JavaScript is disabled in your browser. Please enable JavaScript to view this website.
AB321955

BOND RX - Anti-B7H4 antibody [EPR20236]

Be the first to review this product! Submit a review

|

(0 Publication)

Rabbit Recombinant Monoclonal B7H4 antibody. Suitable for detection of B7H4 in IHC. Suitable for Human samples. This product is a bundle of 2 x BOND Titration Containers (with 6mL inserts) along with 100 uL vial of Anti-B7H4 antibody [EPR20236] - ab209242.

- Validated on the Leica BOND RX automated IHC staining platform for CXCR4 IHC
- EPR20236 clone is cited in over 13 publications
- Using biophysical QC, antibody identity is confirmed at a molecular level for unrivaled batch-batch consistency

View Alternative Names

B7H4, UNQ659/PRO1291, VTCN1, V-set domain-containing T-cell activation inhibitor 1, B7 homolog 4, B7h.5, Immune costimulatory protein B7-H4, Protein B7S1, T-cell costimulatory molecule B7x, B7-H4

1 Images
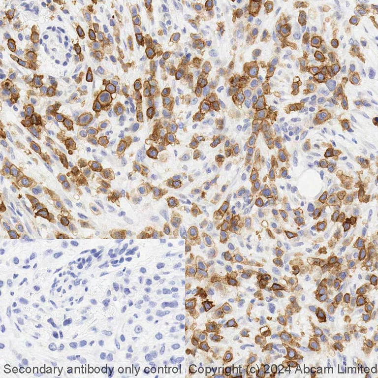
Immunohistochemistry (Formalin/PFA-fixed paraffin-embedded sections) - BOND RX - Anti-B7H4 antibody [EPR20236] (AB321955)
  • IHC-P

Lab

Immunohistochemistry (Formalin/PFA-fixed paraffin-embedded sections) - BOND RX - Anti-B7H4 antibody [EPR20236] (AB321955)

Immunohistochemical analysis of paraffin-embedded human breast carcinoma tissue labelling B7H4 with ab209242 [EPR20236] at 0.80 µg/mL concentration.

All steps were performed at room temperature unless otherwise stated.

Staining was performed on the BOND RX Advanced Staining Instrument from Leica Biosystems, using the BOND Polymer Refine Detection kit (DS9800) and the following protocols :

  1. Deparaffinization - Dewax
  2. Antigen retrieval - HIER with ER2 (pH 9.0), 20 minutes, 100°C
  3. Staining – modified IHC Protocol F (Marker : ab209242 for 15 minutes with 3 x BOND Wash Solution steps) where standard post-primary step has been excluded.

Sections were counterstained with Hematoxylin (DS9800).

Secondary Antibody only control was performed with the same staining protocols, with marker as negative.

Key facts

Reactivity data

{ "title": "Reactivity Data", "filters": { "stats": ["", "Reactivity", "Dilution Info", "Notes"] }, "values": { "IHC-P": { "reactivity":"TESTED_AND_REACTS", "dilution-info":"0.8 µg/mL", "notes":"<p></p> Perform heat-mediated antigen retrieval with Tris/EDTA buffer pH 9.0 before commencing with IHC staining protocol." } } }

Product details

This product is a bundle of 2 x BOND Titration Containers (with 6mL inserts) along with 100 uL vial of Anti-B7H4 antibody [EPR20236] - ab209242.

Additional Titration Inserts can be purchased from Leica Biosystems, using OPT9719 (box of 50). Or Titration Container/Insert Kit, using OPT9049 (box of 10/50).

Patented technology
Our RabMAb® technology is a patented hybridoma-based technology for making rabbit monoclonal antibodies. For details on our patents, please refer to RabMAb® patents.

What are the advantages of a recombinant monoclonal antibody?
This product is a recombinant monoclonal antibody, which offers several advantages including:

  • - High batch-to-batch consistency and reproducibility
  • - Improved sensitivity and specificity
  • - Long-term security of supply
  • - Animal-free batch production

For more information, read more on recombinant antibodies.

What's included?

{ "values": { "1Kit": { "sellingSize": "1 Kit", "publicAssetCode":"ab321955-1Kit", "assetComponentDetails": [ { "size":"2 x 1 Unit", "name":"LBS Rx BOND Titration Container", "number":"AB321955-CMP02", "productcode":"" }, { "size":"1 x 100 µL", "name":"Anti-B7H4 antibody [EPR20236]", "number":"AB321955-CMP01", "productcode":"" } ] } } }

Properties and storage information

Shipped at conditions
Blue Ice
Appropriate short-term storage conditions
-20°C
Appropriate long-term storage conditions
-20°C
Storage information
-20°C

Supplementary information

This supplementary information is collated from multiple sources and compiled automatically.

B7-H4 also known as VTCN1 or B7x is a member of the B7 family of immunoregulatory proteins. It has an approximate molecular mass of 50 kDa. B7-H4 expression is detected on the surface of various cells including B cells T cells monocytes and some cancer cells. Its expression is often inducible; immune cells can express B7-H4 in response to specific conditions or signals in the environment.
Biological function summary

B7-H4 acts as an immune checkpoint molecule that negatively regulates T cell immunity. It does not form a known complex with other proteins but instead interacts directly with T cells. By inhibiting T cell activation and proliferation B7-H4 contributes to the regulation of immune responses helping to maintain self-tolerance and prevent autoimmunity.

Pathways

B7-H4 is involved in the regulation of immune checkpoints prominently in the pathways related to immune tolerance and suppression. It plays a critical role in the pathways that modulate tumor evasion of the immune system. B7-H4 is related to other immune checkpoint proteins such as PD-L1 which are also pivotal in immune regulation and therapy targets.

B7-H4 is connected to cancer progression and autoimmune conditions. Overexpression of B7-H4 in certain cancers such as ovarian and breast cancer associates with tumor immune evasion allowing tumors to grow unchecked by the immune system. Its expression links with proteins like CTLA-4 in maintaining immune suppression. B7-H4 modifications could serve as a potential target in cancer immunotherapy aiming to enhance the immune system's ability to combat malignancies.

Product protocols

Target data

Negatively regulates T-cell-mediated immune response by inhibiting T-cell activation, proliferation, cytokine production and development of cytotoxicity. When expressed on the cell surface of tumor macrophages, plays an important role, together with regulatory T-cells (Treg), in the suppression of tumor-associated antigen-specific T-cell immunity. Involved in promoting epithelial cell transformation.
See full target information VTCN1
websiteProtocolBooklet
en

Product promise

We are committed to supporting your work with high-quality reagents, and we're here for you every step of the way. In the unlikely event that one of our products does not perform as expected, you're protected by our Product Promise.
For full details, please see our Terms & Conditions

Please note: All products are 'FOR RESEARCH USE ONLY. NOT FOR USE IN DIAGNOSTIC OR THERAPEUTIC PROCEDURES'.

For licensing inquiries, please contact partnerships@abcam.com