JavaScript is disabled in your browser. Please enable JavaScript to view this website.
AB112126

F-actin Staining Kit - Orange Fluorescence - Cytopainter

Be the first to review this product! Submit a review

|

(1 Publication)

F-actin Staining Kit - Orange Fluorescence | Cytopainter (ab112126) fluorescence imaging kits are a set of fluorescence imaging tools for labeling sub-cellular organelles such as lysosomes, mitochondria, and actin filaments.

View Alternative Names

Beta-actin, ACTB

1 Images
Functional Studies - F-actin Staining Kit - Orange Fluorescence - Cytopainter (AB112126)
  • FuncS

Supplier Data

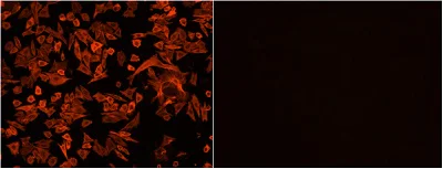
Functional Studies - F-actin Staining Kit - Orange Fluorescence - Cytopainter (AB112126)

ab112126, staining CPA cells fixed with formaldehyde in a black 96-well plate.
Left panel : The cells were labeled with Orange Fluorescent Phalloidin Conjugate for 30 minutes only.
Right panel : The cells were treated with phalloidin for 10 minutes, then stained with Orange Fluorescent Phalloidin Conjugate for 30 minutes.

Key facts

Sample types

Tissue, Suspension cells, Adherent cells

Assay type

Cell-based

Assay Platform

Fluorescence microscope

Product details

F-actin Staining Kit - Orange Fluorescence | Cytopainter (ab112126) fluorescence imaging kits are a set of fluorescence imaging tools for labeling sub-cellular organelles such as lysosomes, mitochondria, and actin filaments. The selective staining of cell compartments provides a powerful method for studying cellular events in a spatial and temporal context.

ab112126 is designed to stain F-actins in fixed cells with orange fluorescence. ab112126 uses an orange fluorescent phalloidin conjugate that is selectively bound to F-actins. The orange fluorescent phalloidin conjugate has Ex/Em = 550/575 nm. The conjugate also has good photostability for fluorescence imaging. It is a high-affinity probe for labeling, identifying and quantitating F-actins in formaldehyde-fixed and permeabilized tissue sections, cell cultures or cell-free experiments. ab112126 provides all the essential components with an optimized labeling protocol.

ab112126 should be stored dessicated.

What's included?

{ "values": { "500Test": { "sellingSize": "500 Test", "publicAssetCode":"ab112126-500Test", "assetComponentDetails": [ { "size":"1 x 50 mL", "name":"Labeling Buffer", "number":"AB112126-CMP01", "productcode":"" }, { "size":"1 x 50 µL", "name":"Orange Fluorescent Phalloidin Conjugate", "number":"AB112126-CMP02", "productcode":"" } ] } } }

Properties and storage information

Shipped at conditions
Blue Ice
Appropriate short-term storage conditions
-20°C
Appropriate long-term storage conditions
-20°C
Storage information
-20°C

Supplementary information

This supplementary information is collated from multiple sources and compiled automatically.

F-actin also known as filamentous actin is an essential structural protein found within the cytoskeleton of eukaryotic cells. Its alternate names include actin filaments or microfilaments. The protein consists of polymerized monomers of G-actin each with a molecular weight of roughly 42 kDa. F-actin is expressed abundantly in muscle cells and non-muscle cells alike providing structural support and facilitating cellular movements. Actin staining is a common method used in labs to visualize these dynamic structures often employing phalloidin staining a toxin that stabilizes actin filaments conjugated with fluorescent labels such as Phalloidin 594 Phalloidin 647 or Phalloidin 488 for imaging purposes.
Biological function summary

The actin cytoskeleton plays integral roles in maintaining cell shape providing mechanical resistance against deformation and driving important cellular processes such as endocytosis cell division and motility. F-actin forms part of numerous protein complexes interacting with other proteins like myosin to facilitate muscle contraction and cellular transport. Within cells F-actin is dynamic readily polymerizing and depolymerizing in response to cellular signaling making it essential for cytoskeletal remodeling and cellular adaptability.

Pathways

F-actin is central to various signaling cascades underlying processes like cell signaling and intracellular transport. Notably it participates in the Rho family GTPase pathway affecting cell cytoskeleton organization and motility. It also interacts with proteins like cofilin and profilin which regulate actin polymerization and treadmilling dynamics respectively. These interactions highlight F-actin's involvement in complex cellular pathway regulation processes essential for maintaining cellular homeostasis and adaptability.

Abnormal regulation or mutations in actin-related proteins can lead to conditions such as cancer and cardiomyopathies. For example during metastasis cancer cells exploit the dynamic nature of F-actin for enhanced migratory capacity. In cardiac muscle cells actin interacts with other proteins like tropomyosin and mutations in these genes can disrupt normal heart function leading to cardiomyopathies. As such F-actin not only represents a critical component of the cellular structure but also serves as a pivotal target for understanding disease mechanisms and potential therapeutic intervention points.

Product protocols

Target data

Actin is a highly conserved protein that polymerizes to produce filaments that form cross-linked networks in the cytoplasm of cells (PubMed : 25255767, PubMed : 29581253). Actin exists in both monomeric (G-actin) and polymeric (F-actin) forms, both forms playing key functions, such as cell motility and contraction (PubMed : 29581253). In addition to their role in the cytoplasmic cytoskeleton, G- and F-actin also localize in the nucleus, and regulate gene transcription and motility and repair of damaged DNA (PubMed : 29925947). Part of the ACTR1A/ACTB filament around which the dynactin complex is built. The dynactin multiprotein complex activates the molecular motor dynein for ultra-processive transport along microtubules (By similarity).
See full target information ACTB

Publications (1)

Recent publications for all applications. Explore the full list and refine your search

Nature communications 9:4559 PubMed30455465

2018

H3K9 methyltransferases and demethylases control lung tumor-propagating cells and lung cancer progression.

Applications

Unspecified application

Species

Unspecified reactive species

S P Rowbotham,F Li,A F M Dost,S M Louie,B P Marsh,P Pessina,C R Anbarasu,C F Brainson,S J Tuminello,A Lieberman,S Ryeom,T M Schlaeger,B J Aronow,H Watanabe,K K Wong,C F Kim
View all publications
websiteProtocolBooklet
en

Product promise

We are committed to supporting your work with high-quality reagents, and we're here for you every step of the way. In the unlikely event that one of our products does not perform as expected, you're protected by our Product Promise.
For full details, please see our Terms & Conditions

Please note: All products are 'FOR RESEARCH USE ONLY. NOT FOR USE IN DIAGNOSTIC OR THERAPEUTIC PROCEDURES'.

For licensing inquiries, please contact partnerships@abcam.com