JavaScript is disabled in your browser. Please enable JavaScript to view this website.
AB125306

BrdU Immunohistochemistry Kit

3

(2 Reviews)

|

(27 Publications)

ab125306 is a histochemical staining kit for the detection and localization of bromodeoxyuridine incorporated into newly synthesized DNA of actively proliferating cells.
1 Images
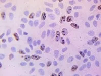
Immunohistochemistry (Formalin/PFA-fixed paraffin-embedded sections) - BrdU Immunohistochemistry Kit (AB125306)
  • IHC-P

Unknown

Immunohistochemistry (Formalin/PFA-fixed paraffin-embedded sections) - BrdU Immunohistochemistry Kit (AB125306)

Formalin-fixed, paraffin embedded MCF7 cells sections stained using ab125306. More diffuse nuclear immunostaining can be seen here.

Key facts

Sample types

Tissue, Suspension cells, Adherent cells

Reactivity data

{ "title": "Reactivity Data", "filters": { "stats": ["", "Reactivity", "Dilution Info", "Notes"] }, "values": { "IHC-P": { "reactivity":"TESTED_AND_REACTS", "dilution-info":"", "notes":"<p></p>" }, "IHC-Fr": { "reactivity":"TESTED_AND_REACTS", "dilution-info":"", "notes":"<p></p>" } } }

Product details

ab125306 is a histochemical staining kit for the detection and localization of bromodeoxyuridine incorporated into newly synthesized DNA of actively proliferating cells.

The material in ab125306 is sufficient to run 50 slides. The average test area is defined as a circle around the tissue with an approximate diameter of 2 centimeters.

Control Slides: BrdU labeled MCF7 (human breast carcinoma derived) cells grown on glass slides (ab281335).

*Trypsin is only required if using formalin fixed tissues. If the tissues are fixed in alcohol, trypsin digestion is not required. Please note that a quenching solution (hydrogen peroxide (30% solution) is not provided in this kit.

What's included?

{ "values": { "1Kit": { "sellingSize": "1 Kit", "publicAssetCode":"ab125306-1Kit", "assetComponentDetails": [ { "size":"1 x 1 Slide", "name":"Control Slides (stained)", "number":"AB125306-CMP04", "productcode":"" }, { "size":"1 x 6 mL", "name":"Detector Antibody (Biotinylated and pre-diluted)", "number":"AB125306-CMP08", "productcode":"" }, { "size":"1 x 6 mL", "name":"Streptavidin-HRP Conjugate (pre-diluted)", "number":"AB125306-CMP11", "productcode":"" }, { "size":"4 x 1 Slide", "name":"Control Slides (unstained)", "number":"AB125306-CMP03", "productcode":"" }, { "size":"1 x 6 mL", "name":"Hematoxylin Counterstain", "number":"AB125306-CMP09", "productcode":"" }, { "size":"1 x 6 mL", "name":"Blocking Buffer", "number":"AB125306-CMP02", "productcode":"" }, { "size":"1 x 3 mL", "name":"4X Trypsin Enzyme Concentrate", "number":"AB125306-CMP01", "productcode":"" }, { "size":"1 x 6 mL", "name":"DAB Solution 2 (Substrate Reaction Buffer)", "number":"AB125306-CMP06", "productcode":"" }, { "size":"1 x 6 mL", "name":"Mounting Media", "number":"AB125306-CMP10", "productcode":"" }, { "size":"1 x 6 mL", "name":"Denaturing Solution", "number":"AB125306-CMP07", "productcode":"" }, { "size":"1 x 0.3 mL", "name":"DAB Solution 1 (DAB Concentrate)", "number":"AB125306-CMP05", "productcode":"" }, { "size":"1 x 12 mL", "name":"Trypsin Dilution Buffer", "number":"AB125306-CMP12", "productcode":"" } ] } } }

Properties and storage information

Shipped at conditions
Blue Ice
Appropriate short-term storage conditions
-20°C
Appropriate long-term storage conditions
-20°C
Storage information
-20°C

Product protocols

Target data

Publications (27)

Recent publications for all applications. Explore the full list and refine your search

Frontiers in pharmacology 16:1519066 PubMed40046735

2025

The clinically applied PARP inhibitor talazoparib ameliorates imiquimod-induced psoriasis in mice without reducing skin inflammation.

Applications

Unspecified application

Species

Unspecified reactive species

Petra Molnár,Máté Ágoston Demény,Beáta Várkonyi,Zsuzsanna Polgár,Ágnes Pór,Ilona Kovács,Andrea Szegedi,Attila Gábor Szöllősi,Magdolna Szántó

Scientific reports 14:9495 PubMed38664570

2024

Characterization of TGFβ1-induced tendon-like structure in the scaffold-free three-dimensional tendon cell culture system.

Applications

Unspecified application

Species

Unspecified reactive species

Bon-Hyeock Koo,Yeon-Ju Lee,Na Rae Park,Su Chin Heo,David M Hudson,Aysel A Fernandes,Chet S Friday,Michael W Hast,David T Corr,Douglas R Keene,Sara F Tufa,Nathaniel A Dyment,Kyu Sang Joeng

Journal of anatomy 245:879-893 PubMed38562033

2024

Cyclic loading failed to promote growth in a pig model of midfacial hypoplasia.

Applications

Unspecified application

Species

Unspecified reactive species

Susan W Herring,Katherine L Rafferty,David U Shin,Kelsey Smith,Michael C Baldwin

EMBO reports 25:1650-1684 PubMed38424230

2024

mTert induction in p21-positive cells counteracts capillary rarefaction and pulmonary emphysema.

Applications

Unspecified application

Species

Unspecified reactive species

Larissa Lipskaia,Marielle Breau,Christelle Cayrou,Dmitri Churikov,Laura Braud,Juliette Jacquet,Emmanuelle Born,Charles Fouillade,Sandra Curras-Alonso,Serge Bauwens,Frederic Jourquin,Frederic Fiore,Rémy Castellano,Emmanuelle Josselin,Carlota Sánchez-Ferrer,Giovanna Giovinazzo,Christophe Lachaud,Eric Gilson,Ignacio Flores,Arturo Londono-Vallejo,Serge Adnot,Vincent Géli

eLife 11: PubMed36040316

2022

The scaffolding protein flot2 promotes cytoneme-based transport of wnt3 in gastric cancer.

Applications

Unspecified application

Species

Unspecified reactive species

Daniel Routledge,Sally Rogers,Yosuke Ono,Lucy Brunt,Valerie Meniel,Giusy Tornillo,Hassan Ashktorab,Toby J Phesse,Steffen Scholpp

The Journal of pathology 257:146-157 PubMed35072951

2022

Adiponectin deficiency promotes endometrial carcinoma pathogenesis and development via activation of mitogen-activated protein kinase.

Applications

Unspecified application

Species

Unspecified reactive species

Yunjing Yan,Hui Shi,Zhenggang Zhao,Shuai Wang,Sujin Zhou,Yunping Mu,Ning Ding,Yimei Lai,Allan Z Zhao,Lixian Cheng,Fanghong Li

Cell transplantation 30:9636897211040012 PubMed34525872

2021

Preferable Transplant Site for Hepatocyte Transplantation in a Rat Model.

Applications

Unspecified application

Species

Unspecified reactive species

Hiroyuki Ogasawara,Akiko Inagaki,Ibrahim Fathi,Takehiro Imura,Hiroki Yamana,Yoshikatsu Saitoh,Muneyuki Matsumura,Kengo Fukuoka,Shigehito Miyagi,Yasuhiro Nakamura,Kazuo Ohashi,Michiaki Unno,Takashi Kamei,Masafumi Goto

Frontiers in cell and developmental biology 9:710664 PubMed34490260

2021

G-Protein-Coupled Estrogen Receptor-1 Positively Regulates the Growth Plate Chondrocyte Proliferation in Female Pubertal Mice.

Applications

Unspecified application

Species

Unspecified reactive species

Ya-Shuan Chou,Shu-Chun Chuang,Chung-Hwan Chen,Mei-Ling Ho,Je-Ken Chang

Scientific reports 11:10868 PubMed34035379

2021

Reticulocalbin 3 is involved in postnatal tendon development by regulating collagen fibrillogenesis and cellular maturation.

Applications

Unspecified application

Species

Unspecified reactive species

Na Rae Park,Snehal S Shetye,Igor Bogush,Douglas R Keene,Sara Tufa,David M Hudson,Marilyn Archer,Ling Qin,Louis J Soslowsky,Nathaniel A Dyment,Kyu Sang Joeng

Journal of neuroinflammation 18:86 PubMed33812385

2021

Deletion of B-cell translocation gene 2 (BTG2) alters the responses of glial cells in white matter to chronic cerebral hypoperfusion.

Applications

Unspecified application

Species

Unspecified reactive species

Kaoru Suzuki,Mitsuru Shinohara,Yoshihiro Uno,Yoshitaka Tashiro,Ghupurjan Gheni,Miho Yamamoto,Akio Fukumori,Akihiko Shindo,Tomoji Mashimo,Hidekazu Tomimoto,Naoyuki Sato
View all publications
websiteProtocolBooklet
en

Product promise

We are committed to supporting your work with high-quality reagents, and we're here for you every step of the way. In the unlikely event that one of our products does not perform as expected, you're protected by our Product Promise.
For full details, please see our Terms & Conditions

Please note: All products are 'FOR RESEARCH USE ONLY. NOT FOR USE IN DIAGNOSTIC OR THERAPEUTIC PROCEDURES'.

For licensing inquiries, please contact partnerships@abcam.com