JavaScript is disabled in your browser. Please enable JavaScript to view this website.
AB321951

BOND RX - Anti-Calreticulin antibody [EPR3924] - ER Marker

Be the first to review this product! Submit a review

|

(0 Publication)

Rabbit Recombinant Monoclonal Calreticulin antibody. Suitable for detection of Calreticulin in IHC. Suitable for Human, Mouse, Rat and other species. This product is a bundle of 2 x BOND Titration Containers (with 6mL inserts) along with 100 uL vial of Anti-Calreticulin antibody [EPR3924] - ER Marker - ab92516.

- Validated on the Leica BOND RX automated IHC staining platform for Calreticulin IHC
- Specificity confirmed with CALR knockout cell line validation
- Top cited clone for Calreticulin on the market
- Using biophysical QC, antibody identity is confirmed at a molecular level for unrivaled batch-batch consistency

View Alternative Names

CRTC, CALR, Calreticulin, CRP55, Calregulin, Endoplasmic reticulum resident protein 60, HACBP, grp60, ERp60

1 Images
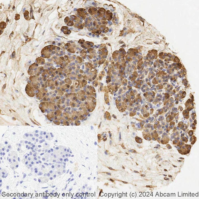
Immunohistochemistry (Formalin/PFA-fixed paraffin-embedded sections) - BOND RX - Anti-Calreticulin antibody [EPR3924] - ER Marker (AB321951)
  • IHC-P

Lab

Immunohistochemistry (Formalin/PFA-fixed paraffin-embedded sections) - BOND RX - Anti-Calreticulin antibody [EPR3924] - ER Marker (AB321951)

Immunohistochemical analysis of paraffin-embedded human pancreas tissue labelling Calreticulin with ab92516 [EPR3924] at 0.01 µg/mL concentration.

All steps were performed at room temperature unless otherwise stated.

Staining was performed on the BOND RX Advanced Staining Instrument from Leica Biosystems, using the BOND Polymer Refine Detection kit (DS9800) and the following protocols :

  1. Deparaffinization - Dewax
  2. Antigen retrieval - HIER with ER2 (pH 9.0), 20 minutes, 100°C
  3. Staining – modified IHC Protocol F (Marker : ab92516 for 15 minutes with 3 x BOND Wash Solution steps) where standard post-primary step has been excluded.

Sections were counterstained with Hematoxylin (DS9800).

Secondary Antibody only control was performed with the same staining protocols, with marker as negative.

Key facts

Reactivity data

{ "title": "Reactivity Data", "filters": { "stats": ["", "Reactivity", "Dilution Info", "Notes"] }, "values": { "IHC-P": { "reactivity":"TESTED_AND_REACTS", "dilution-info":"0.01 µg/mL", "notes":"<p></p> Perform heat-mediated antigen retrieval with Tris/EDTA buffer pH 9.0 before commencing with IHC staining protocol." } } }

Product details

This product is a bundle of 2 x BOND Titration Containers (with 6mL inserts) along with 100 uL vial of Anti-Calreticulin antibody [EPR3924] - ER Marker - ab92516.

Additional Titration Inserts can be purchased from Leica Biosystems, using OPT9719 (box of 50). Or Titration Container/Insert Kit, using OPT9049 (box of 10/50).

Patented technology
Our RabMAb® technology is a patented hybridoma-based technology for making rabbit monoclonal antibodies. For details on our patents, please refer to RabMAb® patents.

What are the advantages of a recombinant monoclonal antibody?
This product is a recombinant monoclonal antibody, which offers several advantages including:

  • - High batch-to-batch consistency and reproducibility
  • - Improved sensitivity and specificity
  • - Long-term security of supply
  • - Animal-free batch production

For more information, read more on recombinant antibodies.

What's included?

{ "values": { "1Kit": { "sellingSize": "1 Kit", "publicAssetCode":"ab321951-1Kit", "assetComponentDetails": [ { "size":"2 x 1 Unit", "name":"LBS Rx BOND Titration Container", "number":"AB321951-CMP02", "productcode":"" }, { "size":"1 x 100 µL", "name":"Anti-Calreticulin antibody [EPR3924] - ER Marker", "number":"AB321951-CMP01", "productcode":"" } ] } } }

Properties and storage information

Shipped at conditions
Blue Ice
Appropriate short-term storage conditions
-20°C
Appropriate long-term storage conditions
-20°C
Storage information
-20°C

Product protocols

Target data

Calcium-binding chaperone that promotes folding, oligomeric assembly and quality control in the endoplasmic reticulum (ER) via the calreticulin/calnexin cycle. This lectin interacts transiently with almost all of the monoglucosylated glycoproteins that are synthesized in the ER (PubMed : 7876246). Interacts with the DNA-binding domain of NR3C1 and mediates its nuclear export (PubMed : 11149926). Involved in maternal gene expression regulation. May participate in oocyte maturation via the regulation of calcium homeostasis (By similarity). Present in the cortical granules of non-activated oocytes, is exocytosed during the cortical reaction in response to oocyte activation and might participate in the block to polyspermy (By similarity).
See full target information CALR
websiteProtocolBooklet
en

Product promise

We are committed to supporting your work with high-quality reagents, and we're here for you every step of the way. In the unlikely event that one of our products does not perform as expected, you're protected by our Product Promise.
For full details, please see our Terms & Conditions

Please note: All products are 'FOR RESEARCH USE ONLY. NOT FOR USE IN DIAGNOSTIC OR THERAPEUTIC PROCEDURES'.

For licensing inquiries, please contact partnerships@abcam.com