JavaScript is disabled in your browser. Please enable JavaScript to view this website.
AB109711

Complex I Immunocapture Kit

5

(1 Review)

|

(27 Publications)

Optimized for isolation of Complex I from small amounts of tissue for activity assays and other analyses.
1 Images
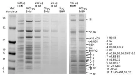
Immunoprecipitation - Complex I Immunocapture Kit (AB109711)
  • IP

Supplier Data

Immunoprecipitation - Complex I Immunocapture Kit (AB109711)

Complex I was immunopurified from mitochondria isolated from human heart (HHM), cow/bovine heart (BHM), mouse heart (MHM) and mouse brain (MBM). The lanes were stained with Coomassie Brilliant Blue R. Bands were excised from the gel and proteolytically digested for mass spectrometry analysis."

false

Key facts

Reacts with

Mouse, Rat, Cow, Human

Assay type

Quantitative

Product details

Optimized for isolation of Complex I from small amounts of tissue for activity assays and other analyses. Based on a highly specific antibody.

250 μg of monoclonal antibody irreversibly crosslinked to protein G-agarose beads which can immunocapture ~60 μg of Complex I from heart mitochondria.

ab109711 allows for isolation of Complex I from small amounts of tissue. This facilitates subsequent analysis of assembly state and activity. Thus the enzyme retains NADH-ferricyanide, NADH-CoQ1 and NADH hexaaminoruthenium reductase activities after isolation, and with added lipids it also shows significant rotenone sensitivity. Finally, the extent of post translational modifications including oxidative damage can be readily analyzed by proteomic approaches or antibody detection of these modifications. Uses for ab109711 include but are not limited to examining alterations of Complex I subunits in inherited mitochondrial diseases, Parkinson's disease, Alzheimer's disease, ALS, schizophrenia, and aging.

Note: The immunocapture protocol for this kit requires Abcam detergent (lauryl maltoside, ab109857).

Product supplied as a 6.25% slurry. This consists of 250 μg antibody conjugated to 25 μL beads in a volume of 250 μL.

Related products

Review the mitochondrial assay guide, or the full metabolism assay guide to learn about more assays for metabolites, metabolic enzymes, mitochondrial function, and oxidative stress, and also how to assay metabolic function in live cells using your plate reader.

What's included?

{ "values": { "250g": { "sellingSize": "250 µg", "publicAssetCode":"ab109711-250ug", "assetComponentDetails": [ { "size":"1 x 250 µg", "name":"Complex 1 monoclonal antibody coupled agarose beads", "number":"AB109711-CMP01", "productcode":"" } ] } } }

Properties and storage information

Shipped at conditions
Blue Ice
Appropriate short-term storage conditions
+4°C
Appropriate long-term storage conditions
+4°C
Storage information
+4°C

Supplementary information

This supplementary information is collated from multiple sources and compiled automatically.

Complex I also known as NADH dehydrogenase or NADH:ubiquinone oxidoreductase is a large enzyme complex with a molecular mass of approximately 1000 kDa. It is expressed in the inner mitochondrial membrane of eukaryotic cells. As the first enzyme in the mitochondrial respiratory chain Complex I plays a critical mechanical role in cellular respiration. It transfers electrons from NADH to ubiquinone coupled with the translocation of protons across the inner mitochondrial membrane contributing to the generation of a proton gradient used to produce ATP.
Biological function summary

Complex I acts as an integral component of the mitochondrial respiratory chain which is a series of protein complexes involved in cellular energy production. As part of this complex system Complex I is essential for effective oxidative phosphorylation. Its activity is assessed using protein activity assays including immunocapture or complex activity assays and microplate assays. Complex I activity influences the overall efficiency of ATP production affecting energy-dependent cellular processes.

Pathways

Complex I functions within the electron transport chain one of the major pathways in cellular respiration. This pathway is vital for ATP synthesis providing the energy currency required by cells. Complex I works closely with other electron transport chain complexes such as Complex II (succinate dehydrogenase complex) and Complex III (cytochrome c reductase) to drive oxidation-reduction reactions and maintain cellular metabolism.

Defects in Complex I are linked with mitochondrial diseases and neurodegenerative disorders such as Leigh syndrome and Parkinson's disease. Mutations in Complex I subunits disrupt normal electron transport and ATP production leading to increased oxidative stress and neuronal cell damage. Other mitochondrial proteins such as cytochrome c oxidase are also implicated in these conditions emphasizing the interconnected nature of mitochondrial dysfunction in disease progression.

Product protocols

Target data

Publications (27)

Recent publications for all applications. Explore the full list and refine your search

Proceedings of the National Academy of Sciences of the United States of America 121:e2401996121 PubMed40591563

2025

UPF1 deficiency enhances mitochondrial ROS which promotes an immunosuppressive microenvironment in pancreatic ductal adenocarcinoma.

Applications

Unspecified application

Species

Unspecified reactive species

Wenjuan Su,Juan Kochen Rossi,Cristina Nuevo-Tapioles,Ting Chen,Emily Kawaler,Cristina Branco,Kwok-Kin Wong,Diane M Simeone,Lawrence B Gardner,Mark R Philips

Journal of neurochemistry 167:218-247 PubMed37694499

2023

Neuroanatomical zones of human traumatic brain injury reveal significant differences in protein profile and protein oxidation: Implications for secondary injury events.

Applications

Unspecified application

Species

Unspecified reactive species

Niya Gowthami,Nithya Pursotham,Gourav Dey,Vivek Ghose,Gajanan Sathe,Nupur Pruthi,Dhaval Shukla,Narayanappa Gayathri,Rashmi Santhoshkumar,Balasundaram Padmanabhan,Vivek Chandramohan,Anita Mahadevan,M M Srinivas Bharath

Communications biology 5:620 PubMed35739187

2022

Most mitochondrial dGTP is tightly bound to respiratory complex I through the NDUFA10 subunit.

Applications

Unspecified application

Species

Unspecified reactive species

David Molina-Granada,Emiliano González-Vioque,Marris G Dibley,Raquel Cabrera-Pérez,Antoni Vallbona-Garcia,Javier Torres-Torronteras,Leonid A Sazanov,Michael T Ryan,Yolanda Cámara,Ramon Martí

Developmental cell 57:260-276.e9 PubMed35077680

2022

Regulation of reverse electron transfer at mitochondrial complex I by unconventional Notch action in cancer stem cells.

Applications

Unspecified application

Species

Unspecified reactive species

Rani Ojha,Ishaq Tantray,Suman Rimal,Siddhartha Mitra,Sam Cheshier,Bingwei Lu

Scientific reports 11:19408 PubMed34593886

2021

DJ-1 attenuates the glycation of mitochondrial complex I and complex III in the post-ischemic heart.

Applications

Unspecified application

Species

Unspecified reactive species

Yvanna Pantner,Rohini Polavarapu,Lih-Shen Chin,Lian Li,Yuuki Shimizu,John W Calvert

Cell reports 35:109002 PubMed33882309

2021

NDUFS3 depletion permits complex I maturation and reveals TMEM126A/OPA7 as an assembly factor binding the ND4-module intermediate.

Applications

Unspecified application

Species

Unspecified reactive species

Luigi D'Angelo,Elisa Astro,Monica De Luise,Ivana Kurelac,Nikkitha Umesh-Ganesh,Shujing Ding,Ian M Fearnley,Giuseppe Gasparre,Massimo Zeviani,Anna Maria Porcelli,Erika Fernandez-Vizarra,Luisa Iommarini

Journal of medicinal chemistry 63:11819-11830 PubMed32945676

2020

Characterization and Discovery of a Selective Small-Molecule Modulator of Mitochondrial Complex I Targeting a Unique Binding Site.

Applications

Unspecified application

Species

Unspecified reactive species

Jakob C Green,Yuqi Jiang,Liu He,Yiming Xu,Dong Sun,Timothy Keoprasert,Christopher Nelson,Unsong Oh,Edward J Lesnefsky,Glen E Kellogg,Qun Chen,Shijun Zhang

Redox biology 37:101705 PubMed33007503

2020

Insight into the mechanism of cytotoxicity of membrane-permeant psoralenic Kv1.3 channel inhibitors by chemical dissection of a novel member of the family.

Applications

Unspecified application

Species

Unspecified reactive species

Roberta Peruzzo,Andrea Mattarei,Michele Azzolini,Katrin Anne Becker-Flegler,Matteo Romio,Giovanni Rigoni,Andrea Carrer,Lucia Biasutto,Sofia Parrasia,Stephanie Kadow,Antonella Managò,Andrea Urbani,Andrea Rossa,Gianpietro Semenzato,Maria Eugenia Soriano,Livio Trentin,Syed Ahmad,Michael Edwards,Erich Gulbins,Cristina Paradisi,Mario Zoratti,Luigi Leanza,Ildikò Szabò

Mitochondrion 49:73-82 PubMed31310854

2019

Complex I and II are required for normal mitochondrial Ca homeostasis.

Applications

Unspecified application

Species

Unspecified reactive species

Fabian Jaña,Galdo Bustos,José Rivas,Pablo Cruz,Felix Urra,Carla Basualto-Alarcón,Eduardo Sagredo,Melany Ríos,Alenka Lovy,Zhiwei Dong,Oscar Cerda,Muniswamy Madesh,César Cárdenas

Cell chemical biology 25:413-425.e6 PubMed29398562

2018

Switch of Mitochondrial Superoxide Dismutase into a Prooxidant Peroxidase in Manganese-Deficient Cells and Mice.

Applications

Unspecified application

Species

Unspecified reactive species

Douglas Ganini,Janine H Santos,Marcelo G Bonini,Ronald P Mason
View all publications
websiteProtocolBooklet
en

Product promise

We are committed to supporting your work with high-quality reagents, and we're here for you every step of the way. In the unlikely event that one of our products does not perform as expected, you're protected by our Product Promise.
For full details, please see our Terms & Conditions

Please note: All products are 'FOR RESEARCH USE ONLY. NOT FOR USE IN DIAGNOSTIC OR THERAPEUTIC PROCEDURES'.

For licensing inquiries, please contact partnerships@abcam.com