JavaScript is disabled in your browser. Please enable JavaScript to view this website.
AB112144

Mitochondrial Staining Kit - Orange Fluorescence - Cytopainter

4

(1 Review)

|

(0 Publication)

Mitochondrial Staining Kit - Orange Fluorescence | Cytopainter (ab112144) is designed to label mitochondria in live cells with orange fluorescence at Ex/Em = 545/575nm (TRITC filter-compatible).
1 Images
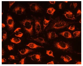
Fluorescence Microscopy - Mitochondrial Staining Kit - Orange Fluorescence - Cytopainter (AB112144)
  • Fluorescence Microscopy

Supplier Data

Fluorescence Microscopy - Mitochondrial Staining Kit - Orange Fluorescence - Cytopainter (AB112144)

CytoPainter Mitochondrial Staining Kit - Orange Fluorescence (ab112144). Image of U2OS cells stained with ab112144 in a black 96-well plate

Key facts

Sample types

Suspension cells, Adherent cells

Assay type

Cell-based

Assay Platform

Fluorescence microscope

Product details

Mitochondrial Staining Kit - Orange Fluorescence | Cytopainter (ab112144) is designed to label mitochondria in live cells with orange fluorescence at Ex/Em = 545/575nm (TRITC filter-compatible). This kits uses a proprietary dye that selectively accumulates in mitochondria probably via the mitochondrial membrane potential gradient. The mitochondrial indicator, a hydrophobic compound, easily permeates intact live cells and becomes trapped in mitochondria after it gets into cells. This fluorescent mitochondrial indicator is retained in mitochondria for a long time since it carries a cell-retaining group. This key feature significantly increases the staining efficiency. ab112144 can be readily adapted for many different types of fluorescence platforms, such as microplate assays, immunocytochemistry and flow cytometry.

Abcam's fluorescence imaging kits are a set of fluorescence imaging tools for labeling sub-cellular organelles such as lysosomes, mitochondria, and actin filaments. The selective staining of cell compartments provides a powerful method for studying cellular events in a spatial and temporal context.

Review other dyes and kits for mitochondrial staining, or the live cell staining fluorescent dyes guide.

Mitochondria are membrane-enclosed organelles found in most eukaryotic cells. Mitochondria are sometimes described as "cellular power plants" because they generate most of the cellular supply of ATP. In addition to supplying cellular energy, mitochondria are involved in a range of other processes, such as signalling, cellular differentiation, cell death, as well as the control of the cell cycle and cell growth. Mitochondria have been implicated in several human diseases, including mitochondrial disorders and cardiac dysfunction, and may play a role in the aging process. Although most of a cellular DNA is contained in the cell nucleus, the mitochondrion has its own independent genome.

What's included?

{ "values": { "500Test": { "sellingSize": "500 Test", "publicAssetCode":"ab112144-500Test", "assetComponentDetails": [ { "size":"1 x 50 mL", "name":"Live Cell Staining Buffer", "number":"AB112144-CMP01", "productcode":"" }, { "size":"1 x 100 µL", "name":"MitoOrange Indicator", "number":"AB112144-CMP02", "productcode":"" } ] } } }

Properties and storage information

Shipped at conditions
Blue Ice
Appropriate short-term storage conditions
-20°C
Appropriate long-term storage conditions
-20°C
Storage information
-20°C

Product protocols

Target data

websiteProtocolBooklet
en

Product promise

We are committed to supporting your work with high-quality reagents, and we're here for you every step of the way. In the unlikely event that one of our products does not perform as expected, you're protected by our Product Promise.
For full details, please see our Terms & Conditions

Please note: All products are 'FOR RESEARCH USE ONLY. NOT FOR USE IN DIAGNOSTIC OR THERAPEUTIC PROCEDURES'.

For licensing inquiries, please contact partnerships@abcam.com