JavaScript is disabled in your browser. Please enable JavaScript to view this website.
AB325204

BOND RX - Anti-CXCR5 antibody [EPR23463-30]

Be the first to review this product! Submit a review

|

(0 Publication)

Rabbit Recombinant Monoclonal antibody detecting CXCR5 in Western Blot, Flow Cytometry, IHC-P, ICC/IF. Suitable for Human, Mouse, Rat. This product is a bundle of 2 x BOND Titration Containers (with 6mL inserts) along with 100 uL vial of Anti-CXCR5 antibody [EPR23463-30] - ab254415.

- Validated on the Leica BOND RX automated IHC staining platform for CXCR5 IHC
- EPR23463-30 clone cited in over 4 publications
- Specificity confirmed with CXCR5 knockout cell line validation
- Using biophysical QC, antibody identity is confirmed at a molecular level for unrivaled batch-batch consistency

View Alternative Names

CD185, BLR1, MDR15, CXCR5, C-X-C chemokine receptor type 5, CXC-R5, CXCR-5, Burkitt lymphoma receptor 1, Monocyte-derived receptor 15, MDR-15

1 Images
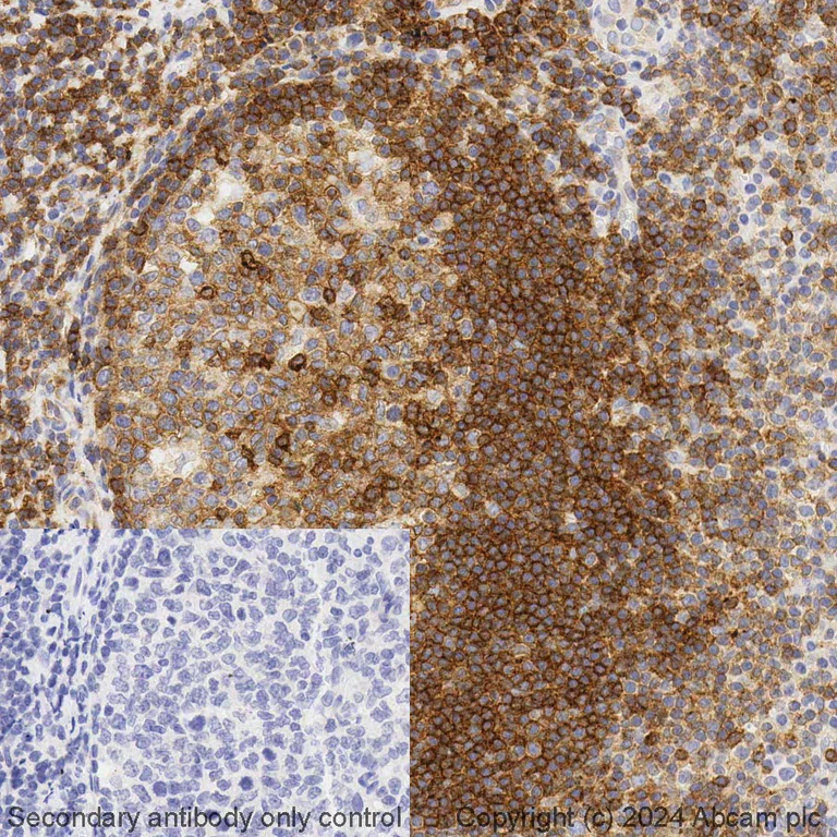
Immunohistochemistry (Formalin/PFA-fixed paraffin-embedded sections) - BOND RX - Anti-CXCR5 antibody [EPR23463-30] (AB325204)
  • IHC-P

Lab

Immunohistochemistry (Formalin/PFA-fixed paraffin-embedded sections) - BOND RX - Anti-CXCR5 antibody [EPR23463-30] (AB325204)

This data was developed using the same antibody clone in a different buffer formulation containing PBS only (ab272936).

Immunohistochemical analysis of paraffin-embedded human tonsil tissue labelling CXCR5 with ab272936 [EPR23463-30] at 0.1 µg/mL concentration.

All steps were performed at room temperature unless otherwise stated.

Staining was performed on the BOND RX Advanced Staining Instrument from Leica Biosystems, using the Bond Polymer Refine Detection kit (DS9800) and the following protocols :

  1. Deparaffinization - Dewax
  2. Antigen retrieval - HIER with ER2 (pH 9.0), 20 minutes, 100°C
  3. Staining – modified IHC Protocol F (Marker : ab272936 for 15 minutes with 3 x Bond Wash Solution steps) where standard post-primary step has been excluded.

Sections were counterstained with Hematoxylin (DS9800).

Secondary Antibody only control was performed with the same staining protocols, with marker as negative.

Key facts

Reactivity data

{ "title": "Reactivity Data", "filters": { "stats": ["", "Reactivity", "Dilution Info", "Notes"] }, "values": { "IHC-P": { "reactivity":"TESTED_AND_REACTS", "dilution-info":"0.1 µg/mL", "notes":"<p></p> Perform heat-mediated antigen retrieval before commencing with IHC staining protocol." } } }

Product details

This product is a bundle of 2 x BOND Titration Containers (with 6mL inserts) along with 100 uL vial of Anti-CXCR5 antibody [EPR23463-30] - ab254415.

Additional Titration Inserts can be purchased from Leica Biosystems, using OPT9719 (box of 50). Or Titration Container/Insert Kit, using OPT9049 (box of 10/50).

Patented technology
Our RabMAb® technology is a patented hybridoma-based technology for making rabbit monoclonal antibodies. For details on our patents, please refer to RabMAb® patents.

What are the advantages of a recombinant monoclonal antibody?
This product is a recombinant monoclonal antibody, which offers several advantages including:

  • - High batch-to-batch consistency and reproducibility
  • - Improved sensitivity and specificity
  • - Long-term security of supply
  • - Animal-free batch production

For more information, read more on recombinant antibodies.

What's included?

{ "values": { "1Kit": { "sellingSize": "1 Kit", "publicAssetCode":"ab325204-1Kit", "assetComponentDetails": [ { "size":"1 x 100 µL", "name":"Anti-CXCR5 antibody [EPR23463-30]", "number":"AB325204-CMP02", "productcode":"AB254415" }, { "size":"2 x 1 Unit", "name":"LBS BOND RX titration container", "number":"AB325204-CMP01", "productcode":"" } ] } } }

Properties and storage information

Shipped at conditions
Blue Ice
Appropriate short-term storage conditions
-20°C
Appropriate long-term storage conditions
-20°C
Storage information
-20°C

Product protocols

Target data

Cytokine receptor that binds to B-lymphocyte chemoattractant (BLC). Involved in B-cell migration into B-cell follicles of spleen and Peyer patches but not into those of mesenteric or peripheral lymph nodes. May have a regulatory function in Burkitt lymphoma (BL) lymphomagenesis and/or B-cell differentiation.
See full target information CXCR5
websiteProtocolBooklet
en

Product promise

We are committed to supporting your work with high-quality reagents, and we're here for you every step of the way. In the unlikely event that one of our products does not perform as expected, you're protected by our Product Promise.
For full details, please see our Terms & Conditions

Please note: All products are 'FOR RESEARCH USE ONLY. NOT FOR USE IN DIAGNOSTIC OR THERAPEUTIC PROCEDURES'.

For licensing inquiries, please contact partnerships@abcam.com