JavaScript is disabled in your browser. Please enable JavaScript to view this website.
AB325197

BOND RX - Anti-CCR6 antibody [EPR22259]

Be the first to review this product! Submit a review

|

(0 Publication)

Rabbit Recombinant Monoclonal CCR6 antibody. Suitable for I-ELISA, IP, WB, IHC-P and reacts with Synthetic peptide - Human, Human samples. This product is a bundle of 2 x BOND Titration Containers (with 6mL inserts) along with 100 uL vial of Anti-CCR6 antibody [EPR22259] - ab227036.

- Validated on the Leica BOND RX automated IHC staining platform for CCR6 IHC
- EPR22259 clone cited in over 8 publications
- Using biophysical QC, antibody identity is confirmed at a molecular level for unrivaled batch-batch consistency

View Alternative Names

CD196, CKRL3, CMKBR6, GPR29, STRL22, CCR6, C-C chemokine receptor type 6, C-C CKR-6, CC-CKR-6, CCR-6, Chemokine receptor-like 3, DRY6, G-protein coupled receptor 29, GPR-CY4, LARC receptor, CKR-L3, GPRCY4

1 Images
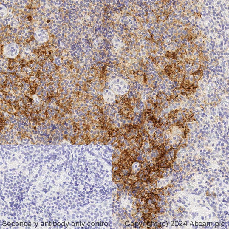
Immunohistochemistry (Formalin/PFA-fixed paraffin-embedded sections) - BOND RX - Anti-CCR6 antibody [EPR22259] (AB325197)
  • IHC-P

Lab

Immunohistochemistry (Formalin/PFA-fixed paraffin-embedded sections) - BOND RX - Anti-CCR6 antibody [EPR22259] (AB325197)

This data was developed using the same antibody clone in a different buffer formulation containing PBS only (ab243852).

Immunohistochemical analysis of paraffin-embedded human tonsil tissue labelling CCR6 with ab243852 [EPR22259] at 0.25 µg/mL concentration.

All steps were performed at room temperature unless otherwise stated.

Staining was performed on the BOND RX Advanced Staining Instrument from Leica Biosystems, using the Bond Polymer Refine Detection kit (DS9800) and the following protocols :

  1. Deparaffinization - Dewax
  2. Antigen retrieval - HIER with ER2 (pH 9.0), 20 minutes, 100°C
  3. Staining – modified IHC Protocol F (Marker : ab243852 for 15 minutes with 3 x Bond Wash Solution steps) where standard post-primary step has been excluded.

Sections were counterstained with Hematoxylin (DS9800).

Secondary Antibody only control was performed with the same staining protocols, with marker as negative.

Key facts

Reactivity data

{ "title": "Reactivity Data", "filters": { "stats": ["", "Reactivity", "Dilution Info", "Notes"] }, "values": { "IHC-P": { "reactivity":"TESTED_AND_REACTS", "dilution-info":"0.25 µg/mL", "notes":"<p></p> Perform heat-mediated antigen retrieval before commencing with IHC staining protocol." } } }

Product details

This product is a bundle of 2 x BOND Titration Containers (with 6mL inserts) along with 100 uL vial of Anti-CCR6 antibody [EPR22259] - ab227036.

Additional Titration Inserts can be purchased from Leica Biosystems, using OPT9719 (box of 50). Or Titration Container/Insert Kit, using OPT9049 (box of 10/50).

Patented technology
Our RabMAb® technology is a patented hybridoma-based technology for making rabbit monoclonal antibodies. For details on our patents, please refer to RabMAb® patents.

What are the advantages of a recombinant monoclonal antibody?
This product is a recombinant monoclonal antibody, which offers several advantages including:

  • - High batch-to-batch consistency and reproducibility
  • - Improved sensitivity and specificity
  • - Long-term security of supply
  • - Animal-free batch production

For more information, read more on recombinant antibodies.

What's included?

{ "values": { "1Kit": { "sellingSize": "1 Kit", "publicAssetCode":"ab325197-1Kit", "assetComponentDetails": [ { "size":"1 x 100 µL", "name":"Anti-CCR6 antibody [EPR22259]", "number":"AB325197-CMP02", "productcode":"AB227036" }, { "size":"2 x 1 Unit", "name":"LBS BOND RX titration container", "number":"AB325197-CMP01", "productcode":"" } ] } } }

Properties and storage information

Shipped at conditions
Blue Ice
Appropriate short-term storage conditions
-20°C
Appropriate long-term storage conditions
-20°C
Storage information
-20°C

Product protocols

Target data

Receptor for the C-C type chemokine CCL20 (PubMed : 9169459). Binds to CCL20 and subsequently transduces a signal by increasing the intracellular calcium ion levels (PubMed : 20068036). Although CCL20 is its major ligand it can also act as a receptor for non-chemokine ligands such as beta-defensins (PubMed : 25585877). Binds to defensin DEFB1 leading to increase in intracellular calcium ions and cAMP levels. Its binding to DEFB1 is essential for the function of DEFB1 in regulating sperm motility and bactericidal activity (PubMed : 25122636). Binds to defensins DEFB4 and DEFB4A/B and mediates their chemotactic effects (PubMed : 20068036). The ligand-receptor pair CCL20-CCR6 is responsible for the chemotaxis of dendritic cells (DC), effector/ memory T-cells and B-cells and plays an important role at skin and mucosal surfaces under homeostatic and inflammatory conditions, as well as in pathology, including cancer and various autoimmune diseases. CCR6-mediated signals are essential for immune responses to microbes in the intestinal mucosa and in the modulation of inflammatory responses initiated by tissue insult and trauma (PubMed : 21376174). CCR6 is essential for the recruitment of both the pro-inflammatory IL17 producing helper T-cells (Th17) and the regulatory T-cells (Treg) to sites of inflammation. Required for the normal migration of Th17 cells in Peyers-patches and other related tissue sites of the intestine and plays a role in regulating effector T-cell balance and distribution in inflamed intestine. Plays an important role in the coordination of early thymocyte precursor migration events important for normal subsequent thymocyte precursor development, but is not required for the formation of normal thymic natural regulatory T-cells (nTregs). Required for optimal differentiation of DN2 and DN3 thymocyte precursors. Essential for B-cell localization in the subepithelial dome of Peyers-patches and for efficient B-cell isotype switching to IgA in the Peyers-patches. Essential for appropriate anatomical distribution of memory B-cells in the spleen and for the secondary recall response of memory B-cells (By similarity). Positively regulates sperm motility and chemotaxis via its binding to CCL20 (PubMed : 23765988).
See full target information CCR6
websiteProtocolBooklet
en

Product promise

We are committed to supporting your work with high-quality reagents, and we're here for you every step of the way. In the unlikely event that one of our products does not perform as expected, you're protected by our Product Promise.
For full details, please see our Terms & Conditions

Please note: All products are 'FOR RESEARCH USE ONLY. NOT FOR USE IN DIAGNOSTIC OR THERAPEUTIC PROCEDURES'.

For licensing inquiries, please contact partnerships@abcam.com