JavaScript is disabled in your browser. Please enable JavaScript to view this website.
AB321950

BOND RX - Anti-HLA A antibody [EP1395Y]

Be the first to review this product! Submit a review

|

(0 Publication)

Rabbit Recombinant Monoclonal HLA A antibody. Suitable to detect HLA A in IHC-P and reacts with Human samples. This product is a bundle of 2 x BOND Titration Containers (with 6mL inserts) along with 100 uL vial of Anti-HLA A antibody [EP1395Y] - ab52922.

- Validated on the Leica BOND RX automated IHC staining platform for HLA A IHC
- Specificity confirmed with HLA A knockout cell line validation
- EP1395Y clone cited in over 90 publications
- Using biophysical QC, antibody identity is confirmed at a molecular level for unrivaled batch-batch consistency

View Alternative Names

HLAA, HLA-A, Human leukocyte antigen A

1 Images
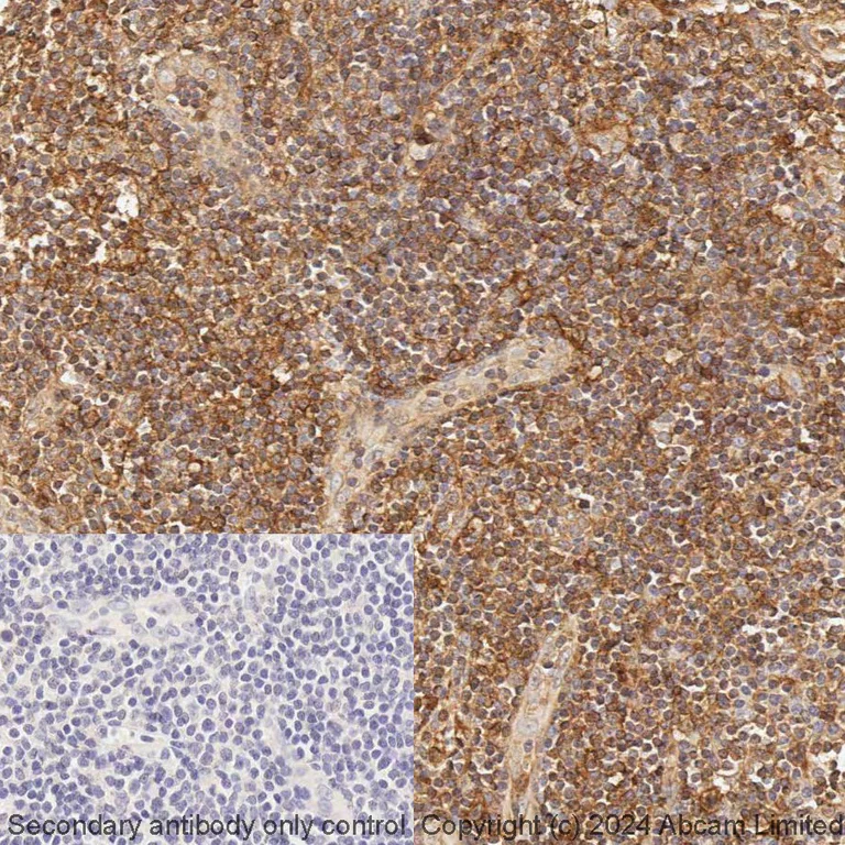
Immunohistochemistry (Formalin/PFA-fixed paraffin-embedded sections) - BOND RX - Anti-HLA A antibody [EP1395Y] (AB321950)
  • IHC-P

Lab

Immunohistochemistry (Formalin/PFA-fixed paraffin-embedded sections) - BOND RX - Anti-HLA A antibody [EP1395Y] (AB321950)

Immunohistochemical analysis of paraffin-embedded human tonsil tissue labelling HLA-A with ab52922 [EP1395Y] at 0.05 µg/mL concentration.

All steps were performed at room temperature unless otherwise stated.

Staining was performed on the BOND RX Advanced Staining Instrument from Leica Biosystems, using the BOND Polymer Refine Detection kit (DS9800) and the following protocols :

  1. Deparaffinization - Dewax
  2. Antigen retrieval - HIER with ER2 (pH 9.0), 20 minutes, 100°C
  3. Staining – modified IHC Protocol F (Marker : ab52922 for 15 minutes with 3 x BOND Wash Solution steps) where standard post-primary step has been excluded.

Sections were counterstained with Hematoxylin (DS9800).

Secondary Antibody only control was performed with the same staining protocols, with marker as negative.

Key facts

Reactivity data

{ "title": "Reactivity Data", "filters": { "stats": ["", "Reactivity", "Dilution Info", "Notes"] }, "values": { "IHC-P": { "reactivity":"TESTED_AND_REACTS", "dilution-info":"0.05 µg/mL", "notes":"<p></p> Perform heat-mediated antigen retrieval with Tris/EDTA buffer pH 9.0 before commencing with IHC staining protocol." } } }

Product details

This product is a bundle of 2 x BOND Titration Containers (with 6mL inserts) along with 100 uL vial of Anti-HLA A antibody [EP1395Y] - ab52922.

Additional Titration Inserts can be purchased from Leica Biosystems, using OPT9719 (box of 50). Or Titration Container/Insert Kit, using OPT9049 (box of 10/50).

Patented technology
Our RabMAb® technology is a patented hybridoma-based technology for making rabbit monoclonal antibodies. For details on our patents, please refer to RabMAb® patents.

What are the advantages of a recombinant monoclonal antibody?
This product is a recombinant monoclonal antibody, which offers several advantages including:

  • - High batch-to-batch consistency and reproducibility
  • - Improved sensitivity and specificity
  • - Long-term security of supply
  • - Animal-free batch production

For more information, read more on recombinant antibodies.

What's included?

{ "values": { "1Kit": { "sellingSize": "1 Kit", "publicAssetCode":"ab321950-1Kit", "assetComponentDetails": [ { "size":"2 x 1 Unit", "name":"LBS Rx BOND Titration Container", "number":"AB321950-CMP02", "productcode":"" }, { "size":"1 x 100 µL", "name":"Anti-HLA A antibody [EP1395Y]", "number":"AB321950-CMP01", "productcode":"" } ] } } }

Properties and storage information

Shipped at conditions
Blue Ice
Appropriate short-term storage conditions
-20°C
Appropriate long-term storage conditions
-20°C
Storage information
-20°C

Supplementary information

This supplementary information is collated from multiple sources and compiled automatically.

HLA-A also known as Human Leukocyte Antigen A is a protein that is part of the major histocompatibility complex (MHC) class I molecules. It has an approximate molecular mass of 44 kDa. HLA-A is expressed on the surface of nearly all nucleated cells and interacts with CD8+ T lymphocytes. Known for its role in immune recognition HLA-A presents endogenous peptide antigens to the T-cell receptor on cytotoxic T cells initiating immune responses to eliminate infected or malignant cells.
Biological function summary

This target functions as a component of the MHC class I molecule complex. HLA-A binds peptides derived from proteasomal degradation of intracellular proteins and presents these peptides on the cell surface. The function plays an essential role in immune surveillance and distinction between self and non-self. This antigen presentation is important for immune responses against viral infections and tumor surveillance influencing the activation and proliferation of T lymphocytes.

Pathways

HLA-A plays a significant role in the antigen processing and presentation pathway. It is closely related to the TAP (Transporter associated with Antigen Processing) proteins which transport antigenic peptides into the endoplasmic reticulum for loading onto MHC class I molecules. Additionally the target interacts with the CD8 molecule on cytotoxic T cells. This interaction is important within the immune response pathway contributing to the recognition and destruction of infected cells.

HLA-A has been associated with autoimmune diseases and transplant rejection. It plays a significant role in conditions like ankylosing spondylitis where specific HLA-A subtypes contribute to disease susceptibility. Additionally mismatches in HLA-A typing can lead to transplant rejection. In such scenarios anti-HLA antibodies can develop causing damage to transplant tissues. The complex interaction of HLA-A with related proteins such as other MHC class I molecules influences immune response outcomes in these diseases.

Product protocols

Target data

Antigen-presenting major histocompatibility complex class I (MHCI) molecule. In complex with B2M/beta 2 microglobulin displays primarily viral and tumor-derived peptides on antigen-presenting cells for recognition by alpha-beta T cell receptor (TCR) on HLA-A-restricted CD8-positive T cells, guiding antigen-specific T cell immune response to eliminate infected or transformed cells (PubMed : 10449296, PubMed : 12138174, PubMed : 12393434, PubMed : 1402688, PubMed : 15893615, PubMed : 17189421, PubMed : 19543285, PubMed : 21498667, PubMed : 24192765, PubMed : 24395804, PubMed : 2456340, PubMed : 2784196, PubMed : 28250417, PubMed : 7504010, PubMed : 7694806, PubMed : 9862734). May also present self-peptides derived from the signal sequence of secreted or membrane proteins, although T cells specific for these peptides are usually inactivated to prevent autoreactivity (PubMed : 25880248, PubMed : 7506728, PubMed : 7679507). Both the peptide and the MHC molecule are recognized by TCR, the peptide is responsible for the fine specificity of antigen recognition and MHC residues account for the MHC restriction of T cells (PubMed : 12796775, PubMed : 18275829, PubMed : 19542454, PubMed : 28250417). Typically presents intracellular peptide antigens of 8 to 13 amino acids that arise from cytosolic proteolysis via IFNG-induced immunoproteasome or via endopeptidase IDE/insulin-degrading enzyme (PubMed : 17079320, PubMed : 17189421, PubMed : 20364150, PubMed : 26929325, PubMed : 27049119). Can bind different peptides containing allele-specific binding motifs, which are mainly defined by anchor residues at position 2 and 9 (PubMed : 7504010, PubMed : 9862734).. Allele A*01 : 01 : Presents a restricted peptide repertoire including viral epitopes derived from IAV NP/nucleoprotein (CTELKLSDY), IAV PB1/polymerase basic protein 1 (VSDGGPNLY), HAdV-11 capsid L3/hexon protein (LTDLGQNLLY), SARS-CoV-2 3a/ORF3a (FTSDYYQLY) as well as tumor peptide antigens including MAGE1 (EADPTGHSY), MAGEA3 (EVDPIGHLY) and WT1 (TSEKRPFMCAY), all having in common a canonical motif with a negatively charged Asp or Glu residue at position 3 and a Tyr anchor residue at the C-terminus (PubMed : 1402688, PubMed : 17189421, PubMed : 19177349, PubMed : 20364150, PubMed : 24395804, PubMed : 25880248, PubMed : 26758806, PubMed : 30530481, PubMed : 32887977, PubMed : 7504010). A number of HLA-A*01 : 01-restricted peptides carry a post-translational modification with oxidation and N-terminal acetylation being the most frequent (PubMed : 25880248). Fails to present highly immunogenic peptides from the EBV latent antigens (PubMed : 18779413).. Allele A*02 : 01 : A major allele in human populations, presents immunodominant viral epitopes derived from IAV M/matrix protein 1 (GILGFVFTL), HIV-1 env (TLTSCNTSV), HIV-1 gag-pol (ILKEPVHGV), HTLV-1 Tax (LLFGYPVYV), HBV C/core antigen (FLPSDFFPS), HCMV UL83/pp65 (NLVPMVATV) as well as tumor peptide antigens including MAGEA4 (GVYDGREHTV), WT1 (RMFPNAPYL) and CTAG1A/NY-ESO-1 (SLLMWITQC), all having in common hydrophobic amino acids at position 2 and at the C-terminal anchors.. Allele A*03 : 01 : Presents viral epitopes derived from IAV NP (ILRGSVAHK), HIV-1 nef (QVPLRPMTYK), HIV-1 gag-pol (AIFQSSMTK), SARS-CoV-2 N/nucleoprotein (KTFPPTEPK) as well as tumor peptide antigens including PMEL (LIYRRRLMK), NODAL (HAYIQSLLK), TRP-2 (RMYNMVPFF), all having in common hydrophobic amino acids at position 2 and Lys or Arg anchor residues at the C-terminus (PubMed : 19543285, PubMed : 21943705, PubMed : 2456340, PubMed : 32887977, PubMed : 7504010, PubMed : 7679507, PubMed : 9862734). May also display spliced peptides resulting from the ligation of two separate proteasomal cleavage products that are not contiguous in the parental protein (PubMed : 27049119).. Allele A*11 : 01 : Presents several immunodominant epitopes derived from HIV-1 gag-pol and HHV-4 EBNA4, containing the peptide motif with Val, Ile, Thr, Leu, Tyr or Phe at position 2 and Lys anchor residue at the C-terminus. Important in the control of HIV-1, EBV and HBV infections (PubMed : 10449296). Presents an immunodominant epitope derived from SARS-CoV-2 N/nucleoprotein (KTFPPTEPK) (PubMed : 32887977).. Allele A*23 : 01 : Interacts with natural killer (NK) cell receptor KIR3DL1 and may contribute to functional maturation of NK cells and self-nonself discrimination during innate immune response.. Allele A*24 : 02 : Presents viral epitopes derived from HIV-1 nef (RYPLTFGWCF), EBV lytic- and latent-cycle antigens BRLF1 (TYPVLEEMF), BMLF1 (DYNFVKQLF) and LMP2 (IYVLVMLVL), SARS-CoV nucleocapsid/N (QFKDNVILL), as well as tumor peptide antigens including PRAME (LYVDSLFFL), all sharing a common signature motif, namely an aromatic residue Tyr or Phe at position 2 and a nonhydrophobic anchor residue Phe, Leu or Iso at the C-terminus (PubMed : 12393434, PubMed : 20844028, PubMed : 24192765, PubMed : 9047241). Interacts with natural killer (NK) cell receptor KIR3DL1 and may contribute to functional maturation of NK cells and self-nonself discrimination during innate immune response (PubMed : 17182537, PubMed : 18502829).. Allele A*26 : 01 : Presents several epitopes derived from HIV-1 gag-pol (EVIPMFSAL, ETKLGKAGY) and env (LVSDGGPNLY), carrying as anchor residues preferentially Glu at position 1, Val or Thr at position 2 and Tyr at the C-terminus.. Allele A*29 : 02 : Presents peptides having a common motif, namely a Glu residue at position 2 and Tyr or Leu anchor residues at the C-terminus.. Allele A*32 : 01 : Interacts with natural killer (NK) cell receptor KIR3DL1 and may contribute to functional maturation of NK cells and self-nonself discrimination during innate immune response.. Allele A*68 : 01 : Presents viral epitopes derived from IAV NP (KTGGPIYKR) and HIV-1 tat (ITKGLGISYGR), having a common signature motif namely, Val or Thr at position 2 and positively charged residues Arg or Lys at the C-terminal anchor.. Allele A*74 : 01 : Presents immunodominant HIV-1 epitopes derived from gag-pol (GQMVHQAISPR, QIYPGIKVR) and rev (RQIHSISER), carrying an aliphatic residue at position 2 and Arg anchor residue at the C-terminus. May contribute to viral load control in chronic HIV-1 infection.
See full target information HLA-A
websiteProtocolBooklet
en

Product promise

We are committed to supporting your work with high-quality reagents, and we're here for you every step of the way. In the unlikely event that one of our products does not perform as expected, you're protected by our Product Promise.
For full details, please see our Terms & Conditions

Please note: All products are 'FOR RESEARCH USE ONLY. NOT FOR USE IN DIAGNOSTIC OR THERAPEUTIC PROCEDURES'.

For licensing inquiries, please contact partnerships@abcam.com