JavaScript is disabled in your browser. Please enable JavaScript to view this website.
AB133115

Adipolysis Assay Kit

Be the first to review this product! Submit a review

|

(4 Publications)

Abcam's Adipolysis Assay Kit (ab133115) provides a convenient tool for studying the adipolysis of triglycerides in differentiated 3T3-L1 cells, using a common adipogenesis induction procedure.
3 Images
Functional Studies - Adipolysis Assay Kit (AB133115)
  • FuncS

Supplier Data

Functional Studies - Adipolysis Assay Kit (AB133115)

Adipolysis assay. Differentiated 3T3-L1 cells were treated with increasing concentrations of isoproterenol for 48 hours and the culture supernatant was assayed for free glycerol.
Top panel : glycerol release from undifferentiated (red) and differentiated (blue) 3T3-L1 cells as determined using Free Glycerol Assay Reagent.
Bottom panel : isoproterenol dose response curve showing glycerol released after 24 hours versus isoproterenol concentration.

Functional Studies - Adipolysis Assay Kit (AB133115)
  • FuncS

Supplier Data

Functional Studies - Adipolysis Assay Kit (AB133115)

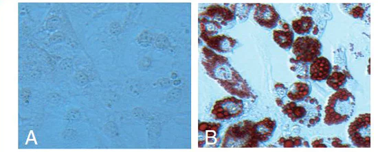
Differentiation of 3T3-L1 pre-adipocytes into adipocytes. Upon induction, 3T3-L1 cells differentiate into adipocytes-like cells and they are ready to be used for adipolysis experiments.
Panel A : non-differentiated 3T3-L1 cells show no staining of Oil Red O Solution.
Panel B : increased lipid droplet accumulation indicates that more than 80% of preadipocytes were differentiated into adipocytes four days after weaning the cells from Induction Medium to Insulin Medium.

Functional Studies - Adipolysis Assay Kit (AB133115)
  • FuncS

Supplier Data

Functional Studies - Adipolysis Assay Kit (AB133115)

Glycerol standard curve. Example of standard curve of typical data produced with 3T3-L1 culture medium.

Key facts

Detection method

Colorimetric

Sample types

Cell culture supernatant, Adherent cells

Results type

Quantitative

Assay Platform

Microplate reader

Product details

Abcam's Adipolysis Assay Kit (ab133115) provides a convenient tool for studying the adipolysis of triglycerides in differentiated 3T3-L1 cells, using a common adipogenesis induction procedure. This kit will allow investigators to screen compounds involved in lipid storage and metabolism. Isoproterenol is included in the kit as a positive control for screening pharmaceuticals that regulate FFA release from adipocytes.

Triglycerides stored in these lipid droplets can be stimulated by known factors or compounds to release FFA and glycerol. The latter can be measured by incubation with glycerol kinase, glycerol phosphate oxidase, and horseradish peroxidase in the presence of a colorimetric substrate to generate a chromophore detectable at 540 nm. The amount of glycerol released into the medium is proportional to the level of triglyceride storage and/or degree of adipolysis.

Obesity is a risk factor in many of the major chronic diseases such as diabetes mellitus, and cancer. The ability to regulate the number of fat cells and/or the size of fat cells is a key in the development and physiology of obesity and also in the origin of chronic disease. Adipose tissue plays an important role in energy homeostasis. Mammals have both brown adipose tissue (BAT), which utilizes lipids to generate heat in a process known as thermogenesis, and white adipose tissue (WAT) which stores excess energy as triglycerides in lipid droplets. Triglycerides can be broken down into free fatty acids (FFA) and glycerol, through a process of adipolysis (also referred as lipolysis).

Adipolysis is a highly regulated process which allows appropriate delivery of FFA to meet energy needs. Appropriate FFA levels are important for optimal human health but excess FFAs are generally associated with development of insulin resistance, hypertriglyceridemia, reduced hepatic insulin clearance, and impaired β-cell insulin secretion. Adipolysis is under tight hormonal control.

3T3-L1 cells are a well-characterized model for studying lipid metabolism, including the uptake and release of fatty acids from fat cells. This model shares similar morphology, gene expression, and metabolism with adipocytes in vivo. During terminal differentiation, the fibroblast-like preadipocytes undergo a series of morphological and biochemical changes to eventually accumulate lipid droplets.

REACH authorisation
Abcam has not and does not intend to apply for the REACH Authorisation of customers' uses of products that contain European Authorisation list (Annex XIV) substances.
It is the responsibility of our customers to check the necessity of application of REACH Authorisation, and any other relevant authorisations, for their intended uses.

What's included?

{ "values": { "1Kit": { "sellingSize": "1 Kit", "publicAssetCode":"ab133115-1Kit", "assetComponentDetails": [ { "size":"2 x 1 Vial", "name":"Free Glycerol Assay Reagent (10X)", "number":"AB133115-CMP05", "productcode":"" }, { "size":"1 x 1 Vial", "name":"Adipolysis Assay Isoproterenol Solution", "number":"AB133115-CMP04", "productcode":"" }, { "size":"1 x 1 Vial", "name":"Glycerol Standard Solution", "number":"AB133115-CMP06", "productcode":"" }, { "size":"1 x 1 Vial", "name":"Adipolysis Assay Insulin Solution (1000X)", "number":"AB133115-CMP03", "productcode":"" }, { "size":"1 x 1 Vial", "name":"Adipolysis Assay Dexamethasone Solution (1000X)", "number":"AB133115-CMP01", "productcode":"" }, { "size":"1 x 1 Vial", "name":"Adipolysis Assay IBMX Solution (1000X)", "number":"AB133115-CMP02", "productcode":"" } ] } } }

Properties and storage information

Shipped at conditions
Blue Ice
Appropriate short-term storage conditions
-20°C
Appropriate long-term storage conditions
-20°C
Storage information
-20°C

Supplementary information

This supplementary information is collated from multiple sources and compiled automatically.

Adipolysis refers to the breakdown of lipids involving a process where triglycerides are hydrolyzed into free fatty acids and glycerol. In this process enzymes like hormone-sensitive lipase (HSL) and adipose triglyceride lipase (ATGL) also known as PNPLA2 play significant roles. HSL has a mass of approximately 84 kDa. These enzymes are widely expressed in adipose tissue which is the primary site of lipid storage in the body. Adipolysis is an important metabolic function critical for energy mobilization during fasting or increased energy demand states.
Biological function summary

The process of breaking down triglycerides into fatty acids and glycerol provides energy for cells when glucose levels are low. This process does not occur in isolation; it involves a complex interplay of hormonal signals. For instance catecholamines like epinephrine bind to β-adrenergic receptors on adipocytes triggering a cascade that leads to the activation of lipolytic enzymes. Moreover insulin modulates adipolysis by inhibiting these enzymes maintaining balance in lipid storage and usage.

Pathways

Adipolysis integrates closely with the catabolism of fatty acids a primary component of the energy-providing β-oxidation pathway. The released free fatty acids from adipose tissue enter the bloodstream and reach the liver and muscle cells where they undergo oxidation for energy production. Additionally the signaling pathway involving the AMP-activated protein kinase (AMPK) is relevant as AMPK activation promotes energy expenditure and fat breakdown linking adipolysis to metabolic rate regulation.

The dysregulation of adipolysis can contribute to metabolic syndromes like obesity and type 2 diabetes. Excessive lipolysis may lead to increased circulating free fatty acids causing insulin resistance and steatosis where inappropriate lipid accumulation occurs in liver cells. Moreover proteins such as perilipin which acts as a protective layer on lipid droplets often exhibit altered expression in these conditions affecting the regulation of adipolytic activity. Understanding these mechanisms is key in developing therapeutic strategies for related metabolic disorders.

Product protocols

Target data

Publications (4)

Recent publications for all applications. Explore the full list and refine your search

Food research international (Ottawa, Ont.) 173:113364 PubMed37803704

2023

Anti-obesity potential of a yogurt functionalized with a CLNA-rich pomegranate oil.

Applications

Unspecified application

Species

Unspecified reactive species

Manuela Machado,Sérgio Sousa,Luís M Rodriguez-Alcalá,Ana Maria Gomes,Manuela Pintado

Marine drugs 20: PubMed36547884

2022

Can Growth of under Modulated Stress Enhance Its Lipid-Associated Biological Properties?

Applications

Unspecified application

Species

Unspecified reactive species

Sérgio C Sousa,Manuela Machado,Ana C Freitas,Ana M Gomes,Ana P Carvalho

Molecules (Basel, Switzerland) 27: PubMed35956908

2022

Pomegranate Oil's Potential as an Anti-Obesity Ingredient.

Applications

Unspecified application

Species

Unspecified reactive species

Manuela Machado,Eduardo M Costa,Sara Silva,Luís M Rodriguez-Alcalá,Ana M Gomes,Manuela Pintado

Journal of lipid research 60:767-782 PubMed30552289

2018

Melatonin reduces intramuscular fat deposition by promoting lipolysis and increasing mitochondrial function.

Applications

Unspecified application

Species

Unspecified reactive species

Kaiqing Liu,Wensai Yu,Wei Wei,Xinbao Zhang,Ye Tian,Melak Sherif,Xin Liu,Chao Dong,Wangjun Wu,Lifan Zhang,Jie Chen
View all publications
websiteProtocolBooklet
en

Product promise

We are committed to supporting your work with high-quality reagents, and we're here for you every step of the way. In the unlikely event that one of our products does not perform as expected, you're protected by our Product Promise.
For full details, please see our Terms & Conditions

Please note: All products are 'FOR RESEARCH USE ONLY. NOT FOR USE IN DIAGNOSTIC OR THERAPEUTIC PROCEDURES'.

For licensing inquiries, please contact partnerships@abcam.com