JavaScript is disabled in your browser. Please enable JavaScript to view this website.
AB321948

BOND RX - Anti-PDGFR alpha + PDGFR beta antibody [Y92] - C-terminal

Be the first to review this product! Submit a review

|

(0 Publication)

Rabbit Recombinant Monoclonal PDGFR alpha + PDGFR beta antibody. Suitable for detection of PDGFR alpha + PDGFR beta in IHC. Suitable for Human, Mouse, Rat samples. This product is a bundle of 2 x BOND Titration Containers (with 6mL inserts) along with 100 uL vial of Anti-PDGFR alpha + PDGFR beta antibody [Y92] - C-terminal - ab32570.

- Validated on the Leica BOND RX automated IHC staining platform for PDGFR alpha + PDGFR beta IHC
- Specificity confirmed with PDGFRB knockout cell line validation
- Y92 clone cited in over 330 publications
- Using biophysical QC, antibody identity is confirmed at a molecular level for unrivaled batch-batch consistency

View Alternative Names

CD140b, PDGFR, PDGFR1, PDGFRB, Platelet-derived growth factor receptor beta, PDGF-R-beta, PDGFR-beta, Beta platelet-derived growth factor receptor, Beta-type platelet-derived growth factor receptor, CD140 antigen-like family member B, Platelet-derived growth factor receptor 1, PDGFR-1

1 Images
Immunohistochemistry (Formalin/PFA-fixed paraffin-embedded sections) - BOND RX - Anti-PDGFR alpha + PDGFR beta antibody [Y92] - C-terminal (AB321948)
  • IHC-P

Lab

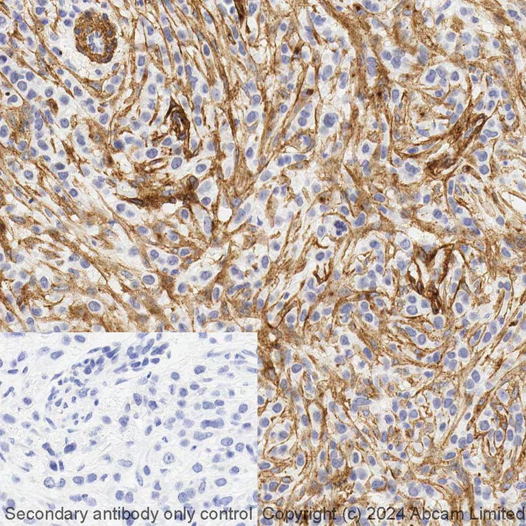
Immunohistochemistry (Formalin/PFA-fixed paraffin-embedded sections) - BOND RX - Anti-PDGFR alpha + PDGFR beta antibody [Y92] - C-terminal (AB321948)

Immunohistochemical analysis of paraffin-embedded human breast carcinoma tissue labelling PDGFR alpha + PDGFR beta with ab32570 [Y92] at 0.22 µg/mL concentration.

All steps were performed at room temperature unless otherwise stated.

Staining was performed on the BOND RX Advanced Staining Instrument from Leica Biosystems, using the BOND Polymer Refine Detection kit (DS9800) and the following protocols :

  1. Deparaffinization - Dewax
  2. Antigen retrieval - HIER with ER2 (pH 9.0), 20 minutes, 100°C
  3. Staining – modified IHC Protocol F (Marker : ab32570 for 15 minutes with 3 x BOND Wash Solution steps) where standard post-primary step has been excluded.

Sections were counterstained with Hematoxylin (DS9800).

Secondary Antibody only control was performed with the same staining protocols, with marker as negative.

Key facts

Reactivity data

{ "title": "Reactivity Data", "filters": { "stats": ["", "Reactivity", "Dilution Info", "Notes"] }, "values": { "IHC-P": { "reactivity":"TESTED_AND_REACTS", "dilution-info":"0.22 µg/mL", "notes":"<p></p> Perform heat-mediated antigen retrieval with Tris/EDTA buffer pH 9.0 before commencing with IHC staining protocol." } } }

Product details

This product is a bundle of 2 x BOND Titration Containers (with 6mL inserts) along with 100 uL vial of Anti-PDGFR alpha + PDGFR beta antibody [Y92] - C-terminal - ab32570.

Additional Titration Inserts can be purchased from Leica Biosystems, using OPT9719 (box of 50). Or Titration Container/Insert Kit, using OPT9049 (box of 10/50).

Patented technology
Our RabMAb® technology is a patented hybridoma-based technology for making rabbit monoclonal antibodies. For details on our patents, please refer to RabMAb® patents.

What are the advantages of a recombinant monoclonal antibody?
This product is a recombinant monoclonal antibody, which offers several advantages including:

  • - High batch-to-batch consistency and reproducibility
  • - Improved sensitivity and specificity
  • - Long-term security of supply
  • - Animal-free batch production

For more information, read more on recombinant antibodies.

What's included?

{ "values": { "1Kit": { "sellingSize": "1 Kit", "publicAssetCode":"ab321948-1Kit", "assetComponentDetails": [ { "size":"2 x 1 Unit", "name":"LBS Rx BOND Titration Container", "number":"AB321948-CMP02", "productcode":"" }, { "size":"1 x 100 µL", "name":"Anti-PDGFR alpha + PDGFR beta antibody [Y92] - C-terminal", "number":"AB321948-CMP01", "productcode":"" } ] } } }

Properties and storage information

Shipped at conditions
Blue Ice
Appropriate short-term storage conditions
-20°C
Appropriate long-term storage conditions
-20°C
Storage information
-20°C

Supplementary information

This supplementary information is collated from multiple sources and compiled automatically.

PDGFR alpha also known as platelet-derived growth factor receptor alpha is a cell surface receptor tyrosine kinase with a mass of approximately 123 kDa. It plays a mechanical role in transmitting signals across the cell membrane initiating cellular responses. PDGFR alpha is widely expressed in mesenchymal cells including fibroblasts and smooth muscle cells. Researchers frequently employ techniques such as PDGFRA IHC and PDGFRA staining to study the localization and expression levels in tissues.
Biological function summary

PDGFR alpha mediates cell proliferation survival and differentiation especially in embryonic development and wound healing. The receptor often forms a complex by dimerizing with itself or with PDGFR beta to activate intracellular signaling cascades. This process is initiated upon ligand binding which triggers autophosphorylation on tyrosine residues. The receptor is also recognized in the detection of PDGFRA with assays such as PDGFRA ELISA.

Pathways

PDGFR alpha significantly affects the MAPK and PI3K/AKT signaling pathways which regulate cellular growth and survival signals. Through these pathways PDGFR alpha interacts with related proteins like SHP-2 and PI3K contributing to signal transduction involved in cellular responses. This role links PDGFR alpha to important cellular processes via its kinase activity and signal integration.

PDGFR alpha is implicated in conditions such as gastrointestinal stromal tumors (GISTs) and idiopathic pulmonary fibrosis (IPF). It connects to proteins such as KIT in GISTs where mutations cause aberrant receptor signaling leading to tumorigenesis. Aberrant PDGFR alpha signaling also associates with IPF a disorder characterized by increased fibroblast proliferation and fibrotic tissue formation. These connections make PDGFR alpha a significant target for research and therapeutic intervention.

Product protocols

Target data

The protein expressed by the PDGFRB gene is a tyrosine-protein kinase that functions as a cell-surface receptor for various PDGF homodimers and heterodimers, playing an essential role in embryonic development, cell proliferation, survival, differentiation, chemotaxis, and migration. It is crucial for blood vessel development by promoting the proliferation and migration of, as well as recruitment of, pericytes and smooth muscle cells to endothelial cells. It has a role in vascular smooth muscle cell migration and neointima formation at injury sites, and is necessary for normal cardiovascular development and pericyte recruitment in kidney glomeruli. The protein facilitates actin cytoskeleton rearrangement and membrane ruffle formation. Ligand binding activates signaling cascades depending on the ligand bound and interactions with PDGFRA, leading to phosphorylation of several substrates, activation of signaling pathways such as AKT1, MAPK, and SRC family kinases, and production of molecules like diacylglycerol and inositol trisphosphate. Receptor signaling is downregulated by protein phosphatases and receptor internalization. This supplementary information is collated from multiple sources and compiled automatically.
See full target information PDGFRB

Additional targets

PDGFRA
websiteProtocolBooklet
en

Product promise

We are committed to supporting your work with high-quality reagents, and we're here for you every step of the way. In the unlikely event that one of our products does not perform as expected, you're protected by our Product Promise.
For full details, please see our Terms & Conditions

Please note: All products are 'FOR RESEARCH USE ONLY. NOT FOR USE IN DIAGNOSTIC OR THERAPEUTIC PROCEDURES'.

For licensing inquiries, please contact partnerships@abcam.com