JavaScript is disabled in your browser. Please enable JavaScript to view this website.
AB325215

BOND RX - Anti-TMPRSS2 antibody [EPR3862]

Be the first to review this product! Submit a review

|

(0 Publication)

Rabbit Recombinant Monoclonal antibody detecting TMPRSS2 in Western Blot, IHC-P. Suitable for Human. This product is a bundle of 2 x BOND Titration Containers (with 6mL inserts) along with 100 uL vial of Anti-TMPRSS2 antibody [EPR3862] - ab109131.

- Validated on the Leica BOND RX automated IHC staining platform for TMPRSS2 IHC
- EPR3862 clone cited in over 40 publications
- Specificity confirmed with TMPRSS2 knockout cell line validation
- Using biophysical QC, antibody identity is confirmed at a molecular level for unrivaled batch-batch consistency

View Alternative Names

PRSS10, TMPRSS2, Transmembrane protease serine 2, Serine protease 10

1 Images
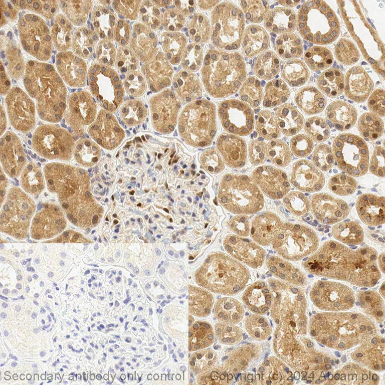
Immunohistochemistry (Formalin/PFA-fixed paraffin-embedded sections) - BOND RX - Anti-TMPRSS2 antibody [EPR3862] (AB325215)
  • IHC-P

Lab

Immunohistochemistry (Formalin/PFA-fixed paraffin-embedded sections) - BOND RX - Anti-TMPRSS2 antibody [EPR3862] (AB325215)

This data was developed using the same antibody clone in a different buffer formulation containing PBS only (ab242384).

Immunohistochemical analysis of paraffin-embedded human kidney tissue labelling TMPRSS2 with ab242384 [EPR3862] at 0.75 µg/mL concentration.

All steps were performed at room temperature unless otherwise stated.

Staining was performed on the BOND RX Advanced Staining Instrument from Leica Biosystems, using the Bond Polymer Refine Detection kit (DS9800) and the following protocols :

  1. Deparaffinization - Dewax
  2. Antigen retrieval - HIER with ER2 (pH 9.0), 20 minutes, 100°C
  3. Staining – modified IHC Protocol F (Marker : ab242384 for 15 minutes with 3 x Bond Wash Solution steps) where standard post-primary step has been excluded.

Sections were counterstained with Hematoxylin (DS9800).

Secondary Antibody only control was performed with the same staining protocols, with marker as negative.

Key facts

Reactivity data

{ "title": "Reactivity Data", "filters": { "stats": ["", "Reactivity", "Dilution Info", "Notes"] }, "values": { "IHC-P": { "reactivity":"TESTED_AND_REACTS", "dilution-info":"0.75 µg/mL", "notes":"<p></p> Perform heat-mediated antigen retrieval before commencing with IHC staining protocol." } } }

Product details

This product is a bundle of 2 x BOND Titration Containers (with 6mL inserts) along with 100 uL vial of Anti-TMPRSS2 antibody [EPR3862] - ab109131.

Additional Titration Inserts can be purchased from Leica Biosystems, using OPT9719 (box of 50). Or Titration Container/Insert Kit, using OPT9049 (box of 10/50).

Patented technology
Our RabMAb® technology is a patented hybridoma-based technology for making rabbit monoclonal antibodies. For details on our patents, please refer to RabMAb® patents.

What are the advantages of a recombinant monoclonal antibody?
This product is a recombinant monoclonal antibody, which offers several advantages including:

  • - High batch-to-batch consistency and reproducibility
  • - Improved sensitivity and specificity
  • - Long-term security of supply
  • - Animal-free batch production

For more information, read more on recombinant antibodies.

What's included?

{ "values": { "1Kit": { "sellingSize": "1 Kit", "publicAssetCode":"ab325215-1Kit", "assetComponentDetails": [ { "size":"1 x 100 µL", "name":"Anti-TMPRSS2 antibody [EPR3862]", "number":"AB325215-CMP02", "productcode":"AB109131" }, { "size":"2 x 1 Unit", "name":"LBS BOND RX titration container", "number":"AB325215-CMP01", "productcode":"" } ] } } }

Properties and storage information

Shipped at conditions
Blue Ice
Appropriate short-term storage conditions
-20°C
Appropriate long-term storage conditions
-20°C
Storage information
-20°C

Product protocols

Target data

Plasma membrane-anchored serine protease that cleaves at arginine residues (PubMed : 32703818, PubMed : 35676539, PubMed : 37990007, PubMed : 38964328). Participates in proteolytic cascades of relevance for the normal physiologic function of the prostate (PubMed : 25122198). Androgen-induced TMPRSS2 activates several substrates that include pro-hepatocyte growth factor/HGF, the protease activated receptor-2/F2RL1 or matriptase/ST14 leading to extracellular matrix disruption and metastasis of prostate cancer cells (PubMed : 15537383, PubMed : 25122198, PubMed : 26018085). In addition, activates trigeminal neurons and contribute to both spontaneous pain and mechanical allodynia (By similarity).. (Microbial infection) Facilitates human coronaviruses SARS-CoV and SARS-CoV-2 infections via two independent mechanisms, proteolytic cleavage of ACE2 receptor which promotes viral uptake, and cleavage of coronavirus spike glycoproteins which activates the glycoprotein for host cell entry (PubMed : 24227843, PubMed : 32142651, PubMed : 32404436, PubMed : 33051876, PubMed : 34159616, PubMed : 35676539, PubMed : 37990007). The cleavage of SARS-COV2 spike glycoprotein occurs between the S2 and S2' site (PubMed : 32703818). Upon SARS-CoV-2 infection, increases syncytia formation by accelerating the fusion process (PubMed : 33051876, PubMed : 34159616, PubMed : 35676539). Proteolytically cleaves and activates the spike glycoproteins of human coronavirus 229E (HCoV-229E) and human coronavirus EMC (HCoV-EMC) and the fusion glycoproteins F0 of Sendai virus (SeV), human metapneumovirus (HMPV), human parainfluenza 1, 2, 3, 4a and 4b viruses (HPIV). Essential for spread and pathogenesis of influenza A virus (strains H1N1, H3N2 and H7N9); involved in proteolytic cleavage and activation of hemagglutinin (HA) protein which is essential for viral infectivity.. (Microbial infection) Receptor for human coronavirus HKU1-CoV, acts synergistically with disialoside glycans to facilitate the entry of the virus. After binding to cell-surface disialoside glycans, the viral S protein interacts with the inactive form of TMPRSS2 and inhibits its protease activity.
See full target information TMPRSS2
websiteProtocolBooklet
en

Product promise

We are committed to supporting your work with high-quality reagents, and we're here for you every step of the way. In the unlikely event that one of our products does not perform as expected, you're protected by our Product Promise.
For full details, please see our Terms & Conditions

Please note: All products are 'FOR RESEARCH USE ONLY. NOT FOR USE IN DIAGNOSTIC OR THERAPEUTIC PROCEDURES'.

For licensing inquiries, please contact partnerships@abcam.com