JavaScript is disabled in your browser. Please enable JavaScript to view this website.
AB325212

BOND RX - Anti-Nrf2 (phospho S40) antibody [EP1809Y]

Be the first to review this product! Submit a review

|

(0 Publication)

Rabbit Recombinant Monoclonal antibody detecting Nrf2 in Western Blot, Flow Cytometry (Intra), Flow Cytometry, IHC-P, ICC/IF, Dot Blot. Suitable for Human. This product is a bundle of 2 x BOND Titration Containers (with 6mL inserts) along with 100 uL vial of Anti-Nrf2 (phospho S40) antibody [EP1809Y] - ab76026.

- Validated on the Leica BOND RX automated IHC staining platform for Nrf2 IHC
- EP1809Y clone cited in over 208 publications
- Using biophysical QC, antibody identity is confirmed at a molecular level for unrivaled batch-batch consistency

View Alternative Names

NRF2, NFE2L2, Nuclear factor erythroid 2-related factor 2, NF-E2-related factor 2, NFE2-related factor 2, Nrf-2

1 Images
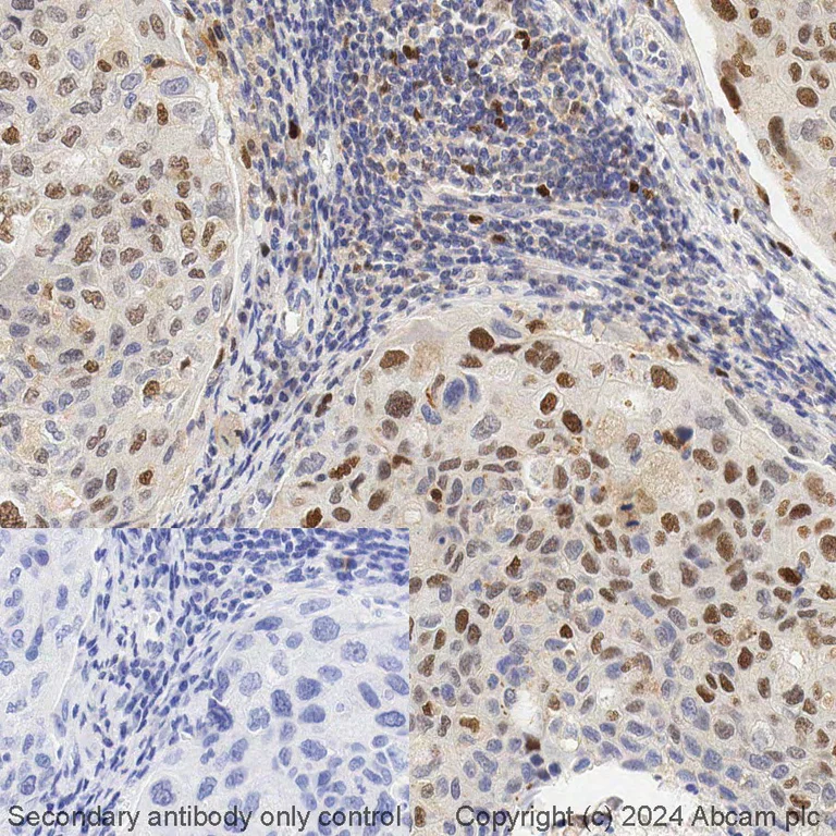
Immunohistochemistry (Formalin/PFA-fixed paraffin-embedded sections) - BOND RX - Anti-Nrf2 (phospho S40) antibody [EP1809Y] (AB325212)
  • IHC-P

Lab

Immunohistochemistry (Formalin/PFA-fixed paraffin-embedded sections) - BOND RX - Anti-Nrf2 (phospho S40) antibody [EP1809Y] (AB325212)

Immunohistochemical analysis of paraffin-embedded human cervical cancer tissue labelling Nrf2 (phospho S40) with ab76026 [EP1809Y] at 0.44 µg/mL concentration.

All steps were performed at room temperature unless otherwise stated.

Staining was performed on the BOND RX Advanced Staining Instrument from Leica Biosystems, using the Bond Polymer Refine Detection kit (DS9800) and the following protocols :

  1. Deparaffinization - Dewax
  2. Antigen retrieval - HIER with ER2 (pH 9.0), 20 minutes, 100°C
  3. Staining – modified IHC Protocol F (Marker : ab76026 for 15 minutes with 3 x Bond Wash Solution steps) where standard post-primary step has been excluded.

Sections were counterstained with Hematoxylin (DS9800).

Secondary Antibody only control was performed with the same staining protocols, with marker as negative.

Key facts

Reactivity data

{ "title": "Reactivity Data", "filters": { "stats": ["", "Reactivity", "Dilution Info", "Notes"] }, "values": { "IHC-P": { "reactivity":"TESTED_AND_REACTS", "dilution-info":"0.44 µg/mL", "notes":"<p></p> Perform heat-mediated antigen retrieval before commencing with IHC staining protocol." } } }

Product details

This product is a bundle of 2 x BOND Titration Containers (with 6mL inserts) along with 100 uL vial of Anti-Nrf2 (phospho S40) antibody [EP1809Y] - ab76026.

Additional Titration Inserts can be purchased from Leica Biosystems, using OPT9719 (box of 50). Or Titration Container/Insert Kit, using OPT9049 (box of 10/50).

Patented technology
Our RabMAb® technology is a patented hybridoma-based technology for making rabbit monoclonal antibodies. For details on our patents, please refer to RabMAb® patents.

What are the advantages of a recombinant monoclonal antibody?
This product is a recombinant monoclonal antibody, which offers several advantages including:

  • - High batch-to-batch consistency and reproducibility
  • - Improved sensitivity and specificity
  • - Long-term security of supply
  • - Animal-free batch production

For more information, read more on recombinant antibodies.

What's included?

{ "values": { "1Kit": { "sellingSize": "1 Kit", "publicAssetCode":"ab325212-1Kit", "assetComponentDetails": [ { "size":"1 x 100 µL", "name":"Anti-Nrf2 (phospho S40) antibody [EP1809Y]", "number":"AB325212-CMP02", "productcode":"AB76026" }, { "size":"2 x 1 Unit", "name":"LBS BOND RX titration container", "number":"AB325212-CMP01", "productcode":"" } ] } } }

Properties and storage information

Shipped at conditions
Blue Ice
Appropriate short-term storage conditions
-20°C
Appropriate long-term storage conditions
-20°C
Storage information
-20°C

Product protocols

Target data

The protein expressed by the NFE2L2 gene functions as a transcription factor that plays a key role in responding to oxidative stress by binding to antioxidant response elements (ARE) in the promoter regions of various cytoprotective genes, such as phase 2 detoxifying enzymes, to promote their expression and neutralize reactive electrophiles. Under normal conditions, it is ubiquitinated and degraded in the cytoplasm by the BCR(KEAP1) complex. However, oxidative stress leads to the inhibition of the BCR(KEAP1) complex, allowing NFE2L2/NRF2 to accumulate in the nucleus, form heterodimers with small Maf proteins, and bind to ARE elements. Additionally, the NFE2L2/NRF2 pathway is activated by selective autophagy, where KEAP1 interacts with SQSTM1/p62, inactivating the BCR(KEAP1) complex and leading to nuclear NFE2L2/NRF2 accumulation and cytoprotective gene expression. It may also be involved in activating genes of the beta-globin cluster by facilitating enhancer activity of hypersensitive site 2 of the beta-globin locus control region. This supplementary information is collated from multiple sources and compiled automatically.
See full target information NFE2L2 phospho S40

Product promise

We are committed to supporting your work with high-quality reagents, and we're here for you every step of the way. In the unlikely event that one of our products does not perform as expected, you're protected by our Product Promise.
For full details, please see our Terms & Conditions
websiteProtocolBooklet
en

Please note: All products are 'FOR RESEARCH USE ONLY. NOT FOR USE IN DIAGNOSTIC OR THERAPEUTIC PROCEDURES'.

For licensing inquiries, please contact partnerships@abcam.com