JavaScript is disabled in your browser. Please enable JavaScript to view this website.
AB245878

Feulgen Stain Kit

Be the first to review this product! Submit a review

|

(0 Publication)

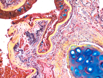
Feulgen Stain Kit ab245878 is a histochemical reagent kit for quantifying the nuclear DNA content in cells.

Key facts

Sample types

Tissue sections

Product details

Feulgen Stain Kit ab245878 is a histochemical reagent kit for quantifying the nuclear DNA content in cells. The kit can be used on a variety of specimen types from cytocentrifuge preparations to formalin fixed paraffin embedded tissue sections. A unique formulation eliminates dye precipitation and results in a cleaner stain than conventional Feulgen reagent-based kits. This stain kit is optimized for DNA Ploidy specimens that will be stained then scanned and viewed on image analysis systems. This kit is designed for cytological specimens prepared from cytospins, smears, cell imprints, disaggregated tissue, or whole tissue.The amount of stain color developed is directly proportional to the amount of DNA present in the stained cells.**Staining Interpretation:**Nuclei: Blue.Nucleoli: Light spaces within the nuclei with dark edges.Cytoplasm: Transparent with no staining.**Note:** Strongly acidic mucous may occasionally stain blue/green.**Control Tissue:**Cytological specimens prepared from whole tissue, disaggregated tissue, cell imprints, smears, or cytospins.Avoid Bouin’s stain as it hydrolyses DNA.**Other products for staining tissue sections**Find more kits and reagents in the , or products for antigen retrieval, blocking, signal amplification, visualization, counterstaining, and mounting in the .

What's included?

{ "values": { "1Kit": { "sellingSize": "1 Kit", "publicAssetCode":"ab245878-1Kit", "assetComponentDetails": [ { "size":"10 x 1 Vial", "name":"Blue Feulgen Rinse Reagent", "number":"AB245878-CMP02", "productcode":"" }, { "size":"10 x 1 Vial", "name":"Blue Feulgen Decolorizer", "number":"AB245878-CMP01", "productcode":"" }, { "size":"2 x 500 mL", "name":"Blue Fuelgen Stain", "number":"AB245878-CMP03", "productcode":"" } ] } } }

Properties and storage information

Shipped at conditions
Blue Ice
Appropriate short-term storage conditions
+4°C
Appropriate long-term storage conditions
Multi
Storage information
Please refer to protocols

Supplementary information

This supplementary information is collated from multiple sources and compiled automatically.

DNA quantification serves a pivotal role in various biological research and clinical applications. Mechanically it involves measuring the amount of DNA in a given sample. This process can be executed through several techniques including spectrophotometry fluorescence using DNA-binding dyes or advanced methods like qPCR and next-generation sequencing. One traditional method is Feulgen staining which specifically stains DNA based on the reaction with aldehyde groups released by DNA upon hydrolysis. Feulgen stain can be used with digital image analysis for DNA quantification in tissue samples. DNA quantification is applicable in any sample that contains DNA including cells blood plant tissues and more.
Biological function summary

Determining the quantity of DNA in a sample enables the understanding of genomic content for various studies. Accurate DNA quantification is essential for molecular biology procedures including cloning sequencing and amplification. While not a biological complex by itself it is an integral part of genomic studies and analysis assisting in the understanding of cellular and genetic conditions. DNA quantification kits often facilitate this process through standardized protocols that improve precision and repeatability important for experiments requiring exact input DNA quantities.

Pathways

DNA quantification underpins the success of multiple genetic and biochemical pathways. In the context of the cell cycle accurate measurement of DNA content helps in assessing cell proliferation and apoptosis therefore offering insights into pathways like the DNA replication pathway and cell cycle checkpoints. DNA assays facilitate the study of DNA repair mechanisms which involve proteins like ATM and ATR important for maintaining genomic integrity. These pathways rely on precise DNA quantification to evaluate the impact of treatments or mutations.

DNA quantification is of immense importance for diagnosing genetic disorders and evaluating cancer. Changes in DNA content such as large-scale amplifications or deletions may indicate cancer progression or metastasis. For instance cfDNA kits allow the detection of circulating free DNA in blood an emerging biomarker for cancer diagnosis. DNA detection kits provide critical data for understanding the genetic underpinnings of disease relating to genes like BRCA1 and TP53 heavily associated with breast cancer and other malignancies. Quantifying DNA accurately assists researchers and clinicians in better understanding these diseases offering pathways for improved therapeutic strategies.

Product protocols

Target data

websiteProtocolBooklet
en

Product promise

We are committed to supporting your work with high-quality reagents, and we're here for you every step of the way. In the unlikely event that one of our products does not perform as expected, you're protected by our Product Promise.
For full details, please see our Terms & Conditions

Please note: All products are 'FOR RESEARCH USE ONLY. NOT FOR USE IN DIAGNOSTIC OR THERAPEUTIC PROCEDURES'.

For licensing inquiries, please contact partnerships@abcam.com