JavaScript is disabled in your browser. Please enable JavaScript to view this website.
AB112138

Lysosomal Staining Kit - Green Fluorescence (Ex405nm) - Cytopainter

Be the first to review this product! Submit a review

|

(0 Publication)

Abcam's fluorescence imaging kits are a set of fluorescence imaging tools for labeling sub-cellular organelles such as lysosomes, mitochondria, and actin filaments.
1 Images
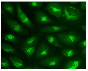
Immunocytochemistry/ Immunofluorescence - Lysosomal Staining Kit - Green Fluorescence (Ex405nm) - Cytopainter (AB112138)
  • ICC/IF

Supplier Data

Immunocytochemistry/ Immunofluorescence - Lysosomal Staining Kit - Green Fluorescence (Ex405nm) - Cytopainter (AB112138)

Image of U2OS cells stained with ab112138, 405 nm Excitation in a black 96-well plate

Key facts

Sample types

Suspension cells, Adherent cells

Assay type

Cell-based

Assay Platform

Fluorescence microscope

Product details

Abcam's fluorescence imaging kits are a set of fluorescence imaging tools for labeling sub-cellular organelles such as lysosomes, mitochondria, and actin filaments. The selective staining of cell compartments provides a powerful method for studying cellular events in a spatial and temporal context.

ab112138 is designed to label lysosomes in live cells with green fluorescence of large Stokes Shift at Ex/Em = 405/480nm. ab112138 uses a proprietary lysotropic dye that selectively accumulates in lysosomes probably via the lysosome pH gradient. The lysotropic indicator, a hydrophobic compound, easily permeates intact live cells and gets trapped inside the lysosomes. Its fluorescence is significantly enhanced upon entering lysosomes. This key feature significantly reduces its staining background and makes it useful for a variety of studies, including cell adhesion, chemotaxis, multidrug resistance, cell viability, apoptosis and cytotoxicity. The kit provides all the essential components. It is suitable for both suspension and adherent cells.

Review other dyes and kits for lysosomal staining, or the live cell staining fluorescent dyes guide.

ab112138 should be stored desiccated.

What's included?

{ "values": { "500Test": { "sellingSize": "500 Test", "publicAssetCode":"ab112138-500Test", "assetComponentDetails": [ { "size":"1 x 50 mL", "name":"Live Cell Staining Buffer", "number":"AB112138-CMP01", "productcode":"" }, { "size":"1 x 100 µL", "name":"LysoGreen StrK Indicator", "number":"AB112138-CMP02", "productcode":"" } ] } } }

Properties and storage information

Shipped at conditions
Blue Ice
Appropriate short-term storage conditions
-20°C
Appropriate long-term storage conditions
-20°C
Storage information
-20°C

Product protocols

Target data

websiteProtocolBooklet
en

Product promise

We are committed to supporting your work with high-quality reagents, and we're here for you every step of the way. In the unlikely event that one of our products does not perform as expected, you're protected by our Product Promise.
For full details, please see our Terms & Conditions

Please note: All products are 'FOR RESEARCH USE ONLY. NOT FOR USE IN DIAGNOSTIC OR THERAPEUTIC PROCEDURES'.

For licensing inquiries, please contact partnerships@abcam.com