JavaScript is disabled in your browser. Please enable JavaScript to view this website.
AB321954

BOND RX - Anti-PDGFR alpha antibody [EPR22059-270]

Be the first to review this product! Submit a review

|

(0 Publication)

Rabbit Recombinant Monoclonal PDGFR alpha antibody. Suitable for detection of PDGFR alpha in IHC. Suitable for human, mouse and rat samples. This product is a bundle of 2 x BOND Titration Containers (with 6mL inserts) along with 100 uL vial of Anti-PDGFR alpha antibody [EPR22059-270] - ab203491.

- Validated on the Leica BOND RX automated IHC staining platform for PDGFR alpha IHC
- Specificity confirmed with PDGFRA knockout cell line validation
- EPR22059-270 clone is cited in over 70 publications
- Using biophysical QC, antibody identity is confirmed at a molecular level for unrivaled batch-batch consistency

View Alternative Names

CD140a, PDGFR2, RHEPDGFRA, PDGFRA, Platelet-derived growth factor receptor alpha, PDGF-R-alpha, PDGFR-alpha, Alpha platelet-derived growth factor receptor, Alpha-type platelet-derived growth factor receptor, CD140 antigen-like family member A, CD140a antigen, Platelet-derived growth factor alpha receptor, Platelet-derived growth factor receptor 2, PDGFR-2

1 Images
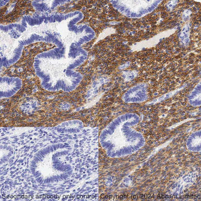
Immunohistochemistry (Formalin/PFA-fixed paraffin-embedded sections) - BOND RX - Anti-PDGFR alpha antibody [EPR22059-270] (AB321954)
  • IHC-P

Lab

Immunohistochemistry (Formalin/PFA-fixed paraffin-embedded sections) - BOND RX - Anti-PDGFR alpha antibody [EPR22059-270] (AB321954)

Immunohistochemical analysis of paraffin-embedded human endometrium tissue labelling PDGFR alpha with ab203491 [EPR22059-270] at 0.5 µg/mL concentration.

All steps were performed at room temperature unless otherwise stated.

Staining was performed on the BOND RX Advanced Staining Instrument from Leica Biosystems, using the BOND Polymer Refine Detection kit (DS9800) and the following protocols :

  1. Deparaffinization - Dewax
  2. Antigen retrieval - HIER with ER2 (pH 9.0), 20 minutes, 100°C
  3. Staining – modified IHC Protocol F (Marker : ab203491 for 15 minutes with 3 x BOND Wash Solution steps) where standard post-primary step has been excluded.

Sections were counterstained with Hematoxylin (DS9800).

Secondary Antibody only control was performed with the same staining protocols, with marker as negative.

Key facts

Reactivity data

{ "title": "Reactivity Data", "filters": { "stats": ["", "Reactivity", "Dilution Info", "Notes"] }, "values": { "IHC-P": { "reactivity":"TESTED_AND_REACTS", "dilution-info":"0.5 µg/mL", "notes":"<p></p> Perform heat-mediated antigen retrieval with Tris/EDTA buffer pH 9.0 before commencing with IHC staining protocol." } } }

Product details

This product is a bundle of 2 x BOND Titration Containers (with 6mL inserts) along with 100 uL vial of Anti-PDGFR alpha antibody [EPR22059-270] - ab203491.

Additional Titration Inserts can be purchased from Leica Biosystems, using OPT9719 (box of 50). Or Titration Container/Insert Kit, using OPT9049 (box of 10/50).

Patented technology
Our RabMAb® technology is a patented hybridoma-based technology for making rabbit monoclonal antibodies. For details on our patents, please refer to RabMAb® patents.

What are the advantages of a recombinant monoclonal antibody?
This product is a recombinant monoclonal antibody, which offers several advantages including:

  • - High batch-to-batch consistency and reproducibility
  • - Improved sensitivity and specificity
  • - Long-term security of supply
  • - Animal-free batch production

For more information, read more on recombinant antibodies.

What's included?

{ "values": { "1Kit": { "sellingSize": "1 Kit", "publicAssetCode":"ab321954-1Kit", "assetComponentDetails": [ { "size":"2 x 1 Unit", "name":"LBS Rx BOND Titration Container", "number":"AB321954-CMP02", "productcode":"" }, { "size":"1 x 100 µL", "name":"Anti-PDGFR alpha antibody [EPR22059-270]", "number":"AB321954-CMP01", "productcode":"" } ] } } }

Properties and storage information

Shipped at conditions
Blue Ice
Appropriate short-term storage conditions
-20°C
Appropriate long-term storage conditions
-20°C
Storage information
-20°C

Supplementary information

This supplementary information is collated from multiple sources and compiled automatically.

PDGFR alpha also known as platelet-derived growth factor receptor alpha is a cell surface receptor tyrosine kinase with a mass of approximately 123 kDa. It plays a mechanical role in transmitting signals across the cell membrane initiating cellular responses. PDGFR alpha is widely expressed in mesenchymal cells including fibroblasts and smooth muscle cells. Researchers frequently employ techniques such as PDGFRA IHC and PDGFRA staining to study the localization and expression levels in tissues.
Biological function summary

PDGFR alpha mediates cell proliferation survival and differentiation especially in embryonic development and wound healing. The receptor often forms a complex by dimerizing with itself or with PDGFR beta to activate intracellular signaling cascades. This process is initiated upon ligand binding which triggers autophosphorylation on tyrosine residues. The receptor is also recognized in the detection of PDGFRA with assays such as PDGFRA ELISA.

Pathways

PDGFR alpha significantly affects the MAPK and PI3K/AKT signaling pathways which regulate cellular growth and survival signals. Through these pathways PDGFR alpha interacts with related proteins like SHP-2 and PI3K contributing to signal transduction involved in cellular responses. This role links PDGFR alpha to important cellular processes via its kinase activity and signal integration.

PDGFR alpha is implicated in conditions such as gastrointestinal stromal tumors (GISTs) and idiopathic pulmonary fibrosis (IPF). It connects to proteins such as KIT in GISTs where mutations cause aberrant receptor signaling leading to tumorigenesis. Aberrant PDGFR alpha signaling also associates with IPF a disorder characterized by increased fibroblast proliferation and fibrotic tissue formation. These connections make PDGFR alpha a significant target for research and therapeutic intervention.

Product protocols

Target data

Tyrosine-protein kinase that acts as a cell-surface receptor for PDGFA, PDGFB and PDGFC and plays an essential role in the regulation of embryonic development, cell proliferation, survival and chemotaxis. Depending on the context, promotes or inhibits cell proliferation and cell migration. Plays an important role in the differentiation of bone marrow-derived mesenchymal stem cells. Required for normal skeleton development and cephalic closure during embryonic development. Required for normal development of the mucosa lining the gastrointestinal tract, and for recruitment of mesenchymal cells and normal development of intestinal villi. Plays a role in cell migration and chemotaxis in wound healing. Plays a role in platelet activation, secretion of agonists from platelet granules, and in thrombin-induced platelet aggregation. Binding of its cognate ligands - homodimeric PDGFA, homodimeric PDGFB, heterodimers formed by PDGFA and PDGFB or homodimeric PDGFC -leads to the activation of several signaling cascades; the response depends on the nature of the bound ligand and is modulated by the formation of heterodimers between PDGFRA and PDGFRB. Phosphorylates PIK3R1, PLCG1, and PTPN11. Activation of PLCG1 leads to the production of the cellular signaling molecules diacylglycerol and inositol 1,4,5-trisphosphate, mobilization of cytosolic Ca(2+) and the activation of protein kinase C. Phosphorylates PIK3R1, the regulatory subunit of phosphatidylinositol 3-kinase, and thereby mediates activation of the AKT1 signaling pathway. Mediates activation of HRAS and of the MAP kinases MAPK1/ERK2 and/or MAPK3/ERK1. Promotes activation of STAT family members STAT1, STAT3 and STAT5A and/or STAT5B. Receptor signaling is down-regulated by protein phosphatases that dephosphorylate the receptor and its down-stream effectors, and by rapid internalization of the activated receptor.
See full target information PDGFRA
websiteProtocolBooklet
en

Product promise

We are committed to supporting your work with high-quality reagents, and we're here for you every step of the way. In the unlikely event that one of our products does not perform as expected, you're protected by our Product Promise.
For full details, please see our Terms & Conditions

Please note: All products are 'FOR RESEARCH USE ONLY. NOT FOR USE IN DIAGNOSTIC OR THERAPEUTIC PROCEDURES'.

For licensing inquiries, please contact partnerships@abcam.com