JavaScript is disabled in your browser. Please enable JavaScript to view this website.
AB83459

Aconitase Assay Kit

Be the first to review this product! Submit a review

|

(17 Publications)

Aconitase Assay Kit ab83459 is based on the action of isocitrate dehydrogenase on isocitrate produced by aconitase, in a coupled reaction producing a colorimetric (450 nm) readout.

- includes reagent for aconitase activation

View Alternative Names

Aconitase, Citrate hydro-lyase, ACO2

5 Images
Functional Studies - Aconitase Assay Kit (AB83459)
  • FuncS

Lab

Functional Studies - Aconitase Assay Kit (AB83459)

Aconitase measured in mouse tissue lysates showing quantity (mU) per mg of tested sample.

Protein concentration for samples varied from 1.5 mg/mL to 10 mg/mL. Samples were diluted 1-27 fold.

Functional Studies - Aconitase Assay Kit (AB83459)
  • FuncS

Supplier Data

Functional Studies - Aconitase Assay Kit (AB83459)

Isocitrate standard curve using ab83459.

Functional Studies - Aconitase Assay Kit (AB83459)
  • FuncS

Supplier Data

Functional Studies - Aconitase Assay Kit (AB83459)

30 minute Aconitase sample test using ab83459.

Functional Studies - Aconitase Assay Kit (AB83459)
  • FuncS

Unknown

Functional Studies - Aconitase Assay Kit (AB83459)

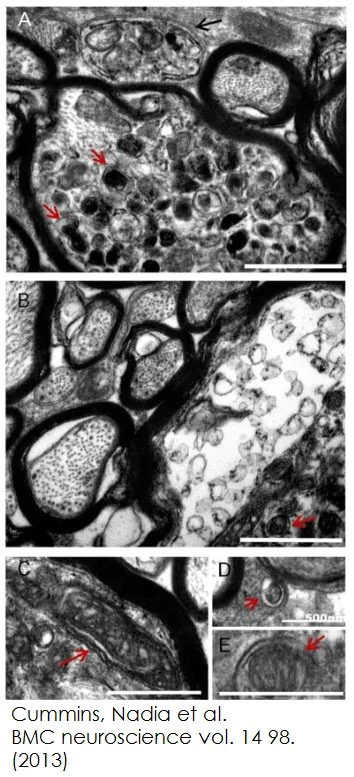
Mitochondrial autophagic profiles in ON vulnerable to secondary degeneration +/- R/NIR-IT. Accumulations of mitochondrial autophagic profiles (red arrows) were seen especially at day 1 after PT (A, B). Occasionally, larger features reminiscent of autophagosomes were observed (A, black arrow) and parts of the nerve appeared highly abnormal (*, B).

Cummins, Nadia et al., BMC neuroscience: vol. 14 98., Fig 6, doi:10.1186/1471-2202-14-98

Schematic Diagram - Aconitase Assay Kit (AB83459)
  • Schematic Diagram

Supplier Data

Schematic Diagram - Aconitase Assay Kit (AB83459)

Representative image of Aconitase Assay Kit ab83459

Components shown from left to right :

- Cysteine standard

- Developer Solution II

- Isocitrate Standard

- Substrate XI

- Enzyme Mix VII

- Ferrous Ammonium Sulfate

- Assay Buffer 7

Note : The vial labels shown in this image use generic names for illustrative purposes only and may not exactly match the specific component names included in the kit.

Note : Colors of solutions in image may not precisely match the shade of colors in the actual kit.

Key facts

Detection method

Colorimetric

Sample types

Tissue Lysate, Cell Lysate

Assay type

Enzyme activity

Assay time

40m

Assay Platform

Microplate reader

Reactivity data

{ "title": "Reactivity Data", "filters": { "stats": ["", "Reactivity", "Dilution Info", "Notes"] }, "values": { "Enzyme activity assay": { "reactivity":"TESTED_AND_REACTS", "dilution-info":"", "notes":"<p></p>" } } }

Product details

Aconitase Assay Kit ab83459 is a highly sensitive, simple, direct and HTS-ready colorimetric assay for measuring Aconitase activity in biological samples.

Aconitase assay principle
In the aconitase assay protocol, citrate is converted by aconitase into isocitrate. Isocitrate dehydrogenase, then acts on isocitrate and NADP, in a coupled reaction that converts a probe into an colored form with a max absorbance at 450nm.

Aconitase assay protocol summary
- activate aconitase in samples by adding cysteine HCl and (NH4)2Fe(SO4)2
- add samples and standards to wells
- add reaction mix and incubate for 30-60 min
- analyze with a microplate reader

Related Aconitase assay kits< br/> For an alternative aconitase assay method, based on measurement of absorbance of the cis-aconitate intermediate formed during the action of aconitase, use Aconitase assay kit ab109712.

Other notes
This was previously called K716 Biovision Aconitase Activity Colorimetric Assay Kit. Biovision was acquired by Abcam in 2021

.

Aconitase (aconitate hydratase; EC 4.2.1.3) is an iron-sulfur protein containing an [Fe4S4]2+ cluster that catalyzes the stereospecific isomerization of citrate to isocitrate via cis-aconitate in the tricarboxylic acid cycle, a non-redox-active process.

REACH authorisation
Abcam has not and does not intend to apply for the REACH Authorisation of customers' uses of products that contain European Authorisation list (Annex XIV) substances.
It is the responsibility of our customers to check the necessity of application of REACH Authorisation, and any other relevant authorisations, for their intended uses.

What's included?

{ "values": { "100Test": { "sellingSize": "100 Test", "publicAssetCode":"ab83459-100Test", "assetComponentDetails": [ { "size":"1 x 1 Vial", "name":"Substrate XI", "number":"AB83459-CMP07", "productcode":"" }, { "size":"1 x 1 Vial", "name":"Ferrous Ammonium Sulfate", "number":"AB83459-CMP06", "productcode":"" }, { "size":"1 x 600 µL", "name":"Enzyme Mix VII", "number":"AB83459-CMP04", "productcode":"" }, { "size":"1 x 1 Vial", "name":"Developer Solution II", "number":"AB83459-CMP03", "productcode":"" }, { "size":"1 x 1 Vial", "name":"Cysteine Standard", "number":"AB83459-CMP05", "productcode":"" }, { "size":"1 x 25 mL", "name":"Assay Buffer 7", "number":"AB83459-CMP01", "productcode":"" }, { "size":"1 x 100 µL", "name":"Isocitrate Standard", "number":"AB83459-CMP02", "productcode":"" } ] } } }

Properties and storage information

Shipped at conditions
Blue Ice
Appropriate short-term storage conditions
+4°C
Appropriate long-term storage conditions
+4°C
Storage information
Please refer to protocols

Supplementary information

This supplementary information is collated from multiple sources and compiled automatically.

Aconitase also known as aconitate hydratase is an enzyme with a mass of approximately 82 kDa. It catalyzes the reversible isomerization of citrate to isocitrate via cis-aconitate in the tricarboxylic acid (TCA) cycle. Aconitase is expressed in the mitochondria where it functions as mitochondrial aconitase and in the cytoplasm in a slightly different form. The enzyme contains an iron-sulfur cluster that is important for its activity. Scientists often use aconitase kits to measure its activity in different samples.
Biological function summary

Mitochondrial aconitase plays an important role in energy production by facilitating the TCA cycle which is essential for ATP generation. The enzyme can also serve as an iron regulatory protein in the cytoplasm contributing to the regulation of iron metabolism. Aconitase exists as part of a larger complex with its iron-sulfur cluster playing a critical role in both its enzymatic and regulatory functions. By shifting between its enzymatic and regulatory roles aconitase helps in maintaining homeostasis within cells.

Pathways

Aconitase operates in the TCA cycle an important metabolic pathway for energy production. It participates in the metabolism of acetyl-CoA converting it into isocitrate through interactions with citrate. This key pathway integrates with glycolysis and aids in the oxidative phosphorylation process. Aconitase's function is related to proteins such as isocitrate dehydrogenase which further processes isocitrate in the TCA cycle.

Mutations and defects in aconitase can contribute to neurodegenerative diseases and iron-sulfur cluster deficiencies. A connection exists between aconitase activity and disorders like Friedreich's ataxia a condition featuring impaired iron-sulfur cluster biosynthesis. Ferritin a protein associated with iron storage links with aconitase through pathways involved in iron regulation suggesting potential therapeutic targets in disorders of iron metabolism.

Product protocols

Target data

Catalyzes the isomerization of citrate to isocitrate via cis-aconitate.
See full target information ACO2

Additional targets

ACO1

Publications (17)

Recent publications for all applications. Explore the full list and refine your search

Cancer discovery 14:1901-1921 PubMed39073085

2024

Iron Chelation Therapy Elicits Innate Immune Control of Metastatic Ovarian Cancer.

Applications

Unspecified application

Species

Unspecified reactive species

Tito A Sandoval,Camilla Salvagno,Chang-Suk Chae,Deepika Awasthi,Paolo Giovanelli,Matias Marin Falco,Sung-Min Hwang,Eli Teran-Cabanillas,Lasse Suominen,Takahiro Yamazaki,Hui-Hsuan Kuo,Jenna E Moyer,M Laura Martin,Jyothi Manohar,Kihwan Kim,Maria A Sierra,Yusibeska Ramos,Chen Tan,Alexander Emmanuelli,Minkyung Song,Diana K Morales,Dmitriy Zamarin,Melissa K Frey,Evelyn Cantillo,Eloise Chapman-Davis,Kevin Holcomb,Christopher E Mason,Lorenzo Galluzzi,Zhen Ni Zhou,Anna Vähärautio,Suzanne M Cloonan,Juan R Cubillos-Ruiz

Antioxidants (Basel, Switzerland) 12: PubMed37237876

2023

Intraoperative Hemi-Diaphragm Electrical Stimulation Demonstrates Attenuated Mitochondrial Function without Change in Oxidative Stress in Cardiothoracic Surgery Patients.

Applications

Unspecified application

Species

Unspecified reactive species

Robert T Mankowski,Stephanie E Wohlgemuth,Guilherme Bresciani,A Daniel Martin,George Arnaoutakis,Tomas Martin,Eric Jeng,Leonardo Ferreira,Tiago Machuca,Mindaugas Rackauskas,Ashley J Smuder,Thomas Beaver,Christiaan Leeuwenburgh,Barbara K Smith

Environmental health perspectives 129:87005 PubMed34410835

2021

Chronic Manganese Exposure and the Enteric Nervous System: An and Mouse Study.

Applications

Unspecified application

Species

Unspecified reactive species

Shivani Ghaisas,Dilshan S Harischandra,Bharathi Palanisamy,Alexandra Proctor,Huajun Jin,Somak Dutta,Souvarish Sarkar,Monica Langley,Gary Zenitsky,Vellareddy Anantharam,Arthi Kanthasamy,Gregory J Phillips,Anumantha Kanthasamy

Oncology letters 22:657 PubMed34386079

2021

Iron regulatory protein 1 promotes ferroptosis by sustaining cellular iron homeostasis in melanoma.

Applications

Unspecified application

Species

Unspecified reactive species

Fengping Yao,Xiaohong Cui,Ying Zhang,Zhuchun Bei,Hongquan Wang,Dongxu Zhao,Hong Wang,Yongfei Yang

Orphanet journal of rare diseases 16:201 PubMed33952316

2021

Down regulation of the expression of mitochondrial phosphopantetheinyl-proteins in pantothenate kinase-associated neurodegeneration: pathophysiological consequences and therapeutic perspectives.

Applications

Unspecified application

Species

Unspecified reactive species

Mónica Álvarez-Córdoba,Marta Talaverón-Rey,Irene Villalón-García,Suleva Povea-Cabello,Juan M Suárez-Rivero,Alejandra Suárez-Carrillo,Manuel Munuera-Cabeza,Joaquín J Salas,José A Sánchez-Alcázar

Cell metabolism 33:957-970.e6 PubMed33740420

2021

Excessive exercise training causes mitochondrial functional impairment and decreases glucose tolerance in healthy volunteers.

Applications

Unspecified application

Species

Unspecified reactive species

Mikael Flockhart,Lina C Nilsson,Senna Tais,Björn Ekblom,William Apró,Filip J Larsen

Journal of clinical medicine 9: PubMed32527005

2020

Mitochondrial Energetics and Ca2-Activated ATPase in Obstructive Hypertrophic Cardiomyopathy.

Applications

Unspecified application

Species

Unspecified reactive species

Maria Lombardi,Davide Lazzeroni,Annalinda Pisano,Francesca Girolami,Ottavio Alfieri,Giovanni La Canna,Giulia d'Amati,Iacopo Olivotto,Ornella E Rimoldi,Chiara Foglieni,Paolo G Camici

Molecular cell 77:645-655.e7 PubMed31983508

2020

Maintaining Iron Homeostasis Is the Key Role of Lysosomal Acidity for Cell Proliferation.

Applications

Unspecified application

Species

Unspecified reactive species

Ross A Weber,Frederick S Yen,Shirony P V Nicholson,Hanan Alwaseem,Erol C Bayraktar,Mohammad Alam,Rebecca C Timson,Konnor La,Monther Abu-Remaileh,Henrik Molina,Kıvanç Birsoy

PloS one 13:e0202151 PubMed30092083

2018

Pseudomonas aeruginosa nfuA: Gene regulation and its physiological roles in sustaining growth under stress and anaerobic conditions and maintaining bacterial virulence.

Applications

Unspecified application

Species

Unspecified reactive species

Adisak Romsang,Jintana Duang-Nkern,Kritsakorn Saninjuk,Paiboon Vattanaviboon,Skorn Mongkolsuk

Journal of neurochemistry 142:429-443 PubMed28485896

2017

Sonic hedgehog signalling mediates astrocyte crosstalk with neurons to confer neuroprotection.

Applications

Unspecified application

Species

Unspecified reactive species

Christopher I Ugbode,Imogen Smith,Benjamin J Whalley,Warren D Hirst,Marcus Rattray
View all publications
websiteProtocolBooklet
en

Product promise

We are committed to supporting your work with high-quality reagents, and we're here for you every step of the way. In the unlikely event that one of our products does not perform as expected, you're protected by our Product Promise.
For full details, please see our Terms & Conditions

Please note: All products are 'FOR RESEARCH USE ONLY. NOT FOR USE IN DIAGNOSTIC OR THERAPEUTIC PROCEDURES'.

For licensing inquiries, please contact partnerships@abcam.com