offers high-quality biological reagents and tools including antibodies, proteins, assays, cell lines and lysates.

View Alternative Names

CD279, PD1, PDCD1, Programmed cell death protein 1, Protein PD-1, hPD-1

6 Images
Immunohistochemistry (Formalin/PFA-fixed paraffin-embedded sections) - T Cell Exhaustion Marker (PD1, CTLA4, TIM3, LAG3, TIGIT) Antibody Panel - Human, IHC (AB254018)
  • IHC-P

Supplier Data

Immunohistochemistry (Formalin/PFA-fixed paraffin-embedded sections) - T Cell Exhaustion Marker (PD1, CTLA4, TIM3, LAG3, TIGIT) Antibody Panel - Human, IHC (AB254018)

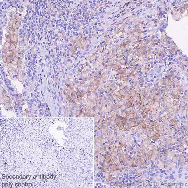
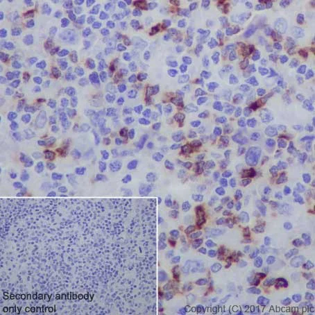
Immunohistochemical analysis of paraffin-embedded human tonsil Hodgkin's lymphoma labeling Lymphocyte Activation Gene 3 with ab209236 at 1/1000 dilution, followed by Goat Anti-Rabbit IgG H&L (HRP) Ready to use. Cytoplasmic staining on immunocytes of the human Hodgkin's lymphoma [PMID : 11527700; PMID : 16757686].

Counter stained with Hematoxylin.

Secondary antibody only control : Used PBS instead of primary antibody, secondary antibody is Goat Anti-Rabbit IgG H&L (HRP) Ready to use.

Immunohistochemistry (Formalin/PFA-fixed paraffin-embedded sections) - T Cell Exhaustion Marker (PD1, CTLA4, TIM3, LAG3, TIGIT) Antibody Panel - Human, IHC (AB254018)
  • IHC-P

Unknown

Immunohistochemistry (Formalin/PFA-fixed paraffin-embedded sections) - T Cell Exhaustion Marker (PD1, CTLA4, TIM3, LAG3, TIGIT) Antibody Panel - Human, IHC (AB254018)

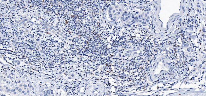
Formalin-fixed, paraffin-embedded human tonsil tissue stained for TIGIT using ab243903 at 1/200 dilution in immunohistochemical analysis. A HRP-conjugated goat anti-rabbit antibody was used as the secondary. DAB staining.

Immunohistochemistry (Formalin/PFA-fixed paraffin-embedded sections) - T Cell Exhaustion Marker (PD1, CTLA4, TIM3, LAG3, TIGIT) Antibody Panel - Human, IHC (AB254018)
  • IHC-P

Supplier Data

Immunohistochemistry (Formalin/PFA-fixed paraffin-embedded sections) - T Cell Exhaustion Marker (PD1, CTLA4, TIM3, LAG3, TIGIT) Antibody Panel - Human, IHC (AB254018)

Immunohistochemical analysis of paraffin-embedded human lung cancer tissue labeling TIM 3 with ab241332 at 1/1000 dilution, followed by Goat Anti-Rabbit IgG H&L (HRP) ready to use. Cytoplasmic and membranous staining on both infiltrated immunocytes and tumor cells of human lung cancer (PMID : 22586058) is observed. Counter stained with hematoxylin.

Secondary antibody only control : Used PBS instead of primary antibody, secondary antibody is Goat Anti-Rabbit IgG H&L (HRP) ready to use.

Heat mediated antigen retrieval using ab93684 (Tris/EDTA buffer, pH 9.0).

Immunohistochemistry (Formalin/PFA-fixed paraffin-embedded sections) - T Cell Exhaustion Marker (PD1, CTLA4, TIM3, LAG3, TIGIT) Antibody Panel - Human, IHC (AB254018)
  • IHC-P

Supplier Data

Immunohistochemistry (Formalin/PFA-fixed paraffin-embedded sections) - T Cell Exhaustion Marker (PD1, CTLA4, TIM3, LAG3, TIGIT) Antibody Panel - Human, IHC (AB254018)

Formalin-fixed, paraffin-embedded human breast carcinoma tissue stained for CTLA4 using ab237712 at 0.25 μg/ml in immunohistochemical analysis.

Incubate with primary antibody for 75 minutes at room temperature.

Immunohistochemistry (Formalin/PFA-fixed paraffin-embedded sections) - T Cell Exhaustion Marker (PD1, CTLA4, TIM3, LAG3, TIGIT) Antibody Panel - Human, IHC (AB254018)
  • IHC-P

Supplier Data

Immunohistochemistry (Formalin/PFA-fixed paraffin-embedded sections) - T Cell Exhaustion Marker (PD1, CTLA4, TIM3, LAG3, TIGIT) Antibody Panel - Human, IHC (AB254018)

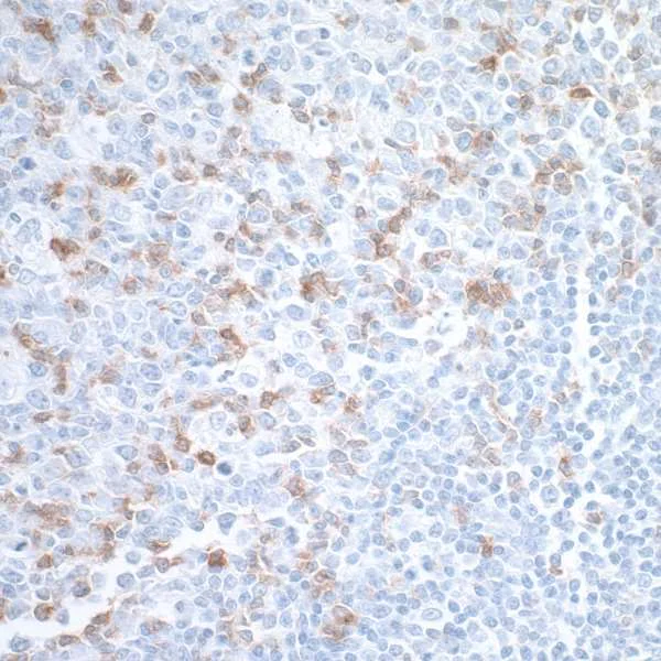
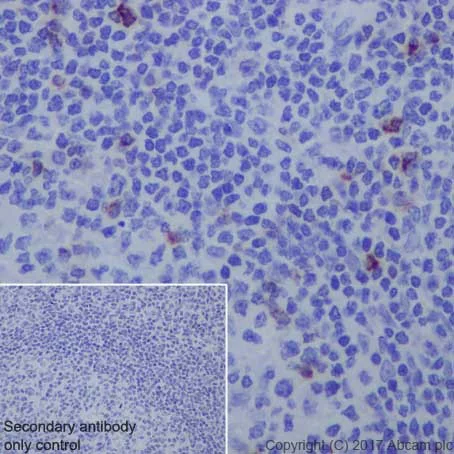
Immunohistochemical analysis of paraffin-embedded human tonsil tissue labeling Lymphocyte Activation Gene 3 with ab209236 at 1/1000 dilution, followed by Goat Anti-Rabbit IgG H&L (HRP) Ready to use. Sporadic cytoplasmic staining on immunocytes of human tonsil [PMID : 11527700; PMID : 16757686].

Counter stained with Hematoxylin.

Secondary antibody only control : Used PBS instead of primary antibody, secondary antibody is Goat Anti-Rabbit IgG H&L (HRP) Ready to use.

Immunohistochemistry (Formalin/PFA-fixed paraffin-embedded sections) - T Cell Exhaustion Marker (PD1, CTLA4, TIM3, LAG3, TIGIT) Antibody Panel - Human, IHC (AB254018)
  • IHC-P

Supplier Data

Immunohistochemistry (Formalin/PFA-fixed paraffin-embedded sections) - T Cell Exhaustion Marker (PD1, CTLA4, TIM3, LAG3, TIGIT) Antibody Panel - Human, IHC (AB254018)

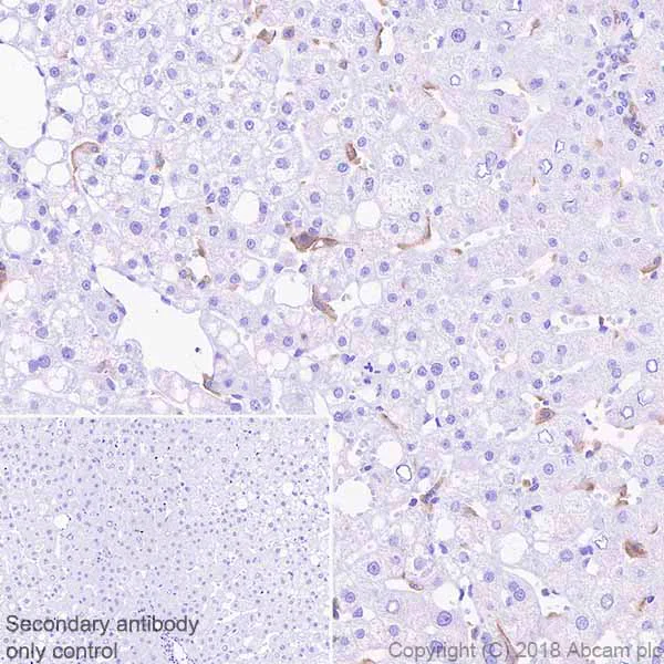
Immunohistochemical analysis of paraffin-embedded human liver tissue labeling TIM 3 with ab241332 at 1/1000 dilution, followed by Goat Anti-Rabbit IgG H&L (HRP) ready to use. Cytoplasmic and membranous staining on Kupffer cells of human liver (PMID : 27192565) is observed. Counter stained with hematoxylin.

Secondary antibody only control : Used PBS instead of primary antibody, secondary antibody is Goat Anti-Rabbit IgG H&L (HRP) ready to use.

Heat mediated antigen retrieval using ab93684 (Tris/EDTA buffer, pH 9.0).

Key facts

Reacts with

Human

Target

PDCD1

target

Product details

T Cell Exhaustion Marker (PD1, CTLA4, TIM3, LAG3, TIGIT) Antibody Panel - Human, IHC ab254018 contains multiple trial-sized versions of anti-human antibody clones against PD1, CTLA4, TIM3, LAG3, TIGIT, specifically selected for high performance in IHC. This panel contains 4 recombinant rabbit monoclonal antibodies against human CTLA4, TIM3, LAG3, TIGIT and 1 mouse monoclonal antibody against human PD1. They are provided as a sampler panel to allow you to easily evaluate each in your required applications.

For guidelines on how to use each antibody within the panel, please consult the individual datasheet for each antibody.

Panel contains:

- Mouse monoclonal [NAT105] to PD1 (20 μg) ab52587

- Rabbit monoclonal [CAL49] to CTLA4 (20 μL) ab237712

- Rabbit monoclonal [EPR22241] to TIM 3 (20 μL) ab241332

- Rabbit monoclonal [EPR20261] to LAG-3 (20 μL) ab209236

- Rabbit monoclonal [BLR047F] to TIGIT (20 μL) ab243903

Explore our range of antibody sample panels designed to provide you with a variety of trial-size antibodies in a convenient and cost-effective format.

Carrier-free formulations of our recombinant antibodies are also available for easy conjugation to labels of your choice and for multiplex applications. Use our intuitive search and select carrier-free or your label of choice. For bespoke conjugations or large volumes email bespoke@abcam.com.

REACH authorisation
Abcam has not and does not intend to apply for the REACH Authorisation of customers' uses of products that contain European Authorisation list (Annex XIV) substances.
It is the responsibility of our customers to check the necessity of application of REACH Authorisation, and any other relevant authorisations, for their intended uses.

Patented technology
Our RabMAb® technology is a patented hybridoma-based technology for making rabbit monoclonal antibodies. For details on our patents, please refer to RabMAb® patents.

What's included?

{ "values": { "1Kit": { "sellingSize": "1 Kit", "publicAssetCode":"ab254018-1Kit", "assetComponentDetails": [ { "size":"2 x 10 µL", "name":"Anti-TIM 3 antibody [EPR22241]", "number":"AB254018-CMP04", "productcode":"AB241332" }, { "size":"2 x 10 µL", "name":"Anti-Lymphocyte Activation Gene 3 antibody [EPR20261]", "number":"AB254018-CMP03", "productcode":"AB209236" }, { "size":"2 x 10 µL", "name":"Anti-TIGIT antibody [BLR047F]", "number":"AB254018-CMP01", "productcode":"AB243903" }, { "size":"1 x 20 µg", "name":"Anti-PD1 antibody [NAT105] (ab52587)", "number":"AB254018-CMP02", "productcode":"AB52587" }, { "size":"2 x 10 µL", "name":"Anti-CTLA4 antibody [CAL49]", "number":"AB254018-CMP05", "productcode":"AB237712" } ] } } }

Properties and storage information

Shipped at conditions
Blue Ice
Appropriate short-term storage conditions
-20°C
Appropriate long-term storage conditions
-20°C
Storage information
-20°C

Supplementary information

This supplementary information is collated from multiple sources and compiled automatically.

CTLA4 TIM-3 PD1 LAG-3 and TIGIT are important immune checkpoint proteins that play integral roles in regulating immune responses. Commonly referred to by their official gene symbols these proteins act as negative regulators of immune activation. CTLA4 for instance is a protein with an approximate molecular mass of 25 kDa and is expressed mainly on activated T cells and regulatory T cells. PD1 or Programmed cell death protein 1 shares a similar function and is expressed on T cells B cells and myeloid cells. LAG-3 (Lymphocyte-activation gene 3) and TIGIT (T cell immunoreceptor with Ig and ITIM domains) also contribute to immune modulation by limiting T cell activation. These proteins serve as exhaustion markers on T cells indicating immune regulation.
Biological function summary

These checkpoint proteins are part of the immune system's regulatory machinery and function to maintain self-tolerance and control immune responses to prevent tissue damage. For example CTLA4 competes with CD28 for binding to B7 molecules modulating early T cell activation. PD1 and its ligands PD-L1 and PD-L2 deliver inhibitory signals that reduce T cell activity. TIM-3 interacts with various ligands and has roles in T cell exhaustion. LAG-3 and TIGIT also convey inhibitory signals that reduce the activity of T cells through distinct mechanisms making them key exhaustion markers in the immune system.

Pathways

These immune checkpoints are closely linked to the immune synapse and adaptive immune pathways. CTLA4 and PD1 play central roles in the PD-1/PD-L1 and CTLA-4 pathways which are critical for immune homeostasis and tolerance. CTLA4 interacts with CD80 and CD86 part of the CD28 family pathway to modulate T cell responses. PD1 associates with its ligand PD-L1 in pathways that control the fine balance of immunity. LAG-3 and TIM-3 also participate in signaling pathways that regulate T cell exhaustion tying their function to critical immune regulation networks.

These immune checkpoint proteins have significant implications in cancer and autoimmune diseases. Dysregulation and overexpression of CTLA4 and PD1 are associated with cancer's ability to evade the immune system marking their importance as exhaustion markers in tumor environments. LAG-3 and TIGIT are also involved with LAG-3 contributing to cancer and autoimmune conditions by interfering with normal immune activity. Autoimmune disorders see alterations in these pathways where inadequate checkpoint function leads to excessive immune activity. Understanding their role is pivotal in developing therapies that target these checkpoint proteins for anti-cancer and autoimmunity treatments.

Product protocols

Target data

The protein expressed by the gene PDCD1 functions as an inhibitory receptor on antigen-activated T-cells, playing a critical role in the induction and maintenance of immune tolerance to self. It delivers inhibitory signals by binding to the ligands CD274/PDCD1L1 and CD273/PDCD1LG2. Tumors exploit the PDCD1-mediated inhibitory pathway to attenuate anti-tumor immunity, enabling tumor survival by evading immune system destruction. The interaction with CD274/PDCD1L1 inhibits the effector function of cytotoxic T lymphocytes (CTLs). Blocking the PDCD1-mediated pathway can reverse the exhausted T-cell phenotype and normalize the anti-tumor response, providing a rationale for cancer immunotherapy. This supplementary information is collated from multiple sources and compiled automatically.
See full target information PDCD1

Additional targets

CTLA4,HAVCR2,LAG3,TIGIT

Publications (3)

Recent publications for all applications. Explore the full list and refine your search

Heliyon 9:e22656 PubMed38125461

2023

Comprehensive analysis of single-cell and bulk RNA-sequencing data identifies B cell marker genes signature that predicts prognosis and analysis of immune checkpoints expression in head and neck squamous cell carcinoma.

Applications

Unspecified application

Species

Unspecified reactive species

Dilinaer Wusiman,Wenbin Li,Lei Guo,Zehao Huang,Yi Zhang,Xiwei Zhang,Xiaohui Zhao,Lin Li,Zhaohong An,Zhengjiang Li,Jianming Ying,Changming An

Journal of immunotherapy (Hagerstown, Md. : 1997) 46:154-159 PubMed37017991

2023

Immune Co-inhibitory Receptors CTLA-4, PD-1, TIGIT, LAG-3, and TIM-3 in Upper Tract Urothelial Carcinomas: A Large Cohort Study.

Applications

Unspecified application

Species

Unspecified reactive species

Shengming Jin,Zhi Shang,Wenwen Wang,Chengyuan Gu,Yu Wei,Yu Zhu,Chen Yang,Tiantian Zhang,Yao Zhu,Yiping Zhu,Junlong Wu,Dingwei Ye

Journal for immunotherapy of cancer 10: PubMed34992092

2022

Intratumor expanded T cell clones can be non-sentinel lymph node derived in breast cancer revealed by single-cell immune profiling.

Applications

Unspecified application

Species

Unspecified reactive species

Shiping Jiao,Qing Xiong,Meisi Yan,Xiaolu Zhan,Zhenhuang Yang,Cheng Peng,Beicheng Sun,Da Pang,Tong Liu
View all publications

Product promise

We are committed to supporting your work with high-quality reagents, and we're here for you every step of the way. In the unlikely event that one of our products does not perform as expected, you're protected by our Product Promise.
For full details, please see our Terms & Conditions

Please note: All products are 'FOR RESEARCH USE ONLY. NOT FOR USE IN DIAGNOSTIC OR THERAPEUTIC PROCEDURES'.

For licensing inquiries, please contact partnerships@abcam.com