JavaScript is disabled in your browser. Please enable JavaScript to view this website.
AB112143

Mitochondrial Staining Kit - Green Fluorescence - Cytopainter

Be the first to review this product! Submit a review

|

(5 Publications)

Mitochondrial Staining Kit - Green Fluorescence | Cytopainter (ab112143) is designed to label mitochondria in live cells with green fluorescence at Ex/Em = 490/520 nm.
2 Images
Immunocytochemistry/ Immunofluorescence - Mitochondrial Staining Kit - Green Fluorescence - Cytopainter (AB112143)
  • ICC/IF

Supplier Data

Immunocytochemistry/ Immunofluorescence - Mitochondrial Staining Kit - Green Fluorescence - Cytopainter (AB112143)

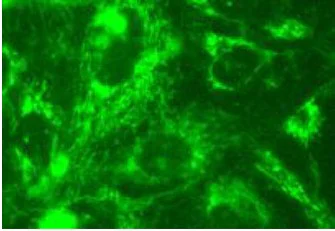
CytoPainter Mitochondrial Staining Kit - Green Fluorescence (ab112143). HeLa cells were incubated for 60 minutes at 37C with ab112143. The staining solution was replaced with 4%PFA for 10 minutes before a final wash in PBS prior to mounting slides. Images obtained with an Olympus BX61 microscope using a FITC filter (495/519 nm) - 1750ms exposure.

Immunocytochemistry/ Immunofluorescence - Mitochondrial Staining Kit - Green Fluorescence - Cytopainter (AB112143)
  • ICC/IF

Supplier Data

Immunocytochemistry/ Immunofluorescence - Mitochondrial Staining Kit - Green Fluorescence - Cytopainter (AB112143)

CytoPainter Mitochondrial Staining Kit - Green Fluorescence (ab112143). Image of U2OS cells stained with ab112143 CytoPainter Mitochondrial Staining Kit - Green Fluorescence in a black 96-well plate.

Key facts

Sample types

Suspension cells, Adherent cells

Assay type

Cell-based

Assay Platform

Fluorescence microscope

Product details

Mitochondrial Staining Kit - Green Fluorescence | Cytopainter (ab112143) is designed to label mitochondria in live cells with green fluorescence at Ex/Em = 490/520 nm. The kit uses a proprietary dye that selectively accumulates in mitochondria probably via the mitochondrial membrane potential gradient. The mitochondrial indicator, a hydrophobic compound, easily permeates intact live cells and becomes trapped in mitochondria after it gets into cells. The mitochondrial indicator is retained in mitochondria for a long time since it carries a cell-retaining group. This key feature significantly increases the staining efficiency.

Abcam's fluorescence imaging kits are a set of fluorescence imaging tools for labeling sub-cellular organelles such as lysosomes, mitochondria, and actin filaments. The selective staining of cell compartments provides a powerful method for studying cellular events in a spatial and temporal context.

The dye will stain live cells but is not well-retained after fixation.

Review other dyes and kits for mitochondrial staining, or the live cell staining fluorescent dyes guide.

Mitochondria are membrane-enclosed organelles found in most eukaryotic cells. Mitochondria are sometimes described as "cellular power plants" because they generate most of the cellular supply of ATP. In addition to supplying cellular energy, mitochondria are involved in a range of other processes, such as signalling, cellular differentiation, cell death, as well as the control of the cell cycle and cell growth. Mitochondria have been implicated in several human diseases, including mitochondrial disorders and cardiac dysfunction, and may play a role in the aging process. Although most of a cellular DNA is contained in the cell nucleus, the mitochondrion has its own independent genome.

What's included?

{ "values": { "500Test": { "sellingSize": "500 Test", "publicAssetCode":"ab112143-500Test", "assetComponentDetails": [ { "size":"1 x 50 mL", "name":"Live Cell Staining Buffer", "number":"AB112143-CMP01", "productcode":"" }, { "size":"1 x 100 µL", "name":"MitoGreen Indicator", "number":"AB112143-CMP02", "productcode":"" } ] } } }

Properties and storage information

Shipped at conditions
Blue Ice
Appropriate short-term storage conditions
-20°C
Appropriate long-term storage conditions
-20°C
Storage information
-20°C

Product protocols

Target data

Publications (5)

Recent publications for all applications. Explore the full list and refine your search

ACS omega 8:2618-2628 PubMed36687062

2023

6-Shogaol Exhibits Anti-viral and Anti-inflammatory Activity in COVID-19-Associated Inflammation by Regulating NLRP3 Inflammasomes.

Applications

Unspecified application

Species

Unspecified reactive species

Jyoti Kode,Jitendra Maharana,Asif Amin Dar,Shayanti Mukherjee,Nikhil Gadewal,Dilep Kumar Sigalapalli,Satyanshu Kumar,Debashis Panda,Soumyajit Ghosh,Supriya Suman Keshry,Prabhudutta Mamidi,Soma Chattopadhyay,Trupti Pradhan,Vaishali Kailaje,Sunil Inamdar,Vidula Gujjarwar

Frontiers in cell and developmental biology 10:1053654 PubMed36531942

2022

Azoxystrobin exposure impairs meiotic maturation by disturbing spindle formation in mouse oocytes.

Applications

Unspecified application

Species

Unspecified reactive species

Wen Gao,Chen Zhang,Bichun Li,Jeong Su Oh

PPAR research 2020:3785137 PubMed32099540

2020

Stimulation of Alpha-Adrenergic Receptor Ameliorates Cellular Functions of Multiorgans beyond Vasomotion through PPAR.

Applications

Unspecified application

Species

Unspecified reactive species

Yong-Jik Lee,Hyun Soo Kim,Hong Seog Seo,Jin Oh Na,You-Na Jang,Yoon-Mi Han,Hyun-Min Kim

Journal of lipid research 59:488-506 PubMed29321137

2018

Novel function of ceramide for regulation of mitochondrial ATP release in astrocytes.

Applications

Unspecified application

Species

Unspecified reactive species

Ji-Na Kong,Zhihui Zhu,Yutaka Itokazu,Guanghu Wang,Michael B Dinkins,Liansheng Zhong,Hsuan-Pei Lin,Ahmed Elsherbini,Silvia Leanhart,Xue Jiang,Haiyan Qin,Wenbo Zhi,Stefka D Spassieva,Erhard Bieberich

Oncology letters 9:551-556 PubMed25621023

2015

Subcellular location and photodynamic therapeutic effect of chlorin e6 in the human tongue squamous cell cancer Tca8113 cell line.

Applications

Unspecified application

Species

Unspecified reactive species

Wei Luo,Rong-Sen Liu,Jian-Guo Zhu,Ying-Chao Li,Hong-Chen Liu
View all publications
websiteProtocolBooklet
en

Product promise

We are committed to supporting your work with high-quality reagents, and we're here for you every step of the way. In the unlikely event that one of our products does not perform as expected, you're protected by our Product Promise.
For full details, please see our Terms & Conditions

Please note: All products are 'FOR RESEARCH USE ONLY. NOT FOR USE IN DIAGNOSTIC OR THERAPEUTIC PROCEDURES'.

For licensing inquiries, please contact partnerships@abcam.com