JavaScript is disabled in your browser. Please enable JavaScript to view this website.
AB138891

Cell Tracking Dye Kit - Green - Cytopainter

Be the first to review this product! Submit a review

|

(8 Publications)

Cell Tracking Dye Kit - Green | Cytopainter (ab138891) is designed to uniformly label live cells for studies where multicolor analysis might be required, such as cell drug resistance, cell adhesion or chemotaxis.
1 Images
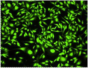
Fluorescence Microscopy - Cell Tracking Dye Kit - Green - Cytopainter (AB138891)
  • Fluorescence Microscopy

Supplier Data

Fluorescence Microscopy - Cell Tracking Dye Kit - Green - Cytopainter (AB138891)

Fluorescence Microscopy. Image of U2OS cells stained with CytoPainter Cell Tracking Staining Kit - Green Fluorescence in a black 96-well plate.

Key facts

Detection method

Fluorescent

Sample types

Suspension cells, Adherent cells

Assay type

Cell-based

Assay Platform

Microplate reader, Fluor. microscope, Flow cyt.

Product details

Cell Tracking Dye Kit - Green | Cytopainter (ab138891) is designed to uniformly label live cells for studies where multicolor analysis might be required, such as cell drug resistance, cell adhesion or chemotaxis. Dye can be visualized with a green filter (Ex/Em = 490/520 nm).

The labelling process is robust, requiring minimal hands-on time. This product can be used in different types of fluorescence platforms such as microplate assays, flow cytometry and fluorescence microscope.The kit provides all the essential components with an optimized cell-labelling protocol, and can be used for both proliferating and non-proliferating cells (either suspension or adherent cells).

Uniform labeling of live cells with a hydrophobic dye whose fluorescence is strongly enhanced upon entering the cell. Cellular esterases convert the substrate into a strong fluorescent photostable hydrophilic dye that is well retained in the cytoplasm. Cells need to be viewed in less than 24 - 48 hours as dye will be passed to daughter cells and not to adjacent cells in a population.

If you would like to track cells during several generations, we recommend CytoPainter Cell Proliferation Staining Reagent - Green Fluorescence (ab176735).

What's included?

{ "values": { "200Test": { "sellingSize": "200 Test", "publicAssetCode":"ab138891-200Test", "assetComponentDetails": [ { "size":"1 x 20 mL", "name":"Assay Buffer", "number":"AB138891-CMP01", "productcode":"" }, { "size":"1 x 1 Vial", "name":"Tracking dye Green", "number":"AB138891-CMP03", "productcode":"" }, { "size":"1 x 100 µL", "name":"DMSO", "number":"AB138891-CMP02", "productcode":"" } ] } } }

Properties and storage information

Shipped at conditions
Blue Ice
Appropriate short-term storage conditions
-20°C
Appropriate long-term storage conditions
-20°C
Storage information
-20°C

Product protocols

Target data

Publications (8)

Recent publications for all applications. Explore the full list and refine your search

Medical microbiology and immunology 212:103-122 PubMed36583790

2022

Intrinsic D614G and P681R/H mutations in SARS-CoV-2 VoCs Alpha, Delta, Omicron and viruses with D614G plus key signature mutations in spike protein alters fusogenicity and infectivity.

Applications

Unspecified application

Species

Unspecified reactive species

Ritika Khatri,Gazala Siddqui,Srikanth Sadhu,Vikas Maithil,Preeti Vishwakarma,Bharat Lohiya,Abhishek Goswami,Shubbir Ahmed,Amit Awasthi,Sweety Samal

Materials (Basel, Switzerland) 15: PubMed36079225

2022

Reduced Graphene Oxide Modulates the FAK-Dependent Signaling Pathway in Glioblastoma Multiforme Cells In Vitro.

Applications

Unspecified application

Species

Unspecified reactive species

Jaroslaw Szczepaniak,Malwina Sosnowska,Mateusz Wierzbicki,Olga Witkowska-Pilaszewicz,Barbara Strojny-Cieslak,Joanna Jagiello,Wiktoria Fraczek,Marcin Kusmierz,Marta Grodzik

International journal of molecular sciences 23: PubMed35887002

2022

Endothelium-Dependent Induction of Vasculogenic Mimicry in Human Triple-Negative Breast Cancer Cells Is Inhibited by Calcitriol and Curcumin.

Applications

Unspecified application

Species

Unspecified reactive species

Gabriela Morales-Guadarrama,Edgar A Méndez-Pérez,Janice García-Quiroz,Euclides Avila,Rocío García-Becerra,Alejandro Zentella-Dehesa,Fernando Larrea,Lorenza Díaz

Frontiers in cell and developmental biology 10:800181 PubMed35127683

2022

C-Peptide Promotes Cell Migration by Controlling Matrix Metallopeptidase-9 Activity Through Direct Regulation of β-Catenin in Human Endometrial Stromal Cells.

Applications

Unspecified application

Species

Unspecified reactive species

Sana Abdul Khaliq,Zobia Umair,Mi-Ock Baek,Seung Joo Chon,Mee-Sup Yoon

International journal of nanomedicine 12:7241-7254 PubMed29042773

2017

Diamond, graphite, and graphene oxide nanoparticles decrease migration and invasiveness in glioblastoma cell lines by impairing extracellular adhesion.

Applications

Unspecified application

Species

Unspecified reactive species

Mateusz Wierzbicki,Sławomir Jaworski,Marta Kutwin,Marta Grodzik,Barbara Strojny,Natalia Kurantowicz,Krzysztof Zdunek,Rafał Chodun,André Chwalibog,Ewa Sawosz

Organogenesis 13:16-27 PubMed28029279

2016

Recellularization via the bile duct supports functional allogenic and xenogenic cell growth on a decellularized rat liver scaffold.

Applications

Unspecified application

Species

Unspecified reactive species

Wessam Hassanein,Mehmet C Uluer,John Langford,Jhade D Woodall,Arielle Cimeno,Urmil Dhru,Avraham Werdesheim,Joshua Harrison,Carlos Rivera-Pratt,Stephen Klepfer,Ali Khalifeh,Bryan Buckingham,Philip S Brazio,Dawn Parsell,Charlie Klassen,Cinthia Drachenberg,Rolf N Barth,John C LaMattina

Advanced healthcare materials 5:1884-92 PubMed27191679

2016

Anisotropically Stiff 3D Micropillar Niche Induces Extraordinary Cell Alignment and Elongation.

Applications

Unspecified application

Species

Unspecified reactive species

Yunus Alapan,Mousa Younesi,Ozan Akkus,Umut A Gurkan

Scientific reports 5:17705 PubMed26635098

2015

Endothelial Rictor is crucial for midgestational development and sustained and extensive FGF2-induced neovascularization in the adult.

Applications

Unspecified application

Species

Mouse

Fabio Aimi,Stavroula Georgiopoulou,Ina Kalus,Fabienne Lehner,Alica Hegglin,Përparim Limani,Vinicius Gomes de Lima,Markus A Rüegg,Michael N Hall,Nicole Lindenblatt,Elvira Haas,Edouard J Battegay,Rok Humar
View all publications
websiteProtocolBooklet
en

Product promise

We are committed to supporting your work with high-quality reagents, and we're here for you every step of the way. In the unlikely event that one of our products does not perform as expected, you're protected by our Product Promise.
For full details, please see our Terms & Conditions

Please note: All products are 'FOR RESEARCH USE ONLY. NOT FOR USE IN DIAGNOSTIC OR THERAPEUTIC PROCEDURES'.

For licensing inquiries, please contact partnerships@abcam.com