JavaScript is disabled in your browser. Please enable JavaScript to view this website.
AB228526

Wnt/Beta Catenin Signaling Pathway Antibody Sampler Panel

Be the first to review this product! Submit a review

|

(3 Publications)

ab228526, Wnt/Beta Catenin Signaling Pathway Panel, is a collection of 1 anti-rabbit (HRP) secondary antibody and 5 recombinant rabbit monoclonal antibodies against c-Myc, c-Jun, Cyclin D1, LEF1, and c-Met provided in 10 μl trial sizes.
5 Images
Immunocytochemistry/ Immunofluorescence - Wnt/Beta Catenin Signaling Pathway Antibody Sampler Panel (AB228526)
  • ICC/IF

Unknown

Immunocytochemistry/ Immunofluorescence - Wnt/Beta Catenin Signaling Pathway Antibody Sampler Panel (AB228526)

Immunofluorescence staining of Jurkat (Human T cell leukemia cell line from peripheral blood) cells with purified ab137872 at a working dilution of 1 in 500 counter-stained with DAPI. Tubulin was stained with mouse anti-tubulin at a dilution of 1/1000 (ab7291) and Alexa Fluor® 594 goat anti-mouse at a dilution of 1/500 (ab150120) . The secondary antibody was ab150077 Alexa Fluor® 488 goat anti rabbit used at a dilution of 1 in 500. The cells were fixed in 4% PFA and permeabilized using 0.1% Triton X 100.

The negative controls are shown in the bottom middle and right hand panels - for the first negative control purified ab137872 was used at a dilution of 1/200 followed by an Alexa Fluor® 555 goat anti-mouse antibody at a dilution of 1/500 and for the second negative control mouse primary antibody (ab7291) and anti-rabbit secondary antibody (ab15007) were used.

Immunohistochemistry (Formalin/PFA-fixed paraffin-embedded sections) - Wnt/Beta Catenin Signaling Pathway Antibody Sampler Panel (AB228526)
  • IHC-P

AbReview60220****

Immunohistochemistry (Formalin/PFA-fixed paraffin-embedded sections) - Wnt/Beta Catenin Signaling Pathway Antibody Sampler Panel (AB228526)

ab51067 staining Met (c-Met) in human breast tissue sections by Immunohistochemistry (IHC-P - paraformaldehyde-fixed, paraffin-embedded sections). Tissue was fixed with formaldehyde, permeabilized with 0.05% tween 20 and blocked for 30 minutes at 22°C; antigen retrieval was by heat mediation in Antigen Retrieval Buffer (100X Citrate Buffer pH 6.0) (ab94674). Samples were incubated with the primary antibody (1/100) for 14 hours at 4°C. An Alexa Fluor® 488-conjugated goat anti-rabbit IgG polyclonal (1/300) was used as the secondary antibody.

This image is courtesy of an Abreview submitted by David Ivancic.

Immunohistochemistry (Formalin/PFA-fixed paraffin-embedded sections) - Wnt/Beta Catenin Signaling Pathway Antibody Sampler Panel (AB228526)
  • IHC-P

Unknown

Immunohistochemistry (Formalin/PFA-fixed paraffin-embedded sections) - Wnt/Beta Catenin Signaling Pathway Antibody Sampler Panel (AB228526)

IHC image of ab32072 staining c-Myc in human esophagus formalin fixed paraffin embedded tissue sections*, performed on a Leica Bond. The section was pre-treated using heat mediated antigen retrieval with sodium citrate buffer (pH6, epitope retrieval solution 1) for 20 mins. The section was then incubated with ab32072, 1μg/ml, for 15 mins at room temperature and detected using an HRP conjugated compact polymer system. DAB was used as the chromogen. The section was then counterstained with haematoxylin and mounted with DPX. No primary antibody was used in the Secondary only control (shown on the inset).

For other IHC staining systems (automated and non-automated) customers should optimize variable parameters such as antigen retrieval conditions, primary antibody concentration and antibody incubation times.

Immunocytochemistry/ Immunofluorescence - Wnt/Beta Catenin Signaling Pathway Antibody Sampler Panel (AB228526)
  • ICC/IF

Unknown

Immunocytochemistry/ Immunofluorescence - Wnt/Beta Catenin Signaling Pathway Antibody Sampler Panel (AB228526)

ab32137 staining c-Jun in HeLa cells treated with curcumin (diferuloylmethane) (ab120618), by ICC/IF. Decrease in c-Jun expression correlates with increased concentration of curcumin (diferuloylmethane) as described in literature.
The cells were incubated at 37°C for 4h in media containing different concentrations of ab120618 (curcumin (diferuloylmethane)) in DMSO, fixed with 4% formaldehyde for 10 minutes at room temperature and blocked with PBS containing 10% goat serum, 0.3 M glycine, 1% BSA and 0.1% tween for 2h at room temperature. Staining of the treated cells with ab32137 (1/100 dilution) was performed overnight at 4°C in PBS containing 1% BSA and 0.1% tween. A DyLight 488 goat anti-rabbit polyclonal antibody (ab96899) at 1/250 dilution was used as the secondary antibody. Nuclei were counterstained with DAPI and are shown in blue.

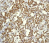
Immunohistochemistry (Formalin/PFA-fixed paraffin-embedded sections) - Wnt/Beta Catenin Signaling Pathway Antibody Sampler Panel (AB228526)
  • IHC-P

Unknown

Immunohistochemistry (Formalin/PFA-fixed paraffin-embedded sections) - Wnt/Beta Catenin Signaling Pathway Antibody Sampler Panel (AB228526)

Immunohistochemical analysis of paraffin-embedded human mantle cell lymphoma tissue, labeling Cyclin D1 with unpurified ab134175 at 1/100 dilution.

Key facts

Product details

ab228526, Wnt/Beta Catenin Signaling Pathway Panel, is a collection of 1 anti-rabbit (HRP) secondary antibody and 5 recombinant rabbit monoclonal antibodies against c-Myc, c-Jun, Cyclin D1, LEF1, and c-Met provided in 10 μl trial sizes.

Explore our range of antibody sample panels designed to provide you with a variety of trial-size antibodies in a convenient and cost-effective format.

Carrier-free formulations of our recombinant antibodies are also available for easy conjugation to labels of your choice and for multiplex applications. Use our intuitive search and select carrier-free or your label of choice. For bespoke conjugations or large volumes email bespoke@abcam.com.

What's included?

{ "values": { "1Kit": { "sellingSize": "1 Kit", "publicAssetCode":"ab228526-1Kit", "assetComponentDetails": [ { "size":"1 x 10 µL", "name":"Anti-LEF1 antibody [EPR2029Y]", "number":"AB228526-CMP05", "productcode":"AB137872" }, { "size":"1 x 10 µL", "name":"Anti-Met (c-Met) antibody [EP1454Y]", "number":"AB228526-CMP02", "productcode":"AB51067" }, { "size":"1 x 10 µL", "name":"Anti-Cyclin D1 antibody [EPR2241]", "number":"AB228526-CMP04", "productcode":"AB134175" }, { "size":"1 x 10 µL", "name":"Anti-c Myc antibody [Y69]", "number":"AB228526-CMP06", "productcode":"AB32072" }, { "size":"1 x 10 µL", "name":"Anti-c-Jun antibody [E254]", "number":"AB228526-CMP03", "productcode":"AB32137" }, { "size":"1 x 100 µg", "name":"Goat Anti-Rabbit IgG H+L (HRP)", "number":"AB228526-CMP01", "productcode":"AB205718" } ] } } }

Properties and storage information

Shipped at conditions
Blue Ice
Appropriate short-term storage conditions
Multi
Appropriate long-term storage conditions
Multi
Storage information
Please refer to protocols

Product protocols

Target data

Publications (3)

Recent publications for all applications. Explore the full list and refine your search

Cancer science 113:1250-1263 PubMed35048477

2022

Circ_0002623 promotes bladder cancer progression by regulating the miR-1276/SMAD2 axis.

Applications

Unspecified application

Species

Unspecified reactive species

Zhaocun Zhang,Haifeng Zhao,Guanwen Zhou,Ruoyan Han,Zhuang Sun,Minglei Zhong,Xianzhou Jiang

Journal of orthopaedic surgery and research 16:71 PubMed33472642

2021

miRNA-128 modulates bone neoplasms cells proliferation and migration through the WNT/β-catenin and EMT signal pathways.

Applications

Unspecified application

Species

Unspecified reactive species

Yang Li,Xiaotao Long,Ji Wang,Jing Peng,Kai Shen

Oncology letters 16:2797-2804 PubMed30127865

2018

MEG-3-mediated Wnt/β-catenin signaling pathway controls the inhibition of tunicamycin-mediated viability in glioblastoma.

Applications

Unspecified application

Species

Unspecified reactive species

Xiangyu Cui,Dezhou Sun,Bin Shen,Xin Wang
View all publications

Product promise

We are committed to supporting your work with high-quality reagents, and we're here for you every step of the way. In the unlikely event that one of our products does not perform as expected, you're protected by our Product Promise.
For full details, please see our Terms & Conditions

Please note: All products are 'FOR RESEARCH USE ONLY. NOT FOR USE IN DIAGNOSTIC OR THERAPEUTIC PROCEDURES'.

For licensing inquiries, please contact partnerships@abcam.com